JavaScript is disabled in your browser. Please enable JavaScript to view this website.
AB224546

Anti-SEC23IP antibody

Be the first to review this product! Submit a review

|

(1 Publication)

Rabbit Polyclonal SEC23IP antibody. Suitable for IHC-P, WB, ICC/IF and reacts with Human, Mouse, Rat samples. Cited in 1 publication. Immunogen corresponding to Recombinant Fragment Protein within Human SEC23IP aa 850-950.

View Alternative Names

MSTP053, SEC23IP, SEC23-interacting protein, p125

3 Images
Immunocytochemistry/ Immunofluorescence - Anti-SEC23IP antibody (AB224546)
  • ICC/IF

Supplier Data

Immunocytochemistry/ Immunofluorescence - Anti-SEC23IP antibody (AB224546)

PFA-fixed, Triton X-100 permeabilized A431 (human epidermoid carcinoma cell line) cells stained for SEC23IP (green) using ab224546 at 4 μg/ml in ICC/IF.

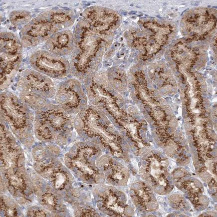
Immunohistochemistry (Formalin/PFA-fixed paraffin-embedded sections) - Anti-SEC23IP antibody (AB224546)
  • IHC-P

Supplier Data

Immunohistochemistry (Formalin/PFA-fixed paraffin-embedded sections) - Anti-SEC23IP antibody (AB224546)

Paraffin-embedded human stomach tissue stained for SEC23IP using ab224546 at 1/20 dilution in immunohistochemical analysis.

Western blot - Anti-SEC23IP antibody (AB224546)
  • WB

Supplier Data

Western blot - Anti-SEC23IP antibody (AB224546)

All lanes:

Western blot - Anti-SEC23IP antibody (ab224546) at 1/100 dilution

Lane 1:

NIH/3T3 (mouse embryo fibroblast cell line) cell lysate

Lane 2:

NBT-II cell lysate

Predicted band size: 111 kDa

false

Key facts

Host species

Rabbit

Clonality

Polyclonal

Isotype

IgG

Carrier free

No

Reacts with

Mouse, Rat, Human

Applications

WB, ICC/IF, IHC-P

applications

Immunogen

Recombinant Fragment Protein within Human SEC23IP aa 850-950. The exact immunogen used to generate this antibody is proprietary information.

Q9Y6Y8

Reactivity data

{ "title": "Reactivity Data", "filters": { "stats": ["", "Species", "Dilution Info", "Notes"], "tabs": { "all-applications": {"fullname" : "All Applications", "shortname": "All Applications"}, "IHCP" : {"fullname" : "Immunohistochemistry (Formalin/PFA-fixed paraffin-embedded sections)", "shortname":"IHC-P"}, "WB" : {"fullname" : "Western blot", "shortname":"WB"}, "ICCIF" : {"fullname" : "Immunocytochemistry/ Immunofluorescence", "shortname":"ICC/IF"} }, "product-promise": { "all": "all", "testedAndGuaranteed": "tested", "guaranteed": "expected", "predicted": "predicted", "notRecommended": "not-recommended" } }, "values": { "Human": { "IHCP-species-checked": "testedAndGuaranteed", "IHCP-species-dilution-info": "1/200 - 1/500", "IHCP-species-notes": "<p></p> Perform heat-mediated antigen retrieval with citrate buffer pH 6 before commencing with IHC staining protocol.", "WB-species-checked": "guaranteed", "WB-species-dilution-info": "", "WB-species-notes": "", "ICCIF-species-checked": "testedAndGuaranteed", "ICCIF-species-dilution-info": "0.25-2 µg/mL", "ICCIF-species-notes": "<p>Fixation/Permeabilization: PFA/Triton X-100.</p>" }, "Mouse": { "IHCP-species-checked": "guaranteed", "IHCP-species-dilution-info": "", "IHCP-species-notes": "", "WB-species-checked": "testedAndGuaranteed", "WB-species-dilution-info": "0.04-0.4 µg/mL", "WB-species-notes": "<p></p>", "ICCIF-species-checked": "guaranteed", "ICCIF-species-dilution-info": "", "ICCIF-species-notes": "" }, "Rat": { "IHCP-species-checked": "guaranteed", "IHCP-species-dilution-info": "", "IHCP-species-notes": "", "WB-species-checked": "testedAndGuaranteed", "WB-species-dilution-info": "0.04-0.4 µg/mL", "WB-species-notes": "<p></p>", "ICCIF-species-checked": "guaranteed", "ICCIF-species-dilution-info": "", "ICCIF-species-notes": "" } } }

Properties and storage information

Form
Liquid
Purification technique
Affinity purification Immunogen
Storage buffer
pH: 7.2 Preservative: 0.02% Sodium azide Constituents: PBS, 40% Glycerol (glycerin, glycerine)
Shipped at conditions
Blue Ice
Appropriate short-term storage duration
1-2 weeks
Appropriate short-term storage conditions
+4°C
Appropriate long-term storage conditions
-20°C
Aliquoting information
Upon delivery aliquot
Storage information
Avoid freeze / thaw cycle

Supplementary information

This supplementary information is collated from multiple sources and compiled automatically.

SEC23IP also known as SEC23-interacting protein or p125 serves an important role in the assembly and functioning of the COPII complex. It weighs approximately 115 kDa and participates in transporting proteins from the endoplasmic reticulum to the Golgi apparatus. SEC23IP binds to SEC23 a component of the COPII coat and modulates the assembly process for vesicle formation. Expression of SEC23IP occurs in many tissues with significant levels observed in the liver and pancreas.
Biological function summary

SEC23IP assists in mediating the selection and transport of cargo molecules by stabilizing the SEC23/24 subcomplex within the larger COPII complex. SEC23IP therefore helps facilitate the budding of transport vesicles from the endoplasmic reticulum. By acting within this protein complex SEC23IP enhances the fidelity and specificity of cargo selection and compartmentalization essential for functional protein sorting.

Pathways

SEC23IP acts as an indispensable component of the secretory pathway which ensures the proper trafficking of proteins through the cell. It interacts largely within the context of the COPII vesicle-mediated transport pathway and is influenced by proteins such as SAR1 and SEC24. These transport routes are necessary for maintaining cellular homeostasis and enabling cell surface membrane depiction.

Alterations in SEC23IP expression or function have connections to conditions involving improper protein trafficking. One known association is with craniofacial abnormalities linked to disruptions in cellular transport processes. Mutations in related COPII proteins like SEC23 also highlight the consequences on skeletal development and metabolism which can manifest in conditions such as cranio-lenticulo-sutural dysplasia (CLSD). Understanding the exact role of SEC23IP contributes to insights into these developmental disorders.

Product protocols

For this product, it's our understanding that no specific protocols are required. You can visit:

Target data

Plays a role in the organization of endoplasmic reticulum exit sites. Specifically binds to phosphatidylinositol 3-phosphate (PI(3)P), phosphatidylinositol 4-phosphate (PI(4)P) and phosphatidylinositol 5-phosphate (PI(5)P).
See full target information SEC23IP

Publications (1)

Recent publications for all applications. Explore the full list and refine your search

eLife 12: PubMed38099650

2023

Distinct states of nucleolar stress induced by anticancer drugs.

Applications

Unspecified application

Species

Unspecified reactive species

Tamara A Potapova,Jay R Unruh,Juliana Conkright-Fincham,Charles A S Banks,Laurence Florens,David Alan Schneider,Jennifer L Gerton
View all publications

Product promise

We are committed to supporting your work with high-quality reagents, and we're here for you every step of the way. In the unlikely event that one of our products does not perform as expected, you're protected by our Product Promise.
For full details, please see our Terms & Conditions

Please note: All products are 'FOR RESEARCH USE ONLY. NOT FOR USE IN DIAGNOSTIC OR THERAPEUTIC PROCEDURES'.

For licensing inquiries, please contact partnerships@abcam.com