JavaScript is disabled in your browser. Please enable JavaScript to view this website.
AB137013

Anti-SEC14L2/TAP antibody [EPR8612]

Be the first to review this product! Submit a review

|

(4 Publications)

Rabbit Recombinant Monoclonal SEC14L2/TAP antibody. Suitable for IHC-P, WB and reacts with Human samples. Cited in 4 publications.

View Alternative Names

C22orf6, KIAA1186, KIAA1658, SEC14L2, SEC14-like protein 2, Alpha-tocopherol-associated protein, Squalene transfer protein, Supernatant protein factor, TAP, hTAP, SPF

3 Images
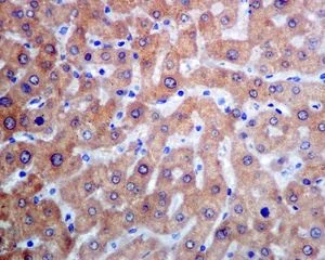
Immunohistochemistry (Formalin/PFA-fixed paraffin-embedded sections) - Anti-SEC14L2/TAP antibody [EPR8612] (AB137013)
  • IHC-P

Unknown

Immunohistochemistry (Formalin/PFA-fixed paraffin-embedded sections) - Anti-SEC14L2/TAP antibody [EPR8612] (AB137013)

Immunohistochemical analysis of paraffin-embedded Human liver tissue labelling SEC14L2/TAP with ab137013 at 1/250 dilution.

Perform heat mediated antigen retrieval with citrate buffer pH 6 before commencing with IHC staining protocol.

Immunohistochemistry (Formalin/PFA-fixed paraffin-embedded sections) - Anti-SEC14L2/TAP antibody [EPR8612] (AB137013)
  • IHC-P

Unknown

Immunohistochemistry (Formalin/PFA-fixed paraffin-embedded sections) - Anti-SEC14L2/TAP antibody [EPR8612] (AB137013)

Immunohistochemical analysis of paraffin-embedded Human brain tissue labelling SEC14L2/TAP with ab137013 at 1/250 dilution.

Perform heat mediated antigen retrieval with citrate buffer pH 6 before commencing with IHC staining protocol.

Western blot - Anti-SEC14L2/TAP antibody [EPR8612] (AB137013)
  • WB

Unknown

Western blot - Anti-SEC14L2/TAP antibody [EPR8612] (AB137013)

All lanes:

Western blot - Anti-SEC14L2/TAP antibody [EPR8612] (ab137013) at 1/1000 dilution

Lane 1:

Fetal liver tissue lysate at 10 µg

Lane 2:

Fetal brain tissue lysate at 10 µg

Lane 3:

U-87 MG (Human glioblastoma-astrocytoma epithelial cell line) cell lysate at 10 µg

Lane 4:

293T (Human embryonic kidney epithelial cell) cell lysate at 10 µg

Secondary

All lanes:

HRP labelled goat anti-rabbit at 1/2000 dilution

Predicted band size: 46 kDa

false

  • Carrier free

    Anti-SEC14L2/TAP antibody [EPR8612] - BSA and Azide free

Key facts

Host species

Rabbit

Clonality

Monoclonal

Clone number

EPR8612

Isotype

IgG

Carrier free

No

Reacts with

Human

Applications

WB, IHC-P

applications

Immunogen

The exact immunogen used to generate this antibody is proprietary information.

Reactivity data

{ "title": "Reactivity Data", "filters": { "stats": ["", "Species", "Dilution Info", "Notes"], "tabs": { "all-applications": {"fullname" : "All Applications", "shortname": "All Applications"}, "IHCP" : {"fullname" : "Immunohistochemistry (Formalin/PFA-fixed paraffin-embedded sections)", "shortname":"IHC-P"}, "FlowCyt" : {"fullname" : "Flow Cytometry", "shortname":"Flow Cyt"}, "WB" : {"fullname" : "Western blot", "shortname":"WB"} }, "product-promise": { "all": "all", "testedAndGuaranteed": "tested", "guaranteed": "expected", "predicted": "predicted", "notRecommended": "not-recommended" } }, "values": { "Human": { "IHCP-species-checked": "testedAndGuaranteed", "IHCP-species-dilution-info": "1/250 - 1/500", "IHCP-species-notes": "<p></p>", "FlowCyt-species-checked": "notRecommended", "FlowCyt-species-dilution-info": "", "FlowCyt-species-notes": "<p></p>", "WB-species-checked": "testedAndGuaranteed", "WB-species-dilution-info": "1/1000 - 1/10000", "WB-species-notes": "<p></p>" }, "Mouse": { "IHCP-species-checked": "predicted", "IHCP-species-dilution-info": "", "IHCP-species-notes": "", "FlowCyt-species-checked": "notRecommended", "FlowCyt-species-dilution-info": "", "FlowCyt-species-notes": "", "WB-species-checked": "predicted", "WB-species-dilution-info": "", "WB-species-notes": "" }, "Rat": { "IHCP-species-checked": "predicted", "IHCP-species-dilution-info": "", "IHCP-species-notes": "", "FlowCyt-species-checked": "notRecommended", "FlowCyt-species-dilution-info": "", "FlowCyt-species-notes": "", "WB-species-checked": "predicted", "WB-species-dilution-info": "", "WB-species-notes": "" } } }

Product details

Patented technology
Our RabMAb® technology is a patented hybridoma-based technology for making rabbit monoclonal antibodies. For details on our patents, please refer to RabMAb® patents.

What are the advantages of a recombinant monoclonal antibody?
This product is a recombinant monoclonal antibody, which offers several advantages including:

  • - High batch-to-batch consistency and reproducibility
  • - Improved sensitivity and specificity
  • - Long-term security of supply
  • - Animal-free batch production

For more information, read more on recombinant antibodies.

Properties and storage information

Form
Liquid
Purification technique
Affinity purification Protein A
Storage buffer
pH: 7.2 - 7.4 Preservative: 0.01% Sodium azide Constituents: PBS, 50% Tissue culture supernatant, 40% Glycerol (glycerin, glycerine), 0.05% BSA
Shipped at conditions
Blue Ice
Appropriate short-term storage conditions
+4°C
Appropriate long-term storage conditions
-20°C

Supplementary information

This supplementary information is collated from multiple sources and compiled automatically.

SEC14L2 also known as TAP is a member of the SEC14-like family of proteins. This protein has a molecular mass of about 44 kDa. It plays an important role in lipid transport and metabolism by acting as a phosphatidylinositol transfer protein. SEC14L2 is expressed in a variety of tissues with higher levels observed in the liver. It functions by transferring phospholipids between membranes which is essential for maintaining cellular lipid homeostasis.
Biological function summary

The SEC14L2 protein influences several important cellular processes such as vesicular trafficking and signal transduction. It is capable of interacting with lipid molecules to modulate their bioavailability and distribution within cells. SEC14L2 does not function alone; it forms interactions with other proteins to fulfill its role though the specific complexes it involves remain a subject of research. This protein is important for the regulation of lipid signaling pathways linking it directly to cellular function and metabolism.

Pathways

SEC14L2 engages in lipid signaling and metabolic pathways. It is integral to maintaining phosphatidylinositol signaling a critical pathway in cellular communication. SEC14L2 interacts with other proteins involved in lipid homeostasis such as PI3K which plays a role in various signaling cascades that regulate growth and metabolism. By influencing these pathways SEC14L2 affects cell proliferation and survival establishing its importance in cell cycle regulation and metabolism.

Alterations in SEC14L2 expression or function have connections with liver cancer and metabolic syndromes. Misregulation of this protein might contribute to aberrant lipid metabolism that leads to oncogenesis highlighting its involvement in cancer biology. SEC14L2 has possible interactions with other proteins like PPARs which are important in metabolic disorders. By exploring these associations researchers gain insights into the potential therapeutic targets for diseases linked to metabolic dysregulation.

Product protocols

For this product, it's our understanding that no specific protocols are required. You can visit:

Target data

Carrier protein. Binds to some hydrophobic molecules and promotes their transfer between the different cellular sites. Binds with high affinity to alpha-tocopherol. Also binds with a weaker affinity to other tocopherols and to tocotrienols. May have a transcriptional activatory activity via its association with alpha-tocopherol. Probably recognizes and binds some squalene structure, suggesting that it may regulate cholesterol biosynthesis by increasing the transfer of squalene to a metabolic active pool in the cell.
See full target information SEC14L2

Publications (4)

Recent publications for all applications. Explore the full list and refine your search

PloS one 19:e0303265 PubMed38739590

2024

Immortalized hepatocyte-like cells: A competent hepatocyte model for studying clinical HCV isolate infection.

Applications

Unspecified application

Species

Unspecified reactive species

Yongyut Pewkliang,Piyanoot Thongsri,Phichaya Suthivanich,Nipa Thongbaiphet,Jiraporn Keatkla,Ekawat Pasomsub,Usanarat Anurathapan,Suparerk Borwornpinyo,Adisak Wongkajornsilp,Suradej Hongeng,Khanit Sa-Ngiamsuntorn

In vivo (Athens, Greece) 35:2771-2777 PubMed34410967

2021

Clinical Significance of TAP1 and DLL4 Expression in Patients With Locally Advanced Gastric Cancer.

Applications

Unspecified application

Species

Unspecified reactive species

Kenki Segami,Toru Aoyama,Yukihiko Hiroshima,Keisuke Komori,Itaru Hashimoto,Hayato Watanabe,Kazuki Kano,Shinsuke Nagasawa,Masato Nakazono,Yukio Maezawa,Hirohito Fujikawa,Masakatsu Numata,Takanobu Yamada,Hiroshi Tamagawa,Naoto Yamamoto,Takashi Ogata,Manabu Siozawa,Norio Yukawa,Soichiro Morinaga,Yasushi Rino,Munetaka Masuda,Yohei Miyagi,Hiroshi Saeki,Takashi Oshima

Frontiers in genetics 12:680413 PubMed34054929

2021

Identification of a Prognostic Signature for Ovarian Cancer Based on the Microenvironment Genes.

Applications

Unspecified application

Species

Unspecified reactive species

Xiao Huo,Hengzi Sun,Shuangwu Liu,Bing Liang,Huimin Bai,Shuzhen Wang,Shuhong Li

Journal of hepatology 70:603-614 PubMed30472319

2018

SEC14L2, a lipid-binding protein, regulates HCV replication in culture with inter- and intra-genotype variations.

Applications

Unspecified application

Species

Unspecified reactive species

Rui Costa,Daniel Todt,Francisco Zapatero-Belinchón,Christian Schenk,Olympia E Anastasiou,Andreas Walker,Barbara Hertel,Lejla Timmer,Denisa Bojkova,Maren Ruckert,Christoph Sarrazin,Jörg Timm,Volker Lohmann,Michael P Manns,Eike Steinmann,Thomas von Hahn,Sandra Ciesek
View all publications

Product promise

We are committed to supporting your work with high-quality reagents, and we're here for you every step of the way. In the unlikely event that one of our products does not perform as expected, you're protected by our Product Promise.
For full details, please see our Terms & Conditions

Please note: All products are 'FOR RESEARCH USE ONLY. NOT FOR USE IN DIAGNOSTIC OR THERAPEUTIC PROCEDURES'.

For licensing inquiries, please contact partnerships@abcam.com