JavaScript is disabled in your browser. Please enable JavaScript to view this website.
AB248926

Anti-SEC62 antibody [EPR9213] - BSA and Azide free

Be the first to review this product! Submit a review

|

(1 Publication)

Rabbit Recombinant Monoclonal SEC62 antibody. Carrier free. Suitable for IHC-P, WB, ICC/IF and reacts with Human, Mouse, Rat samples. Cited in 1 publication.

View Alternative Names

TLOC1, SEC62, Translocation protein SEC62, Translocation protein 1, TP-1, hTP-1

7 Images
Immunocytochemistry/ Immunofluorescence - Anti-SEC62 antibody [EPR9213] - BSA and Azide free (AB248926)
  • ICC/IF

Unknown

Immunocytochemistry/ Immunofluorescence - Anti-SEC62 antibody [EPR9213] - BSA and Azide free (AB248926)

This data was developed using ab140644, the same antibody clone in a different buffer formulation.Immunocytochemistry/ Immunofluorescence analysis of HeLa cells labelling SEC62 with ab140644 at a 1/250 dilution.

Immunohistochemistry (Formalin/PFA-fixed paraffin-embedded sections) - Anti-SEC62 antibody [EPR9213] - BSA and Azide free (AB248926)
  • IHC-P

Unknown

Immunohistochemistry (Formalin/PFA-fixed paraffin-embedded sections) - Anti-SEC62 antibody [EPR9213] - BSA and Azide free (AB248926)

This data was developed using ab140644, the same antibody clone in a different buffer formulation.

Immunohistochemical analysis of paraffin embedded Human Breast carcinoma tissue using ab140644 showing +ve staining.

Perform heat mediated antigen retrieval with citrate buffer pH 6 before commencing with IHC staining protocol.

Immunohistochemistry (Formalin/PFA-fixed paraffin-embedded sections) - Anti-SEC62 antibody [EPR9213] - BSA and Azide free (AB248926)
  • IHC-P

Unknown

Immunohistochemistry (Formalin/PFA-fixed paraffin-embedded sections) - Anti-SEC62 antibody [EPR9213] - BSA and Azide free (AB248926)

This data was developed using ab140644, the same antibody clone in a different buffer formulation.

Immunohistochemical analysis of paraffin embedded Normal Human Colon tissue using ab140644 showing +ve staining.

Perform heat mediated antigen retrieval with citrate buffer pH 6 before commencing with IHC staining protocol.

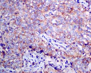
Immunohistochemistry (Formalin/PFA-fixed paraffin-embedded sections) - Anti-SEC62 antibody [EPR9213] - BSA and Azide free (AB248926)
  • IHC-P

Unknown

Immunohistochemistry (Formalin/PFA-fixed paraffin-embedded sections) - Anti-SEC62 antibody [EPR9213] - BSA and Azide free (AB248926)

This data was developed using ab140644, the same antibody clone in a different buffer formulation.

Immunohistochemical analysis of paraffin embedded Human kidney tissue labelling SEC62 with ab140644 at a 1/100 dilution.

Perform heat mediated antigen retrieval with citrate buffer pH 6 before commencing with IHC staining protocol.

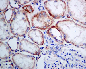
Immunohistochemistry (Formalin/PFA-fixed paraffin-embedded sections) - Anti-SEC62 antibody [EPR9213] - BSA and Azide free (AB248926)
  • IHC-P

Unknown

Immunohistochemistry (Formalin/PFA-fixed paraffin-embedded sections) - Anti-SEC62 antibody [EPR9213] - BSA and Azide free (AB248926)

This data was developed using ab140644, the same antibody clone in a different buffer formulation.

Immunohistochemical analysis of paraffin embedded Normal Human Liver tissue using ab140644 showing +ve staining.

Perform heat mediated antigen retrieval with citrate buffer pH 6 before commencing with IHC staining protocol.

Immunohistochemistry (Formalin/PFA-fixed paraffin-embedded sections) - Anti-SEC62 antibody [EPR9213] - BSA and Azide free (AB248926)
  • IHC-P

Unknown

Immunohistochemistry (Formalin/PFA-fixed paraffin-embedded sections) - Anti-SEC62 antibody [EPR9213] - BSA and Azide free (AB248926)

This data was developed using ab140644, the same antibody clone in a different buffer formulation.

Immunohistochemical analysis of paraffin embedded Human Ovarian carcinoma tissue using ab140644 showing +ve staining.

Perform heat mediated antigen retrieval with citrate buffer pH 6 before commencing with IHC staining protocol.

Western blot - Anti-SEC62 antibody [EPR9213] - BSA and Azide free (AB248926)
  • WB

Unknown

Western blot - Anti-SEC62 antibody [EPR9213] - BSA and Azide free (AB248926)

This data was developed using ab140644, the same antibody clone in a different buffer formulation.

All lanes:

Western blot - Anti-SEC62 antibody [EPR9213] (<a href='/en-us/products/primary-antibodies/sec62-antibody-epr9213-ab140644'>ab140644</a>) at 1/1000 dilution

Lane 1:

HeLa cell lysates at 10 µg

Lane 2:

SH-SY5Y cell lysates at 10 µg

Lane 3:

HepG2 cell lysates at 10 µg

Lane 4:

NIH/3T3 cell lysates at 10 µg

Lane 5:

C6 cell lysates at 10 µg

Secondary

All lanes:

HRP conjugated goat anti-rabbit at 1/2000 dilution

Predicted band size: 46 kDa

false

Key facts

Host species

Rabbit

Clonality

Monoclonal

Clone number

EPR9213

Isotype

IgG

Carrier free

Yes

Reacts with

Rat, Human, Mouse

Applications

IHC-P, WB, ICC/IF

applications

Immunogen

The exact immunogen used to generate this antibody is proprietary information.

Reactivity data

{ "title": "Reactivity Data", "filters": { "stats": ["", "Species", "Dilution Info", "Notes"], "tabs": { "all-applications": {"fullname" : "All Applications", "shortname": "All Applications"}, "IHCP" : {"fullname" : "Immunohistochemistry (Formalin/PFA-fixed paraffin-embedded sections)", "shortname":"IHC-P"}, "IP" : {"fullname" : "Immunoprecipitation", "shortname":"IP"}, "FlowCyt" : {"fullname" : "Flow Cytometry", "shortname":"Flow Cyt"}, "WB" : {"fullname" : "Western blot", "shortname":"WB"}, "ICCIF" : {"fullname" : "Immunocytochemistry/ Immunofluorescence", "shortname":"ICC/IF"} }, "product-promise": { "all": "all", "testedAndGuaranteed": "tested", "guaranteed": "expected", "predicted": "predicted", "notRecommended": "not-recommended" } }, "values": { "Human": { "IHCP-species-checked": "testedAndGuaranteed", "IHCP-species-dilution-info": "", "IHCP-species-notes": "<p>Antigen retrieval is recommended.</p> Perform heat-mediated antigen retrieval with citrate buffer pH 6 before commencing with IHC staining protocol.", "IP-species-checked": "notRecommended", "IP-species-dilution-info": "", "IP-species-notes": "<p></p>", "FlowCyt-species-checked": "notRecommended", "FlowCyt-species-dilution-info": "", "FlowCyt-species-notes": "<p></p>", "WB-species-checked": "testedAndGuaranteed", "WB-species-dilution-info": "", "WB-species-notes": "<p></p>", "ICCIF-species-checked": "testedAndGuaranteed", "ICCIF-species-dilution-info": "", "ICCIF-species-notes": "<p></p>" }, "Mouse": { "IHCP-species-checked": "guaranteed", "IHCP-species-dilution-info": "", "IHCP-species-notes": "", "IP-species-checked": "notRecommended", "IP-species-dilution-info": "", "IP-species-notes": "<p></p>", "FlowCyt-species-checked": "notRecommended", "FlowCyt-species-dilution-info": "", "FlowCyt-species-notes": "<p></p>", "WB-species-checked": "testedAndGuaranteed", "WB-species-dilution-info": "", "WB-species-notes": "<p></p>", "ICCIF-species-checked": "guaranteed", "ICCIF-species-dilution-info": "", "ICCIF-species-notes": "" }, "Rat": { "IHCP-species-checked": "guaranteed", "IHCP-species-dilution-info": "", "IHCP-species-notes": "", "IP-species-checked": "notRecommended", "IP-species-dilution-info": "", "IP-species-notes": "<p></p>", "FlowCyt-species-checked": "notRecommended", "FlowCyt-species-dilution-info": "", "FlowCyt-species-notes": "<p></p>", "WB-species-checked": "testedAndGuaranteed", "WB-species-dilution-info": "", "WB-species-notes": "<p></p>", "ICCIF-species-checked": "guaranteed", "ICCIF-species-dilution-info": "", "ICCIF-species-notes": "" } } }

Product details

ab248926 is the carrier-free version of ab140644.

Patented technology
Our RabMAb® technology is a patented hybridoma-based technology for making rabbit monoclonal antibodies. For details on our patents, please refer to RabMAb® patents.

What are the advantages of a recombinant monoclonal antibody?
This product is a recombinant monoclonal antibody, which offers several advantages including:

  • - High batch-to-batch consistency and reproducibility
  • - Improved sensitivity and specificity
  • - Long-term security of supply
  • - Animal-free batch production

For more information, read more on recombinant antibodies.

Conjugation ready
Our carrier-free antibodies are typically supplied in a PBS-only formulation, purified and free of BSA, sodium azide and glycerol. This conjugation-ready format is designed for use with fluorochromes, metal isotopes, oligonucleotides, and enzymes, which makes them ideal for antibody labelling, functional and cell-based assays, flow-based assays (e.g. mass cytometry) and Multiplex Imaging applications.

Use our conjugation kits for antibody conjugates that are ready-to-use in as little as 20 minutes with 1 minute hands-on-time and 100% antibody recovery: available for fluorescent dyes, HRP, biotin and gold.

Compatibility
This product is compatible with the Maxpar® Antibody Labeling Kit from Fluidigm, without the need for antibody preparation. Maxpar® is a trademark of Fluidigm Canada Inc.

Properties and storage information

Form
Liquid
Purification technique
Affinity purification Protein A
Storage buffer
pH: 7.2 - 7.4 Constituents: PBS
Shipped at conditions
Blue Ice
Appropriate short-term storage conditions
+4°C
Appropriate long-term storage conditions
+4°C
Storage information
Do Not Freeze

Supplementary information

This supplementary information is collated from multiple sources and compiled automatically.

SEC62 also known as translocation protein SEC62 is an essential component of the protein translocation machinery in cells. It is part of the Sec61 complex and helps with the translocation of nascent polypeptides across the endoplasmic reticulum (ER) membrane. SEC62 has a molecular mass of approximately 24 kilodaltons. It is expressed widely in tissues with higher expression levels observed in the pancreas and liver which are essential for protein synthesis and secretion.
Biological function summary

Beyond its role in the ER SEC62 contributes to the maintenance of calcium homeostasis and cellular stress responses. It forms a part of the SEC63 complex working alongside SEC63 and SEC61 to facilitate protein folding and assembly. This protein also plays a role in the response to ER stress where it assists in relieving the burden by managing calcium leakage across the ER membrane which is important for maintaining cell health under stress conditions.

Pathways

SEC62 plays a significant role in the signal recognition particle (SRP) pathway and the unfolded protein response (UPR). It interacts with other proteins in these pathways including SEC63 and BIP to regulate protein processing and transport. The SEC61 complex which includes SEC62 integrates signals for targeting nascent proteins to the ER membrane and aids in managing misfolded protein accumulation through UPR therefore ensuring cellular homeostasis.

SEC62 has been linked to various types of cancer including prostate and thyroid cancer where its overexpression correlates with tumor progression and metastasis. It interacts with proteins like BIP in cancer cells contributing to the ER stress response that supports cancer cell survival. Additionally alterations in SEC62 are associated with congenital disorders like congenital disorders of glycosylation (CDG) where dysfunctional protein translocation and glycosylation processes impact cellular function.

Product protocols

For this product, it's our understanding that no specific protocols are required. You can visit:

Target data

Mediates post-translational transport of precursor polypeptides across endoplasmic reticulum (ER). Proposed to act as a targeting receptor for small presecretory proteins containing short and apolar signal peptides. Targets and properly positions newly synthesized presecretory proteins into the SEC61 channel-forming translocon complex, triggering channel opening for polypeptide translocation to the ER lumen.
See full target information SEC62

Publications (1)

Recent publications for all applications. Explore the full list and refine your search

Journal of personalized medicine 12: PubMed35207643

2022

Detyrosinated α-Tubulin, Vimentin and PD-L1 in Circulating Tumor Cells (CTCs) Isolated from Non-Small Cell Lung Cancer (NSCLC) Patients.

Applications

Unspecified application

Species

Unspecified reactive species

Spyridoula D Katsarou,Ippokratis Messaritakis,Anastasia Voumvouraki,Stavros Kakavogiannis,Athanasios Κotsakis,Saad Alkahtani,Christos Stournaras,Stuart S Martin,Vassilis Georgoulias,Galatea Kallergi
View all publications

Product promise

We are committed to supporting your work with high-quality reagents, and we're here for you every step of the way. In the unlikely event that one of our products does not perform as expected, you're protected by our Product Promise.
For full details, please see our Terms & Conditions

Please note: All products are 'FOR RESEARCH USE ONLY. NOT FOR USE IN DIAGNOSTIC OR THERAPEUTIC PROCEDURES'.

For licensing inquiries, please contact partnerships@abcam.com