JavaScript is disabled in your browser. Please enable JavaScript to view this website.
AB154974

Anti-SDHB antibody

Be the first to review this product! Submit a review

|

(5 Publications)

Rabbit Polyclonal SDHB antibody. Suitable for WB, IHC-P, ICC/IF and reacts with Mouse, Human, Rat samples. Cited in 5 publications. Immunogen corresponding to Recombinant Fragment Protein within Human SDHB aa 50 to C-terminus.

View Alternative Names

SDH, SDH1, SDHB, Iron-sulfur subunit of complex II, Malate dehydrogenase [quinone] iron-sulfur subunit, Ip

5 Images
Immunocytochemistry/ Immunofluorescence - Anti-SDHB antibody (AB154974)
  • ICC/IF

Supplier Data

Immunocytochemistry/ Immunofluorescence - Anti-SDHB antibody (AB154974)

Immunofluorescence analysis of HeLa cells fixed in MeOH for 5 min labelling SDHB protein using ab154974 at a 1/500 dilution (Green). Hoechst 33342 was used for nuclear staining (Blue).

Immunohistochemistry (Formalin/PFA-fixed paraffin-embedded sections) - Anti-SDHB antibody (AB154974)
  • IHC-P

Supplier Data

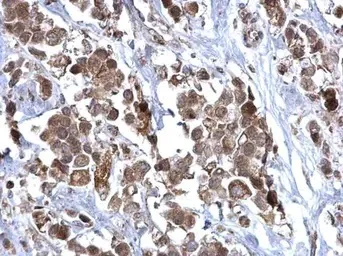
Immunohistochemistry (Formalin/PFA-fixed paraffin-embedded sections) - Anti-SDHB antibody (AB154974)

Immunohistochemical analysis of paraffin-embedded human breast carcinoma tissue stained for SDHB protein with ab154974 at a 1/500 dilution.

Antigen retrieval : EDTA based, pH 8.

Immunohistochemistry (Formalin/PFA-fixed paraffin-embedded sections) - Anti-SDHB antibody (AB154974)
  • IHC-P

Supplier Data

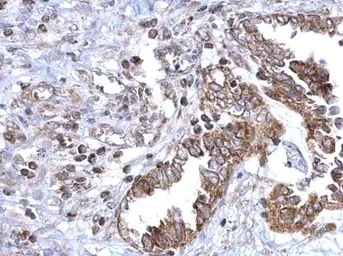
Immunohistochemistry (Formalin/PFA-fixed paraffin-embedded sections) - Anti-SDHB antibody (AB154974)

Immunohistochemical analysis of paraffin-embedded human ovarian carcinoma tissue stained for SDHB protein with ab154974 at a 1/500 dilution.

Antigen retrieval : EDTA based, pH 8.

Western blot - Anti-SDHB antibody (AB154974)
  • WB

Supplier Data

Western blot - Anti-SDHB antibody (AB154974)

Samples were separated by 12% SDS-PAGE.

All lanes:

Western blot - Anti-SDHB antibody (ab154974) at 1/2000 dilution

Lane 1:

293T whole cell extract at 30 µg

Lane 2:

A431 whole cell extract at 30 µg

Secondary

All lanes:

HRP-conjugated anti-rabbit IgG

Predicted band size: 32 kDa

false

Western blot - Anti-SDHB antibody (AB154974)
  • WB

Supplier Data

Western blot - Anti-SDHB antibody (AB154974)

Samples were separated by 12% SDS-PAGE.

All lanes:

Western blot - Anti-SDHB antibody (ab154974) at 1/1000 dilution

Lane 1:

Mouse brain tissue extract at 50 µg

Lane 2:

Rat brain tissue extract at 50 µg

Secondary

All lanes:

HRP-conjugated anti-rabbit IgG

Predicted band size: 32 kDa

false

Key facts

Host species

Rabbit

Clonality

Polyclonal

Isotype

IgG

Carrier free

No

Reacts with

Mouse, Human, Rat

Applications

WB, IHC-P, ICC/IF

applications

Immunogen

Recombinant Fragment Protein within Human SDHB aa 50 to C-terminus. The exact immunogen used to generate this antibody is proprietary information.

P21912

Reactivity data

{ "title": "Reactivity Data", "filters": { "stats": ["", "Species", "Dilution Info", "Notes"], "tabs": { "all-applications": {"fullname" : "All Applications", "shortname": "All Applications"}, "WB" : {"fullname" : "Western blot", "shortname":"WB"}, "IHCP" : {"fullname" : "Immunohistochemistry (Formalin/PFA-fixed paraffin-embedded sections)", "shortname":"IHC-P"}, "ICCIF" : {"fullname" : "Immunocytochemistry/ Immunofluorescence", "shortname":"ICC/IF"} }, "product-promise": { "all": "all", "testedAndGuaranteed": "tested", "guaranteed": "expected", "predicted": "predicted", "notRecommended": "not-recommended" } }, "values": { "Human": { "WB-species-checked": "testedAndGuaranteed", "WB-species-dilution-info": "1/500 - 1/3000", "WB-species-notes": "<p></p>", "IHCP-species-checked": "testedAndGuaranteed", "IHCP-species-dilution-info": "1/100 - 1/1000", "IHCP-species-notes": "<p>Perform heat mediated antigen retrieval before commencing with IHC staining protocol using 10mM Citrate buffer (pH6.0) or Tris-EDTA buffer (pH8.0).</p>", "ICCIF-species-checked": "testedAndGuaranteed", "ICCIF-species-dilution-info": "1/100 - 1/1000", "ICCIF-species-notes": "<p></p>" }, "Mouse": { "WB-species-checked": "testedAndGuaranteed", "WB-species-dilution-info": "1/500 - 1/3000", "WB-species-notes": "<p></p>", "IHCP-species-checked": "guaranteed", "IHCP-species-dilution-info": "", "IHCP-species-notes": "", "ICCIF-species-checked": "guaranteed", "ICCIF-species-dilution-info": "", "ICCIF-species-notes": "" }, "Rat": { "WB-species-checked": "testedAndGuaranteed", "WB-species-dilution-info": "1/500 - 1/3000", "WB-species-notes": "<p></p>", "IHCP-species-checked": "guaranteed", "IHCP-species-dilution-info": "", "IHCP-species-notes": "", "ICCIF-species-checked": "guaranteed", "ICCIF-species-dilution-info": "", "ICCIF-species-notes": "" } } }

Properties and storage information

Form
Liquid
Purification technique
Affinity purification Immunogen
Storage buffer
pH: 7 Preservative: 0.025% Proclin 300 Constituents: PBS, 20% Glycerol (glycerin, glycerine)
Shipped at conditions
Blue Ice
Appropriate short-term storage conditions
+4°C
Appropriate long-term storage conditions
-20°C
Aliquoting information
Upon delivery aliquot
Storage information
Avoid freeze / thaw cycle

Supplementary information

This supplementary information is collated from multiple sources and compiled automatically.

The protein SDHB also known as Succinate Dehydrogenase Complex Iron Sulfur Subunit B plays a mechanical role as a component of the succinate dehydrogenase (SDH) enzyme. This subunit has a molecular mass of approximately 30 kDa. SDHB is part of the mitochondrial inner membrane where it is expressed in high levels across various tissues including heart kidney and muscle. It contributes to the electron transport chain by facilitating the oxidation of succinate to fumarate an important step in energy production through the tricarboxylic acid (TCA) cycle.
Biological function summary

SDHB participates in the succinate dehydrogenase complex acting within both the TCA cycle and the electron transport chain. By transferring electrons to coenzyme Q it helps generate an electrochemical gradient important for ATP synthesis. This complex also called Complex II includes other subunits such as SDHA SDHC and SDHD. Their interactions ensure proper function of metabolic processes within mitochondria bridging the gap between foundational energy metabolism and complex cellular processes.

Pathways

SDHB plays an important role in cellular respiration and metabolic cycles. It resides in the TCA cycle and the mitochondrial electron transport chain connecting its function to energy generation pathways. Specifically SDHB relates closely to SDHA and coenzyme Q all working together to facilitate electron transfer and effective mitochondrial energy output. The transfer of electrons through this pathway highlights its essential contribution to maintaining cellular energy homeostasis.

SDHB mutations are associated with conditions such as paraganglioma and pheochromocytoma. These genetic alterations disrupt normal complex II function leading to the accumulation of succinate and succinate-related oncogenesis. In addition to causing tumor development defective SDHB is linked with familial paraganglioma syndromes. Its interaction with proteins such as SDHA and SDHD critical for the succinate dehydrogenase functionality highlights its significant role in maintaining metabolic balance and when defective contributing to disease pathogenesis.

Product protocols

For this product, it's our understanding that no specific protocols are required. You can visit:

Target data

Iron-sulfur protein (IP) subunit of the succinate dehydrogenase complex (mitochondrial respiratory chain complex II), responsible for transferring electrons from succinate to ubiquinone (coenzyme Q) (PubMed : 26925370, PubMed : 27604842). SDH also oxidizes malate to the non-canonical enol form of oxaloacetate, enol-oxaloacetate (By similarity). Enol-oxaloacetate, which is a potent inhibitor of the succinate dehydrogenase activity, is further isomerized into keto-oxaloacetate (By similarity).
See full target information SDHB

Publications (5)

Recent publications for all applications. Explore the full list and refine your search

PLoS genetics 21:e1011597 PubMed39908322

2025

Plant-specific cochaperone SSR1 affects root elongation by modulating the mitochondrial iron-sulfur cluster assembly machinery.

Applications

Unspecified application

Species

Unspecified reactive species

Xuanjun Feng,Yue Hu,Tao Xie,Huiling Han,Diana Bonea,Lijuan Zeng,Jie Liu,Wenhan Ying,Bona Mu,Yuanyuan Cai,Min Zhang,Yanli Lu,Rongmin Zhao,Xuejun Hua

EBioMedicine 108:105342 PubMed39321499

2024

Cellular and molecular determinants of bacterial burden in leprosy granulomas revealed by single-cell multimodal omics.

Applications

Unspecified application

Species

Unspecified reactive species

Zihao Mi,Zhenzhen Wang,Yi Wang,Xiaotong Xue,Xiaojie Liao,Chuan Wang,Lele Sun,Yingjie Lin,Jianwen Wang,Dianhao Guo,Tingting Liu,Jianjun Liu,Robert L Modlin,Hong Liu,Furen Zhang

Scientific reports 12:20551 PubMed36446868

2022

Fasting increases susceptibility to acute myocardial ischaemia/reperfusion injury through a sirtuin-3 mediated increase in fatty acid oxidation.

Applications

Unspecified application

Species

Unspecified reactive species

Andrew R Hall,Qutuba G Karwi,Sanjeev Kumar,Rachel Dongworth,Dunja Aksentijević,Tariq R Altamimi,Kevin Timothy Fridianto,Kroekkiat Chinda,Sauri Hernandez-Resendiz,Mohammad U Mahmood,Evangelos Michelakis,Chrishan J Ramachandra,Jianhong Ching,Jose M Vicencio,Michael J Shattock,Jean-Paul Kovalik,Derek M Yellon,Gary Lopaschuk,Derek J Hausenloy

Molecular genetics and metabolism 137:342-348 PubMed36335793

2022

GM3 synthase deficiency increases brain glucose metabolism in mice.

Applications

Unspecified application

Species

Unspecified reactive species

Sivakama S Bharathi,Bob B Zhang,Eli Paul,Yuxun Zhang,Alexandra V Schmidt,Benjamin Fowler,Yijen Wu,Michael Tiemeyer,Kei-Ichiro Inamori,Jin-Ichi Inokuchi,Eric S Goetzman

Cells 9: PubMed32664214

2020

Inhibition of HDAC1/2 Along with TRAP1 Causes Synthetic Lethality in Glioblastoma Model Systems.

Applications

Unspecified application

Species

Unspecified reactive species

Trang T T Nguyen,Yiru Zhang,Enyuan Shang,Chang Shu,Catarina M Quinzii,Mike-Andrew Westhoff,Georg Karpel-Massler,Markus D Siegelin
View all publications

Product promise

We are committed to supporting your work with high-quality reagents, and we're here for you every step of the way. In the unlikely event that one of our products does not perform as expected, you're protected by our Product Promise.
For full details, please see our Terms & Conditions

Please note: All products are 'FOR RESEARCH USE ONLY. NOT FOR USE IN DIAGNOSTIC OR THERAPEUTIC PROCEDURES'.

For licensing inquiries, please contact partnerships@abcam.com