JavaScript is disabled in your browser. Please enable JavaScript to view this website.
AB178423

Anti-SDHB antibody [EPR13042(B)]

5

(1 Review)

|

(24 Publications)

Anti-SDHB antibody [EPR13042(B)] (ab178423) is a rabbit monoclonal antibody detecting SDHB in Western Blot, Flow Cytometry (Intra), Flow Cytometry, IP, IHC-P. Suitable for Human.

- KO validated for confirmed specificity
- Biophysical QC for unrivalled batch-batch consistency
- Over 10 publications

View Alternative Names

SDH, SDH1, SDHB, Iron-sulfur subunit of complex II, Malate dehydrogenase [quinone] iron-sulfur subunit, Ip

6 Images
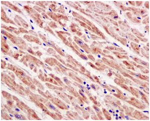
Immunohistochemistry (Formalin/PFA-fixed paraffin-embedded sections) - Anti-SDHB antibody [EPR13042(B)] (AB178423)
  • IHC-P

Supplier Data

Immunohistochemistry (Formalin/PFA-fixed paraffin-embedded sections) - Anti-SDHB antibody [EPR13042(B)] (AB178423)

Immunohistochemical analysis of paraffin-embedded Human heart tissue labeling SDHB with ab178423 at 1/50 dilution.

Perform heat mediated antigen retrieval before commencing with IHC staining protocol.

Immunohistochemistry (Formalin/PFA-fixed paraffin-embedded sections) - Anti-SDHB antibody [EPR13042(B)] (AB178423)
  • IHC-P

Supplier Data

Immunohistochemistry (Formalin/PFA-fixed paraffin-embedded sections) - Anti-SDHB antibody [EPR13042(B)] (AB178423)

Immunohistochemical analysis of paraffin-embedded Human kidney tissue labeling SDHB with ab178423 at 1/50 dilution.

Perform heat mediated antigen retrieval before commencing with IHC staining protocol.

Flow Cytometry (Intracellular) - Anti-SDHB antibody [EPR13042(B)] (AB178423)
  • Flow Cyt (Intra)

Supplier Data

Flow Cytometry (Intracellular) - Anti-SDHB antibody [EPR13042(B)] (AB178423)

Intracellular flow cytometric analysis of permeabilized HepG2 cells labeling SDHB with ab178423 at 1/10 dilution (red) compared with a rabbit IgG negative control (green).

Western blot - Anti-SDHB antibody [EPR13042(B)] (AB178423)
  • WB

Lab

Western blot - Anti-SDHB antibody [EPR13042(B)] (AB178423)

Lanes 1 - 3 : Merged signal (red and green). Green - ab178423 observed at 32 kDa. Red - loading control, ab130007, observed at 130 kDa.

ab178423 was shown to recognize SDHB in wild-type HEK 293 cells as signal was lost at the expected MW in SDHB knockout cells. Additional cross-reactive bands were observed in the wild-type and knockout cells. Wild-type and SDHB knockout samples were subjected to SDS-PAGE. The membrane was blocked with 3% Milk. ab178423 and ab130007 (Mouse anti Vinculin loading control) were incubated overnight at 4°C at 1/5000 dilution and 1/20000 dilution respectively. Blots were developed with Goat anti-Rabbit IgG H&L (IRDye® 800CW) preabsorbed ab216773 and Goat anti-Mouse IgG H&L (IRDye® 680RD) preabsorbed ab216776 secondary antibodies at 1/20000 dilution for 1 hour at room temperature before imaging.

All lanes:

Western blot - Anti-SDHB antibody [EPR13042(B)] (ab178423) at 1/5000 dilution

Lane 1:

Wild-type HEK-293 (Human epithelial cell line from embryonic kidney) whole cell lysate at 20 µg

Lane 2:

SDHB knockout HEK-293 whole cell lysate at 20 µg

Lane 3:

Hep G2 (Human liver hepatocellular carcinoma cell line) whole cell lysate at 20 µg

Secondary

Lanes 1 - 3:

Western blot - Goat anti-Rabbit IgG H&L (IRDye® 800CW) preadsorbed (<a href='/en-us/products/secondary-antibodies/goat-rabbit-igg-h-l-irdye-800cw-preadsorbed-ab216773'>ab216773</a>) at 1/20000 dilution

Lanes 1 - 3:

Western blot - Goat anti-Mouse IgG H&L (IRDye® 680RD) preadsorbed (<a href='/en-us/products/secondary-antibodies/goat-mouse-igg-h-l-irdye-680rd-preadsorbed-ab216776'>ab216776</a>) at 1/20000 dilution

Predicted band size: 32 kDa

Observed band size: 130 kDa

false

Immunoprecipitation - Anti-SDHB antibody [EPR13042(B)] (AB178423)
  • IP

Supplier Data

Immunoprecipitation - Anti-SDHB antibody [EPR13042(B)] (AB178423)

Western blot analysis on immunoprecipitation pellet from (1) A431 cell lysate or (2) 1X PBS (negative control) immunoprecipitated using ab178423 at 1/10 dilution. Detection utilized HRP-conjugated anti-rabbit IgG which preferentially detects the non-reduced form of rabbit IgG.

All lanes:

Immunoprecipitation - Anti-SDHB antibody [EPR13042(B)] (ab178423)

Predicted band size: 32 kDa,76 kDa

Observed band size: 100 kDa,85 kDa

false

Western blot - Anti-SDHB antibody [EPR13042(B)] (AB178423)
  • WB

Supplier Data

Western blot - Anti-SDHB antibody [EPR13042(B)] (AB178423)

All lanes:

Western blot - Anti-SDHB antibody [EPR13042(B)] (ab178423) at 1/1000 dilution

Lane 1:

Human fetal liver tissue lysate at 10 µg

Lane 2:

HepG2 cell lysate at 10 µg

Lane 3:

A431 cell lysate at 10 µg

Lane 4:

Jurkat cell lysate at 10 µg

Secondary

All lanes:

Goat anti-rabbit HRP at 1/2000 dilution

Predicted band size: 32 kDa

false

  • 578 PE

    PE Anti-SDHB antibody [EPR13042(B)]

  • 660 APC

    APC Anti-SDHB antibody [EPR13042(B)]

  • HRP

    HRP Anti-SDHB antibody [EPR13042(B)]

  • 519 Alexa Fluor® 488

    Alexa Fluor® 488 Anti-SDHB antibody [EPR13042(B)]

  • 617 Alexa Fluor® 594

    Alexa Fluor® 594 Anti-SDHB antibody [EPR13042(B)]

  • 603 Alexa Fluor® 568

    Alexa Fluor® 568 Anti-SDHB antibody [EPR13042(B)]

  • 565 Alexa Fluor® 555

    Alexa Fluor® 555 Anti-SDHB antibody [EPR13042(B)]

  • Carrier free

    Anti-SDHB antibody [EPR13042(B)] - BSA and Azide free

  • 665 Alexa Fluor® 647

    Alexa Fluor® 647 Anti-SDHB antibody [EPR13042(B)]

  • 775 Alexa Fluor® 750

    Alexa Fluor® 750 Anti-SDHB antibody [EPR13042(B)]

Key facts

Host species

Rabbit

Clonality

Monoclonal

Clone number

EPR13042(B)

Isotype

IgG

Carrier free

No

Reacts with

Human

Applications

IHC-P, Flow Cyt (Intra), IP, WB

applications

Immunogen

The exact immunogen used to generate this antibody is proprietary information.

Reactivity data

{ "title": "Reactivity Data", "filters": { "stats": ["", "Species", "Dilution Info", "Notes"], "tabs": { "all-applications": {"fullname" : "All Applications", "shortname": "All Applications"}, "IHCP" : {"fullname" : "Immunohistochemistry (Formalin/PFA-fixed paraffin-embedded sections)", "shortname":"IHC-P"}, "ICCIF" : {"fullname" : "Immunocytochemistry/ Immunofluorescence", "shortname":"ICC/IF"}, "IP" : {"fullname" : "Immunoprecipitation", "shortname":"IP"}, "WB" : {"fullname" : "Western blot", "shortname":"WB"}, "FlowCytIntra" : {"fullname" : "Flow Cytometry (Intracellular)", "shortname":"Flow Cyt (Intra)"} }, "product-promise": { "all": "all", "testedAndGuaranteed": "tested", "guaranteed": "expected", "predicted": "predicted", "notRecommended": "not-recommended" } }, "values": { "Human": { "IHCP-species-checked": "testedAndGuaranteed", "IHCP-species-dilution-info": "1/50 - 1/100", "IHCP-species-notes": "<p></p> Perform heat-mediated antigen retrieval before commencing with IHC staining protocol.", "ICCIF-species-checked": "notRecommended", "ICCIF-species-dilution-info": "", "ICCIF-species-notes": "<p></p>", "IP-species-checked": "testedAndGuaranteed", "IP-species-dilution-info": "1/10 - 1/100", "IP-species-notes": "<p></p>", "WB-species-checked": "testedAndGuaranteed", "WB-species-dilution-info": "1/1000 - 1/10000", "WB-species-notes": "<p></p>", "FlowCytIntra-species-checked": "testedAndGuaranteed", "FlowCytIntra-species-dilution-info": "1/10 - 1/100", "FlowCytIntra-species-notes": "<p><a href='/en-us/products/primary-antibodies/rabbit-igg-monoclonal-epr25a-isotype-control-ab172730'>ab172730</a> - Rabbit monoclonal IgG, is suitable for use as an isotype control with this antibody.</p>" }, "Mouse": { "IHCP-species-checked": "predicted", "IHCP-species-dilution-info": "", "IHCP-species-notes": "", "ICCIF-species-checked": "notRecommended", "ICCIF-species-dilution-info": "", "ICCIF-species-notes": "", "IP-species-checked": "predicted", "IP-species-dilution-info": "", "IP-species-notes": "", "WB-species-checked": "predicted", "WB-species-dilution-info": "", "WB-species-notes": "", "FlowCytIntra-species-checked": "predicted", "FlowCytIntra-species-dilution-info": "", "FlowCytIntra-species-notes": "" }, "Rat": { "IHCP-species-checked": "predicted", "IHCP-species-dilution-info": "", "IHCP-species-notes": "", "ICCIF-species-checked": "notRecommended", "ICCIF-species-dilution-info": "", "ICCIF-species-notes": "", "IP-species-checked": "predicted", "IP-species-dilution-info": "", "IP-species-notes": "", "WB-species-checked": "predicted", "WB-species-dilution-info": "", "WB-species-notes": "", "FlowCytIntra-species-checked": "predicted", "FlowCytIntra-species-dilution-info": "", "FlowCytIntra-species-notes": "" } } }

Product details

What is this antibody validated in?
Anti-SDHB antibody [EPR13042(B)] (ab178423) is a rabbit recombinant monoclonal antibody and is validated for use in Western Blot (WB), Flow Cytometry (Intra), Flow Cytometry (Flow Cyt), Immunoprecipitation (IP), Immunohistochemistry (IHC-P) in Human samples.

What is the molecular weight of SDHB?
Anti-SDHB [EPR13042(B)] (ab178423) specifically detects a band for SDHB (UniProt: P21912) at a molecular weight of 32kDa.

Trusted by the scientific community
Anti-SDHB [EPR13042(B)] (ab178423) was first used in a scientific publication in 2013 and has been cited over 10 times in peer-reviewed journals.

Trial sizes available!
Test your antibody or perform pre-screening before committing to a larger quantity. Sold in 10µl. Discover our selection of trial-size antibodies.

Specificity confirmed
The specificity of Anti-SDHB antibody [EPR13042(B)] (ab178423) has been confirmed by Western blot testing in SDHB Knockout HEK-293 cells.

Other related products
We have a range of other formats of antibody clone [EPR13042(B)] also available for your convenience: ab178423, Carrier free - ab250046, PE - ab305931, APC - ab305932, HRP - ab305933, Alkaline Phosphatase - ab308925, Alexa Fluor® 488 - ab309855, Alexa Fluor® 647 - ab310223, Alexa Fluor® 594 - ab310670, Alexa Fluor® 555 - ab312201, Alexa Fluor® 568 - ab312689, Alexa Fluor® 750 - ab321213

Patented technology
Our RabMAb® technology is a patented hybridoma-based technology for making rabbit monoclonal antibodies. For details on our patents, please refer to RabMAb® patents.

What are the advantages of a recombinant monoclonal antibody?
This product is a recombinant monoclonal antibody, which offers several advantages including:

  • - High batch-to-batch consistency and reproducibility
  • - Improved sensitivity and specificity
  • - Long-term security of supply
  • - Animal-free batch production

For more information, read more on recombinant antibodies.

Properties and storage information

Form
Liquid
Purification technique
Affinity purification Protein A
Storage buffer
pH: 7.2 - 7.4 Preservative: 0.01% Sodium azide Constituents: PBS, 50% Tissue culture supernatant, 40% Glycerol (glycerin, glycerine), 0.05% BSA
Shipped at conditions
Blue Ice
Appropriate short-term storage duration
1-2 weeks
Appropriate short-term storage conditions
+4°C
Appropriate long-term storage conditions
-20°C
Aliquoting information
Upon delivery aliquot
Storage information
Avoid freeze / thaw cycle

Supplementary information

This supplementary information is collated from multiple sources and compiled automatically.

The protein SDHB also known as Succinate Dehydrogenase Complex Iron Sulfur Subunit B plays a mechanical role as a component of the succinate dehydrogenase (SDH) enzyme. This subunit has a molecular mass of approximately 30 kDa. SDHB is part of the mitochondrial inner membrane where it is expressed in high levels across various tissues including heart kidney and muscle. It contributes to the electron transport chain by facilitating the oxidation of succinate to fumarate an important step in energy production through the tricarboxylic acid (TCA) cycle.
Biological function summary

SDHB participates in the succinate dehydrogenase complex acting within both the TCA cycle and the electron transport chain. By transferring electrons to coenzyme Q it helps generate an electrochemical gradient important for ATP synthesis. This complex also called Complex II includes other subunits such as SDHA SDHC and SDHD. Their interactions ensure proper function of metabolic processes within mitochondria bridging the gap between foundational energy metabolism and complex cellular processes.

Pathways

SDHB plays an important role in cellular respiration and metabolic cycles. It resides in the TCA cycle and the mitochondrial electron transport chain connecting its function to energy generation pathways. Specifically SDHB relates closely to SDHA and coenzyme Q all working together to facilitate electron transfer and effective mitochondrial energy output. The transfer of electrons through this pathway highlights its essential contribution to maintaining cellular energy homeostasis.

SDHB mutations are associated with conditions such as paraganglioma and pheochromocytoma. These genetic alterations disrupt normal complex II function leading to the accumulation of succinate and succinate-related oncogenesis. In addition to causing tumor development defective SDHB is linked with familial paraganglioma syndromes. Its interaction with proteins such as SDHA and SDHD critical for the succinate dehydrogenase functionality highlights its significant role in maintaining metabolic balance and when defective contributing to disease pathogenesis.

Product protocols

For this product, it's our understanding that no specific protocols are required. You can visit:

Target data

Iron-sulfur protein (IP) subunit of the succinate dehydrogenase complex (mitochondrial respiratory chain complex II), responsible for transferring electrons from succinate to ubiquinone (coenzyme Q) (PubMed : 26925370, PubMed : 27604842). SDH also oxidizes malate to the non-canonical enol form of oxaloacetate, enol-oxaloacetate (By similarity). Enol-oxaloacetate, which is a potent inhibitor of the succinate dehydrogenase activity, is further isomerized into keto-oxaloacetate (By similarity).
See full target information SDHB

Publications (24)

Recent publications for all applications. Explore the full list and refine your search

Advanced science (Weinheim, Baden-Wurttemberg, Germany) 12:e2408599 PubMed39656941

2024

Enhanced Oxidative Phosphorylation Driven by TACO1 Mitochondrial Translocation Promotes Stemness and Cisplatin Resistance in Bladder Cancer.

Applications

Unspecified application

Species

Unspecified reactive species

Minhua Deng,Zhaohui Zhou,Jiawei Chen,Xiangdong Li,Zefu Liu,Jingwei Ye,Wensu Wei,Ning Wang,Yulu Peng,Xin Luo,Lijuan Jiang,Fangjian Zhou,Xianchong Zheng,Zhuowei Liu

Cellular & molecular biology letters 29:113 PubMed39198750

2024

Triptolide-induced cuproptosis is a novel antitumor strategy for the treatment of cervical cancer.

Applications

Unspecified application

Species

Unspecified reactive species

Yanxia Xiao,Jiameng Yin,Pu Liu,Xin Zhang,Yajun Lin,Jun Guo

Cell communication and signaling : CCS 22:82 PubMed38291428

2024

Extracellular succinate derived from ectopic milieu drives adhesion and implantation growth of ectopic endometrial stromal cells via the SUCNR1 signal in endometriosis.

Applications

Unspecified application

Species

Unspecified reactive species

Qi Tian,Jingyao Ruan,Yuning Wang,Yinping Xiao,Qi Cheng,Yun Chen,Mingqing Li,Kaikai Chang,Xiaofang Yi

iScience 26:108218 PubMed37953954

2023

Targeting cuproptosis by zinc pyrithione in triple-negative breast cancer.

Applications

Unspecified application

Species

Unspecified reactive species

Xu Yang,Li Deng,Xianhong Diao,Siyuan Yang,Li Zou,Qin Yang,Jian Li,Jianyun Nie,Lina Zhao,Baowei Jiao

International journal of molecular sciences 24: PubMed37569637

2023

Reciprocal Regulation of Peroxisome Biogenesis and Myogenic Factors Is Critical for Myogenesis.

Applications

Unspecified application

Species

Unspecified reactive species

Chuan-Che Wu,Wei-Cheng Chen,Wen-Po Hsiao,Kai-Fan Huang,Yi-Shiuan Liao,Huang-Bin Lin,Yi-Ju Wu,Chien-Han Kao,Shen-Liang Chen

iScience 26:107446 PubMed37599822

2023

Mutational burden of XPNPEP3 leads to defects in mitochondrial complex I and cilia in NPHPL1.

Applications

Unspecified application

Species

Unspecified reactive species

Lingxiao Tong,Jia Rao,Chenxi Yang,Jie Xu,Yijun Lu,Yuchen Zhang,Xiaohui Cang,Shanshan Xie,Jianhua Mao,Pingping Jiang

Cell death discovery 9:251 PubMed37460539

2023

Neuroprotective effect of a medium-chain triglyceride ketogenic diet on MPTP-induced Parkinson's disease mice: a combination of transcriptomics and metabolomics in the substantia nigra and fecal microbiome.

Applications

Unspecified application

Species

Unspecified reactive species

Wenlong Zhang,Shiyu Chen,Xingting Huang,Huichun Tong,Hongxin Niu,Lingli Lu

Cell & bioscience 13:87 PubMed37179385

2023

Hinokitiol-iron complex is a ferroptosis inducer to inhibit triple-negative breast tumor growth.

Applications

Unspecified application

Species

Unspecified reactive species

Hongting Zhao,Meng Zhang,Jinghua Zhang,Zichen Sun,Wenxin Zhang,Weichen Dong,Chen Cheng,Yongzhong Yao,Kuanyu Li

Annals of translational medicine 10:1367 PubMed36660661

2023

SDHB reduction promotes oral lichen planus by impairing mitochondrial respiratory function.

Applications

Unspecified application

Species

Unspecified reactive species

Hui Zhang,Beiyun Xu,Jin Liu,Bin Guo,Hongying Sun,Qiaozhen Yang

Nature cell biology 24:872-884 PubMed35668135

2022

The metabolic enzyme hexokinase 2 localizes to the nucleus in AML and normal haematopoietic stem and progenitor cells to maintain stemness.

Applications

Unspecified application

Species

Unspecified reactive species

Geethu Emily Thomas,Grace Egan,Laura García-Prat,Aaron Botham,Veronique Voisin,Parasvi S Patel,Fieke W Hoff,Jordan Chin,Boaz Nachmias,Kerstin B Kaufmann,Dilshad H Khan,Rose Hurren,Xiaoming Wang,Marcela Gronda,Neil MacLean,Cristiana O'Brien,Rashim P Singh,Courtney L Jones,Shane M Harding,Brian Raught,Andrea Arruda,Mark D Minden,Gary D Bader,Razq Hakem,Steve Kornblau,John E Dick,Aaron D Schimmer
View all publications

Product promise

We are committed to supporting your work with high-quality reagents, and we're here for you every step of the way. In the unlikely event that one of our products does not perform as expected, you're protected by our Product Promise.
For full details, please see our Terms & Conditions

Please note: All products are 'FOR RESEARCH USE ONLY. NOT FOR USE IN DIAGNOSTIC OR THERAPEUTIC PROCEDURES'.

For licensing inquiries, please contact partnerships@abcam.com