JavaScript is disabled in your browser. Please enable JavaScript to view this website.
AB203199

Anti-SDHD antibody

Be the first to review this product! Submit a review

|

(2 Publications)

Rabbit Polyclonal SDHD antibody. Suitable for IHC-P and reacts with Rat, Human samples. Cited in 2 publications. Immunogen corresponding to Synthetic Peptide within Human SDHD aa 100 to C-terminus conjugated to Keyhole Limpet Haemocyanin.

View Alternative Names

SDH4, SDHD, CybS, CII-4, Malate dehydrogenase [quinone] cytochrome b small subunit, QPs3, Succinate dehydrogenase complex subunit D, Succinate-ubiquinone oxidoreductase cytochrome b small subunit, Succinate-ubiquinone reductase membrane anchor subunit

1 Images
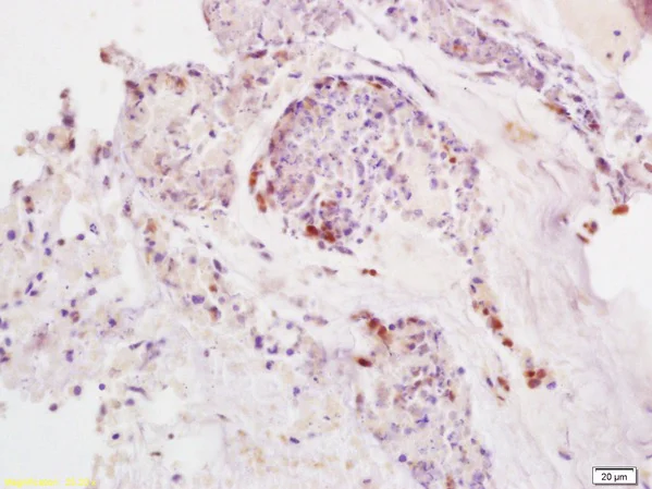
Immunohistochemistry (Formalin/PFA-fixed paraffin-embedded sections) - Anti-SDHD antibody (AB203199)
  • IHC-P

Supplier Data

Immunohistochemistry (Formalin/PFA-fixed paraffin-embedded sections) - Anti-SDHD antibody (AB203199)

Immunohistochemical analysis of formalin-fixed paraffin-embedded human colon carcinoma tissue labeling SDHD with ab203199 at 1/200 dilution, followed by conjugation to the secondary antibody and DAB staining.

Key facts

Host species

Rabbit

Clonality

Polyclonal

Isotype

IgG

Carrier free

No

Reacts with

Rat, Human

Applications

IHC-P

applications

Immunogen

Synthetic Peptide within Human SDHD aa 100 to C-terminus conjugated to Keyhole Limpet Haemocyanin. The exact immunogen used to generate this antibody is proprietary information.

O14521

Reactivity data

{ "title": "Reactivity Data", "filters": { "stats": ["", "Species", "Dilution Info", "Notes"], "tabs": { "all-applications": {"fullname" : "All Applications", "shortname": "All Applications"}, "IHCP" : {"fullname" : "Immunohistochemistry (Formalin/PFA-fixed paraffin-embedded sections)", "shortname":"IHC-P"} }, "product-promise": { "all": "all", "testedAndGuaranteed": "tested", "guaranteed": "expected", "predicted": "predicted", "notRecommended": "not-recommended" } }, "values": { "Human": { "IHCP-species-checked": "testedAndGuaranteed", "IHCP-species-dilution-info": "1/100 - 1/500", "IHCP-species-notes": "<p>Use at 1/50 - 1/200 with fluorescent detection methods.</p> Perform heat-mediated antigen retrieval with citrate buffer pH 6 before commencing with IHC staining protocol." }, "Rat": { "IHCP-species-checked": "testedAndGuaranteed", "IHCP-species-dilution-info": "1/100 - 1/500", "IHCP-species-notes": "<p>Use at 1/50 - 1/200 with fluorescent detection methods.</p> Perform heat-mediated antigen retrieval with citrate buffer pH 6 before commencing with IHC staining protocol." } } }

Properties and storage information

Form
Liquid
Purification technique
Affinity purification Protein A
Storage buffer
pH: 7.4 Preservative: 0.02% Proclin 300 Constituents: 50% Glycerol (glycerin, glycerine), 48.98% TBS, 1X, 1% BSA
Shipped at conditions
Blue Ice
Appropriate short-term storage duration
1-2 weeks
Appropriate short-term storage conditions
+4°C
Appropriate long-term storage conditions
-20°C
Aliquoting information
Upon delivery aliquot
Storage information
Avoid freeze / thaw cycle

Supplementary information

This supplementary information is collated from multiple sources and compiled automatically.

The SDHD protein also known as succinate dehydrogenase complex subunit D serves a function in cellular respiration. This protein is a part of the succinate dehydrogenase (SDH) complex found in the inner mitochondrial membrane. This complex is known as complex II in the electron transport chain. The subunit D with a mass of about 15 kDa anchors the larger SDH complex to the membrane and is essential for its structural stability. SDHD is widely expressed in tissues with high energy demands such as the heart liver and muscles.
Biological function summary

The SDH complex has an essential role in both the Krebs cycle and the mitochondrial electron transport chain. SDHD as part of this complex assists in the oxidation of succinate to fumarate an important step in the Krebs cycle. The electrons generated from succinate oxidation are transferred through the SDH complex to ubiquinone contributing to ATP production. The complex facilitates the coupling of the Krebs cycle to the electron transport chain highlighting SDHD’s importance in efficient energy metabolism.

Pathways

SDHD integrates into the Krebs cycle and the electron transport chain linking these vital energy-yielding reactions. In the Krebs cycle it assists in converting succinate to fumarate contributing important intermediates and electron donors for oxidative phosphorylation. It interacts with other components of complex II such as SDHA SDHB and SDHC to facilitate its enzymatic functions. Furthermore its role in electron transport involves ubiquinone which carries electrons to complex III continuing the chain of reactions needed for energy production.

SDHD mutations have been linked with paragangliomas and pheochromocytomas both of which are neuroendocrine tumors. These conditions are associated with disrupted cellular energy metabolism caused by impaired function of the SDH complex. In these tumors mutations in SDHD can lead to a pseudohypoxic state promoting cell proliferation. The protein's dysfunction connects pathophysiologically to related SDHB SDHC and SDHA subunits with mutations in these subunits also contributing to the manifestation of such tumors.

Product protocols

For this product, it's our understanding that no specific protocols are required. You can visit:

Target data

Membrane-anchoring subunit of succinate dehydrogenase (SDH) that is involved in complex II of the mitochondrial electron transport chain and is responsible for transferring electrons from succinate to ubiquinone (coenzyme Q) (PubMed : 10482792, PubMed : 9533030). SDH also oxidizes malate to the non-canonical enol form of oxaloacetate, enol-oxaloacetate (By similarity). Enol-oxaloacetate, which is a potent inhibitor of the succinate dehydrogenase activity, is further isomerized into keto-oxaloacetate (By similarity).
See full target information SDHD

Publications (2)

Recent publications for all applications. Explore the full list and refine your search

Bioengineered 13:6942-6954 PubMed35249453

2022

MicroRNA-193b-3p reduces oxidative stress and mitochondrial damage in rats with cerebral ischemia-reperfusion injury via the seven in absentia homolog 1/Jun N-terminal kinase pathway.

Applications

Unspecified application

Species

Unspecified reactive species

Tianye Yang,Jiajun Wu,Kui Ge,Fanlin Wang,Jingxian Fan

Proceedings of the National Academy of Sciences of the United States of America 118: PubMed34551979

2021

Functional succinate dehydrogenase deficiency is a common adverse feature of clear cell renal cancer.

Applications

Unspecified application

Species

Unspecified reactive species

Ritesh K Aggarwal,Rebecca A Luchtel,Venkata Machha,Alexander Tischer,Yiyu Zou,Kith Pradhan,Nadia Ashai,Nandini Ramachandra,Joseph M Albanese,Jung-In Yang,Xiaoyang Wang,Srinivas Aluri,Shanisha Gordon,Ahmed Aboumohamed,Benjamin A Gartrell,Sassan Hafizi,James Pullman,Niraj Shenoy
View all publications

Product promise

We are committed to supporting your work with high-quality reagents, and we're here for you every step of the way. In the unlikely event that one of our products does not perform as expected, you're protected by our Product Promise.
For full details, please see our Terms & Conditions

Please note: All products are 'FOR RESEARCH USE ONLY. NOT FOR USE IN DIAGNOSTIC OR THERAPEUTIC PROCEDURES'.

For licensing inquiries, please contact partnerships@abcam.com