JavaScript is disabled in your browser. Please enable JavaScript to view this website.
AB270757

Anti-SEC23B + SEC23A antibody [EPR22723-102] - BSA and Azide free

Be the first to review this product! Submit a review

|

(0 Publication)

Rabbit Recombinant Monoclonal SEC23B antibody. Carrier free. Suitable for IHC-P, WB and reacts with Mouse, Rat, Human, Recombinant full length protein - Human samples.

View Alternative Names

Protein transport protein Sec23B, SEC23-related protein B, Sec23b

3 Images
Immunohistochemistry (Formalin/PFA-fixed paraffin-embedded sections) - Anti-SEC23B + SEC23A antibody [EPR22723-102] - BSA and Azide free (AB270757)
  • IHC-P

Unknown

Immunohistochemistry (Formalin/PFA-fixed paraffin-embedded sections) - Anti-SEC23B + SEC23A antibody [EPR22723-102] - BSA and Azide free (AB270757)

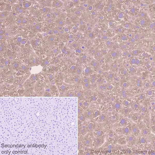
Immunohistochemical analysis of paraffin-embedded human cerebrum tissue labeling SEC23B + SEC23A with ab270750 at 1/100 dilution followed by a ready to use Rabbit specific IHC polymer detection kit HRP/DAB (ab209101). Positive cytoplasmic staining on human cerebrum (PMID : 22745161) is observed.

The section was incubated with ab270750 for 30 mins at room temperature. The immunostaining was performed on a Leica Biosystems BOND® RX instrument Counterstained with Hematoxylin.

Secondary antibody only control : Secondary antibody is a ready to use Rabbit specific IHC polymer detection kit HRP/DAB (ab209101).

Heat mediated antigen retrieval with Tris-EDTA buffer (pH 9.0, epitope retrieval solution2) for 20 mins.

This data was developed using the same antibody clone in a different buffer formulation containing PBS, BSA, glycerol, and sodium azide (270750).

Immunohistochemistry (Formalin/PFA-fixed paraffin-embedded sections) - Anti-SEC23B + SEC23A antibody [EPR22723-102] - BSA and Azide free (AB270757)
  • IHC-P

Unknown

Immunohistochemistry (Formalin/PFA-fixed paraffin-embedded sections) - Anti-SEC23B + SEC23A antibody [EPR22723-102] - BSA and Azide free (AB270757)

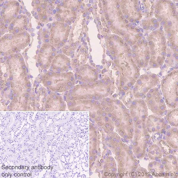
Immunohistochemical analysis of paraffin-embedded rat kidney tissue labeling SEC23B + SEC23A with ab270750 at 1/100 dilution followed by a ready to use Rabbit specific IHC polymer detection kit HRP/DAB (ab209101). Positive cytoplasmic staining on rat kidney (PMID : 22745161).

The section was incubated with ab270750 for 30 mins at room temperature. The immunostaining was performed on a Leica Biosystems BOND® RX instrument Counterstained with Hematoxylin.

Secondary antibody only control : Secondary antibody is a ready to use Rabbit specific IHC polymer detection kit HRP/DAB (ab209101).

Heat mediated antigen retrieval with Tris-EDTA buffer (pH 9.0, epitope retrieval solution2) for 20 mins.

This data was developed using the same antibody clone in a different buffer formulation containing PBS, BSA, glycerol, and sodium azide (270750).

Immunohistochemistry (Formalin/PFA-fixed paraffin-embedded sections) - Anti-SEC23B + SEC23A antibody [EPR22723-102] - BSA and Azide free (AB270757)
  • IHC-P

Unknown

Immunohistochemistry (Formalin/PFA-fixed paraffin-embedded sections) - Anti-SEC23B + SEC23A antibody [EPR22723-102] - BSA and Azide free (AB270757)

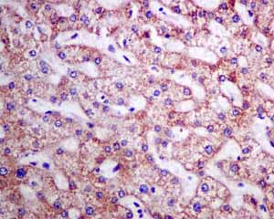
Immunohistochemical analysis of paraffin-embedded mouse liver tissue labeling SEC23B + SEC23A with ab270750 at 1/100 dilution followed by a ready to use Rabbit specific IHC polymer detection kit HRP/DAB (ab209101). Positive cytoplasmic staining on mouse liver (PMID : 22745161).

The section was incubated with ab270750 for 30 mins at room temperature. The immunostaining was performed on a Leica Biosystems BOND® RX instrument Counterstained with Hematoxylin.

Secondary antibody only control : Secondary antibody is a ready to use Rabbit specific IHC polymer detection kit HRP/DAB (ab209101).

Heat mediated antigen retrieval with Tris-EDTA buffer (pH 9.0, epitope retrieval solution2) for 20 mins.

This data was developed using the same antibody clone in a different buffer formulation containing PBS, BSA, glycerol, and sodium azide (270750).

Key facts

Host species

Rabbit

Clonality

Monoclonal

Clone number

EPR22723-102

Isotype

IgG

Carrier free

Yes

Reacts with

Mouse, Rat, Human

Applications

IHC-P, WB

applications

Immunogen

The exact immunogen used to generate this antibody is proprietary information.

Reactivity data

{ "title": "Reactivity Data", "filters": { "stats": ["", "Species", "Dilution Info", "Notes"], "tabs": { "all-applications": {"fullname" : "All Applications", "shortname": "All Applications"}, "IHCP" : {"fullname" : "Immunohistochemistry (Formalin/PFA-fixed paraffin-embedded sections)", "shortname":"IHC-P"}, "WB" : {"fullname" : "Western blot", "shortname":"WB"} }, "product-promise": { "all": "all", "testedAndGuaranteed": "tested", "guaranteed": "expected", "predicted": "predicted", "notRecommended": "not-recommended" } }, "values": { "Human": { "IHCP-species-checked": "testedAndGuaranteed", "IHCP-species-dilution-info": "", "IHCP-species-notes": "<p></p>", "WB-species-checked": "testedAndGuaranteed", "WB-species-dilution-info": "", "WB-species-notes": "<p></p>" }, "Mouse": { "IHCP-species-checked": "testedAndGuaranteed", "IHCP-species-dilution-info": "", "IHCP-species-notes": "<p></p>", "WB-species-checked": "testedAndGuaranteed", "WB-species-dilution-info": "", "WB-species-notes": "<p></p>" }, "Rat": { "IHCP-species-checked": "testedAndGuaranteed", "IHCP-species-dilution-info": "", "IHCP-species-notes": "<p></p>", "WB-species-checked": "testedAndGuaranteed", "WB-species-dilution-info": "", "WB-species-notes": "<p></p>" }, "Recombinant full length protein - Human": { "IHCP-species-checked": "notRecommended", "IHCP-species-dilution-info": "", "IHCP-species-notes": "", "WB-species-checked": "testedAndGuaranteed", "WB-species-dilution-info": "", "WB-species-notes": "<p></p>" } } }

Product details

ab270757 is the carrier-free version of ab270750.

Patented technology
Our RabMAb® technology is a patented hybridoma-based technology for making rabbit monoclonal antibodies. For details on our patents, please refer to RabMAb® patents.

What are the advantages of a recombinant monoclonal antibody?
This product is a recombinant monoclonal antibody, which offers several advantages including:

  • - High batch-to-batch consistency and reproducibility
  • - Improved sensitivity and specificity
  • - Long-term security of supply
  • - Animal-free batch production

For more information, read more on recombinant antibodies.

Conjugation ready
Our carrier-free antibodies are typically supplied in a PBS-only formulation, purified and free of BSA, sodium azide and glycerol. This conjugation-ready format is designed for use with fluorochromes, metal isotopes, oligonucleotides, and enzymes, which makes them ideal for antibody labelling, functional and cell-based assays, flow-based assays (e.g. mass cytometry) and Multiplex Imaging applications.

Use our conjugation kits for antibody conjugates that are ready-to-use in as little as 20 minutes with 1 minute hands-on-time and 100% antibody recovery: available for fluorescent dyes, HRP, biotin and gold.

Compatibility
This product is compatible with the Maxpar® Antibody Labeling Kit from Fluidigm, without the need for antibody preparation. Maxpar® is a trademark of Fluidigm Canada Inc.

Properties and storage information

Form
Liquid
Purification technique
Affinity purification Protein A
Storage buffer
pH: 7.2 - 7.4 Constituents: PBS
Shipped at conditions
Blue Ice
Appropriate short-term storage conditions
+4°C
Appropriate long-term storage conditions
+4°C
Storage information
Do Not Freeze

Supplementary information

This supplementary information is collated from multiple sources and compiled automatically.

SEC23B and SEC23A are proteins involved in the formation of transport vesicles from the endoplasmic reticulum (ER) to the Golgi apparatus. These proteins are part of the COPII coat protein complex. SEC23B has a mass of approximately 92 kDa while SEC23A is about 88 kDa. Both proteins are widely expressed with significant levels in the liver pancreas and other tissues. SEC23B and SEC23A share high sequence homology reflecting similar roles within cells.
Biological function summary

SEC23B and SEC23A are key components of the COPII complex working together with SEC24 SEC13 and SEC31 to facilitate the budding of vesicles from the ER. This complex regulates cargo selection and vesicle budding ensuring correct protein transport. Both proteins interact closely with SAR1 a small GTPase that initiates COPII coat assembly. The functionality of SEC23B and SEC23A is significant in maintaining cellular homeostasis by ensuring the efficient transport of proteins.

Pathways

SEC23B and SEC23A are integral in the secretory pathway a fundamental process in cell biology. The secretory pathway involves the transport of newly synthesized proteins from the ER to the Golgi and ultimately to their final destinations. Within this pathway SEC23B and SEC23A work alongside SEC24 to select cargo proteins that need transport. Their activities are connected to the vesicular transport pathway emphasizing the interplay with SAR1 and other COPII components.

SEC23B mutations are linked to Congenital Dyserythropoietic Anemia type II (CDAII) which affects red blood cell production and function. This disorder highlights SEC23B’s role in erythroid cell development. Moreover SEC23A mutations are associated with cranio-lenticulo-sutural dysplasia a rare disease impacting craniofacial and skeletal development. The involvement of SEC23B and SEC23A in these disorders indicates their essential roles in specialized cell processes.

Product protocols

For this product, it's our understanding that no specific protocols are required. You can visit:

Target data

Component of the coat protein complex II (COPII) which promotes the formation of transport vesicles from the endoplasmic reticulum (ER). The coat has two main functions, the physical deformation of the endoplasmic reticulum membrane into vesicles and the selection of cargo molecules for their transport to the Golgi complex.
See full target information Sec23b

Additional targets

Protein transport protein Sec23A

Product promise

We are committed to supporting your work with high-quality reagents, and we're here for you every step of the way. In the unlikely event that one of our products does not perform as expected, you're protected by our Product Promise.
For full details, please see our Terms & Conditions

Please note: All products are 'FOR RESEARCH USE ONLY. NOT FOR USE IN DIAGNOSTIC OR THERAPEUTIC PROCEDURES'.

For licensing inquiries, please contact partnerships@abcam.com