JavaScript is disabled in your browser. Please enable JavaScript to view this website.
AB250328

Anti-SEC22B antibody [EPR12335] - BSA and Azide free

Be the first to review this product! Submit a review

|

(0 Publication)

Rabbit Recombinant Monoclonal SEC22B antibody. Carrier free. Suitable for Flow Cyt (Intra), IP, WB, ICC/IF and reacts with Human, Mouse, Rat samples.

View Alternative Names

SEC22L1, SEC22B, Vesicle-trafficking protein SEC22b, ER-Golgi SNARE of 24 kDa, SEC22 vesicle-trafficking protein homolog B, SEC22 vesicle-trafficking protein-like 1, ERS-24, ERS24

5 Images
Immunocytochemistry/ Immunofluorescence - Anti-SEC22B antibody [EPR12335] - BSA and Azide free (AB250328)
  • ICC/IF

Supplier Data

Immunocytochemistry/ Immunofluorescence - Anti-SEC22B antibody [EPR12335] - BSA and Azide free (AB250328)

This data was developed using the same antibody clone in a different buffer formulation containing PBS, BSA, glycerol, and sodium azide (ab181076). Immunocytochemistry/ Immunofluorescence analysis of SH-SY5Y (human neuroblastoma epithelial cell) cells labeling SEC22B with ab181076 at 1/50dilution (10.6 µg/ml). Cells were fixed in 4% Paraformaldehyde and permeabilized with 0.1% tritonX-100. Cells were counterstained with ab195889 Anti-alpha Tubulin antibody [DM1A] - Microtubule Marker (Alexa Fluor® 594) at 1/200 (2.5 µg/ml). Goat anti rabbit IgG (Alexa Fluor® 488, ab150081) was used as the secondary antibody at 1/1000 (2 µg/ml) dilution. DAPI (blue) was used as nuclear counterstain. PBS instead of the primary antibody was used as the secondary antibody only control. Image was taken with a confocal microscope(Leica-Microsystems, TCS SP8).

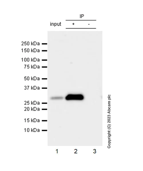
Immunoprecipitation - Anti-SEC22B antibody [EPR12335] - BSA and Azide free (AB250328)
  • IP

Supplier Data

Immunoprecipitation - Anti-SEC22B antibody [EPR12335] - BSA and Azide free (AB250328)

This data was developed using the same antibody clone in a different buffer formulation containing PBS, BSA, glycerol, and sodium azide (ab181076). ab181076 at 1/1000 dilution (2ug in 0.35mg lysates) immunoprecipitating SEC22B in SH-SY5Y (human neuroblastoma epithelial cell) whole cell lysate. Lane 1 (input) : SH-SY5Y whole cell lysate 10ug Lane 2 (+) : ab181076 & SH-SY5Y whole cell lysate Lane 3 (-) : Rabbit monoclonal IgG (ab172730) instead of ab181076 in SH-SY5Y whole cell lysate For western blotting, VeriBlot for IP Detection Reagent (HRP) (ab131366) was used at 1/5000 dilution as a secondary antibody. Blocking and diluting buffer : 5% NFDM/TBST.

All lanes:

Immunoprecipitation - Anti-SEC22B antibody [EPR12335] (<a href='/en-us/products/primary-antibodies/sec22b-antibody-epr12335-ab181076'>ab181076</a>) at 1/1000 dilution

All lanes:

SH-SY5Y (human neuroblastoma epithelial cell) whole cell lysate at 10 µg

Secondary

All lanes:

Immunoprecipitation - VeriBlot for IP Detection Reagent (HRP) (<a href='/en-us/products/reagents/veriblot-for-ip-detection-reagent-hrp-ab131366'>ab131366</a>) at 1/5000 dilution

Predicted band size: 25 kDa

Observed band size: 28 kDa

false

Exposure time: 15s

Flow Cytometry (Intracellular) - Anti-SEC22B antibody [EPR12335] - BSA and Azide free (AB250328)
  • Flow Cyt (Intra)

Unknown

Flow Cytometry (Intracellular) - Anti-SEC22B antibody [EPR12335] - BSA and Azide free (AB250328)

Intracellular Flow Cytometry analysis of SH-SY5Y (Human neuroblastoma epithelial cell) cells labeling SEC22B with purified ab181076 at 1/50 dilution (10μg/ml) (Red). Cells were fixed with 4% Paraformaldehyde and permeabilised with 90% Methanol. A Goat anti rabbit IgG (Alexa Fluor® 488, ab150077) secondary antibody was used at 1/2000. Isotype control - Rabbit monoclonal IgG (Black). Unlabeled control - Cell without incubation with primary antibody and secondary antibody (Blue).

This data was developed using the same antibody clone in a different buffer formulation containing PBS, BSA, glycerol, and sodium azide (ab181076).

Immunocytochemistry/ Immunofluorescence - Anti-SEC22B antibody [EPR12335] - BSA and Azide free (AB250328)
  • ICC/IF

Unknown

Immunocytochemistry/ Immunofluorescence - Anti-SEC22B antibody [EPR12335] - BSA and Azide free (AB250328)

Immunocytochemistry/ Immunofluorescence analysis of HeLa (Human cervix adenocarcinoma epithelial cell) cells labeling SEC22B with purified ab181076 at 1/250 dilution (2.2 μg/ml). Cells were fixed in 4% Paraformaldehyde and permeabilized with 0.1% tritonX-100. Cells were counterstained with ab195889 Anti-alpha Tubulin antibody [DM1A] - Microtubule Marker (Alexa Fluor® 594) 1/200 (2.5 μg/ml). Goat anti rabbit IgG (Alexa Fluor® 488, ab150077) was used as the secondary antibody at 1/1000 (2 μg/ml) dilution. DAPI (blue) was used as nuclear counterstain. PBS instead of the primary antibody was used as the secondary antibody only control.

This data was developed using the same antibody clone in a different buffer formulation containing PBS, BSA, glycerol, and sodium azide (ab181076).

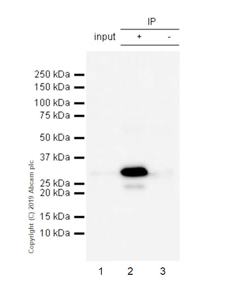
Immunoprecipitation - Anti-SEC22B antibody [EPR12335] - BSA and Azide free (AB250328)
  • IP

Unknown

Immunoprecipitation - Anti-SEC22B antibody [EPR12335] - BSA and Azide free (AB250328)

ab181076 (purified ) at 1/30 dilution (2ug) immunoprecipitating SEC22B in HeLa whole cell lysate.

Lane 1 (input) : HeLa (Human cervix adenocarcinoma epithelial cell) whole cell lysate 10ug
Lane 2 (+) : ab181076 & HeLa whole cell lysate
Lane 3 (-) : Rabbit monoclonal IgG (ab172730) instead of ab181076 in HeLa whole cell lysate

For western blotting, VeriBlot for IP Detection Reagent (HRP) (ab131366) was used at 1/1000 dilution.

Blocking and diluting buffer : 5% NFDM/TBST.

This data was developed using the same antibody clone in a different buffer formulation containing PBS, BSA, glycerol, and sodium azide (ab181076).

All lanes:

Immunoprecipitation - Anti-SEC22B antibody [EPR12335] (<a href='/en-us/products/primary-antibodies/sec22b-antibody-epr12335-ab181076'>ab181076</a>)

Predicted band size: 25 kDa,29 kDa

Observed band size: 32 kDa

false

  • Unconjugated

    Anti-SEC22B antibody [EPR12335]

  • 578 PE

    PE Anti-SEC22L1 antibody [EPR12335]

  • 660 APC

    APC Anti-SEC22L1 antibody [EPR12335]

  • 617 Alexa Fluor® 594

    Alexa Fluor® 594 Anti-SEC22L1 antibody [EPR12335]

  • 665 Alexa Fluor® 647

    Alexa Fluor® 647 Anti-SEC22L1 antibody [EPR12335]

  • 565 Alexa Fluor® 555

    Alexa Fluor® 555 Anti-SEC22L1 antibody [EPR12335]

  • HRP

    HRP Anti-SEC22L1 antibody [EPR12335]

  • 519 Alexa Fluor® 488

    Alexa Fluor® 488 Anti-SEC22L1 antibody [EPR12335]

  • 603 Alexa Fluor® 568

    Alexa Fluor® 568 Anti-SEC22B antibody [EPR12335]

Key facts

Host species

Rabbit

Clonality

Monoclonal

Clone number

EPR12335

Isotype

IgG

Carrier free

Yes

Reacts with

Mouse, Rat, Human

Applications

WB, ICC/IF, IP, Flow Cyt (Intra)

applications

Immunogen

The exact immunogen used to generate this antibody is proprietary information.

Specificity

The rat recommendation is based on the WB results. We do not guarantee IHC-P for rat.

Reactivity data

{ "title": "Reactivity Data", "filters": { "stats": ["", "Species", "Dilution Info", "Notes"], "tabs": { "all-applications": {"fullname" : "All Applications", "shortname": "All Applications"}, "FlowCytIntra" : {"fullname" : "Flow Cytometry (Intracellular)", "shortname":"Flow Cyt (Intra)"}, "IP" : {"fullname" : "Immunoprecipitation", "shortname":"IP"}, "WB" : {"fullname" : "Western blot", "shortname":"WB"}, "ICCIF" : {"fullname" : "Immunocytochemistry/ Immunofluorescence", "shortname":"ICC/IF"}, "IHCP" : {"fullname" : "Immunohistochemistry (Formalin/PFA-fixed paraffin-embedded sections)", "shortname":"IHC-P"} }, "product-promise": { "all": "all", "testedAndGuaranteed": "tested", "guaranteed": "expected", "predicted": "predicted", "notRecommended": "not-recommended" } }, "values": { "Human": { "FlowCytIntra-species-checked": "testedAndGuaranteed", "FlowCytIntra-species-dilution-info": "", "FlowCytIntra-species-notes": "<p></p> Perform heat-mediated antigen retrieval with Tris/EDTA buffer pH 9.0 before commencing with IHC staining protocol.", "IP-species-checked": "testedAndGuaranteed", "IP-species-dilution-info": "", "IP-species-notes": "<p></p>", "WB-species-checked": "guaranteed", "WB-species-dilution-info": "", "WB-species-notes": "<p></p>", "ICCIF-species-checked": "testedAndGuaranteed", "ICCIF-species-dilution-info": "", "ICCIF-species-notes": "<p></p>", "IHCP-species-checked": "notRecommended", "IHCP-species-dilution-info": "", "IHCP-species-notes": "<p>The rat recommendation is based on the WB results. We do not guarantee IHC-P for rat.</p>" }, "Mouse": { "FlowCytIntra-species-checked": "predicted", "FlowCytIntra-species-dilution-info": "", "FlowCytIntra-species-notes": "", "IP-species-checked": "predicted", "IP-species-dilution-info": "", "IP-species-notes": "", "WB-species-checked": "guaranteed", "WB-species-dilution-info": "", "WB-species-notes": "<p></p>", "ICCIF-species-checked": "predicted", "ICCIF-species-dilution-info": "", "ICCIF-species-notes": "", "IHCP-species-checked": "notRecommended", "IHCP-species-dilution-info": "", "IHCP-species-notes": "<p>The rat recommendation is based on the WB results. We do not guarantee IHC-P for rat.</p>" }, "Rat": { "FlowCytIntra-species-checked": "predicted", "FlowCytIntra-species-dilution-info": "", "FlowCytIntra-species-notes": "", "IP-species-checked": "predicted", "IP-species-dilution-info": "", "IP-species-notes": "", "WB-species-checked": "guaranteed", "WB-species-dilution-info": "", "WB-species-notes": "<p></p>", "ICCIF-species-checked": "predicted", "ICCIF-species-dilution-info": "", "ICCIF-species-notes": "", "IHCP-species-checked": "notRecommended", "IHCP-species-dilution-info": "", "IHCP-species-notes": "<p>The rat recommendation is based on the WB results. We do not guarantee IHC-P for rat.</p>" } } }

Product details

ab250328 is the carrier-free version of ab181076.

Patented technology
Our RabMAb® technology is a patented hybridoma-based technology for making rabbit monoclonal antibodies. For details on our patents, please refer to RabMAb® patents.

What are the advantages of a recombinant monoclonal antibody?
This product is a recombinant monoclonal antibody, which offers several advantages including:

  • - High batch-to-batch consistency and reproducibility
  • - Improved sensitivity and specificity
  • - Long-term security of supply
  • - Animal-free batch production

For more information, read more on recombinant antibodies.

Conjugation ready
Our carrier-free antibodies are typically supplied in a PBS-only formulation, purified and free of BSA, sodium azide and glycerol. This conjugation-ready format is designed for use with fluorochromes, metal isotopes, oligonucleotides, and enzymes, which makes them ideal for antibody labelling, functional and cell-based assays, flow-based assays (e.g. mass cytometry) and Multiplex Imaging applications.

Use our conjugation kits for antibody conjugates that are ready-to-use in as little as 20 minutes with 1 minute hands-on-time and 100% antibody recovery: available for fluorescent dyes, HRP, biotin and gold.

Compatibility
This product is compatible with the Maxpar® Antibody Labeling Kit from Fluidigm, without the need for antibody preparation. Maxpar® is a trademark of Fluidigm Canada Inc.

Properties and storage information

Form
Liquid
Purification technique
Affinity purification Protein A
Storage buffer
pH: 7.2 - 7.4 Constituents: PBS
Shipped at conditions
Blue Ice
Appropriate short-term storage conditions
+4°C
Appropriate long-term storage conditions
+4°C
Storage information
Do Not Freeze

Supplementary information

This supplementary information is collated from multiple sources and compiled automatically.

SEC22B also known as SEC22 homolog B is a membrane protein involved in vesicular trafficking within cells. It plays an important role in the transport between the endoplasmic reticulum (ER) and the Golgi apparatus. SEC22B belongs to the SNARE (soluble NSF attachment protein receptor) family with a molecular mass of approximately 29 kDa. It is expressed in various tissues with prominent presence in the immune system and neuronal tissues. The protein participates in the assembly of vesicle transport machinery important for proper cellular function and compartmentalization.
Biological function summary

SEC22B contributes to the fusion of transport vesicles with target membranes. It acts as part of a SNARE complex facilitating vesicle docking and subsequent membrane fusion through protein-protein interaction. In immune cells SEC22B is essential for antigen presentation. It regulates the trafficking of peptide-MHC complexes to the cell surface essential for adaptive immune response. In neurons the protein ensures efficient neurotransmitter release by managing vesicle cycling and synaptic vesicle fusion.

Pathways

SEC22B integrates into the vesicular transport and secretory pathways. It operates in the ER-Golgi transport route critical in maintaining cellular homeostasis and protein processing. The function of SEC22B involves interaction with other SNARE proteins like VAMP7 and SNAP23 forming SNARE complexes that drive membrane fusion events. This protein also influences the Golgi-to-ER retrograde transport contributing to the protein sorting pathway that recycles specific proteins back to the ER.

SEC22B links closely to immune-related conditions and neurodegenerative diseases. Disruption in SEC22B function can impact antigen presentation and immune system efficiency potentially contributing to autoimmune disorders. In neurological contexts altered SEC22B activity may interfere with neurotransmitter release possibly playing a role in conditions such as Alzheimer's disease. Connections with proteins like VAMP7 underline the importance of SEC22B in maintaining cellular integrity across different systems.

Product protocols

For this product, it's our understanding that no specific protocols are required. You can visit:

Target data

SNARE involved in targeting and fusion of ER-derived transport vesicles with the Golgi complex as well as Golgi-derived retrograde transport vesicles with the ER.
See full target information SEC22B

Product promise

We are committed to supporting your work with high-quality reagents, and we're here for you every step of the way. In the unlikely event that one of our products does not perform as expected, you're protected by our Product Promise.
For full details, please see our Terms & Conditions

Associated Products

Select an associated product type
Alternative Version
Primary Antibodies

AB306424

PE Anti-SEC22L1 antibody [EPR12335]

primary-antibodies

pe-sec22l1-antibody-epr12335-ab306424

0

(0 reviews)

Alternative Version
Primary Antibodies

AB306425

APC Anti-SEC22L1 antibody [EPR12335]

primary-antibodies

apc-sec22l1-antibody-epr12335-ab306425

0

(0 reviews)

Alternative Version
Primary Antibodies

AB310503

Alexa Fluor® 594 Anti-SEC22L1 antibody [EPR12335]

primary-antibodies

alexa-fluor-594-sec22l1-antibody-epr12335-ab310503

0

(0 reviews)

Alternative Version
Primary Antibodies

AB310098

Alexa Fluor® 647 Anti-SEC22L1 antibody [EPR12335]

primary-antibodies

alexa-fluor-647-sec22l1-antibody-epr12335-ab310098

0

(0 reviews)

Alternative Version
Primary Antibodies

AB312032

Alexa Fluor® 555 Anti-SEC22L1 antibody [EPR12335]

primary-antibodies

alexa-fluor-555-sec22l1-antibody-epr12335-ab312032

0

(0 reviews)

Alternative Version
Primary Antibodies

AB306426

HRP Anti-SEC22L1 antibody [EPR12335]

primary-antibodies

hrp-sec22l1-antibody-epr12335-ab306426

0

(0 reviews)

Alternative Version
Primary Antibodies

AB309732

Alexa Fluor® 488 Anti-SEC22L1 antibody [EPR12335]

primary-antibodies

alexa-fluor-488-sec22l1-antibody-epr12335-ab309732

0

(0 reviews)

Alternative Version
Primary Antibodies

AB312509

Alexa Fluor® 568 Anti-SEC22B antibody [EPR12335]

primary-antibodies

alexa-fluor-568-sec22b-antibody-epr12335-ab312509

0

(0 reviews)

Please note: All products are 'FOR RESEARCH USE ONLY. NOT FOR USE IN DIAGNOSTIC OR THERAPEUTIC PROCEDURES'.

For licensing inquiries, please contact partnerships@abcam.com