JavaScript is disabled in your browser. Please enable JavaScript to view this website.
AB254798

Anti-Sec15 antibody

Be the first to review this product! Submit a review

|

(0 Publication)

Rabbit Polyclonal Sec15 antibody. Suitable for IHC-P, WB and reacts with Human samples. Immunogen corresponding to Recombinant Fragment Protein within Human EXOC6 aa 200-300.

View Alternative Names

SEC15A, SEC15L, SEC15L1, EXOC6, Exocyst complex component 6, Exocyst complex component Sec15A, SEC15-like protein 1

2 Images
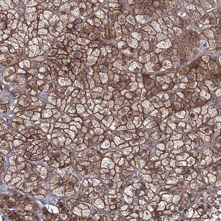
Immunohistochemistry (Formalin/PFA-fixed paraffin-embedded sections) - Anti-Sec15 antibody (AB254798)
  • IHC-P

Unknown

Immunohistochemistry (Formalin/PFA-fixed paraffin-embedded sections) - Anti-Sec15 antibody (AB254798)

Paraffin-embedded human adrenal gland tissue stained for Sec15 using ab254798 at 1/200 dilution in immunohistochemical analysis.

Western blot - Anti-Sec15 antibody (AB254798)
  • WB

Supplier Data

Western blot - Anti-Sec15 antibody (AB254798)

All lanes:

Western blot - Anti-Sec15 antibody (ab254798) at 0.4 µg/mL

Lane 1:

Vector only transfected HEK-293T cell lysate

Lane 2:

Sec15 overexpressed HEK-293T (human epithelial cell line from embryonic kidney transformed with large T antigen) whole cell lysate

Predicted band size: 94 kDa

false

Key facts

Host species

Rabbit

Clonality

Polyclonal

Isotype

IgG

Carrier free

No

Reacts with

Human

Applications

WB, IHC-P

applications

Immunogen

Recombinant Fragment Protein within Human EXOC6 aa 200-300. The exact immunogen used to generate this antibody is proprietary information.

Q8TAG9

Reactivity data

{ "title": "Reactivity Data", "filters": { "stats": ["", "Species", "Dilution Info", "Notes"], "tabs": { "all-applications": {"fullname" : "All Applications", "shortname": "All Applications"}, "IHCP" : {"fullname" : "Immunohistochemistry (Formalin/PFA-fixed paraffin-embedded sections)", "shortname":"IHC-P"}, "WB" : {"fullname" : "Western blot", "shortname":"WB"} }, "product-promise": { "all": "all", "testedAndGuaranteed": "tested", "guaranteed": "expected", "predicted": "predicted", "notRecommended": "not-recommended" } }, "values": { "Human": { "IHCP-species-checked": "testedAndGuaranteed", "IHCP-species-dilution-info": "1/200 - 1/500", "IHCP-species-notes": "<p></p> Perform heat-mediated antigen retrieval with citrate buffer pH 6 before commencing with IHC staining protocol.", "WB-species-checked": "testedAndGuaranteed", "WB-species-dilution-info": "0.04-0.4 µg/mL", "WB-species-notes": "<p></p>" } } }

Properties and storage information

Form
Liquid
Purification technique
Affinity purification Immunogen
Storage buffer
pH: 7.2 Preservative: 0.02% Sodium azide Constituents: PBS, 40% Glycerol (glycerin, glycerine)
Shipped at conditions
Blue Ice
Appropriate short-term storage duration
1-2 weeks
Appropriate short-term storage conditions
+4°C
Appropriate long-term storage conditions
-20°C
Aliquoting information
Upon delivery aliquot
Storage information
Avoid freeze / thaw cycle

Supplementary information

This supplementary information is collated from multiple sources and compiled automatically.

The Sec15 protein also known as EXOC6 forms part of the exocyst complex an important element in the vesicle trafficking process. Sec15 is a significant component involved in tethering vesicles to specific sites on the plasma membrane. The protein's molecular weight is approximately 85 kDa. It has a cytosolic expression pattern and localizes at the plasma membrane where it participates in its essential cellular function.
Biological function summary

Sec15 plays a critical role in the exocyst complex which is essential for tethering exocytic vesicles to targeted membranes prior to fusion. This complex comprises eight different subunits working together to facilitate the precise delivery of vesicles. This role is necessary for processes like cell growth migration and secretion. The exocyst complex ensures that various cellular components and secreted molecules reach their correct cellular destinations.

Pathways

The exocyst complex housing Sec15 acts within the exocytic pathway coordinating with proteins such as Rab GTPases to ensure vesicle transport from the Golgi to the plasma membrane. This pathway integrates with other key cellular processes like signal transduction and membrane recycling to maintain cellular homeostasis. Sec15's interaction with the Rab family indicates its role in regulating vesicle docking and fusion events that are critical for efficient membrane trafficking.

Sec15 has connections to conditions like cancer and diabetes where vesicle trafficking disruptions can occur. In cancer altered membrane trafficking can contribute to increased cell migration and invasiveness with connections to the overexpression or dysfunction of related Rab proteins. Similarly in diabetes Sec15's role in insulin granule exocytosis can be affected potentially leading to impaired insulin secretion and glucose regulation. Therefore understanding Sec15's function provides insight into its implications for these diseases.

Product protocols

For this product, it's our understanding that no specific protocols are required. You can visit:

Target data

Component of the exocyst complex involved in the docking of exocytic vesicles with fusion sites on the plasma membrane. Together with RAB11A, RAB3IP, RAB8A, PARD3, PRKCI, ANXA2, CDC42 and DNMBP promotes transcytosis of PODXL to the apical membrane initiation sites (AMIS), apical surface formation and lumenogenesis (By similarity).
See full target information EXOC6

Product promise

We are committed to supporting your work with high-quality reagents, and we're here for you every step of the way. In the unlikely event that one of our products does not perform as expected, you're protected by our Product Promise.
For full details, please see our Terms & Conditions

Please note: All products are 'FOR RESEARCH USE ONLY. NOT FOR USE IN DIAGNOSTIC OR THERAPEUTIC PROCEDURES'.

For licensing inquiries, please contact partnerships@abcam.com