JavaScript is disabled in your browser. Please enable JavaScript to view this website.
AB250046

Anti-SDHB antibody [EPR13042(B)] - BSA and Azide free

Be the first to review this product! Submit a review

|

(1 Publication)

Rabbit Recombinant Monoclonal SDHB antibody. Carrier free. Suitable for IHC-P, IP, WB, Flow Cyt (Intra) and reacts with Human samples. Cited in 1 publication.

View Alternative Names

SDH, SDH1, SDHB, Iron-sulfur subunit of complex II, Malate dehydrogenase [quinone] iron-sulfur subunit, Ip

6 Images
Immunohistochemistry (Formalin/PFA-fixed paraffin-embedded sections) - Anti-SDHB antibody [EPR13042(B)] - BSA and Azide free (AB250046)
  • IHC-P

Supplier Data

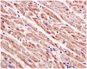
Immunohistochemistry (Formalin/PFA-fixed paraffin-embedded sections) - Anti-SDHB antibody [EPR13042(B)] - BSA and Azide free (AB250046)

This data was developed using ab178423, the same antibody clone in a different buffer formulation.

Immunohistochemical analysis of paraffin-embedded Human heart tissue labeling SDHB with ab178423 at 1/50 dilution.

Perform heat mediated antigen retrieval before commencing with IHC staining protocol.

Immunohistochemistry (Formalin/PFA-fixed paraffin-embedded sections) - Anti-SDHB antibody [EPR13042(B)] - BSA and Azide free (AB250046)
  • IHC-P

Supplier Data

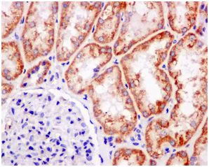
Immunohistochemistry (Formalin/PFA-fixed paraffin-embedded sections) - Anti-SDHB antibody [EPR13042(B)] - BSA and Azide free (AB250046)

This data was developed using ab178423, the same antibody clone in a different buffer formulation.

Immunohistochemical analysis of paraffin-embedded Human kidney tissue labeling SDHB with ab178423 at 1/50 dilution.

Perform heat mediated antigen retrieval before commencing with IHC staining protocol.

Flow Cytometry (Intracellular) - Anti-SDHB antibody [EPR13042(B)] - BSA and Azide free (AB250046)
  • Flow Cyt (Intra)

Supplier Data

Flow Cytometry (Intracellular) - Anti-SDHB antibody [EPR13042(B)] - BSA and Azide free (AB250046)

This data was developed using ab178423, the same antibody clone in a different buffer formulation.

Intracellular flow cytometric analysis of permeabilized HepG2 cells labeling SDHB with ab178423 at 1/10 dilution (red) compared with a rabbit IgG negative control (green).

Immunoprecipitation - Anti-SDHB antibody [EPR13042(B)] - BSA and Azide free (AB250046)
  • IP

Supplier Data

Immunoprecipitation - Anti-SDHB antibody [EPR13042(B)] - BSA and Azide free (AB250046)

This data was developed using ab178423, the same antibody clone in a different buffer formulation.

Western blot analysis on immunoprecipitation pellet from (1) A431 cell lysate or (2) 1X PBS (negative control) immunoprecipitated using ab178423 at 1/10 dilution. Detection utilized HRP-conjugated anti-rabbit IgG which preferentially detects the non-reduced form of rabbit IgG.

All lanes:

Immunoprecipitation - Anti-SDHB antibody [EPR13042(B)] (<a href='/en-us/products/primary-antibodies/sdhb-antibody-epr13042b-ab178423'>ab178423</a>)

Predicted band size: 32 kDa,76 kDa

Observed band size: 100 kDa,85 kDa

false

Western blot - Anti-SDHB antibody [EPR13042(B)] - BSA and Azide free (AB250046)
  • WB

Lab

Western blot - Anti-SDHB antibody [EPR13042(B)] - BSA and Azide free (AB250046)

This data was developed using ab178423, the same antibody clone in a different buffer formulation. Lane 1 : Wild-type HEK-293 whole cell lysate
Lane 2 : SDHB knockout HEK-293 whole cell lysate
Lane 3 : Hep G2 (Human liver hepatocellular carcinoma cell line) whole cell lysate
Lanes 1 - 3 : Merged signal (red and green). Green - ab178423 observed at 32 kDa. Red - loading control, ab130007, observed at 130 kDa.
ab178423 was shown to recognize SDHB in wild-type HEK-293 cells as signal was lost at the expected MW in SDHB knockout cell line ab260860 (knockout cell lysate ab261652). Additional cross-reactive bands were observed in the wild-type and knockout cell lysate. Wild-type and SDHB knockout samples were subjected to SDS-PAGE. The membrane was blocked with 3% milk. ab178423 and ab130007 (Mouse anti Vinculin loading control) were incubated overnight at 4°C at 1/5000 dilution and 1/20000 dilution respectively. Blots were developed with Goat anti-Rabbit IgG H&L (IRDye® 800CW) preabsorbed ab216773 and Goat anti-Mouse IgG H&L (IRDye® 680RD) preabsorbed ab216776 secondary antibodies at 1/20000 dilution for 1 hour at room temperature before imaging.

All lanes:

Western blot - Anti-SDHB antibody [EPR13042(B)] (<a href='/en-us/products/primary-antibodies/sdhb-antibody-epr13042b-ab178423'>ab178423</a>) at 1/5000 dilution

Lane 1:

Wild-type HEK-293 (Human epithelial cell line from embryonic kidney) whole cell lysate at 20 µg

Lane 2:

Western blot - Human SDHB knockout HEK-293 cell lysate (<a href='/en-us/products/cell-lysates/human-sdhb-knockout-hek-293-cell-lysate-ab261652'>ab261652</a>) at 20 µg

Lane 3:

Hep G2 (Human liver hepatocellular carcinoma cell line) whole cell lysate at 20 µg

Secondary

Lanes 1 - 3:

Western blot - Goat anti-Rabbit IgG H&L (IRDye® 800CW) preadsorbed (<a href='/en-us/products/secondary-antibodies/goat-rabbit-igg-h-l-irdye-800cw-preadsorbed-ab216773'>ab216773</a>) at 1/20000 dilution

Lanes 1 - 3:

Western blot - Goat anti-Mouse IgG H&L (IRDye® 680RD) preadsorbed (<a href='/en-us/products/secondary-antibodies/goat-mouse-igg-h-l-irdye-680rd-preadsorbed-ab216776'>ab216776</a>) at 1/20000 dilution

Predicted band size: 32 kDa

Observed band size: 32 kDa,130 kDa

false

Western blot - Anti-SDHB antibody [EPR13042(B)] - BSA and Azide free (AB250046)
  • WB

Supplier Data

Western blot - Anti-SDHB antibody [EPR13042(B)] - BSA and Azide free (AB250046)

This data was developed using ab178423, the same antibody clone in a different buffer formulation.

All lanes:

Western blot - Anti-SDHB antibody [EPR13042(B)] (<a href='/en-us/products/primary-antibodies/sdhb-antibody-epr13042b-ab178423'>ab178423</a>) at 1/1000 dilution

Lane 1:

Human fetal liver tissue lysate at 10 µg

Lane 2:

HepG2 cell lysate at 10 µg

Lane 3:

A431 cell lysate at 10 µg

Lane 4:

Jurkat cell lysate at 10 µg

Secondary

All lanes:

Goat anti-rabbit HRP at 1/2000 dilution

Predicted band size: 32 kDa

false

  • Unconjugated

    Anti-SDHB antibody [EPR13042(B)]

  • 775 Alexa Fluor® 750

    Alexa Fluor® 750 Anti-SDHB antibody [EPR13042(B)]

  • 578 PE

    PE Anti-SDHB antibody [EPR13042(B)]

  • 660 APC

    APC Anti-SDHB antibody [EPR13042(B)]

  • HRP

    HRP Anti-SDHB antibody [EPR13042(B)]

  • 519 Alexa Fluor® 488

    Alexa Fluor® 488 Anti-SDHB antibody [EPR13042(B)]

  • 665 Alexa Fluor® 647

    Alexa Fluor® 647 Anti-SDHB antibody [EPR13042(B)]

  • 617 Alexa Fluor® 594

    Alexa Fluor® 594 Anti-SDHB antibody [EPR13042(B)]

  • 565 Alexa Fluor® 555

    Alexa Fluor® 555 Anti-SDHB antibody [EPR13042(B)]

  • 603 Alexa Fluor® 568

    Alexa Fluor® 568 Anti-SDHB antibody [EPR13042(B)]

Key facts

Host species

Rabbit

Clonality

Monoclonal

Clone number

EPR13042(B)

Isotype

IgG

Carrier free

Yes

Reacts with

Human

Applications

WB, Flow Cyt (Intra), IHC-P, IP

applications

Immunogen

The exact immunogen used to generate this antibody is proprietary information.

Reactivity data

{ "title": "Reactivity Data", "filters": { "stats": ["", "Species", "Dilution Info", "Notes"], "tabs": { "all-applications": {"fullname" : "All Applications", "shortname": "All Applications"}, "IHCP" : {"fullname" : "Immunohistochemistry (Formalin/PFA-fixed paraffin-embedded sections)", "shortname":"IHC-P"}, "ICCIF" : {"fullname" : "Immunocytochemistry/ Immunofluorescence", "shortname":"ICC/IF"}, "IP" : {"fullname" : "Immunoprecipitation", "shortname":"IP"}, "WB" : {"fullname" : "Western blot", "shortname":"WB"}, "FlowCytIntra" : {"fullname" : "Flow Cytometry (Intracellular)", "shortname":"Flow Cyt (Intra)"} }, "product-promise": { "all": "all", "testedAndGuaranteed": "tested", "guaranteed": "expected", "predicted": "predicted", "notRecommended": "not-recommended" } }, "values": { "Human": { "IHCP-species-checked": "testedAndGuaranteed", "IHCP-species-dilution-info": "", "IHCP-species-notes": "<p></p>", "ICCIF-species-checked": "notRecommended", "ICCIF-species-dilution-info": "", "ICCIF-species-notes": "<p></p>", "IP-species-checked": "testedAndGuaranteed", "IP-species-dilution-info": "", "IP-species-notes": "<p></p>", "WB-species-checked": "testedAndGuaranteed", "WB-species-dilution-info": "", "WB-species-notes": "<p></p>", "FlowCytIntra-species-checked": "testedAndGuaranteed", "FlowCytIntra-species-dilution-info": "", "FlowCytIntra-species-notes": "<p></p>" }, "Mouse": { "IHCP-species-checked": "predicted", "IHCP-species-dilution-info": "", "IHCP-species-notes": "", "ICCIF-species-checked": "notRecommended", "ICCIF-species-dilution-info": "", "ICCIF-species-notes": "", "IP-species-checked": "predicted", "IP-species-dilution-info": "", "IP-species-notes": "", "WB-species-checked": "predicted", "WB-species-dilution-info": "", "WB-species-notes": "", "FlowCytIntra-species-checked": "predicted", "FlowCytIntra-species-dilution-info": "", "FlowCytIntra-species-notes": "" }, "Rat": { "IHCP-species-checked": "predicted", "IHCP-species-dilution-info": "", "IHCP-species-notes": "", "ICCIF-species-checked": "notRecommended", "ICCIF-species-dilution-info": "", "ICCIF-species-notes": "", "IP-species-checked": "predicted", "IP-species-dilution-info": "", "IP-species-notes": "", "WB-species-checked": "predicted", "WB-species-dilution-info": "", "WB-species-notes": "", "FlowCytIntra-species-checked": "predicted", "FlowCytIntra-species-dilution-info": "", "FlowCytIntra-species-notes": "" } } }

Product details

ab250046 is the carrier-free version of ab178423.

Patented technology
Our RabMAb® technology is a patented hybridoma-based technology for making rabbit monoclonal antibodies. For details on our patents, please refer to RabMAb® patents.

What are the advantages of a recombinant monoclonal antibody?
This product is a recombinant monoclonal antibody, which offers several advantages including:

  • - High batch-to-batch consistency and reproducibility
  • - Improved sensitivity and specificity
  • - Long-term security of supply
  • - Animal-free batch production

For more information, read more on recombinant antibodies.

Conjugation ready
Our carrier-free antibodies are typically supplied in a PBS-only formulation, purified and free of BSA, sodium azide and glycerol. This conjugation-ready format is designed for use with fluorochromes, metal isotopes, oligonucleotides, and enzymes, which makes them ideal for antibody labelling, functional and cell-based assays, flow-based assays (e.g. mass cytometry) and Multiplex Imaging applications.

Use our conjugation kits for antibody conjugates that are ready-to-use in as little as 20 minutes with 1 minute hands-on-time and 100% antibody recovery: available for fluorescent dyes, HRP, biotin and gold.

Compatibility
This product is compatible with the Maxpar® Antibody Labeling Kit from Fluidigm, without the need for antibody preparation. Maxpar® is a trademark of Fluidigm Canada Inc.

Properties and storage information

Form
Liquid
Purification technique
Affinity purification Protein A
Storage buffer
pH: 7.2 - 7.4 Constituents: PBS
Shipped at conditions
Blue Ice
Appropriate short-term storage conditions
+4°C
Appropriate long-term storage conditions
+4°C
Storage information
Do Not Freeze

Supplementary information

This supplementary information is collated from multiple sources and compiled automatically.

The protein SDHB also known as Succinate Dehydrogenase Complex Iron Sulfur Subunit B plays a mechanical role as a component of the succinate dehydrogenase (SDH) enzyme. This subunit has a molecular mass of approximately 30 kDa. SDHB is part of the mitochondrial inner membrane where it is expressed in high levels across various tissues including heart kidney and muscle. It contributes to the electron transport chain by facilitating the oxidation of succinate to fumarate an important step in energy production through the tricarboxylic acid (TCA) cycle.
Biological function summary

SDHB participates in the succinate dehydrogenase complex acting within both the TCA cycle and the electron transport chain. By transferring electrons to coenzyme Q it helps generate an electrochemical gradient important for ATP synthesis. This complex also called Complex II includes other subunits such as SDHA SDHC and SDHD. Their interactions ensure proper function of metabolic processes within mitochondria bridging the gap between foundational energy metabolism and complex cellular processes.

Pathways

SDHB plays an important role in cellular respiration and metabolic cycles. It resides in the TCA cycle and the mitochondrial electron transport chain connecting its function to energy generation pathways. Specifically SDHB relates closely to SDHA and coenzyme Q all working together to facilitate electron transfer and effective mitochondrial energy output. The transfer of electrons through this pathway highlights its essential contribution to maintaining cellular energy homeostasis.

SDHB mutations are associated with conditions such as paraganglioma and pheochromocytoma. These genetic alterations disrupt normal complex II function leading to the accumulation of succinate and succinate-related oncogenesis. In addition to causing tumor development defective SDHB is linked with familial paraganglioma syndromes. Its interaction with proteins such as SDHA and SDHD critical for the succinate dehydrogenase functionality highlights its significant role in maintaining metabolic balance and when defective contributing to disease pathogenesis.

Product protocols

For this product, it's our understanding that no specific protocols are required. You can visit:

Target data

Iron-sulfur protein (IP) subunit of the succinate dehydrogenase complex (mitochondrial respiratory chain complex II), responsible for transferring electrons from succinate to ubiquinone (coenzyme Q) (PubMed : 26925370, PubMed : 27604842). SDH also oxidizes malate to the non-canonical enol form of oxaloacetate, enol-oxaloacetate (By similarity). Enol-oxaloacetate, which is a potent inhibitor of the succinate dehydrogenase activity, is further isomerized into keto-oxaloacetate (By similarity).
See full target information SDHB

Publications (1)

Recent publications for all applications. Explore the full list and refine your search

Molecular medicine (Cambridge, Mass.) 31:65 PubMed39972431

2025

Mechanism of histone demethylase KDM5A in osteoporotic fracture healing through epigenetic regulation of the miR-495/SKP2/Runx2 axis.

Applications

Unspecified application

Species

Unspecified reactive species

Zhuoran Li,Junyan Zhang,Tingting Xu,Zhiying Hao,Yadong Li
View all publications

Product promise

We are committed to supporting your work with high-quality reagents, and we're here for you every step of the way. In the unlikely event that one of our products does not perform as expected, you're protected by our Product Promise.
For full details, please see our Terms & Conditions

Please note: All products are 'FOR RESEARCH USE ONLY. NOT FOR USE IN DIAGNOSTIC OR THERAPEUTIC PROCEDURES'.

For licensing inquiries, please contact partnerships@abcam.com