JavaScript is disabled in your browser. Please enable JavaScript to view this website.
AB249876

Anti-SDHB antibody [EPR10880] - BSA and Azide free

Be the first to review this product! Submit a review

|

(1 Publication)

Rabbit Recombinant Monoclonal SDHB antibody. Carrier free. Suitable for IP, WB, IHC-P, Flow Cyt (Intra) and reacts with Human, Mouse, Rat samples. Cited in 1 publication.

View Alternative Names

SDH, SDH1, SDHB, Iron-sulfur subunit of complex II, Malate dehydrogenase [quinone] iron-sulfur subunit, Ip

14 Images
Immunohistochemistry (Formalin/PFA-fixed paraffin-embedded sections) - Anti-SDHB antibody [EPR10880] - BSA and Azide free (AB249876)
  • IHC-P

Lab

Immunohistochemistry (Formalin/PFA-fixed paraffin-embedded sections) - Anti-SDHB antibody [EPR10880] - BSA and Azide free (AB249876)

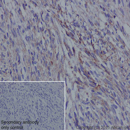
This data was developed using ab175225, the same antibody clone in a different buffer formulation.

Immunohistochemistry (Formalin/PFA-fixed paraffin-embedded sections) analysis of human mesenchymoma tissue labelling SDHB with purified ab175225 at a dilution of 1/2000. Heat mediated antigen retrieval was performed using Tris/EDTA buffer pH 9. ab97051, a HRP-conjugated goat anti-rabbit IgG (H+L) was used as the secondary antibody (1/500). Negative control using PBS instead of primary antibody. Counterstained with hematoxylin.

Flow Cytometry (Intracellular) - Anti-SDHB antibody [EPR10880] - BSA and Azide free (AB249876)
  • Flow Cyt (Intra)

Supplier Data

Flow Cytometry (Intracellular) - Anti-SDHB antibody [EPR10880] - BSA and Azide free (AB249876)

This data was developed using ab175225, the same antibody clone in a different buffer formulation.

Intracellular flow cytometric analysis of permeabilized Jurkat cells labeling SDHB with unpurified ab175225 at a dilution of 1/10 (red) compared to a rabbit IgG negative control (green).

Immunohistochemistry (Formalin/PFA-fixed paraffin-embedded sections) - Anti-SDHB antibody [EPR10880] - BSA and Azide free (AB249876)
  • IHC-P

Lab

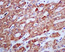
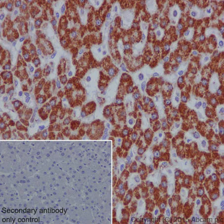
Immunohistochemistry (Formalin/PFA-fixed paraffin-embedded sections) - Anti-SDHB antibody [EPR10880] - BSA and Azide free (AB249876)

This data was developed using ab175225, the same antibody clone in a different buffer formulation.

Immunohistochemistry (Formalin/PFA-fixed paraffin-embedded sections) analysis of human liver tissue labelling SDHB with purified ab175225 at a dilution of 1/2000. Heat mediated antigen retrieval was performed using Tris/EDTA buffer pH 9. ab97051, a HRP-conjugated goat anti-rabbit IgG (H+L) was used as the secondary antibody (1/500). Negative control using PBS instead of primary antibody. Counterstained with hematoxylin.

Immunohistochemistry (Formalin/PFA-fixed paraffin-embedded sections) - Anti-SDHB antibody [EPR10880] - BSA and Azide free (AB249876)
  • IHC-P

Supplier Data

Immunohistochemistry (Formalin/PFA-fixed paraffin-embedded sections) - Anti-SDHB antibody [EPR10880] - BSA and Azide free (AB249876)

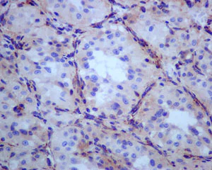
This data was developed using ab175225, the same antibody clone in a different buffer formulation.

Immunohistochemistry (Formalin/PFA-fixed paraffin-embedded sections) analysis of human kidney tissue labeling SDHB with unpurified ab175225 at a dilution of 1/100.

Immunohistochemistry (Formalin/PFA-fixed paraffin-embedded sections) - Anti-SDHB antibody [EPR10880] - BSA and Azide free (AB249876)
  • IHC-P

Supplier Data

Immunohistochemistry (Formalin/PFA-fixed paraffin-embedded sections) - Anti-SDHB antibody [EPR10880] - BSA and Azide free (AB249876)

This data was developed using ab175225, the same antibody clone in a different buffer formulation.

Immunohistochemistry (Formalin/PFA-fixed paraffin-embedded sections) analysis of human liver tissue labeling SDHB with unpurified ab175225 at a dilution of 1/100.

Flow Cytometry (Intracellular) - Anti-SDHB antibody [EPR10880] - BSA and Azide free (AB249876)
  • Flow Cyt (Intra)

Lab

Flow Cytometry (Intracellular) - Anti-SDHB antibody [EPR10880] - BSA and Azide free (AB249876)

This data was developed using ab175225, the same antibody clone in a different buffer formulation.

Intracellular Flow Cytometry analysis of A431 cells labelling SDHB with purified ab175225 at a dilution of 1/200 (red). Cells were fixed with 4% paraformaldehyde. An Alexa Fluor® 488-conjugated goat anti-rabbit IgG (1/500) was used as the secondary antibody. Black - Isotype control, rabbit monoclonal IgG. Blue - Unlabelled control, cells without incubation with primary and secondary antibodies.

Immunohistochemistry (Formalin/PFA-fixed paraffin-embedded sections) - Anti-SDHB antibody [EPR10880] - BSA and Azide free (AB249876)
  • IHC-P

Supplier Data

Immunohistochemistry (Formalin/PFA-fixed paraffin-embedded sections) - Anti-SDHB antibody [EPR10880] - BSA and Azide free (AB249876)

This data was developed using ab175225, the same antibody clone in a different buffer formulation.

Immunohistochemistry (Formalin/PFA-fixed paraffin-embedded sections) analysis of human carotid paraganglioma tissue labeling SDHB with unpurified ab175225 at a dilution of 1/100.

Immunoprecipitation - Anti-SDHB antibody [EPR10880] - BSA and Azide free (AB249876)
  • IP

Lab

Immunoprecipitation - Anti-SDHB antibody [EPR10880] - BSA and Azide free (AB249876)

This data was developed using ab175225, the same antibody clone in a different buffer formulation.

ab175225 (purified) at a dilution of 1/60 immunoprecipitating SDHB in Jurkat whole cell lysate.

Lane 1 (input) : Jurkat whole cell lysate (10μg)

Lane 2 (+) : ab175225 + Jurkat whole cell lysate.

Lane 3 (-) : Rabbit monoclonal IgG (ab172730) instead of ab175225 in Jurkat whole cell lysate.

For western blotting, VeriBlot for IP Detection Reagent (HRP) (ab131366), was used for detection at 1/10,000 dilution.

Blocking and dilution buffer : 5% NFDM/TBST.

All lanes:

Immunoprecipitation - Anti-SDHB antibody [EPR10880] (<a href='/en-us/products/primary-antibodies/sdhb-antibody-epr10880-ab175225'>ab175225</a>)

Predicted band size: 32 kDa

Observed band size: 32 kDa

false

Immunohistochemistry (Formalin/PFA-fixed paraffin-embedded sections) - Anti-SDHB antibody [EPR10880] - BSA and Azide free (AB249876)
  • IHC-P

Lab

Immunohistochemistry (Formalin/PFA-fixed paraffin-embedded sections) - Anti-SDHB antibody [EPR10880] - BSA and Azide free (AB249876)

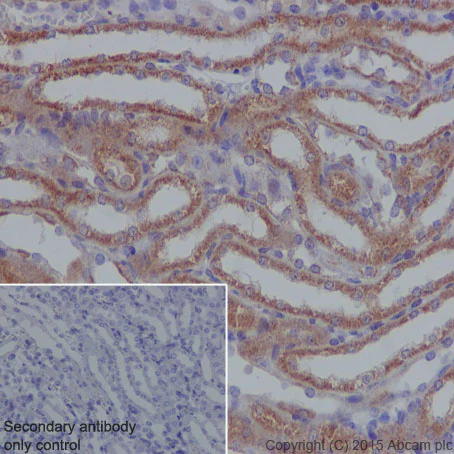
This data was developed using ab175225, the same antibody clone in a different buffer formulation.

Immunohistochemistry (Formalin/PFA-fixed paraffin-embedded sections) analysis of mouse kidney tissue labelling SDHB with purified ab175225 at a dilution of 1/2000. Heat mediated antigen retrieval was performed using Tris/EDTA buffer pH 9. ab97051, a HRP-conjugated goat anti-rabbit IgG (H+L) was used as the secondary antibody (1/500). Negative control using PBS instead of primary antibody. Counterstained with hematoxylin.

Immunohistochemistry (Formalin/PFA-fixed paraffin-embedded sections) - Anti-SDHB antibody [EPR10880] - BSA and Azide free (AB249876)
  • IHC-P

Lab

Immunohistochemistry (Formalin/PFA-fixed paraffin-embedded sections) - Anti-SDHB antibody [EPR10880] - BSA and Azide free (AB249876)

This data was developed using ab175225, the same antibody clone in a different buffer formulation.

Immunohistochemistry (Formalin/PFA-fixed paraffin-embedded sections) analysis of rat kidney tissue labelling SDHB with purified ab175225 at a dilution of 1/2000. Heat mediated antigen retrieval was performed using Tris/EDTA buffer pH 9. ab97051, a HRP-conjugated goat anti-rabbit IgG (H+L) was used as the secondary antibody (1/500). Negative control using PBS instead of primary antibody. Counterstained with hematoxylin.

Western blot - Anti-SDHB antibody [EPR10880] - BSA and Azide free (AB249876)
  • WB

Lab

Western blot - Anti-SDHB antibody [EPR10880] - BSA and Azide free (AB249876)

This data was developed using ab175225, the same antibody clone in a different buffer formulation.

Lanes 1 - 3 : Merged signal (red and green). Green - ab175225 observed at 32 kDa. Red - loading control, ab130007, observed at 130 kDa.

ab175225 was shown to recognize SDHB in wild-type HEK 293 cells as signal was lost at the expected MW in SDHB knockout cells. Additional cross-reactive bands were observed in the wild-type and knockout cells. Wild-type and SDHB knockout samples were subjected to SDS-PAGE. The membrane was blocked with 3% Milk. ab175225 and ab130007 (Mouse anti-Vinculin loading control) were incubated overnight at 4°C at 1/50000 dilution and 1/20000 dilution respectively. Blots were developed with Goat anti-Rabbit IgG H&L (IRDye® 800CW) preabsorbed ab216773 and Goat anti-Mouse IgG H&L (IRDye® 680RD) preabsorbed ab216776 secondary antibodies at 1/20000 dilution for 1 hour at room temperature before imaging.

All lanes:

Western blot - Anti-SDHB antibody [EPR10880] (<a href='/en-us/products/primary-antibodies/sdhb-antibody-epr10880-ab175225'>ab175225</a>) at 1/50000 dilution

Lane 1:

Wild-type HEK-293 (Human epithelial cell line from embryonic kidney) whole cell lysate at 20 µg

Lane 2:

SDHB knockout HEK-293 (Human epithelial cell line from embryonic kidney) whole cell lysate at 20 µg

Lane 2:

Western blot - Human SDHB knockout HEK-293 cell line (<a href='/en-us/products/cell-lines/human-sdhb-knockout-hek-293-cell-line-ab260860'>ab260860</a>)

Lane 3:

Hep G2 (Human liver hepatocellular carcinoma cell line) whole cell lysate at 20 µg

Predicted band size: 32 kDa

false

Western blot - Anti-SDHB antibody [EPR10880] - BSA and Azide free (AB249876)
  • WB

Supplier Data

Western blot - Anti-SDHB antibody [EPR10880] - BSA and Azide free (AB249876)

This data was developed using ab175225, the same antibody clone in a different buffer formulation.

All lanes:

Western blot - Anti-SDHB antibody [EPR10880] (<a href='/en-us/products/primary-antibodies/sdhb-antibody-epr10880-ab175225'>ab175225</a>) at 1/50000 dilution

Lane 1:

HepG2 cell lysate at 10 µg

Lane 2:

A431 cell lysate at 10 µg

Lane 3:

Jurkat cell lysate at 10 µg

Lane 4:

Fetal heart tissue lysate at 10 µg

Predicted band size: 32 kDa

false

Western blot - Anti-SDHB antibody [EPR10880] - BSA and Azide free (AB249876)
  • WB

Lab

Western blot - Anti-SDHB antibody [EPR10880] - BSA and Azide free (AB249876)

This data was developed using ab175225, the same antibody clone in a different buffer formulation.

Blocking and dilution buffer : 5% NFDM/TBST.

All lanes:

Western blot - Anti-SDHB antibody [EPR10880] (<a href='/en-us/products/primary-antibodies/sdhb-antibody-epr10880-ab175225'>ab175225</a>) at 1/100000 dilution

Lane 1:

HepG2 whole cell lysate at 10 µg

Lane 2:

Jurkat whole cell lysate at 10 µg

Secondary

All lanes:

Western blot - Goat Anti-Rabbit IgG H&L (HRP) (<a href='/en-us/products/secondary-antibodies/goat-rabbit-igg-h-l-hrp-ab97051'>ab97051</a>) at 1/20000 dilution

Predicted band size: 32 kDa

Observed band size: 32 kDa

false

Western blot - Anti-SDHB antibody [EPR10880] - BSA and Azide free (AB249876)
  • WB

Lab

Western blot - Anti-SDHB antibody [EPR10880] - BSA and Azide free (AB249876)

This data was developed using ab175225, the same antibody clone in a different buffer formulation.

Blocking and dilution buffer : 5% NFDM/TBST.

All lanes:

Western blot - Anti-SDHB antibody [EPR10880] (<a href='/en-us/products/primary-antibodies/sdhb-antibody-epr10880-ab175225'>ab175225</a>) at 1/100000 dilution

Lane 1:

Mouse brain tissue lysate at 10 µg

Lane 2:

Rat brain tissue lysate at 10 µg

Lane 3:

Mouse spleen tissue lysate at 10 µg

Secondary

All lanes:

Western blot - Goat Anti-Rabbit IgG H&L (HRP) (<a href='/en-us/products/secondary-antibodies/goat-rabbit-igg-h-l-hrp-ab97051'>ab97051</a>) at 1/20000 dilution

Predicted band size: 32 kDa

Observed band size: 32 kDa

false

  • Unconjugated

    Anti-SDHB antibody [EPR10880]

  • HRP

    HRP Anti-SDHB antibody [EPR10880]

  • Biotin

    Biotin Anti-SDHB antibody [EPR10880]

Key facts

Host species

Rabbit

Clonality

Monoclonal

Clone number

EPR10880

Isotype

IgG

Carrier free

Yes

Reacts with

Mouse, Rat, Human

Applications

WB, IHC-P, IP, Flow Cyt (Intra)

applications

Immunogen

The exact immunogen used to generate this antibody is proprietary information.

Reactivity data

{ "title": "Reactivity Data", "filters": { "stats": ["", "Species", "Dilution Info", "Notes"], "tabs": { "all-applications": {"fullname" : "All Applications", "shortname": "All Applications"}, "IP" : {"fullname" : "Immunoprecipitation", "shortname":"IP"}, "WB" : {"fullname" : "Western blot", "shortname":"WB"}, "IHCP" : {"fullname" : "Immunohistochemistry (Formalin/PFA-fixed paraffin-embedded sections)", "shortname":"IHC-P"}, "ICCIF" : {"fullname" : "Immunocytochemistry/ Immunofluorescence", "shortname":"ICC/IF"}, "FlowCytIntra" : {"fullname" : "Flow Cytometry (Intracellular)", "shortname":"Flow Cyt (Intra)"} }, "product-promise": { "all": "all", "testedAndGuaranteed": "tested", "guaranteed": "expected", "predicted": "predicted", "notRecommended": "not-recommended" } }, "values": { "Human": { "IP-species-checked": "testedAndGuaranteed", "IP-species-dilution-info": "", "IP-species-notes": "<p></p>", "WB-species-checked": "testedAndGuaranteed", "WB-species-dilution-info": "", "WB-species-notes": "<p></p>", "IHCP-species-checked": "testedAndGuaranteed", "IHCP-species-dilution-info": "", "IHCP-species-notes": "<p></p>", "ICCIF-species-checked": "notRecommended", "ICCIF-species-dilution-info": "", "ICCIF-species-notes": "<p></p>", "FlowCytIntra-species-checked": "testedAndGuaranteed", "FlowCytIntra-species-dilution-info": "", "FlowCytIntra-species-notes": "<p></p>" }, "Mouse": { "IP-species-checked": "guaranteed", "IP-species-dilution-info": "", "IP-species-notes": "", "WB-species-checked": "testedAndGuaranteed", "WB-species-dilution-info": "", "WB-species-notes": "<p></p>", "IHCP-species-checked": "testedAndGuaranteed", "IHCP-species-dilution-info": "", "IHCP-species-notes": "<p></p>", "ICCIF-species-checked": "notRecommended", "ICCIF-species-dilution-info": "", "ICCIF-species-notes": "<p></p>", "FlowCytIntra-species-checked": "guaranteed", "FlowCytIntra-species-dilution-info": "", "FlowCytIntra-species-notes": "" }, "Rat": { "IP-species-checked": "guaranteed", "IP-species-dilution-info": "", "IP-species-notes": "", "WB-species-checked": "testedAndGuaranteed", "WB-species-dilution-info": "", "WB-species-notes": "<p></p>", "IHCP-species-checked": "testedAndGuaranteed", "IHCP-species-dilution-info": "", "IHCP-species-notes": "<p></p>", "ICCIF-species-checked": "notRecommended", "ICCIF-species-dilution-info": "", "ICCIF-species-notes": "<p></p>", "FlowCytIntra-species-checked": "guaranteed", "FlowCytIntra-species-dilution-info": "", "FlowCytIntra-species-notes": "" } } }

Product details

ab249876 is the carrier-free version of ab175225.

Patented technology
Our RabMAb® technology is a patented hybridoma-based technology for making rabbit monoclonal antibodies. For details on our patents, please refer to RabMAb® patents.

What are the advantages of a recombinant monoclonal antibody?
This product is a recombinant monoclonal antibody, which offers several advantages including:

  • - High batch-to-batch consistency and reproducibility
  • - Improved sensitivity and specificity
  • - Long-term security of supply
  • - Animal-free batch production

For more information, read more on recombinant antibodies.

Conjugation ready
Our carrier-free antibodies are typically supplied in a PBS-only formulation, purified and free of BSA, sodium azide and glycerol. This conjugation-ready format is designed for use with fluorochromes, metal isotopes, oligonucleotides, and enzymes, which makes them ideal for antibody labelling, functional and cell-based assays, flow-based assays (e.g. mass cytometry) and Multiplex Imaging applications.

Use our conjugation kits for antibody conjugates that are ready-to-use in as little as 20 minutes with 1 minute hands-on-time and 100% antibody recovery: available for fluorescent dyes, HRP, biotin and gold.

Compatibility
This product is compatible with the Maxpar® Antibody Labeling Kit from Fluidigm, without the need for antibody preparation. Maxpar® is a trademark of Fluidigm Canada Inc.

Properties and storage information

Form
Liquid
Purification technique
Affinity purification Protein A
Storage buffer
pH: 7.2 - 7.4 Constituents: PBS
Shipped at conditions
Blue Ice
Appropriate short-term storage conditions
+4°C
Appropriate long-term storage conditions
+4°C
Storage information
Do Not Freeze

Supplementary information

This supplementary information is collated from multiple sources and compiled automatically.

The protein SDHB also known as Succinate Dehydrogenase Complex Iron Sulfur Subunit B plays a mechanical role as a component of the succinate dehydrogenase (SDH) enzyme. This subunit has a molecular mass of approximately 30 kDa. SDHB is part of the mitochondrial inner membrane where it is expressed in high levels across various tissues including heart kidney and muscle. It contributes to the electron transport chain by facilitating the oxidation of succinate to fumarate an important step in energy production through the tricarboxylic acid (TCA) cycle.
Biological function summary

SDHB participates in the succinate dehydrogenase complex acting within both the TCA cycle and the electron transport chain. By transferring electrons to coenzyme Q it helps generate an electrochemical gradient important for ATP synthesis. This complex also called Complex II includes other subunits such as SDHA SDHC and SDHD. Their interactions ensure proper function of metabolic processes within mitochondria bridging the gap between foundational energy metabolism and complex cellular processes.

Pathways

SDHB plays an important role in cellular respiration and metabolic cycles. It resides in the TCA cycle and the mitochondrial electron transport chain connecting its function to energy generation pathways. Specifically SDHB relates closely to SDHA and coenzyme Q all working together to facilitate electron transfer and effective mitochondrial energy output. The transfer of electrons through this pathway highlights its essential contribution to maintaining cellular energy homeostasis.

SDHB mutations are associated with conditions such as paraganglioma and pheochromocytoma. These genetic alterations disrupt normal complex II function leading to the accumulation of succinate and succinate-related oncogenesis. In addition to causing tumor development defective SDHB is linked with familial paraganglioma syndromes. Its interaction with proteins such as SDHA and SDHD critical for the succinate dehydrogenase functionality highlights its significant role in maintaining metabolic balance and when defective contributing to disease pathogenesis.

Product protocols

For this product, it's our understanding that no specific protocols are required. You can visit:

Target data

Iron-sulfur protein (IP) subunit of the succinate dehydrogenase complex (mitochondrial respiratory chain complex II), responsible for transferring electrons from succinate to ubiquinone (coenzyme Q) (PubMed : 26925370, PubMed : 27604842). SDH also oxidizes malate to the non-canonical enol form of oxaloacetate, enol-oxaloacetate (By similarity). Enol-oxaloacetate, which is a potent inhibitor of the succinate dehydrogenase activity, is further isomerized into keto-oxaloacetate (By similarity).
See full target information SDHB

Publications (1)

Recent publications for all applications. Explore the full list and refine your search

Frontiers in cell and developmental biology 9:775642 PubMed35004677

2021

HIF-1α Induces HECTD2 Up-Regulation and Aggravates the Malignant Progression of Renal Cell Cancer Repressing miR-320a.

Applications

Unspecified application

Species

Unspecified reactive species

Dong Lv,Taimin Shen,Juncheng Yao,Qi Yang,Ying Xiang,Zhiwei Ma
View all publications

Product promise

We are committed to supporting your work with high-quality reagents, and we're here for you every step of the way. In the unlikely event that one of our products does not perform as expected, you're protected by our Product Promise.
For full details, please see our Terms & Conditions

Please note: All products are 'FOR RESEARCH USE ONLY. NOT FOR USE IN DIAGNOSTIC OR THERAPEUTIC PROCEDURES'.

For licensing inquiries, please contact partnerships@abcam.com