JavaScript is disabled in your browser. Please enable JavaScript to view this website.
AB175225

Anti-SDHB antibody [EPR10880]

  • RabMAb
  • Recombinant
  • KO Validated
  • 20ul selling size
  • What is this?

Be the first to review this product! Submit a review

|

(25 Publications)

Anti-SDHB antibody [EPR10880] (ab175225) is a rabbit monoclonal antibody detecting SDHB in Western Blot, Flow Cytometry (Intra), Flow Cytometry, IP, IHC-P. Suitable for Human, Mouse, Rat.

- KO validated for confirmed specificity
- Biophysical QC for unrivalled batch-batch consistency

View Alternative Names

SDH, SDH1, SDHB, Iron-sulfur subunit of complex II, Malate dehydrogenase [quinone] iron-sulfur subunit, Ip

14 Images
Immunohistochemistry (Formalin/PFA-fixed paraffin-embedded sections) - Anti-SDHB antibody [EPR10880] (AB175225)
  • IHC-P

Lab

Immunohistochemistry (Formalin/PFA-fixed paraffin-embedded sections) - Anti-SDHB antibody [EPR10880] (AB175225)

Immunohistochemistry (Formalin/PFA-fixed paraffin-embedded sections) analysis of human mesenchymoma tissue labelling SDHB with purified ab175225 at a dilution of 1/2000. Heat mediated antigen retrieval was performed using Tris/EDTA buffer pH 9. ab97051 a HRP-conjugated goat anti-rabbit IgG (H+L) was used as the secondary antibody (1/500). Negative control using PBS instead of primary antibody. Counterstained with hematoxylin.

Flow Cytometry (Intracellular) - Anti-SDHB antibody [EPR10880] (AB175225)
  • Flow Cyt (Intra)

Supplier Data

Flow Cytometry (Intracellular) - Anti-SDHB antibody [EPR10880] (AB175225)

Intracellular flow cytometric analysis of permeabilized Jurkat cellslabeling SDHB with unpurified ab175225 at a dilution of 1/10 (red) compared toa rabbit IgG negative control (green).

Immunohistochemistry (Formalin/PFA-fixed paraffin-embedded sections) - Anti-SDHB antibody [EPR10880] (AB175225)
  • IHC-P

Lab

Immunohistochemistry (Formalin/PFA-fixed paraffin-embedded sections) - Anti-SDHB antibody [EPR10880] (AB175225)

Immunohistochemistry (Formalin/PFA-fixed paraffin-embedded sections) analysis of human liver tissue labelling SDHB with purified ab175225 at a dilution of 1/2000. Heat mediated antigen retrieval was performed using Tris/EDTA buffer pH 9. ab97051 a HRP-conjugated goat anti-rabbit IgG (H+L) was used as the secondary antibody (1/500). Negative control using PBS instead of primary antibody. Counterstained with hematoxylin.

Immunohistochemistry (Formalin/PFA-fixed paraffin-embedded sections) - Anti-SDHB antibody [EPR10880] (AB175225)
  • IHC-P

Supplier Data

Immunohistochemistry (Formalin/PFA-fixed paraffin-embedded sections) - Anti-SDHB antibody [EPR10880] (AB175225)

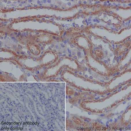
Immunohistochemistry (Formalin/PFA-fixed paraffin-embedded sections) analysis of human kidney tissue labeling SDHB with unpurified ab175225 at a dilution of 1/100.

Immunohistochemistry (Formalin/PFA-fixed paraffin-embedded sections) - Anti-SDHB antibody [EPR10880] (AB175225)
  • IHC-P

Supplier Data

Immunohistochemistry (Formalin/PFA-fixed paraffin-embedded sections) - Anti-SDHB antibody [EPR10880] (AB175225)

Immunohistochemistry (Formalin/PFA-fixed paraffin-embedded sections) analysis of human liver tissue labeling SDHB with unpurified ab175225 at a dilution of 1/100.

Flow Cytometry (Intracellular) - Anti-SDHB antibody [EPR10880] (AB175225)
  • Flow Cyt (Intra)

Lab

Flow Cytometry (Intracellular) - Anti-SDHB antibody [EPR10880] (AB175225)

Intracellular Flow Cytometry analysis ofA431 cells labelling SDHB with purified ab175225 at a dilution of 1/200 (red). Cells were fixed with 4% paraformaldehyde. An Alexa Fluor®488-conjugated goat anti-rabbit IgG (1/500) was used as the secondary antibody. Black - Isotype control, rabbit monoclonal IgG. Blue - Unlabelled control, cells without incubation with primary and secondary antibodies.

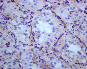
Immunohistochemistry (Formalin/PFA-fixed paraffin-embedded sections) - Anti-SDHB antibody [EPR10880] (AB175225)
  • IHC-P

Supplier Data

Immunohistochemistry (Formalin/PFA-fixed paraffin-embedded sections) - Anti-SDHB antibody [EPR10880] (AB175225)

Immunohistochemistry (Formalin/PFA-fixed paraffin-embedded sections) analysis of human carotid paraganglioma tissue labeling SDHB with unpurified ab175225 at a dilution of 1/100.

Immunoprecipitation - Anti-SDHB antibody [EPR10880] (AB175225)
  • IP

Lab

Immunoprecipitation - Anti-SDHB antibody [EPR10880] (AB175225)

ab175225 (purified) at a dilution of 1/60 immunoprecipitating SDHB in Jurkat whole cell lysate.

Lane 1 (input) : Jurkat whole cell lysate (10μg)

Lane 2 (+) : ab175225 + Jurkat whole cell lysate.

Lane 3 (-) : Rabbit monoclonal IgG (ab172730) instead of ab175225 in Jurkat whole cell lysate.

For western blotting, VeriBlot for IP Detection Reagent (HRP) (ab131366), was used for detection at 1/10,000 dilution.

Blocking buffer and concentration : 5% NFDM/TBST.

Diluting buffer and concentration : 5% NFDM /TBST.

All lanes:

Immunoprecipitation - Anti-SDHB antibody [EPR10880] (ab175225)

Predicted band size: 32 kDa

Observed band size: 32 kDa

false

Immunohistochemistry (Formalin/PFA-fixed paraffin-embedded sections) - Anti-SDHB antibody [EPR10880] (AB175225)
  • IHC-P

Lab

Immunohistochemistry (Formalin/PFA-fixed paraffin-embedded sections) - Anti-SDHB antibody [EPR10880] (AB175225)

Immunohistochemistry (Formalin/PFA-fixed paraffin-embedded sections) analysis of mouse kidney tissue labelling SDHB with purified ab175225 at a dilution of 1/2000. Heat mediated antigen retrieval was performed using Tris/EDTA buffer pH 9. ab97051 a HRP-conjugated goat anti-rabbit IgG (H+L) was used as the secondary antibody (1/500). Negative control using PBS instead of primary antibody. Counterstained with hematoxylin.

Immunohistochemistry (Formalin/PFA-fixed paraffin-embedded sections) - Anti-SDHB antibody [EPR10880] (AB175225)
  • IHC-P

Lab

Immunohistochemistry (Formalin/PFA-fixed paraffin-embedded sections) - Anti-SDHB antibody [EPR10880] (AB175225)

Immunohistochemistry (Formalin/PFA-fixed paraffin-embedded sections) analysis of rat kidney tissue labelling SDHB with purified ab175225 at a dilution of 1/2000. Heat mediated antigen retrieval was performed using Tris/EDTA buffer pH 9. ab97051 a HRP-conjugated goat anti-rabbit IgG (H+L) was used as the secondary antibody (1/500). Negative control using PBS instead of primary antibody. Counterstained with hematoxylin.

Western blot - Anti-SDHB antibody [EPR10880] (AB175225)
  • WB

Lab

Western blot - Anti-SDHB antibody [EPR10880] (AB175225)

Lanes 1 - 3 : Merged signal (red and green). Green - ab175225 observed at 32 kDa. Red - loading control, ab130007, observed at 130 kDa.

ab175225 was shown to recognize SDHB in wild-type HEK 293 cells as signal was lost at the expected MW in SDHB knockout cells. Additional cross-reactive bands were observed in the wild-type and knockout cells. Wild-type and SDHB knockout samples were subjected to SDS-PAGE. The membrane was blocked with 3% Milk. ab175225 and ab130007 (Mouse anti Vinculin loading control) were incubated overnight at 4°C at 1/50000 dilution and 1/20000 dilution respectively. Blots were developed with Goat anti-Rabbit IgG H&L (IRDye® 800CW) preabsorbed ab216773 and Goat anti-Mouse IgG H&L (IRDye® 680RD) preabsorbed ab216776 secondary antibodies at 1/20000 dilution for 1 hour at room temperature before imaging.

All lanes:

Western blot - Anti-SDHB antibody [EPR10880] (ab175225) at 1/50000 dilution

Lane 1:

Wild-type HEK-293 (Human epithelial cell line from embryonic kidney) whole cell lysate at 20 µg

Lane 2:

SDHB knockout HEK-293 (Human epithelial cell line from embryonic kidney) whole cell lysate at 20 µg

Lane 2:

Western blot - Human SDHB knockout HEK-293 cell line (<a href='/en-us/products/cell-lines/human-sdhb-knockout-hek-293-cell-line-ab260860'>ab260860</a>)

Lane 3:

Hep G2 (Human liver hepatocellular carcinoma cell line) whole cell lysate at 20 µg

Predicted band size: 32 kDa

false

Western blot - Anti-SDHB antibody [EPR10880] (AB175225)
  • WB

Supplier Data

Western blot - Anti-SDHB antibody [EPR10880] (AB175225)

All lanes:

Western blot - Anti-SDHB antibody [EPR10880] (ab175225) at 1/50000 dilution

Lane 1:

HepG2 cell lysate at 10 µg

Lane 2:

A431 cell lysate at 10 µg

Lane 3:

Jurkat cell lysate at 10 µg

Lane 4:

Fetal heart tissue lysate at 10 µg

Predicted band size: 32 kDa

false

Western blot - Anti-SDHB antibody [EPR10880] (AB175225)
  • WB

Lab

Western blot - Anti-SDHB antibody [EPR10880] (AB175225)

Blocking and dilution buffer : 5% NFDM/TBST

All lanes:

Western blot - Anti-SDHB antibody [EPR10880] (ab175225) at 1/100000 dilution

Lane 1:

HepG2 whole cell lysate at 10 µg

Lane 2:

Jurkat whole cell lysate at 10 µg

Secondary

All lanes:

Western blot - Goat Anti-Rabbit IgG H&L (HRP) (<a href='/en-us/products/secondary-antibodies/goat-rabbit-igg-h-l-hrp-ab97051'>ab97051</a>) at 1/20000 dilution

Predicted band size: 32 kDa

Observed band size: 32 kDa

false

Western blot - Anti-SDHB antibody [EPR10880] (AB175225)
  • WB

Lab

Western blot - Anti-SDHB antibody [EPR10880] (AB175225)

Blocking and dilution buffer : 5% NFDM/TBST

All lanes:

Western blot - Anti-SDHB antibody [EPR10880] (ab175225) at 1/100000 dilution

Lane 1:

Mouse brain tissue lysate at 10 µg

Lane 2:

Rat brain tissue lysate at 10 µg

Lane 3:

Mouse spleen tissue lysate at 10 µg

Secondary

All lanes:

Western blot - Goat Anti-Rabbit IgG H&L (HRP) (<a href='/en-us/products/secondary-antibodies/goat-rabbit-igg-h-l-hrp-ab97051'>ab97051</a>) at 1/20000 dilution

Predicted band size: 32 kDa

Observed band size: 32 kDa

false

  • HRP

    HRP Anti-SDHB antibody [EPR10880]

  • Biotin

    Biotin Anti-SDHB antibody [EPR10880]

  • Carrier free

    Anti-SDHB antibody [EPR10880] - BSA and Azide free

Key facts

Host species

Rabbit

Clonality

Monoclonal

Clone number

EPR10880

Isotype

IgG

Carrier free

No

Reacts with

Mouse, Rat, Human

Applications

IHC-P, Flow Cyt (Intra), WB, IP

applications

Immunogen

The exact immunogen used to generate this antibody is proprietary information.

Reactivity data

{ "title": "Reactivity Data", "filters": { "stats": ["", "Species", "Dilution Info", "Notes"], "tabs": { "all-applications": {"fullname" : "All Applications", "shortname": "All Applications"}, "IP" : {"fullname" : "Immunoprecipitation", "shortname":"IP"}, "WB" : {"fullname" : "Western blot", "shortname":"WB"}, "ICCIF" : {"fullname" : "Immunocytochemistry/ Immunofluorescence", "shortname":"ICC/IF"}, "FlowCytIntra" : {"fullname" : "Flow Cytometry (Intracellular)", "shortname":"Flow Cyt (Intra)"}, "IHCP" : {"fullname" : "Immunohistochemistry (Formalin/PFA-fixed paraffin-embedded sections)", "shortname":"IHC-P"} }, "product-promise": { "all": "all", "testedAndGuaranteed": "tested", "guaranteed": "expected", "predicted": "predicted", "notRecommended": "not-recommended" } }, "values": { "Human": { "IP-species-checked": "testedAndGuaranteed", "IP-species-dilution-info": "1/10 - 1/100", "IP-species-notes": "<p></p>", "WB-species-checked": "testedAndGuaranteed", "WB-species-dilution-info": "1/50000 - 1/200000", "WB-species-notes": "<p></p>", "ICCIF-species-checked": "notRecommended", "ICCIF-species-dilution-info": "", "ICCIF-species-notes": "<p></p>", "FlowCytIntra-species-checked": "testedAndGuaranteed", "FlowCytIntra-species-dilution-info": "1/10 - 1/200", "FlowCytIntra-species-notes": "<p><a href='/en-us/products/primary-antibodies/rabbit-igg-monoclonal-epr25a-isotype-control-ab172730'>ab172730</a> - Rabbit monoclonal IgG, is suitable for use as an isotype control with this antibody.</p>", "IHCP-species-checked": "testedAndGuaranteed", "IHCP-species-dilution-info": "1/2000", "IHCP-species-notes": "<p><strong>For unpurified use at 1/100 - 1/250.</strong></p> Perform heat-mediated antigen retrieval with Tris/EDTA buffer pH 9.0 before commencing with IHC staining protocol." }, "Mouse": { "IP-species-checked": "guaranteed", "IP-species-dilution-info": "", "IP-species-notes": "", "WB-species-checked": "testedAndGuaranteed", "WB-species-dilution-info": "1/50000 - 1/200000", "WB-species-notes": "<p></p>", "ICCIF-species-checked": "notRecommended", "ICCIF-species-dilution-info": "", "ICCIF-species-notes": "", "FlowCytIntra-species-checked": "guaranteed", "FlowCytIntra-species-dilution-info": "", "FlowCytIntra-species-notes": "", "IHCP-species-checked": "testedAndGuaranteed", "IHCP-species-dilution-info": "1/2000", "IHCP-species-notes": "<p><strong>For unpurified use at 1/100 - 1/250.</strong></p> Perform heat-mediated antigen retrieval with Tris/EDTA buffer pH 9.0 before commencing with IHC staining protocol." }, "Rat": { "IP-species-checked": "guaranteed", "IP-species-dilution-info": "", "IP-species-notes": "", "WB-species-checked": "guaranteed", "WB-species-dilution-info": "", "WB-species-notes": "", "ICCIF-species-checked": "notRecommended", "ICCIF-species-dilution-info": "", "ICCIF-species-notes": "", "FlowCytIntra-species-checked": "guaranteed", "FlowCytIntra-species-dilution-info": "", "FlowCytIntra-species-notes": "", "IHCP-species-checked": "testedAndGuaranteed", "IHCP-species-dilution-info": "1/2000", "IHCP-species-notes": "<p><strong>For unpurified use at 1/100 - 1/250.</strong></p> Perform heat-mediated antigen retrieval with Tris/EDTA buffer pH 9.0 before commencing with IHC staining protocol." } } }

Product details

What is this antibody validated in?
Anti-SDHB antibody [EPR10880] (ab175225) is a rabbit recombinant monoclonal antibody and is validated for use in Western Blot (WB), Flow Cytometry (Intra), Flow Cytometry (Flow Cyt), Immunoprecipitation (IP), Immunohistochemistry (IHC-P) in Human, Mouse, Rat samples.

What is the molecular weight of SDHB?
Anti-SDHB [EPR10880] (ab175225) specifically detects a band for SDHB (UniProt: P21912) at a molecular weight of 32kDa.

Trusted by the scientific community
Anti-SDHB [EPR10880] (ab175225) was first used in a scientific publication in 2013 and has been cited over 10 times in peer-reviewed journals.

Trial sizes available!
Test your antibody or perform pre-screening before committing to a larger quantity. Sold in 10µl. Discover our selection of trial-size antibodies.

Specificity confirmed
The specificity of Anti-SDHB antibody [EPR10880] (ab175225) has been confirmed by Western blot testing in SDHB Knockout HEK-293 cells.

Other related products
We have a range of other formats of antibody clone [EPR10880] also available for your convenience: ab175225, HRP - ab198329, Biotin - ab198330, Carrier free - ab249876

Patented technology
Our RabMAb® technology is a patented hybridoma-based technology for making rabbit monoclonal antibodies. For details on our patents, please refer to RabMAb® patents.

What are the advantages of a recombinant monoclonal antibody?
This product is a recombinant monoclonal antibody, which offers several advantages including:

  • - High batch-to-batch consistency and reproducibility
  • - Improved sensitivity and specificity
  • - Long-term security of supply
  • - Animal-free batch production

For more information, read more on recombinant antibodies.

Properties and storage information

Form
Liquid
Purification technique
Affinity purification Protein A
Storage buffer
Preservative: 0.01% Sodium azide Constituents: PBS, 40% Glycerol (glycerin, glycerine), 0.05% BSA
Shipped at conditions
Blue Ice
Appropriate short-term storage duration
1-2 weeks
Appropriate short-term storage conditions
+4°C
Appropriate long-term storage conditions
-20°C
Aliquoting information
Upon delivery aliquot
Storage information
Avoid freeze / thaw cycle

Supplementary information

This supplementary information is collated from multiple sources and compiled automatically.

The protein SDHB also known as Succinate Dehydrogenase Complex Iron Sulfur Subunit B plays a mechanical role as a component of the succinate dehydrogenase (SDH) enzyme. This subunit has a molecular mass of approximately 30 kDa. SDHB is part of the mitochondrial inner membrane where it is expressed in high levels across various tissues including heart kidney and muscle. It contributes to the electron transport chain by facilitating the oxidation of succinate to fumarate an important step in energy production through the tricarboxylic acid (TCA) cycle.
Biological function summary

SDHB participates in the succinate dehydrogenase complex acting within both the TCA cycle and the electron transport chain. By transferring electrons to coenzyme Q it helps generate an electrochemical gradient important for ATP synthesis. This complex also called Complex II includes other subunits such as SDHA SDHC and SDHD. Their interactions ensure proper function of metabolic processes within mitochondria bridging the gap between foundational energy metabolism and complex cellular processes.

Pathways

SDHB plays an important role in cellular respiration and metabolic cycles. It resides in the TCA cycle and the mitochondrial electron transport chain connecting its function to energy generation pathways. Specifically SDHB relates closely to SDHA and coenzyme Q all working together to facilitate electron transfer and effective mitochondrial energy output. The transfer of electrons through this pathway highlights its essential contribution to maintaining cellular energy homeostasis.

SDHB mutations are associated with conditions such as paraganglioma and pheochromocytoma. These genetic alterations disrupt normal complex II function leading to the accumulation of succinate and succinate-related oncogenesis. In addition to causing tumor development defective SDHB is linked with familial paraganglioma syndromes. Its interaction with proteins such as SDHA and SDHD critical for the succinate dehydrogenase functionality highlights its significant role in maintaining metabolic balance and when defective contributing to disease pathogenesis.

Product protocols

For this product, it's our understanding that no specific protocols are required. You can visit:

Target data

Iron-sulfur protein (IP) subunit of the succinate dehydrogenase complex (mitochondrial respiratory chain complex II), responsible for transferring electrons from succinate to ubiquinone (coenzyme Q) (PubMed : 26925370, PubMed : 27604842). SDH also oxidizes malate to the non-canonical enol form of oxaloacetate, enol-oxaloacetate (By similarity). Enol-oxaloacetate, which is a potent inhibitor of the succinate dehydrogenase activity, is further isomerized into keto-oxaloacetate (By similarity).
See full target information SDHB

Publications (25)

Recent publications for all applications. Explore the full list and refine your search

Journal of translational medicine 23:162 PubMed39915841

2025

MT2A promotes angiogenesis in chronically ischemic brains through a copper-mitochondria regulatory mechanism.

Applications

Unspecified application

Species

Unspecified reactive species

Ni Mo,Chuyang Tai,Yang Yang,Cong Ling,Baoyu Zhang,Lei Wei,Cian Yao,Hui Wang,Chuan Chen

Cancer & metabolism 12:39 PubMed39716277

2024

Similar deficiencies, different outcomes: succinate dehydrogenase loss in adrenal medulla vs. fibroblast cell culture models of paraganglioma.

Applications

Unspecified application

Species

Unspecified reactive species

Fatimah J Al Khazal,Sanjana Mahadev Bhat,Yuxiang Zhu,Cristina M de Araujo Correia,Sherry X Zhou,Brandon A Wilbanks,Clifford D Folmes,Gary C Sieck,Judith Favier,L James Maher

Nature communications 15:10599 PubMed39638793

2024

Aberrant METTL1-mediated tRNA mG modification alters B-cell responses in systemic autoimmunity in humans and mice.

Applications

Unspecified application

Species

Unspecified reactive species

Shuyi Wang,Hui Han,Yichao Qian,Xinyuan Ruan,Zhangmei Lin,Jin Li,Binfeng Chen,Yimei Lai,Zhaoyu Wang,Mengyuan Li,Jingping Wen,Xiaoyu Yin,Niansheng Yang,Shuibin Lin,Hui Zhang

Cell reports. Medicine 5:101840 PubMed39626672

2024

Chemical activation of mitochondrial ClpP to modulate energy metabolism of CD4 T cell for inflammatory bowel diseases treatment.

Applications

Unspecified application

Species

Unspecified reactive species

Jiangnan Zhang,Yunhan Jiang,Dongmei Fan,Zhiqiang Qiu,Xinlian He,Song Liu,Linjie Li,Zhengyi Dai,Lidan Zhang,Ziyi Shu,Lili Li,Hu Zhang,Tao Yang,Youfu Luo

Cell reports. Medicine 5:101837 PubMed39615486

2024

Structure-guided development of selective caseinolytic protease P agonists as antistaphylococcal agents.

Applications

Unspecified application

Species

Unspecified reactive species

Tao Zhang,Pengyu Wang,Hailing Zhou,Bingyan Wei,Yanling Zhao,Jiahui Li,Min Zhang,Wenjuan Wu,Lefu Lan,Jianhua Gan,Cai-Guang Yang

Journal of medicinal chemistry 67:21009-21029 PubMed39574384

2024

Discovery of CLPP-1071 as an Exceptionally Potent and Orally Efficacious Human ClpP Activator with Strong In Vivo Antitumor Activity.

Applications

Unspecified application

Species

Unspecified reactive species

Beijing Chen,Mingyang Sun,Chun Zhang,Qi Huang,Dan Teng,Linghao Hu,Huicong Ma,Xinyi Lin,Zan Huang,Renzhao Gui,Xiaobei Hu,Lei Xu,Mingyue Zheng,Yubo Zhou,Jia Li,Mingliang Wang

World journal of diabetes 15:2123-2134 PubMed39493567

2024

Effect of cuproptosis on acute kidney injury after cardiopulmonary bypass in diabetic patients.

Applications

Unspecified application

Species

Unspecified reactive species

Xi-Jin Deng,Yi-Nan Wang,Chuan-Bao Lv,Zhong-Zhi Qiu,Ling-Xin Zhu,Jing-Hui Shi,Si-Ri-Gu-Leng Sana

International journal of nanomedicine 19:9799-9819 PubMed39345912

2024

Metabolic Reprogramming of CD4 T Cells by Mesenchymal Stem Cell-Derived Extracellular Vesicles Attenuates Autoimmune Hepatitis Through Mitochondrial Protein Transfer.

Applications

Unspecified application

Species

Unspecified reactive species

Mengyi Shen,Leyu Zhou,Xiaoli Fan,Ruiqi Wu,Shuyun Liu,Qiaoyu Deng,Yanyi Zheng,Jingping Liu,Li Yang

Redox biology 73:103207 PubMed38805974

2024

Redistribution of defective mitochondria-mediated dihydroorotate dehydrogenase imparts 5-fluorouracil resistance in colorectal cancer.

Applications

Unspecified application

Species

Unspecified reactive species

Shuohui Dong,Mingguang Zhang,Zhiqiang Cheng,Xiang Zhang,Weili Liang,Songhan Li,Linchuan Li,Qian Xu,Siyi Song,Zitian Liu,Guangwei Yang,Xiang Zhao,Ze Tao,Shuo Liang,Kexin Wang,Guangyong Zhang,Sanyuan Hu

Nature communications 15:4195 PubMed38760351

2024

Ferritinophagy mediates adaptive resistance to EGFR tyrosine kinase inhibitors in non-small cell lung cancer.

Applications

Unspecified application

Species

Unspecified reactive species

Hui Wang,Qianfan Hu,Yuzhong Chen,Xing Huang,Yipeng Feng,Yuanjian Shi,Rutao Li,Xuewen Yin,Xuming Song,Yingkuan Liang,Te Zhang,Lin Xu,Gaochao Dong,Feng Jiang
View all publications

Product promise

We are committed to supporting your work with high-quality reagents, and we're here for you every step of the way. In the unlikely event that one of our products does not perform as expected, you're protected by our Product Promise.
For full details, please see our Terms & Conditions

Please note: All products are 'FOR RESEARCH USE ONLY. NOT FOR USE IN DIAGNOSTIC OR THERAPEUTIC PROCEDURES'.

For licensing inquiries, please contact partnerships@abcam.com