JavaScript is disabled in your browser. Please enable JavaScript to view this website.
AB117625

Anti-SCUBE2 antibody

Be the first to review this product! Submit a review

|

(1 Publication)

Rabbit Polyclonal SCUBE2 antibody. Suitable for IHC-P and reacts with Human samples. Cited in 1 publication. Immunogen corresponding to Synthetic Peptide within Human SCUBE2 conjugated to Keyhole Limpet Haemocyanin.

View Alternative Names

CEGP1, SCUBE2, Protein CEGP1, Scube/You

2 Images
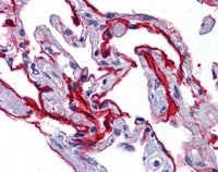
Immunohistochemistry (Formalin/PFA-fixed paraffin-embedded sections) - Anti-SCUBE2 antibody (AB117625)
  • IHC-P

Unknown

Immunohistochemistry (Formalin/PFA-fixed paraffin-embedded sections) - Anti-SCUBE2 antibody (AB117625)

ab117625, at 5 µg/ml, staining SCUBE2 in Formalin-fixed, Paraffin-embedded Human Lung tissue by Immunohistochemistry.

Immunohistochemistry (Formalin/PFA-fixed paraffin-embedded sections) - Anti-SCUBE2 antibody (AB117625)
  • IHC-P

Unknown

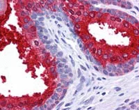
Immunohistochemistry (Formalin/PFA-fixed paraffin-embedded sections) - Anti-SCUBE2 antibody (AB117625)

ab117625, at 5 µg/ml, staining SCUBE2 in Formalin-fixed, Paraffin-embedded Human Prostate tissue by Immunohistochemistry.

Key facts

Host species

Rabbit

Clonality

Polyclonal

Isotype

IgG

Carrier free

No

Reacts with

Human

Applications

IHC-P

applications

Immunogen

Synthetic Peptide within Human SCUBE2 conjugated to Keyhole Limpet Haemocyanin. The exact immunogen used to generate this antibody is proprietary information.

Q9NQ36

Reactivity data

{ "title": "Reactivity Data", "filters": { "stats": ["", "Species", "Dilution Info", "Notes"], "tabs": { "all-applications": {"fullname" : "All Applications", "shortname": "All Applications"}, "IHCP" : {"fullname" : "Immunohistochemistry (Formalin/PFA-fixed paraffin-embedded sections)", "shortname":"IHC-P"} }, "product-promise": { "all": "all", "testedAndGuaranteed": "tested", "guaranteed": "expected", "predicted": "predicted", "notRecommended": "not-recommended" } }, "values": { "Human": { "IHCP-species-checked": "testedAndGuaranteed", "IHCP-species-dilution-info": "5 µg/mL", "IHCP-species-notes": "<p></p>" }, "Rat": { "IHCP-species-checked": "predicted", "IHCP-species-dilution-info": "", "IHCP-species-notes": "" } } }

Properties and storage information

Form
Liquid
Purification technique
Affinity purification Protein A
Storage buffer
pH: 7.4 Preservative: 0.02% Sodium azide Constituents: PBS
Shipped at conditions
Blue Ice
Appropriate short-term storage duration
1-2 weeks
Appropriate short-term storage conditions
+4°C
Appropriate long-term storage conditions
-20°C
Storage information
Avoid freeze / thaw cycle

Supplementary information

This supplementary information is collated from multiple sources and compiled automatically.

SCUBE2 also known as Signal Peptide CUB Domain EGF-like 2 is a protein carrying a significant role in cellular processes. It has an approximate mass of 123 kDa and identifies as a secreted glycoprotein. SCUBE2 is expressed strongly in tissues such as the heart kidney and brain. Its structure includes several epidermal growth factor-like repeats and CUB domains which help in mediating its interactions in the cellular environment.
Biological function summary

The SCUBE2 protein functions as an important mediator in developmental signal transduction pathways. It does not form part of a well-defined complex but interacts with other proteins to modulate key developmental signals like Hedgehog and BMP pathways. SCUBE2 participates in cell-to-cell communication assisting in the regulation of embryonic development and tissue patterning. This protein's role is essential in ensuring proper growth and differentiation in those developing tissues.

Pathways

SCUBE2 actively engages in the Hedgehog and BMP signaling pathways. These pathways involve critical mediator proteins such as Sonic Hedgehog (SHH) and Bone Morphogenetic Proteins (BMPs) respectively. SCUBE2 interacts with these molecules to influence processes like cellular proliferation and differentiation. By participating in these pathways SCUBE2 influences developmental and cellular mechanisms ensuring proper signaling during morphogenesis and tissue development.

SCUBE2 shows significant associations with various cancers and developmental disorders. For instance alterations in SCUBE2 expression levels have been linked to breast cancer where it may affect cancer cell signaling through interactions with the BMP signaling pathway proteins such as BMP-2. It also associates with developmental disorders influencing the Hedgehog signaling pathway which involves proteins such as GLI1 and affecting proper embryonic development. Understanding SCUBE2's involvement in these diseases could provide new insights into therapeutic strategies.

Product protocols

For this product, it's our understanding that no specific protocols are required. You can visit:

Target data

Lipid-binding protein required for SHH long-range signaling by binding to the dually lipid-modified SHH (ShhNp) and by promoting ShhNp mobilization, solubilization and release from the cell membrane (PubMed : 22677548, PubMed : 22902404). Acts by enhancing the proteolytic processing (shedding) of the lipid-modified N- and C- terminal of ShhNp at the cell surface (PubMed : 24522195). Synergizes with DISP1 to increase SHH secretion (PubMed : 22902404). Probable cell surface coreceptor for VEGFR2 involved in VEGFR2-mediated angiogenesis (PubMed : 27834687).
See full target information SCUBE2

Publications (1)

Recent publications for all applications. Explore the full list and refine your search

Journal of experimental & clinical cancer research : CR 40:248 PubMed34364401

2021

Metabolic impairment of non-small cell lung cancers by mitochondrial HSPD1 targeting.

Applications

Unspecified application

Species

Unspecified reactive species

Beatrice Parma,Vignesh Ramesh,Paradesi Naidu Gollavilli,Aarif Siddiqui,Luisa Pinna,Annemarie Schwab,Sabine Marschall,Shuman Zhang,Christian Pilarsky,Francesca Napoli,Marco Volante,Sophia Urbanczyk,Dirk Mielenz,Henrik Daa Schrøder,Marc Stemmler,Heiko Wurdak,Paolo Ceppi
View all publications

Product promise

We are committed to supporting your work with high-quality reagents, and we're here for you every step of the way. In the unlikely event that one of our products does not perform as expected, you're protected by our Product Promise.
For full details, please see our Terms & Conditions

Please note: All products are 'FOR RESEARCH USE ONLY. NOT FOR USE IN DIAGNOSTIC OR THERAPEUTIC PROCEDURES'.

For licensing inquiries, please contact partnerships@abcam.com