JavaScript is disabled in your browser. Please enable JavaScript to view this website.
AB240098

Anti-SDHA antibody [EPR9043(B)] - BSA and Azide free

5

(2 Reviews)

|

(6 Publications)

Anti-SDHA antibody [EPR9043(B)] - BSA and Azide free (ab240098) is a rabbit recombinant monoclonal antibody provided in a PBS only buffer for easy conjugation. Suitable for Western Blot, Flow Cytometry, IP, IHC-P, ICC/IF in Human, Mouse, Rat.

- KO validated for confirmed specificity
- BSA, sodium azide, and glycerol-free for easy conjugation
- Biophysical QC for unrivalled batch-batch consistency

View Alternative Names

SDH2, SDHF, SDHA, Flavoprotein subunit of complex II, Malate dehydrogenase [quinone] flavoprotein subunit, Fp

10 Images
Immunohistochemistry (Formalin/PFA-fixed paraffin-embedded sections) - Anti-SDHA antibody [EPR9043(B)] - BSA and Azide free (AB240098)
  • IHC-P

Unknown

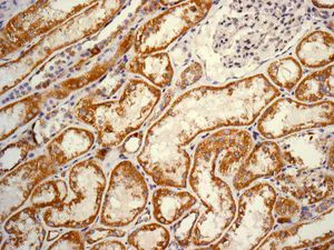
Immunohistochemistry (Formalin/PFA-fixed paraffin-embedded sections) - Anti-SDHA antibody [EPR9043(B)] - BSA and Azide free (AB240098)

Immunohistochemichal analysis of paraffin embedded human kidney tissue labelling SDHA with ab137040 at 1/50 dilution.

This data was developed using the same antibody clone in a different buffer formulation containing PBS, BSA, glycerol, and sodium azide (ab137040).

Perform heat mediated antigen retrieval with citrate buffer pH 6 before commencing with IHC staining protocol.

Immunocytochemistry/ Immunofluorescence - Anti-SDHA antibody [EPR9043(B)] - BSA and Azide free (AB240098)
  • ICC/IF

Unknown

Immunocytochemistry/ Immunofluorescence - Anti-SDHA antibody [EPR9043(B)] - BSA and Azide free (AB240098)

Immunofluorescence analysis of HeLa (Human epithelial cell line from cervix adenocarcinoma) cells labelling SDHA with ab137040 at 1/100 dilution.

This data was developed using the same antibody clone in a different buffer formulation containing PBS, BSA, glycerol, and sodium azide (ab137040).

Immunohistochemistry (Formalin/PFA-fixed paraffin-embedded sections) - Anti-SDHA antibody [EPR9043(B)] - BSA and Azide free (AB240098)
  • IHC-P

Lab

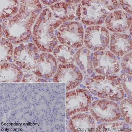
Immunohistochemistry (Formalin/PFA-fixed paraffin-embedded sections) - Anti-SDHA antibody [EPR9043(B)] - BSA and Azide free (AB240098)

ab137040 staining SDHA in human kidney tissue sections by Immunohistochemistry (IHC-P - paraformaldehyde-fixed, paraffin-embedded sections). Tissue was fixed with paraformaldehyde and antigen retrieval was by heat mediation in a EDTA buffer. Samples were incubated with primary antibody at a dilution of 1/1000. A goat anti-rabbit IgG H&L (HRP) ab97051 was used as the secondary antibody at a dilution of 1/500.

Negative control 1 : PBS in place of primary antibody.

This data was developed using the same antibody clone in a different buffer formulation containing PBS, BSA, glycerol, and sodium azide (ab137040).

Immunohistochemistry (Formalin/PFA-fixed paraffin-embedded sections) - Anti-SDHA antibody [EPR9043(B)] - BSA and Azide free (AB240098)
  • IHC-P

Unknown

Immunohistochemistry (Formalin/PFA-fixed paraffin-embedded sections) - Anti-SDHA antibody [EPR9043(B)] - BSA and Azide free (AB240098)

Immunohistochemichal analysis of paraffin embedded human testis tissue labelling SDHA with ab137040 at 1/50 dilution.

This data was developed using the same antibody clone in a different buffer formulation containing PBS, BSA, glycerol, and sodium azide (ab137040).

Perform heat mediated antigen retrieval with citrate buffer pH 6 before commencing with IHC staining protocol.

Flow Cytometry (Intracellular) - Anti-SDHA antibody [EPR9043(B)] - BSA and Azide free (AB240098)
  • Flow Cyt (Intra)

Lab

Flow Cytometry (Intracellular) - Anti-SDHA antibody [EPR9043(B)] - BSA and Azide free (AB240098)

ab137040 staining SDHA in the human cell line HeLa (human cervix adenocarcinoma) by intracellular flow cytometry. Cells were fixed with 4% paraformaldehyde and the sample was incubated with the primary antibody at a dilution of 1/500. A goat anti rabbit IgG (Alexa Fluor® 488) at a dilution of 1/500 was used as the secondary antibody.

Isoytype control : Rabbit monoclonal IgG (Black)

Unlabelled control : Cell without incubation with primary antibody and secondary antibody (Blue)

This data was developed using the same antibody clone in a different buffer formulation containing PBS, BSA, glycerol, and sodium azide (ab137040).

Immunocytochemistry/ Immunofluorescence - Anti-SDHA antibody [EPR9043(B)] - BSA and Azide free (AB240098)
  • ICC/IF

Lab

Immunocytochemistry/ Immunofluorescence - Anti-SDHA antibody [EPR9043(B)] - BSA and Azide free (AB240098)

ab137040 staining SDHA in HeLa (human cervix adenocarcinoma) cells by ICC/IF (Immunocytochemistry/immunofluorescence). Cells were fixed with 4% Paraformaldehyde and permeabilized with 0.1% Triton X-100. Samples were incubated with primary antibody at a dilution of 1/250. A goat anti rabbit IgG (Alexa Fluor® 488) (ab150077) was used as the secondary antibody. ab7291 and ab150120 were used as counterstains for primary antibody ab137040 and secondary antibody ab150077 respectively and DAPI was used as a nuclear counterstain.

Negative control 1 : Rabbit primary antibody and anti-mouse secondary antibody (ab150120)
Negative control 2 : Mouse primary antibody (ab7291) and anti-rabbit secondary antibody (ab150077)

This data was developed using the same antibody clone in a different buffer formulation containing PBS, BSA, glycerol, and sodium azide (ab137040).

Immunoprecipitation - Anti-SDHA antibody [EPR9043(B)] - BSA and Azide free (AB240098)
  • IP

Lab

Immunoprecipitation - Anti-SDHA antibody [EPR9043(B)] - BSA and Azide free (AB240098)

ab137040 immunoprecipitating SDHA. 10μg of HeLa (human cervix adenocarcinoma) cell lysate was incubated with primary antibody at a dilution of 1/20 and VeriBlot for IP Detection Reagent (HRP) (ab131366) at a dilution of 1/10000.

Lane 1 : HeLa whole cell lysate (10ug)
Lane 2 : ab137040 in HeLa whole cell lysate
Lane 3 : Rabbit monoclonal IgG (ab172730) instead of ab137040 in HeLa whole cell lysate

This data was developed using the same antibody clone in a different buffer formulation containing PBS, BSA, glycerol, and sodium azide (ab137040).

All lanes:

Immunoprecipitation - Anti-SDHA antibody [EPR9043(B)] (<a href='/en-us/products/primary-antibodies/sdha-antibody-epr9043b-ab137040'>ab137040</a>)

Predicted band size: 72 kDa

false

Immunoprecipitation - Anti-SDHA antibody [EPR9043(B)] - BSA and Azide free (AB240098)
  • IP

Lab

Immunoprecipitation - Anti-SDHA antibody [EPR9043(B)] - BSA and Azide free (AB240098)

ab137040 immunoprecipitating SDHA. 10μg of Jurkat (Human T cell leukemia cell line from peripheral blood) cell lysate was incubated with primary antibody at a dilution of 1/20 and VeriBlot for IP Detection Reagent (HRP) (ab131366) at a dilution of 1/10000.

Lane 1 : Jurkat whole cell lysate 10ug
Lane 2 : ab137040 IP in Jurkat whole cell lysate
Lane 3 : Rabbit monoclonal IgG (ab172730) instead of ab137040 in Jurkat whole cell lysate

This data was developed using the same antibody clone in a different buffer formulation containing PBS, BSA, glycerol, and sodium azide (ab137040).

All lanes:

Immunoprecipitation - Anti-SDHA antibody [EPR9043(B)] (<a href='/en-us/products/primary-antibodies/sdha-antibody-epr9043b-ab137040'>ab137040</a>)

Predicted band size: 72 kDa

false

Immunohistochemistry (Formalin/PFA-fixed paraffin-embedded sections) - Anti-SDHA antibody [EPR9043(B)] - BSA and Azide free (AB240098)
  • IHC-P

Lab

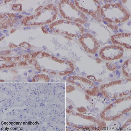
Immunohistochemistry (Formalin/PFA-fixed paraffin-embedded sections) - Anti-SDHA antibody [EPR9043(B)] - BSA and Azide free (AB240098)

ab137040 staining SDHA in mouse kidney tissue sections by Immunohistochemistry (IHC-P - paraformaldehyde-fixed, paraffin-embedded sections). Tissue was fixed with paraformaldehyde and antigen retrieval was by heat mediation in a EDTA buffer. Samples were incubated with primary antibody at a dilution of 1/1000. A goat anti-rabbit IgG H&L (HRP) ab97051 was used as the secondary antibody at a dilution of 1/500.

Negative control 1 : PBS in place of primary antibody.

This data was developed using the same antibody clone in a different buffer formulation containing PBS, BSA, glycerol, and sodium azide (ab137040).

Immunohistochemistry (Formalin/PFA-fixed paraffin-embedded sections) - Anti-SDHA antibody [EPR9043(B)] - BSA and Azide free (AB240098)
  • IHC-P

Lab

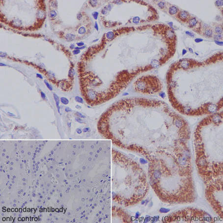
Immunohistochemistry (Formalin/PFA-fixed paraffin-embedded sections) - Anti-SDHA antibody [EPR9043(B)] - BSA and Azide free (AB240098)

ab137040 staining SDHA in rat kidney tissue sections by Immunohistochemistry (IHC-P - paraformaldehyde-fixed, paraffin-embedded sections). Tissue was fixed with paraformaldehyde and antigen retrieval was by heat mediation in a EDTA buffer. Samples were incubated with primary antibody at a dilution of 1/1000. A goat anti-rabbit IgG H&L (HRP) ab97051 was used as the secondary antibody at a dilution of 1/500.

Negative control 1 : PBS in place of primary antibody.

This data was developed using the same antibody clone in a different buffer formulation containing PBS, BSA, glycerol, and sodium azide (ab137040).

Key facts

Host species

Rabbit

Clonality

Monoclonal

Clone number

EPR9043(B)

Isotype

IgG

Carrier free

Yes

Reacts with

Mouse, Rat, Human

Applications

ICC/IF, WB, IHC-P, IP, Flow Cyt (Intra)

applications

Immunogen

The exact immunogen used to generate this antibody is proprietary information.

Reactivity data

{ "title": "Reactivity Data", "filters": { "stats": ["", "Species", "Dilution Info", "Notes"], "tabs": { "all-applications": {"fullname" : "All Applications", "shortname": "All Applications"}, "IHCP" : {"fullname" : "Immunohistochemistry (Formalin/PFA-fixed paraffin-embedded sections)", "shortname":"IHC-P"}, "IP" : {"fullname" : "Immunoprecipitation", "shortname":"IP"}, "WB" : {"fullname" : "Western blot", "shortname":"WB"}, "ICCIF" : {"fullname" : "Immunocytochemistry/ Immunofluorescence", "shortname":"ICC/IF"}, "FlowCytIntra" : {"fullname" : "Flow Cytometry (Intracellular)", "shortname":"Flow Cyt (Intra)"} }, "product-promise": { "all": "all", "testedAndGuaranteed": "tested", "guaranteed": "expected", "predicted": "predicted", "notRecommended": "not-recommended" } }, "values": { "Human": { "IHCP-species-checked": "testedAndGuaranteed", "IHCP-species-dilution-info": "", "IHCP-species-notes": "<p></p>", "IP-species-checked": "testedAndGuaranteed", "IP-species-dilution-info": "", "IP-species-notes": "<p></p>", "WB-species-checked": "testedAndGuaranteed", "WB-species-dilution-info": "", "WB-species-notes": "<p></p>", "ICCIF-species-checked": "testedAndGuaranteed", "ICCIF-species-dilution-info": "", "ICCIF-species-notes": "<p></p>", "FlowCytIntra-species-checked": "testedAndGuaranteed", "FlowCytIntra-species-dilution-info": "", "FlowCytIntra-species-notes": "<p><a href='/en-us/products/primary-antibodies/rabbit-igg-monoclonal-epr25a-isotype-control-low-endotoxin-azide-free-ab199376'>ab199376</a> - Rabbit monoclonal IgG, is suitable for use as an isotype control with this antibody.</p>" }, "Mouse": { "IHCP-species-checked": "testedAndGuaranteed", "IHCP-species-dilution-info": "", "IHCP-species-notes": "<p></p>", "IP-species-checked": "guaranteed", "IP-species-dilution-info": "", "IP-species-notes": "", "WB-species-checked": "testedAndGuaranteed", "WB-species-dilution-info": "", "WB-species-notes": "<p></p>", "ICCIF-species-checked": "guaranteed", "ICCIF-species-dilution-info": "", "ICCIF-species-notes": "", "FlowCytIntra-species-checked": "guaranteed", "FlowCytIntra-species-dilution-info": "", "FlowCytIntra-species-notes": "" }, "Rat": { "IHCP-species-checked": "testedAndGuaranteed", "IHCP-species-dilution-info": "", "IHCP-species-notes": "<p></p>", "IP-species-checked": "guaranteed", "IP-species-dilution-info": "", "IP-species-notes": "", "WB-species-checked": "testedAndGuaranteed", "WB-species-dilution-info": "", "WB-species-notes": "<p></p>", "ICCIF-species-checked": "guaranteed", "ICCIF-species-dilution-info": "", "ICCIF-species-notes": "", "FlowCytIntra-species-checked": "guaranteed", "FlowCytIntra-species-dilution-info": "", "FlowCytIntra-species-notes": "" } } }

Product details

What is this antibody validated in?
Anti-SDHA antibody [EPR9043(B)] - BSA and Azide free (ab240098) is a rabbit recombinant monoclonal antibody and is validated for use in Western Blot (WB), Flow Cytometry (Intra), Flow Cytometry (Flow Cyt), Immunoprecipitation (IP), Immunohistochemistry (IHC-P), Immunocytochemistry/immunofluorescence (ICC/IF) in Human, Mouse, Rat samples.

What is the molecular weight of SDHA?
Anti-SDHA [EPR9043(B)] - BSA and Azide free (ab240098) specifically detects a band for SDHA (UniProt: P31040) at a molecular weight of 72kDa.

Other related products
We have a range of other formats of antibody clone [EPR9043(B)] also available for your convenience: ab137040, Carrier free - ab240098, PE - ab305832, APC - ab305833, HRP - ab305834, Alkaline Phosphatase - ab308733, Alexa Fluor® 488 - ab309691, Alexa Fluor® 647 - ab310057, Alexa Fluor® 594 - ab310449, Alexa Fluor® 555 - ab311977, Alexa Fluor® 568 - ab312451, Alexa Fluor® 750 - ab321101

Patented technology
Our RabMAb® technology is a patented hybridoma-based technology for making rabbit monoclonal antibodies. For details on our patents, please refer to RabMAb® patents.

What are the advantages of a recombinant monoclonal antibody?
This product is a recombinant monoclonal antibody, which offers several advantages including:

  • - High batch-to-batch consistency and reproducibility
  • - Improved sensitivity and specificity
  • - Long-term security of supply
  • - Animal-free batch production

For more information, read more on recombinant antibodies.

Conjugation ready
Our carrier-free antibodies are typically supplied in a PBS-only formulation, purified and free of BSA, sodium azide and glycerol. This conjugation-ready format is designed for use with fluorochromes, metal isotopes, oligonucleotides, and enzymes, which makes them ideal for antibody labelling, functional and cell-based assays, flow-based assays (e.g. mass cytometry) and Multiplex Imaging applications.

Use our conjugation kits for antibody conjugates that are ready-to-use in as little as 20 minutes with 1 minute hands-on-time and 100% antibody recovery: available for fluorescent dyes, HRP, biotin and gold.

Compatibility
This product is compatible with the Maxpar® Antibody Labeling Kit from Fluidigm, without the need for antibody preparation. Maxpar® is a trademark of Fluidigm Canada Inc.

Properties and storage information

Form
Liquid
Purification technique
Affinity purification Protein A
Storage buffer
pH: 7.2 - 7.4 Constituents: PBS
Shipped at conditions
Blue Ice
Appropriate short-term storage conditions
+4°C
Appropriate long-term storage conditions
+4°C
Storage information
Do Not Freeze

Supplementary information

This supplementary information is collated from multiple sources and compiled automatically.

Succinate dehydrogenase complex flavoprotein subunit A (SDHA) also known as complex II Fp or SDH2 plays an important role in the mitochondrial electron transport chain and the tricarboxylic acid (TCA) cycle. It functions as a flavoprotein oxidoreductase catalyzing the oxidation of succinate to fumarate. With a molecular mass of approximately 72 kDa SDHA is expressed in the inner mitochondrial membrane of eukaryotic cells where it is a core component of the succinate dehydrogenase complex (SDHC). The complex is essential for cellular respiration and energy production.
Biological function summary

SDHA participates in the TCA cycle by accepting electrons from succinate which it donates to the coenzyme Q in the electron transport chain. This essential role connects SDHA to the regulation of ATP production in cells. SDHA operates as part of the larger succinate dehydrogenase (SDH) complex which includes other subunits such as SDHB SDHC and SDHD. This structurally integrated multisubunit complex influences mitochondrial integrity and cellular energy homeostasis.

Pathways

SDHA is deeply involved in the TCA cycle and oxidative phosphorylation pathway. As a part of these pathways it links to other critical enzymes such as fumarase and aconitase working in concert to drive the conversion of biochemical fuel into usable cellular energy. Its interactions with coenzyme Q and cytochrome complex enzymes are important for electron flow and proton gradient formation across the mitochondrial membrane. Such interactions are central to cellular respiration and energy generation.

Mutations in SDHA correlate with various mitochondrial diseases and cancer syndromes. Specifically SDHA mutations have an association with Leigh syndrome and certain types of mitochondrial complex II deficiency. These mutations disrupt the function of the SDH complex causing metabolic imbalances and energy production issues. Furthermore the integral interaction of SDHA with other SDH subunits means that alterations can impact this entire enzymatic complex with implications for cellular respiration and disease progression.

Product protocols

For this product, it's our understanding that no specific protocols are required. You can visit:

Target data

Flavoprotein (FP) subunit of succinate dehydrogenase (SDH) that is involved in complex II of the mitochondrial electron transport chain and is responsible for transferring electrons from succinate to ubiquinone (coenzyme Q) (PubMed : 10746566, PubMed : 24781757). SDH also oxidizes malate to the non-canonical enol form of oxaloacetate, enol-oxaloacetate (By similarity). Enol-oxaloacetate, which is a potent inhibitor of the succinate dehydrogenase activity, is further isomerized into keto-oxaloacetate (By similarity). Can act as a tumor suppressor (PubMed : 20484225).
See full target information SDHA

Publications (6)

Recent publications for all applications. Explore the full list and refine your search

Nature 644:790-798 PubMed40533564

2025

Kupffer cell programming by maternal obesity triggers fatty liver disease.

Applications

Unspecified application

Species

Unspecified reactive species

Hao Huang,Nora R Balzer,Lea Seep,Iva Splichalova,Nelli Blank-Stein,Maria Francesca Viola,Eliana Franco Taveras,Kerim Acil,Diana Fink,Franzisca Petrovic,Nikola Makdissi,Seyhmus Bayar,Katharina Mauel,Carolin Radwaniak,Jelena Zurkovic,Amir H Kayvanjoo,Klaus Wunderling,Malin Jessen,Mohamed H Yaghmour,Lukas Kenner,Thomas Ulas,Stephan Grein,Joachim L Schultze,Charlotte L Scott,Martin Guilliams,Zhaoyuan Liu,Florent Ginhoux,Marc D Beyer,Christoph Thiele,Felix Meissner,Jan Hasenauer,Dagmar Wachten,Elvira Mass

The Journal of clinical investigation 134: PubMed38954588

2024

Inhibiting the NADase CD38 improves cytomegalovirus-specific CD8+ T cell functionality and metabolism.

Applications

Unspecified application

Species

Unspecified reactive species

Nils Mülling,Felix M Behr,Graham A Heieis,Kristina Boss,Suzanne van Duikeren,Floortje J van Haften,Iris N Pardieck,Esmé Ti van der Gracht,Ward Vleeshouwers,Tetje C van der Sluis,J Fréderique de Graaf,Dominique Mb Veerkamp,Kees Lmc Franken,Xin Lei,Lukas van de Sand,Sjoerd H van der Burg,Marij Jp Welters,Sebastiaan Heidt,Wesley Huisman,Simon P Jochems,Martin Giera,Oliver Witzke,Aiko Pj de Vries,Andreas Kribben,Bart Everts,Benjamin Wilde,Ramon Arens

Nature cell biology 26:770-783 PubMed38600236

2024

Transcription-coupled DNA-protein crosslink repair by CSB and CRL4-mediated degradation.

Applications

Unspecified application

Species

Unspecified reactive species

Marjolein van Sluis,Qing Yu,Melanie van der Woude,Camila Gonzalo-Hansen,Shannon C Dealy,Roel C Janssens,Hedda B Somsen,Anisha R Ramadhin,Dick H W Dekkers,Hannah Lena Wienecke,Joris J P G Demmers,Anja Raams,Carlota Davó-Martínez,Diana A Llerena Schiffmacher,Marvin van Toorn,David Häckes,Karen L Thijssen,Di Zhou,Judith G Lammers,Alex Pines,Wim Vermeulen,Joris Pothof,Jeroen A A Demmers,Debbie L C van den Berg,Hannes Lans,Jurgen A Marteijn

Nature communications 14:5627 PubMed37699869

2023

Metabolic heterogeneity of tissue-resident macrophages in homeostasis and during helminth infection.

Applications

Flow Cyt (Intra)

Species

Mouse

Graham A Heieis,Thiago A Patente,Luís Almeida,Frank Vrieling,Tamar Tak,Georgia Perona-Wright,Rick M Maizels,Rinke Stienstra,Bart Everts

International journal of molecular sciences 24: PubMed37175983

2023

Role of the Gene Expression in the Clearance of Toxic Vitamin A Derivatives in Human Hair Follicle Stem Cells and Keratinocytes.

Applications

Unspecified application

Species

Unspecified reactive species

Aneta Ścieżyńska,Krzysztof Łuszczyński,Marcin Radziszewski,Michał Komorowski,Marta Soszyńska,Natalia Krześniak,Kateryna Shevchenko,Anna Lutyńska,Jacek Malejczyk

Cell reports 40:111032 PubMed35793635

2022

mTORC1 signaling in antigen-presenting cells of the skin restrains CD8 T cell priming.

Applications

Unspecified application

Species

Unspecified reactive species

Leonard R Pelgrom,Thiago A Patente,Frank Otto,Lonneke V Nouwen,Arifa Ozir-Fazalalikhan,Alwin J van der Ham,Hendrik J P van der Zande,Graham A Heieis,Ramon Arens,Bart Everts
View all publications

Product promise

We are committed to supporting your work with high-quality reagents, and we're here for you every step of the way. In the unlikely event that one of our products does not perform as expected, you're protected by our Product Promise.
For full details, please see our Terms & Conditions

Please note: All products are 'FOR RESEARCH USE ONLY. NOT FOR USE IN DIAGNOSTIC OR THERAPEUTIC PROCEDURES'.

For licensing inquiries, please contact partnerships@abcam.com