JavaScript is disabled in your browser. Please enable JavaScript to view this website.
AB240137

Anti-SDHC antibody [EPR11035(B)] - BSA and Azide free

Be the first to review this product! Submit a review

|

(0 Publication)

Rabbit Recombinant Monoclonal SDHC antibody. Carrier free. Suitable for WB, IHC-P and reacts with Mouse, Rat, Human samples.

View Alternative Names

CYB560, SDH3, SDHC, Integral membrane protein CII-3, Malate dehydrogenase [quinone] cytochrome b560 subunit, QPs-1, Succinate dehydrogenase complex subunit C, Succinate-ubiquinone oxidoreductase cytochrome B large subunit, QPs1, CYBL

3 Images
Immunohistochemistry (Formalin/PFA-fixed paraffin-embedded sections) - Anti-SDHC antibody [EPR11035(B)] - BSA and Azide free (AB240137)
  • IHC-P

Unknown

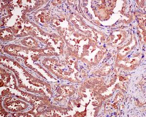
Immunohistochemistry (Formalin/PFA-fixed paraffin-embedded sections) - Anti-SDHC antibody [EPR11035(B)] - BSA and Azide free (AB240137)

Immunohistochemical analysis of paraffin-embedded Human lung carcinoma tissue labeling SDHC with unpurified ab155999 at 1/250 dilution.

This data was developed using the same antibody clone in a different buffer formulation containing PBS, BSA, glycerol, and sodium azide (ab155999).

Immunohistochemistry (Formalin/PFA-fixed paraffin-embedded sections) - Anti-SDHC antibody [EPR11035(B)] - BSA and Azide free (AB240137)
  • IHC-P

Unknown

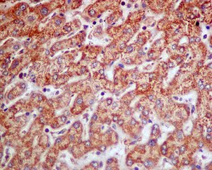
Immunohistochemistry (Formalin/PFA-fixed paraffin-embedded sections) - Anti-SDHC antibody [EPR11035(B)] - BSA and Azide free (AB240137)

Immunohistochemical analysis of paraffin-embedded Human liver tissue labeling SDHC with unpurified ab155999 at 1/250 dilution.

This data was developed using the same antibody clone in a different buffer formulation containing PBS, BSA, glycerol, and sodium azide (ab155999).

Immunohistochemistry (Formalin/PFA-fixed paraffin-embedded sections) - Anti-SDHC antibody [EPR11035(B)] - BSA and Azide free (AB240137)
  • IHC-P

Lab

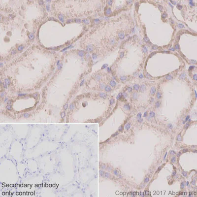
Immunohistochemistry (Formalin/PFA-fixed paraffin-embedded sections) - Anti-SDHC antibody [EPR11035(B)] - BSA and Azide free (AB240137)

Immunohistochemistry (Formalin/PFA-fixed paraffin-embedded sections) analysis of Human kidney tissue sections labeling SDHC with purified ab155999 at 1 : 700 dilution (0.2 μg/ml). Heat mediated antigen retrieval was performed using EDTA Buffer, pH9.0. Tissue was counterstained with Hematoxylin. ImmunoHistoProbe one step HRP Polymer (ready to use) secondary antibody was used at 1 : 0 dilution. PBS instead of the primary antibody was used as the negative control.

This data was developed using the same antibody clone in a different buffer formulation containing PBS, BSA, glycerol, and sodium azide (ab155999).

Key facts

Host species

Rabbit

Clonality

Monoclonal

Clone number

EPR11035(B)

Isotype

IgG

Carrier free

Yes

Reacts with

Mouse, Rat, Human

Applications

WB, IHC-P

applications

Immunogen

The exact immunogen used to generate this antibody is proprietary information.

Reactivity data

{ "title": "Reactivity Data", "filters": { "stats": ["", "Species", "Dilution Info", "Notes"], "tabs": { "all-applications": {"fullname" : "All Applications", "shortname": "All Applications"}, "ICCIF" : {"fullname" : "Immunocytochemistry/ Immunofluorescence", "shortname":"ICC/IF"}, "IP" : {"fullname" : "Immunoprecipitation", "shortname":"IP"}, "FlowCyt" : {"fullname" : "Flow Cytometry", "shortname":"Flow Cyt"}, "WB" : {"fullname" : "Western blot", "shortname":"WB"}, "IHCP" : {"fullname" : "Immunohistochemistry (Formalin/PFA-fixed paraffin-embedded sections)", "shortname":"IHC-P"} }, "product-promise": { "all": "all", "testedAndGuaranteed": "tested", "guaranteed": "expected", "predicted": "predicted", "notRecommended": "not-recommended" } }, "values": { "Human": { "ICCIF-species-checked": "notRecommended", "ICCIF-species-dilution-info": "", "ICCIF-species-notes": "<p></p>", "IP-species-checked": "notRecommended", "IP-species-dilution-info": "", "IP-species-notes": "<p></p>", "FlowCyt-species-checked": "notRecommended", "FlowCyt-species-dilution-info": "", "FlowCyt-species-notes": "<p></p>", "WB-species-checked": "guaranteed", "WB-species-dilution-info": "", "WB-species-notes": "<p>The mouse and rat recommendation is based on the WB results. This antibody may not be suitable for IHC with mouse or rat samples.</p>", "IHCP-species-checked": "testedAndGuaranteed", "IHCP-species-dilution-info": "", "IHCP-species-notes": "<p></p>" }, "Mouse": { "ICCIF-species-checked": "notRecommended", "ICCIF-species-dilution-info": "", "ICCIF-species-notes": "<p></p>", "IP-species-checked": "notRecommended", "IP-species-dilution-info": "", "IP-species-notes": "<p></p>", "FlowCyt-species-checked": "notRecommended", "FlowCyt-species-dilution-info": "", "FlowCyt-species-notes": "<p></p>", "WB-species-checked": "guaranteed", "WB-species-dilution-info": "", "WB-species-notes": "<p>The mouse and rat recommendation is based on the WB results. This antibody may not be suitable for IHC with mouse or rat samples.</p>", "IHCP-species-checked": "predicted", "IHCP-species-dilution-info": "", "IHCP-species-notes": "" }, "Rat": { "ICCIF-species-checked": "notRecommended", "ICCIF-species-dilution-info": "", "ICCIF-species-notes": "<p></p>", "IP-species-checked": "notRecommended", "IP-species-dilution-info": "", "IP-species-notes": "<p></p>", "FlowCyt-species-checked": "notRecommended", "FlowCyt-species-dilution-info": "", "FlowCyt-species-notes": "<p></p>", "WB-species-checked": "guaranteed", "WB-species-dilution-info": "", "WB-species-notes": "<p>The mouse and rat recommendation is based on the WB results. This antibody may not be suitable for IHC with mouse or rat samples.</p>", "IHCP-species-checked": "predicted", "IHCP-species-dilution-info": "", "IHCP-species-notes": "" } } }

Product details

ab240137 is the carrier-free version of ab155999.

Patented technology
Our RabMAb® technology is a patented hybridoma-based technology for making rabbit monoclonal antibodies. For details on our patents, please refer to RabMAb® patents.

What are the advantages of a recombinant monoclonal antibody?
This product is a recombinant monoclonal antibody, which offers several advantages including:

  • - High batch-to-batch consistency and reproducibility
  • - Improved sensitivity and specificity
  • - Long-term security of supply
  • - Animal-free batch production

For more information, read more on recombinant antibodies.

Conjugation ready
Our carrier-free antibodies are typically supplied in a PBS-only formulation, purified and free of BSA, sodium azide and glycerol. This conjugation-ready format is designed for use with fluorochromes, metal isotopes, oligonucleotides, and enzymes, which makes them ideal for antibody labelling, functional and cell-based assays, flow-based assays (e.g. mass cytometry) and Multiplex Imaging applications.

Use our conjugation kits for antibody conjugates that are ready-to-use in as little as 20 minutes with 1 minute hands-on-time and 100% antibody recovery: available for fluorescent dyes, HRP, biotin and gold.

Compatibility
This product is compatible with the Maxpar® Antibody Labeling Kit from Fluidigm, without the need for antibody preparation. Maxpar® is a trademark of Fluidigm Canada Inc.

Properties and storage information

Form
Liquid
Purification technique
Affinity purification Protein A
Storage buffer
pH: 7.2 - 7.4 Constituents: PBS
Shipped at conditions
Blue Ice
Appropriate short-term storage conditions
+4°C
Appropriate long-term storage conditions
+4°C
Storage information
Do Not Freeze

Supplementary information

This supplementary information is collated from multiple sources and compiled automatically.

SDHC also known as succinate dehydrogenase complex subunit C or succinate dehydrogenase cytochrome b560 subunit is an integral component of the mitochondrial complex II. It has a mass of approximately 15.3 kDa. SDHC is embedded in the inner mitochondrial membrane and is expressed in various tissues with a high mitochondrial content including skeletal muscle heart and brain. Mechanically SDHC anchors the succinate dehydrogenase (SDH) complex to the mitochondrial membrane facilitating effective electron transport during cellular respiration.
Biological function summary

The subunit SDHC plays a role in the conversion of succinate to fumarate in the tricarboxylic acid (TCA) cycle. By being part of the larger succinate dehydrogenase complex which also functions as part of the electron transport chain SDHC contributes to both energy production and metabolic regulation within cells. The SDH complex consists of four subunits: SDHA SDHB SDHC and SDHD. SDHC serving as an integral membrane protein ensures the proper anchoring and assembly of the complex which is essential for efficient electron transfer.

Pathways

SDHC is involved in both the TCA cycle and the mitochondrial electron transport chain. Within these pathways it enables the transfer of electrons from succinate to ubiquinone connecting two primary bioenergetic pathways. SDHC exhibits a relationship with other complex II subunits such as SDHA which catalyzes the oxidation reaction of succinate to fumarate. The electron flow through SDHC has an impact on the entire process of oxidative phosphorylation ultimately influencing ATP production in cells.

SDHC mutations and dysfunctions have links to conditions such as paragangliomas and pheochromocytomas. These tumors are associated with altered cellular metabolism and abnormal SDH complex activity. Mutations in the SDHC gene can lead to a disruption of normal electron transport chain function causing oxidative stress and contributing to tumorigenesis. Moreover SDHC mutations often co-occur with alterations in other SDH complex components such as SDHB further emphasizing the role of this complex in certain disease states.

Product protocols

For this product, it's our understanding that no specific protocols are required. You can visit:

Target data

Membrane-anchoring subunit of succinate dehydrogenase (SDH) that is involved in complex II of the mitochondrial electron transport chain and is responsible for transferring electrons from succinate to ubiquinone (coenzyme Q) (PubMed : 9533030). SDH also oxidizes malate to the non-canonical enol form of oxaloacetate, enol-oxaloacetate (By similarity). Enol-oxaloacetate, which is a potent inhibitor of the succinate dehydrogenase activity, is further isomerized into keto-oxaloacetate (By similarity).
See full target information SDHC

Product promise

We are committed to supporting your work with high-quality reagents, and we're here for you every step of the way. In the unlikely event that one of our products does not perform as expected, you're protected by our Product Promise.
For full details, please see our Terms & Conditions

Please note: All products are 'FOR RESEARCH USE ONLY. NOT FOR USE IN DIAGNOSTIC OR THERAPEUTIC PROCEDURES'.

For licensing inquiries, please contact partnerships@abcam.com