JavaScript is disabled in your browser. Please enable JavaScript to view this website.
AB314314

Anti-SCP3 antibody [EPR27086-101] - BSA and Azide free

Be the first to review this product! Submit a review

|

(0 Publication)

Rabbit Recombinant Monoclonal SCP3 antibody. Carrier free. Suitable for IHC-P, WB and reacts with Human, Rat, Mouse samples.

View Alternative Names

SCP3, SYCP3, Synaptonemal complex protein 3, SCP-3

10 Images
Immunohistochemistry (Formalin/PFA-fixed paraffin-embedded sections) - Anti-SCP3 antibody [EPR27086-101] - BSA and Azide free (AB314314)
  • IHC-P

Supplier Data

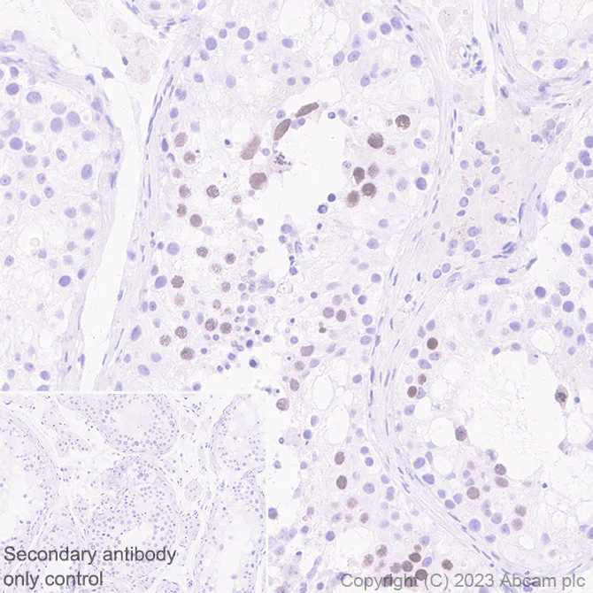
Immunohistochemistry (Formalin/PFA-fixed paraffin-embedded sections) - Anti-SCP3 antibody [EPR27086-101] - BSA and Azide free (AB314314)

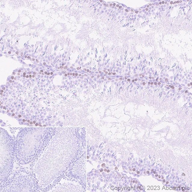
This data was developed using ab314313, the same antibody clone in a different buffer formulation. Immunohistochemical analysis of paraffin-embedded human testis tissue labeling SCP3 with ab314313 at 1/100 (5.02 ug/ml) followed by a ready to use Goat Anti-Rabbit IgG H&L (HRP polymer) (ab214880). Positive staining on human testis. The section was incubated with ab314313 at 4°C overnight. Counterstained with Hematoxylin. Secondary antibody only control : Secondary antibody is a ready to use Goat Anti-Rabbit IgG H&L (HRP polymer) (ab214880). Heat mediated antigen retrieval was performed using ab93684 (Tris/EDTA buffer, pH 9.0)

Immunohistochemistry (Formalin/PFA-fixed paraffin-embedded sections) - Anti-SCP3 antibody [EPR27086-101] - BSA and Azide free (AB314314)
  • IHC-P

Supplier Data

Immunohistochemistry (Formalin/PFA-fixed paraffin-embedded sections) - Anti-SCP3 antibody [EPR27086-101] - BSA and Azide free (AB314314)

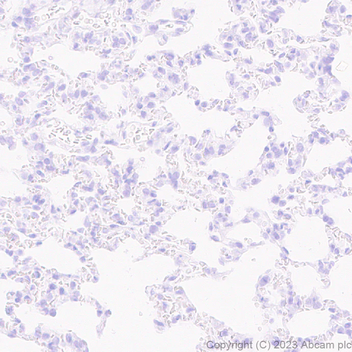
This data was developed using ab314313, the same antibody clone in a different buffer formulation. Immunohistochemical analysis of paraffin-embedded human lung tissue labeling SCP3 with ab314313 at 1/100 (5.02 ug/ml) followed by a ready to use Goat Anti-Rabbit IgG H&L (HRP polymer) (ab214880). Negative control : no staining on human lung. The section was incubated with ab314313 at 4°C overnight. Counterstained with Hematoxylin. Secondary antibody only control : Secondary antibody is a ready to use Goat Anti-Rabbit IgG H&L (HRP polymer) (ab214880). Heat mediated antigen retrieval was performed using ab93684 (Tris/EDTA buffer, pH 9.0).

Immunohistochemistry (Formalin/PFA-fixed paraffin-embedded sections) - Anti-SCP3 antibody [EPR27086-101] - BSA and Azide free (AB314314)
  • IHC-P

Supplier Data

Immunohistochemistry (Formalin/PFA-fixed paraffin-embedded sections) - Anti-SCP3 antibody [EPR27086-101] - BSA and Azide free (AB314314)

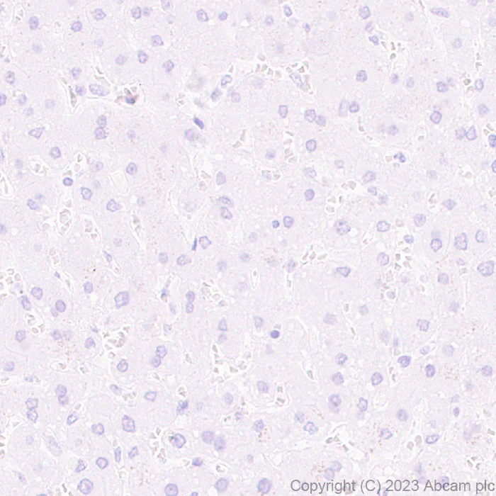
This data was developed using ab314313, the same antibody clone in a different buffer formulation. Immunohistochemical analysis of paraffin-embedded human liver tissue labeling SCP3 with ab314313 at 1/100 (5.02 ug/ml) followed by a ready to use Goat Anti-Rabbit IgG H&L (HRP polymer) (ab214880). Negative control : no staining on human liver. The section was incubated with ab314313 at 4°C overnight. Counterstained with Hematoxylin. Secondary antibody only control : Secondary antibody is a ready to use Goat Anti-Rabbit IgG H&L (HRP polymer) (ab214880). Heat mediated antigen retrieval was performed using ab93684 (Tris/EDTA buffer, pH 9.0).

Immunohistochemistry (Formalin/PFA-fixed paraffin-embedded sections) - Anti-SCP3 antibody [EPR27086-101] - BSA and Azide free (AB314314)
  • IHC-P

Supplier Data

Immunohistochemistry (Formalin/PFA-fixed paraffin-embedded sections) - Anti-SCP3 antibody [EPR27086-101] - BSA and Azide free (AB314314)

This data was developed using ab314313, the same antibody clone in a different buffer formulation. Immunohistochemical analysis of paraffin-embedded rat liver tissue labeling SCP3 with ab314313 at 1/100 (5.02 ug/ml) followed by a ready to use Goat Anti-Rabbit IgG H&L (HRP polymer) (ab214880). Negative control : no staining on rat liver. The section was incubated with ab314313 at 4°C overnight. Counterstained with Hematoxylin. Secondary antibody only control : Secondary antibody is a ready to use Goat Anti-Rabbit IgG H&L (HRP polymer) (ab214880). Heat mediated antigen retrieval was performed using ab93684 (Tris/EDTA buffer, pH 9.0).

Immunohistochemistry (Formalin/PFA-fixed paraffin-embedded sections) - Anti-SCP3 antibody [EPR27086-101] - BSA and Azide free (AB314314)
  • IHC-P

Supplier Data

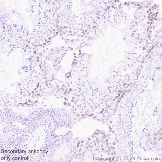
Immunohistochemistry (Formalin/PFA-fixed paraffin-embedded sections) - Anti-SCP3 antibody [EPR27086-101] - BSA and Azide free (AB314314)

This data was developed using ab314313, the same antibody clone in a different buffer formulation. Immunohistochemical analysis of paraffin-embedded rat testis tissue labeling SCP3 with ab314313 at 1/100 (5.02 ug/ml) followed by a ready to use Goat Anti-Rabbit IgG H&L (HRP polymer) (ab214880). Positive staining on rat testis. The section was incubated with ab314313 at 4°C overnight. Counterstained with Hematoxylin. Secondary antibody only control : Secondary antibody is a ready to use Goat Anti-Rabbit IgG H&L (HRP polymer) (ab214880). Heat mediated antigen retrieval was performed using ab93684 (Tris/EDTA buffer, pH 9.0).

Immunohistochemistry (Formalin/PFA-fixed paraffin-embedded sections) - Anti-SCP3 antibody [EPR27086-101] - BSA and Azide free (AB314314)
  • IHC-P

Supplier Data

Immunohistochemistry (Formalin/PFA-fixed paraffin-embedded sections) - Anti-SCP3 antibody [EPR27086-101] - BSA and Azide free (AB314314)

This data was developed using ab314313, the same antibody clone in a different buffer formulation. Immunohistochemical analysis of paraffin-embedded Mouse testis tissue labeling SCP3 with ab314313 at 1/100 (5.02 ug/ml) followed by a ready to use Goat Anti-Rabbit IgG H&L (HRP polymer). Positive staining on mouse testis. The section was incubated with ab314313 at 4°C overnight. Counterstained with Hematoxylin. Secondary antibody only control : Secondary antibody is a ready to use Goat Anti-Rabbit IgG H&L (HRP polymer). Heat mediated antigen retrieval was performed using ab93684 (Tris/EDTA buffer, pH 9.0).

Immunohistochemistry (Formalin/PFA-fixed paraffin-embedded sections) - Anti-SCP3 antibody [EPR27086-101] - BSA and Azide free (AB314314)
  • IHC-P

Supplier Data

Immunohistochemistry (Formalin/PFA-fixed paraffin-embedded sections) - Anti-SCP3 antibody [EPR27086-101] - BSA and Azide free (AB314314)

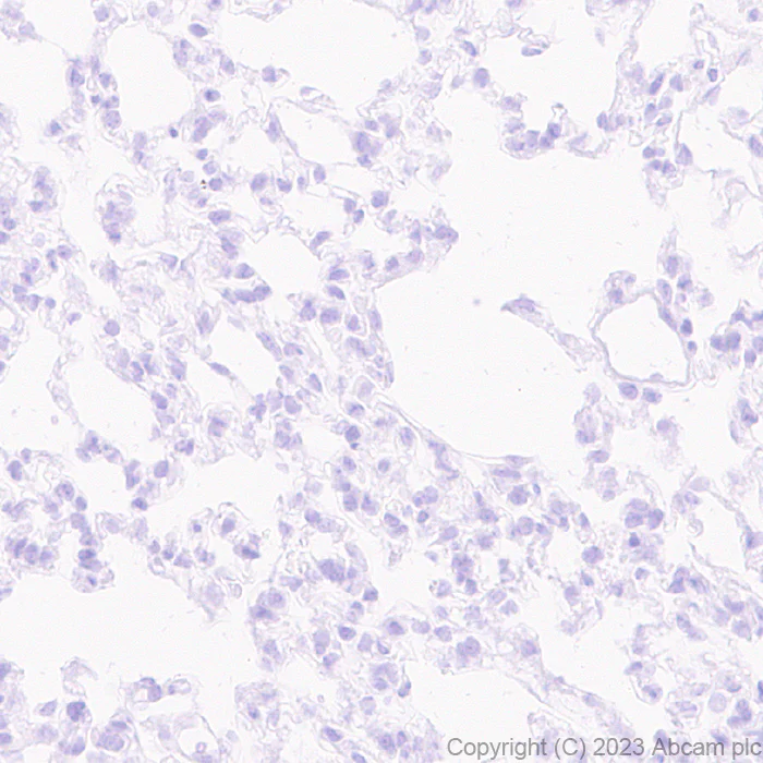
This data was developed using ab314313, the same antibody clone in a different buffer formulation. Immunohistochemical analysis of paraffin-embedded mouse lung tissue labeling SCP3 with ab314313 at 1/100 (5.02 ug/ml) followed by a ready to use Goat Anti-Rabbit IgG H&L (HRP polymer) (ab214880). Negative control : no staining on mouse lung. The section was incubated with ab314313 at 4°C overnight. Counterstained with Hematoxylin. Secondary antibody only control : Secondary antibody is a ready to use Goat Anti-Rabbit IgG H&L (HRP polymer) (ab214880). Heat mediated antigen retrieval was performed using ab93684 (Tris/EDTA buffer, pH 9.0).

Immunohistochemistry (Formalin/PFA-fixed paraffin-embedded sections) - Anti-SCP3 antibody [EPR27086-101] - BSA and Azide free (AB314314)
  • IHC-P

Supplier Data

Immunohistochemistry (Formalin/PFA-fixed paraffin-embedded sections) - Anti-SCP3 antibody [EPR27086-101] - BSA and Azide free (AB314314)

This data was developed using ab314313, the same antibody clone in a different buffer formulation. Immunohistochemical analysis of paraffin-embedded mouse liver tissue labeling SCP3 with ab314313 at 1/100 (5.02 ug/ml) followed by a ready to use Goat Anti-Rabbit IgG H&L (HRP polymer) (ab214880). Negative control : no staining on mouse liver. The section was incubated with ab314313 at 4°C overnight. Counterstained with Hematoxylin. Secondary antibody only control : Secondary antibody is a ready to use Goat Anti-Rabbit IgG H&L (HRP polymer) (ab214880). Heat mediated antigen retrieval was performed using ab93684 (Tris/EDTA buffer, pH 9.0).

Immunohistochemistry (Formalin/PFA-fixed paraffin-embedded sections) - Anti-SCP3 antibody [EPR27086-101] - BSA and Azide free (AB314314)
  • IHC-P

Supplier Data

Immunohistochemistry (Formalin/PFA-fixed paraffin-embedded sections) - Anti-SCP3 antibody [EPR27086-101] - BSA and Azide free (AB314314)

This data was developed using ab314313, the same antibody clone in a different buffer formulation. Immunohistochemical analysis of paraffin-embedded rat lung tissue labeling SCP3 with ab314313 at 1/100 (5.02 ug/ml) followed by a ready to use Goat Anti-Rabbit IgG H&L (HRP polymer) (ab214880). Negative control : no staining on rat lung. The section was incubated with ab314313 at 4°C overnight. Counterstained with Hematoxylin. Secondary antibody only control : Secondary antibody is a ready to use Goat Anti-Rabbit IgG H&L (HRP polymer) (ab214880). Heat mediated antigen retrieval was performed using ab93684 (Tris/EDTA buffer, pH 9.0).

Western blot - Anti-SCP3 antibody [EPR27086-101] - BSA and Azide free (AB314314)
  • WB

Supplier Data

Western blot - Anti-SCP3 antibody [EPR27086-101] - BSA and Azide free (AB314314)

This data was developed using ab314313, the same antibody clone in a different buffer formulation. Blocking and diluting buffer and concentration : 5% NFDM/TBST Negative control : liver (PMID : 14643120; PMID : 31671664), lung (PMID : 14643120; PMID : 31671664). The molecular weight observed is consistent with what has been described in the literature (PMID : 32232159). In Western blot, Anti-GAPDH antibody [EPR16891] - Loading Control (ab181602) staining at 1/200000 dilution.

All lanes:

Western blot - Anti-SCP3 antibody [EPR27086-101] (<a href='/en-us/products/primary-antibodies/scp3-antibody-epr27086-101-ab314313'>ab314313</a>) at 1/1000 dilution

Lane 1:

Human testis tissue lysate at 60 µg

Lane 2:

Human lung tissue lysate at 60 µg

Lane 3:

Human liver tissue lysate at 60 µg

Lane 4:

Mouse testis tissue lysate at 60 µg

Lane 5:

Mouse lung tissue lysate at 60 µg

Lane 6:

Mouse liver tissue lysate at 60 µg

Lane 7:

Rat testis tissue lysate at 60 µg

Lane 8:

Rat lung tissue lysate at 60 µg

Lane 9:

Rat liver tissue lysate at 60 µg

Secondary

All lanes:

Goat Anti-Rabbit IgG (HRP) with minimal cross-reactivity with human IgG at 1/2000 dilution

Observed band size: 30 kDa,33 kDa

false

Exposure time: 180s

Key facts

Host species

Rabbit

Clonality

Monoclonal

Clone number

EPR27086-101

Isotype

IgG

Carrier free

Yes

Reacts with

Human, Rat, Mouse

Applications

WB, IHC-P

applications

Immunogen

The exact immunogen used to generate this antibody is proprietary information.

Reactivity data

{ "title": "Reactivity Data", "filters": { "stats": ["", "Species", "Dilution Info", "Notes"], "tabs": { "all-applications": {"fullname" : "All Applications", "shortname": "All Applications"}, "IHCP" : {"fullname" : "Immunohistochemistry (Formalin/PFA-fixed paraffin-embedded sections)", "shortname":"IHC-P"}, "WB" : {"fullname" : "Western blot", "shortname":"WB"}, "IP" : {"fullname" : "Immunoprecipitation", "shortname":"IP"} }, "product-promise": { "all": "all", "testedAndGuaranteed": "tested", "guaranteed": "expected", "predicted": "predicted", "notRecommended": "not-recommended" } }, "values": { "Human": { "IHCP-species-checked": "testedAndGuaranteed", "IHCP-species-dilution-info": "", "IHCP-species-notes": "<p></p>", "WB-species-checked": "testedAndGuaranteed", "WB-species-dilution-info": "", "WB-species-notes": "<p></p>", "IP-species-checked": "notRecommended", "IP-species-dilution-info": "", "IP-species-notes": "<p></p>" }, "Mouse": { "IHCP-species-checked": "testedAndGuaranteed", "IHCP-species-dilution-info": "", "IHCP-species-notes": "<p></p>", "WB-species-checked": "testedAndGuaranteed", "WB-species-dilution-info": "", "WB-species-notes": "<p></p>", "IP-species-checked": "notRecommended", "IP-species-dilution-info": "", "IP-species-notes": "" }, "Rat": { "IHCP-species-checked": "testedAndGuaranteed", "IHCP-species-dilution-info": "", "IHCP-species-notes": "<p></p>", "WB-species-checked": "testedAndGuaranteed", "WB-species-dilution-info": "", "WB-species-notes": "<p></p>", "IP-species-checked": "notRecommended", "IP-species-dilution-info": "", "IP-species-notes": "" } } }

Product details

ab314314 is the carrier-free version of ab314313.

Patented technology
Our RabMAb® technology is a patented hybridoma-based technology for making rabbit monoclonal antibodies. For details on our patents, please refer to RabMAb® patents.

What are the advantages of a recombinant monoclonal antibody?
This product is a recombinant monoclonal antibody, which offers several advantages including:

  • - High batch-to-batch consistency and reproducibility
  • - Improved sensitivity and specificity
  • - Long-term security of supply
  • - Animal-free batch production

For more information, read more on recombinant antibodies.

Conjugation ready
Our carrier-free antibodies are typically supplied in a PBS-only formulation, purified and free of BSA, sodium azide and glycerol. This conjugation-ready format is designed for use with fluorochromes, metal isotopes, oligonucleotides, and enzymes, which makes them ideal for antibody labelling, functional and cell-based assays, flow-based assays (e.g. mass cytometry) and Multiplex Imaging applications.

Use our conjugation kits for antibody conjugates that are ready-to-use in as little as 20 minutes with 1 minute hands-on-time and 100% antibody recovery: available for fluorescent dyes, HRP, biotin and gold.

Compatibility
This product is compatible with the Maxpar® Antibody Labeling Kit from Fluidigm, without the need for antibody preparation. Maxpar® is a trademark of Fluidigm Canada Inc.

Properties and storage information

Form
Liquid
Purification technique
Affinity purification Protein A
Storage buffer
pH: 7.2 - 7.4 Constituents: PBS
Shipped at conditions
Blue Ice
Appropriate short-term storage conditions
+4°C
Appropriate long-term storage conditions
+4°C

Supplementary information

This supplementary information is collated from multiple sources and compiled automatically.

The SCP3 protein also known as Synaptonemal complex protein 3 and COR1 plays an important role in cell division. It is a component of the synaptonemal complex which is essential during meiosis for chromosome pairing and recombination. SCP3 has a molecular mass of approximately 30 kDa. Researchers observe its expression in germline cells where it facilitates the accurate segregation of homologous chromosomes during the prophase I stage of meiosis.
Biological function summary

SCP3 serves an important function in organizing the scaffold of the synaptonemal complex a highly organized proteinaceous framework. This structure helps in stabilizing the pairing of homologous chromosomes and promoting synapsis. SCP3 does not work alone; it operates as part of a larger complex with other synaptonemal complex components including SCP1 and SCP2. This coordination ensures the successful exchange of genetic material between chromosomes enhancing genetic diversity in gametes.

Pathways

SCP3 integrates into the meiotic recombination process essential for gametogenesis. It aligns with the DNA repair pathway significantly impacting homologous recombination. Proteins like RAD51 and DMC1 are part of these pathways interacting indirectly with SCP3 to facilitate recombination repair processes. SCP3's role helps maintain genome integrity by ensuring faithful chromosome segregation which is critical in producing viable gametes.

SCP3 implicates reproductive issues and genetic schizophrenia predispositions. Abnormal or disrupted function of SCP3 often leads to infertility due to failed meiosis impacting gamete viability. This malfunction may associate with proteins like SPO11 which initiates meiotic recombination. Alterations in SCP3's function or expression have been studied for their potential connections to schizophrenia suggesting a role in neurological development related to errors during meiosis.

Product protocols

For this product, it's our understanding that no specific protocols are required. You can visit:

Target data

Component of the synaptonemal complexes (SCS), formed between homologous chromosomes during meiotic prophase. Required for centromere pairing during meiosis in male germ cells (By similarity). Required for normal meiosis during spermatogenesis and male fertility (PubMed : 14643120). Plays a lesser role in female fertility. Required for efficient phosphorylation of HORMAD1 and HORMAD2 (By similarity).
See full target information SYCP3

Product promise

We are committed to supporting your work with high-quality reagents, and we're here for you every step of the way. In the unlikely event that one of our products does not perform as expected, you're protected by our Product Promise.
For full details, please see our Terms & Conditions

Please note: All products are 'FOR RESEARCH USE ONLY. NOT FOR USE IN DIAGNOSTIC OR THERAPEUTIC PROCEDURES'.

For licensing inquiries, please contact partnerships@abcam.com