JavaScript is disabled in your browser. Please enable JavaScript to view this website.
AB137022

Anti-SEC62 antibody [EPR9212]

Be the first to review this product! Submit a review

|

(4 Publications)

Rabbit Recombinant Monoclonal SEC62 antibody. Suitable for WB, IHC-P and reacts with Human samples. Cited in 4 publications.

View Alternative Names

TLOC1, SEC62, Translocation protein SEC62, Translocation protein 1, TP-1, hTP-1

3 Images
Immunohistochemistry (Formalin/PFA-fixed paraffin-embedded sections) - Anti-SEC62 antibody [EPR9212] (AB137022)
  • IHC-P

Unknown

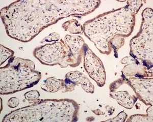
Immunohistochemistry (Formalin/PFA-fixed paraffin-embedded sections) - Anti-SEC62 antibody [EPR9212] (AB137022)

Immunohistochemical analysis of paraffin-embedded Human placenta tissue labelling SEC62 with ab137022 at 1/100 dilution.

Perform heat mediated antigen retrieval with citrate buffer pH 6 before commencing with IHC staining protocol.

Western blot - Anti-SEC62 antibody [EPR9212] (AB137022)
  • WB

Unknown

Western blot - Anti-SEC62 antibody [EPR9212] (AB137022)

All lanes:

Western blot - Anti-SEC62 antibody [EPR9212] (ab137022) at 1/1000 dilution

Lane 1:

HeLa cell lysate at 10 µg

Lane 2:

K562 cell lysate at 10 µg

Lane 3:

HepG2 cell lysate at 10 µg

Lane 4:

BxPC-3 cell lysate at 10 µg

Secondary

All lanes:

HRP labelled goat anti-rabbit at 1/2000 dilution

Predicted band size: 46 kDa

false

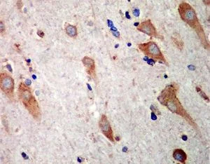
Immunohistochemistry (Formalin/PFA-fixed paraffin-embedded sections) - Anti-SEC62 antibody [EPR9212] (AB137022)
  • IHC-P

Unknown

Immunohistochemistry (Formalin/PFA-fixed paraffin-embedded sections) - Anti-SEC62 antibody [EPR9212] (AB137022)

Immunohistochemical analysis of paraffin-embedded Human brain tissue labelling SEC62 with ab137022 at 1/100 dilution.

Perform heat mediated antigen retrieval with citrate buffer pH 6 before commencing with IHC staining protocol.

  • Carrier free

    Anti-SEC62 antibody [EPR9212] - BSA and Azide free

Key facts

Host species

Rabbit

Clonality

Monoclonal

Clone number

EPR9212

Isotype

IgG

Carrier free

No

Reacts with

Human

Applications

IHC-P, WB

applications

Immunogen

The exact immunogen used to generate this antibody is proprietary information.

Reactivity data

{ "title": "Reactivity Data", "filters": { "stats": ["", "Species", "Dilution Info", "Notes"], "tabs": { "all-applications": {"fullname" : "All Applications", "shortname": "All Applications"}, "FlowCyt" : {"fullname" : "Flow Cytometry", "shortname":"Flow Cyt"}, "WB" : {"fullname" : "Western blot", "shortname":"WB"}, "ICCIF" : {"fullname" : "Immunocytochemistry/ Immunofluorescence", "shortname":"ICC/IF"}, "IHCP" : {"fullname" : "Immunohistochemistry (Formalin/PFA-fixed paraffin-embedded sections)", "shortname":"IHC-P"} }, "product-promise": { "all": "all", "testedAndGuaranteed": "tested", "guaranteed": "expected", "predicted": "predicted", "notRecommended": "not-recommended" } }, "values": { "Human": { "FlowCyt-species-checked": "notRecommended", "FlowCyt-species-dilution-info": "", "FlowCyt-species-notes": "<p></p>", "WB-species-checked": "testedAndGuaranteed", "WB-species-dilution-info": "1/1000 - 1/10000", "WB-species-notes": "<p></p>", "ICCIF-species-checked": "notRecommended", "ICCIF-species-dilution-info": "", "ICCIF-species-notes": "<p></p>", "IHCP-species-checked": "testedAndGuaranteed", "IHCP-species-dilution-info": "1/100 - 1/250", "IHCP-species-notes": "<p></p>" }, "Mouse": { "FlowCyt-species-checked": "notRecommended", "FlowCyt-species-dilution-info": "", "FlowCyt-species-notes": "", "WB-species-checked": "predicted", "WB-species-dilution-info": "", "WB-species-notes": "", "ICCIF-species-checked": "notRecommended", "ICCIF-species-dilution-info": "", "ICCIF-species-notes": "", "IHCP-species-checked": "predicted", "IHCP-species-dilution-info": "", "IHCP-species-notes": "" }, "Rat": { "FlowCyt-species-checked": "notRecommended", "FlowCyt-species-dilution-info": "", "FlowCyt-species-notes": "", "WB-species-checked": "predicted", "WB-species-dilution-info": "", "WB-species-notes": "", "ICCIF-species-checked": "notRecommended", "ICCIF-species-dilution-info": "", "ICCIF-species-notes": "", "IHCP-species-checked": "predicted", "IHCP-species-dilution-info": "", "IHCP-species-notes": "" } } }

Product details

Patented technology
Our RabMAb® technology is a patented hybridoma-based technology for making rabbit monoclonal antibodies. For details on our patents, please refer to RabMAb® patents.

What are the advantages of a recombinant monoclonal antibody?
This product is a recombinant monoclonal antibody, which offers several advantages including:

  • - High batch-to-batch consistency and reproducibility
  • - Improved sensitivity and specificity
  • - Long-term security of supply
  • - Animal-free batch production

For more information, read more on recombinant antibodies.

Properties and storage information

Form
Liquid
Purification technique
Affinity purification Protein A
Storage buffer
pH: 7.2 - 7.4 Preservative: 0.01% Sodium azide Constituents: 50% Tissue culture supernatant, 40% Glycerol (glycerin, glycerine), 9% PBS, 0.05% BSA
Shipped at conditions
Blue Ice
Appropriate short-term storage conditions
+4°C
Appropriate long-term storage conditions
-20°C

Supplementary information

This supplementary information is collated from multiple sources and compiled automatically.

SEC62 also known as translocation protein SEC62 is an essential component of the protein translocation machinery in cells. It is part of the Sec61 complex and helps with the translocation of nascent polypeptides across the endoplasmic reticulum (ER) membrane. SEC62 has a molecular mass of approximately 24 kilodaltons. It is expressed widely in tissues with higher expression levels observed in the pancreas and liver which are essential for protein synthesis and secretion.
Biological function summary

Beyond its role in the ER SEC62 contributes to the maintenance of calcium homeostasis and cellular stress responses. It forms a part of the SEC63 complex working alongside SEC63 and SEC61 to facilitate protein folding and assembly. This protein also plays a role in the response to ER stress where it assists in relieving the burden by managing calcium leakage across the ER membrane which is important for maintaining cell health under stress conditions.

Pathways

SEC62 plays a significant role in the signal recognition particle (SRP) pathway and the unfolded protein response (UPR). It interacts with other proteins in these pathways including SEC63 and BIP to regulate protein processing and transport. The SEC61 complex which includes SEC62 integrates signals for targeting nascent proteins to the ER membrane and aids in managing misfolded protein accumulation through UPR therefore ensuring cellular homeostasis.

SEC62 has been linked to various types of cancer including prostate and thyroid cancer where its overexpression correlates with tumor progression and metastasis. It interacts with proteins like BIP in cancer cells contributing to the ER stress response that supports cancer cell survival. Additionally alterations in SEC62 are associated with congenital disorders like congenital disorders of glycosylation (CDG) where dysfunctional protein translocation and glycosylation processes impact cellular function.

Product protocols

For this product, it's our understanding that no specific protocols are required. You can visit:

Target data

Mediates post-translational transport of precursor polypeptides across endoplasmic reticulum (ER). Proposed to act as a targeting receptor for small presecretory proteins containing short and apolar signal peptides. Targets and properly positions newly synthesized presecretory proteins into the SEC61 channel-forming translocon complex, triggering channel opening for polypeptide translocation to the ER lumen.
See full target information SEC62

Publications (4)

Recent publications for all applications. Explore the full list and refine your search

Cell death & disease 14:627 PubMed37739945

2023

Depletion of G9A attenuates imiquimod-induced psoriatic dermatitis via targeting EDAR-NF-κB signaling in keratinocyte.

Applications

Unspecified application

Species

Unspecified reactive species

Zhiqin Fang,Yutong Wang,Bo Huang,Xiang Chen,Rundong Jiang,Mingzhu Yin

Cell death & disease 13:357 PubMed35436985

2022

Cancer cells adapt FAM134B/BiP mediated ER-phagy to survive hypoxic stress.

Applications

Unspecified application

Species

Unspecified reactive species

Sandhya Chipurupalli,Raja Ganesan,Giulia Martini,Luigi Mele,Alessio Reggio,Marianna Esposito,Elango Kannan,Vigneshwaran Namasivayam,Paolo Grumati,Vincenzo Desiderio,Nirmal Robinson

Oncogenesis 8:74 PubMed31822656

2019

Sec62 promotes early recurrence of hepatocellular carcinoma through activating integrinα/CAV1 signalling.

Applications

Unspecified application

Species

Unspecified reactive species

Juan Du,Zhihao Zhao,Hetong Zhao,Dong Liu,Hui Liu,Jun Chen,Binbin Cheng,Xiaofeng Zhai,Zifei Yin,Yani Zhang,Changquan Ling

Molecular cell 75:442-456.e4 PubMed31176671

2019

Cells Deploy a Two-Pronged Strategy to Rectify Misfolded Proinsulin Aggregates.

Applications

Unspecified application

Species

Unspecified reactive species

Corey N Cunningham,Jeffrey M Williams,Jeffrey Knupp,Anoop Arunagiri,Peter Arvan,Billy Tsai
View all publications

Product promise

We are committed to supporting your work with high-quality reagents, and we're here for you every step of the way. In the unlikely event that one of our products does not perform as expected, you're protected by our Product Promise.
For full details, please see our Terms & Conditions

Please note: All products are 'FOR RESEARCH USE ONLY. NOT FOR USE IN DIAGNOSTIC OR THERAPEUTIC PROCEDURES'.

For licensing inquiries, please contact partnerships@abcam.com