JavaScript is disabled in your browser. Please enable JavaScript to view this website.
AB248765

Anti-SEC14L2/TAP antibody [EPR8612] - BSA and Azide free

Be the first to review this product! Submit a review

|

(1 Publication)

Rabbit Recombinant Monoclonal SEC14L2/TAP antibody. Carrier free. Suitable for IHC-P, WB and reacts with Human samples. Cited in 1 publication.

View Alternative Names

C22orf6, KIAA1186, KIAA1658, SEC14L2, SEC14-like protein 2, Alpha-tocopherol-associated protein, Squalene transfer protein, Supernatant protein factor, TAP, hTAP, SPF

3 Images
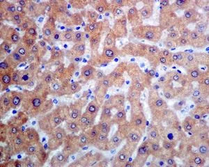
Immunohistochemistry (Formalin/PFA-fixed paraffin-embedded sections) - Anti-SEC14L2/TAP antibody [EPR8612] - BSA and Azide free (AB248765)
  • IHC-P

Unknown

Immunohistochemistry (Formalin/PFA-fixed paraffin-embedded sections) - Anti-SEC14L2/TAP antibody [EPR8612] - BSA and Azide free (AB248765)

This data was developed using ab137013, the same antibody clone in a different buffer formulation.

Immunohistochemical analysis of paraffin-embedded Human liver tissue labelling SEC14L2/TAP with ab137013 at 1/250 dilution.

Perform heat mediated antigen retrieval with citrate buffer pH 6 before commencing with IHC staining protocol.

Immunohistochemistry (Formalin/PFA-fixed paraffin-embedded sections) - Anti-SEC14L2/TAP antibody [EPR8612] - BSA and Azide free (AB248765)
  • IHC-P

Unknown

Immunohistochemistry (Formalin/PFA-fixed paraffin-embedded sections) - Anti-SEC14L2/TAP antibody [EPR8612] - BSA and Azide free (AB248765)

This data was developed using ab137013, the same antibody clone in a different buffer formulation.

Immunohistochemical analysis of paraffin-embedded Human brain tissue labelling SEC14L2/TAP with ab137013 at 1/250 dilution.

Perform heat mediated antigen retrieval with citrate buffer pH 6 before commencing with IHC staining protocol.

Western blot - Anti-SEC14L2/TAP antibody [EPR8612] - BSA and Azide free (AB248765)
  • WB

Unknown

Western blot - Anti-SEC14L2/TAP antibody [EPR8612] - BSA and Azide free (AB248765)

This data was developed using ab137013, the same antibody clone in a different buffer formulation.

All lanes:

Western blot - Anti-SEC14L2/TAP antibody [EPR8612] (<a href='/en-us/products/primary-antibodies/sec14l2-tap-antibody-epr8612-ab137013'>ab137013</a>) at 1/1000 dilution

Lane 1:

Fetal liver tissue lysate at 10 µg

Lane 2:

Fetal brain tissue lysate at 10 µg

Lane 3:

U-87 MG (Human glioblastoma-astrocytoma epithelial cell line) cell lysate at 10 µg

Lane 4:

293T (Human embryonic kidney epithelial cell) cell lysate at 10 µg

Secondary

All lanes:

HRP labelled goat anti-rabbit at 1/2000 dilution

Predicted band size: 46 kDa

false

Key facts

Host species

Rabbit

Clonality

Monoclonal

Clone number

EPR8612

Isotype

IgG

Carrier free

Yes

Reacts with

Human

Applications

IHC-P, WB

applications

Immunogen

The exact immunogen used to generate this antibody is proprietary information.

Reactivity data

{ "title": "Reactivity Data", "filters": { "stats": ["", "Species", "Dilution Info", "Notes"], "tabs": { "all-applications": {"fullname" : "All Applications", "shortname": "All Applications"}, "IHCP" : {"fullname" : "Immunohistochemistry (Formalin/PFA-fixed paraffin-embedded sections)", "shortname":"IHC-P"}, "FlowCyt" : {"fullname" : "Flow Cytometry", "shortname":"Flow Cyt"}, "WB" : {"fullname" : "Western blot", "shortname":"WB"} }, "product-promise": { "all": "all", "testedAndGuaranteed": "tested", "guaranteed": "expected", "predicted": "predicted", "notRecommended": "not-recommended" } }, "values": { "Human": { "IHCP-species-checked": "testedAndGuaranteed", "IHCP-species-dilution-info": "", "IHCP-species-notes": "<p></p>", "FlowCyt-species-checked": "notRecommended", "FlowCyt-species-dilution-info": "", "FlowCyt-species-notes": "<p></p>", "WB-species-checked": "testedAndGuaranteed", "WB-species-dilution-info": "", "WB-species-notes": "<p></p>" }, "Mouse": { "IHCP-species-checked": "predicted", "IHCP-species-dilution-info": "", "IHCP-species-notes": "", "FlowCyt-species-checked": "notRecommended", "FlowCyt-species-dilution-info": "", "FlowCyt-species-notes": "", "WB-species-checked": "predicted", "WB-species-dilution-info": "", "WB-species-notes": "" }, "Rat": { "IHCP-species-checked": "predicted", "IHCP-species-dilution-info": "", "IHCP-species-notes": "", "FlowCyt-species-checked": "notRecommended", "FlowCyt-species-dilution-info": "", "FlowCyt-species-notes": "", "WB-species-checked": "predicted", "WB-species-dilution-info": "", "WB-species-notes": "" } } }

Product details

ab248765 is the carrier-free version of ab137013.

Patented technology
Our RabMAb® technology is a patented hybridoma-based technology for making rabbit monoclonal antibodies. For details on our patents, please refer to RabMAb® patents.

What are the advantages of a recombinant monoclonal antibody?
This product is a recombinant monoclonal antibody, which offers several advantages including:

  • - High batch-to-batch consistency and reproducibility
  • - Improved sensitivity and specificity
  • - Long-term security of supply
  • - Animal-free batch production

For more information, read more on recombinant antibodies.

Conjugation ready
Our carrier-free antibodies are typically supplied in a PBS-only formulation, purified and free of BSA, sodium azide and glycerol. This conjugation-ready format is designed for use with fluorochromes, metal isotopes, oligonucleotides, and enzymes, which makes them ideal for antibody labelling, functional and cell-based assays, flow-based assays (e.g. mass cytometry) and Multiplex Imaging applications.

Use our conjugation kits for antibody conjugates that are ready-to-use in as little as 20 minutes with 1 minute hands-on-time and 100% antibody recovery: available for fluorescent dyes, HRP, biotin and gold.

Compatibility
This product is compatible with the Maxpar® Antibody Labeling Kit from Fluidigm, without the need for antibody preparation. Maxpar® is a trademark of Fluidigm Canada Inc.

Properties and storage information

Form
Liquid
Purification technique
Affinity purification Protein A
Storage buffer
pH: 7.2 - 7.4 Constituents: PBS
Shipped at conditions
Blue Ice
Appropriate short-term storage conditions
+4°C
Appropriate long-term storage conditions
+4°C
Storage information
Do Not Freeze

Supplementary information

This supplementary information is collated from multiple sources and compiled automatically.

SEC14L2 also known as TAP is a member of the SEC14-like family of proteins. This protein has a molecular mass of about 44 kDa. It plays an important role in lipid transport and metabolism by acting as a phosphatidylinositol transfer protein. SEC14L2 is expressed in a variety of tissues with higher levels observed in the liver. It functions by transferring phospholipids between membranes which is essential for maintaining cellular lipid homeostasis.
Biological function summary

The SEC14L2 protein influences several important cellular processes such as vesicular trafficking and signal transduction. It is capable of interacting with lipid molecules to modulate their bioavailability and distribution within cells. SEC14L2 does not function alone; it forms interactions with other proteins to fulfill its role though the specific complexes it involves remain a subject of research. This protein is important for the regulation of lipid signaling pathways linking it directly to cellular function and metabolism.

Pathways

SEC14L2 engages in lipid signaling and metabolic pathways. It is integral to maintaining phosphatidylinositol signaling a critical pathway in cellular communication. SEC14L2 interacts with other proteins involved in lipid homeostasis such as PI3K which plays a role in various signaling cascades that regulate growth and metabolism. By influencing these pathways SEC14L2 affects cell proliferation and survival establishing its importance in cell cycle regulation and metabolism.

Alterations in SEC14L2 expression or function have connections with liver cancer and metabolic syndromes. Misregulation of this protein might contribute to aberrant lipid metabolism that leads to oncogenesis highlighting its involvement in cancer biology. SEC14L2 has possible interactions with other proteins like PPARs which are important in metabolic disorders. By exploring these associations researchers gain insights into the potential therapeutic targets for diseases linked to metabolic dysregulation.

Product protocols

For this product, it's our understanding that no specific protocols are required. You can visit:

Target data

Carrier protein. Binds to some hydrophobic molecules and promotes their transfer between the different cellular sites. Binds with high affinity to alpha-tocopherol. Also binds with a weaker affinity to other tocopherols and to tocotrienols. May have a transcriptional activatory activity via its association with alpha-tocopherol. Probably recognizes and binds some squalene structure, suggesting that it may regulate cholesterol biosynthesis by increasing the transfer of squalene to a metabolic active pool in the cell.
See full target information SEC14L2

Publications (1)

Recent publications for all applications. Explore the full list and refine your search

NPJ precision oncology 7:95 PubMed37723227

2023

Targeted single-cell proteomic analysis identifies new liquid biopsy biomarkers associated with multiple myeloma.

Applications

Unspecified application

Species

Unspecified reactive species

Sonia M Setayesh,Libere J Ndacayisaba,Kate E Rappard,Valerie Hennes,Luz Yurany Moreno Rueda,Guilin Tang,Pei Lin,Robert Z Orlowski,David E Symer,Elisabet E Manasanch,Stephanie N Shishido,Peter Kuhn
View all publications

Product promise

We are committed to supporting your work with high-quality reagents, and we're here for you every step of the way. In the unlikely event that one of our products does not perform as expected, you're protected by our Product Promise.
For full details, please see our Terms & Conditions

Please note: All products are 'FOR RESEARCH USE ONLY. NOT FOR USE IN DIAGNOSTIC OR THERAPEUTIC PROCEDURES'.

For licensing inquiries, please contact partnerships@abcam.com