JavaScript is disabled in your browser. Please enable JavaScript to view this website.
AB210791

Anti-SECISBP2 antibody

Be the first to review this product! Submit a review

|

(1 Publication)

Rabbit Polyclonal SECISBP2 antibody. Suitable for WB, ICC/IF, IHC-P and reacts with Human, Mouse samples. Cited in 1 publication. Immunogen corresponding to Recombinant Fragment Protein within Human SECISBP2 aa 250 to C-terminus.

View Alternative Names

SBP2, SECISBP2, Selenocysteine insertion sequence-binding protein 2, SECIS-binding protein 2

4 Images
Immunocytochemistry/ Immunofluorescence - Anti-SECISBP2 antibody (AB210791)
  • ICC/IF

Supplier Data

Immunocytochemistry/ Immunofluorescence - Anti-SECISBP2 antibody (AB210791)

Immunocytochemistry/Immunofluorescence analysis of HeLa cells labeling SECISBP2 with ab210791 at 1/50 dilution.

Immunohistochemistry (Formalin/PFA-fixed paraffin-embedded sections) - Anti-SECISBP2 antibody (AB210791)
  • IHC-P

Supplier Data

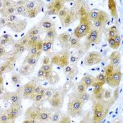
Immunohistochemistry (Formalin/PFA-fixed paraffin-embedded sections) - Anti-SECISBP2 antibody (AB210791)

Immunohistochemical analysis of human liver injury tissue paraffin-embedded sections labeling SECISBP2 with ab210791 at a 1/200 dilution.

Immunohistochemistry (Formalin/PFA-fixed paraffin-embedded sections) - Anti-SECISBP2 antibody (AB210791)
  • IHC-P

Unknown

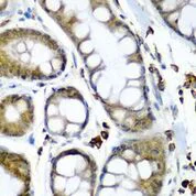
Immunohistochemistry (Formalin/PFA-fixed paraffin-embedded sections) - Anti-SECISBP2 antibody (AB210791)

Immunohistochemical analysis of human colon carcinoma tissue paraffin-embedded sections labeling SECISBP2 with ab210791 at a 1/200 dilution.

Western blot - Anti-SECISBP2 antibody (AB210791)
  • WB

Supplier Data

Western blot - Anti-SECISBP2 antibody (AB210791)

All lanes:

Western blot - Anti-SECISBP2 antibody (ab210791) at 1/500 dilution

Lane 1:

MCF7 extract

Lane 2:

BT-474 extract

Lane 3:

HeLa extract

Lane 4:

293T extract

Lane 5:

Mouse thymus

Predicted band size: 95 kDa

false

Key facts

Host species

Rabbit

Clonality

Polyclonal

Isotype

IgG

Carrier free

No

Reacts with

Mouse, Human

Applications

IHC-P, ICC/IF, WB

applications

Immunogen

Recombinant Fragment Protein within Human SECISBP2 aa 250 to C-terminus. The exact immunogen used to generate this antibody is proprietary information.

Q96T21

Reactivity data

{ "title": "Reactivity Data", "filters": { "stats": ["", "Species", "Dilution Info", "Notes"], "tabs": { "all-applications": {"fullname" : "All Applications", "shortname": "All Applications"}, "WB" : {"fullname" : "Western blot", "shortname":"WB"}, "ICCIF" : {"fullname" : "Immunocytochemistry/ Immunofluorescence", "shortname":"ICC/IF"}, "IHCP" : {"fullname" : "Immunohistochemistry (Formalin/PFA-fixed paraffin-embedded sections)", "shortname":"IHC-P"} }, "product-promise": { "all": "all", "testedAndGuaranteed": "tested", "guaranteed": "expected", "predicted": "predicted", "notRecommended": "not-recommended" } }, "values": { "Human": { "WB-species-checked": "testedAndGuaranteed", "WB-species-dilution-info": "1/500 - 1/2000", "WB-species-notes": "<p></p>", "ICCIF-species-checked": "testedAndGuaranteed", "ICCIF-species-dilution-info": "1/50 - 1/100", "ICCIF-species-notes": "<p></p>", "IHCP-species-checked": "testedAndGuaranteed", "IHCP-species-dilution-info": "1/50 - 1/200", "IHCP-species-notes": "<p></p>" }, "Mouse": { "WB-species-checked": "testedAndGuaranteed", "WB-species-dilution-info": "1/500 - 1/2000", "WB-species-notes": "<p></p>", "ICCIF-species-checked": "guaranteed", "ICCIF-species-dilution-info": "", "ICCIF-species-notes": "", "IHCP-species-checked": "guaranteed", "IHCP-species-dilution-info": "", "IHCP-species-notes": "" } } }

Properties and storage information

Form
Liquid
Purification technique
Affinity purification Immunogen
Storage buffer
pH: 7.3 Preservative: 0.02% Sodium azide Constituents: PBS, 50% Glycerol (glycerin, glycerine)
Shipped at conditions
Blue Ice
Appropriate short-term storage duration
1-2 weeks
Appropriate short-term storage conditions
+4°C
Appropriate long-term storage conditions
-20°C
Aliquoting information
Upon delivery aliquot
Storage information
Avoid freeze / thaw cycle

Supplementary information

This supplementary information is collated from multiple sources and compiled automatically.

SECISBP2 also known as selenocysteine insertion sequence-binding protein 2 is an important protein involved in the incorporation of selenocysteine into proteins. It binds to the SECIS element in the 3' untranslated region of selenoprotein mRNAs facilitating the insertion of selenocysteine at UGA codons. SECISBP2 has a molecular mass of approximately 97 kDa. It is mostly expressed in the liver kidney and thyroid but it appears in various tissues across the human body.
Biological function summary

The functionality of SECISBP2 directly impacts the synthesis of selenoproteins which play roles in antioxidant defense and redox homeostasis. SECISBP2 functions as part of a complex involving ribosomes and other translation factors required for the proper expression of selenoproteins. The protein ensures the appropriate incorporation of selenium a trace element that is essential for human health into selenoproteins influencing cellular processes that are integral for maintaining physiological balance.

Pathways

SECISBP2 activity affects selenoprotein biosynthesis and redox regulation pathways primarily. It interacts closely with components like eukaryotic elongation factor eEFsec facilitating selenocysteine incorporation during translation. This relationship directly impacts glutathione peroxidase and thioredoxin reductase pathways where selenoproteins mediated by SECISBP2 help regulate oxidative stress and redox balance. The proper functioning of these pathways is essential to cellular protection against oxidative damage.

SECISBP2 plays a connection to selenoprotein-related conditions such as selenoprotein deficiency disorders and certain thyroid dysfunctions. Mutations in SECISBP2 can lead to abnormal production and activity of selenoproteins potentially resulting in conditions like selenoprotein N-related myopathy. SECISBP2 disruptions also link to the dysregulation of other selenoproteins like glutathione peroxidases which may contribute to oxidative stress-related disorders including some cases of thyroid hormone metabolism disorders.

Product protocols

For this product, it's our understanding that no specific protocols are required. You can visit:

Target data

mRNA-binding protein that binds to the SECIS (selenocysteine insertion sequence) element present in the 3'-UTR of mRNAs encoding selenoproteins and facilitates the incorporation of the rare amino acid selenocysteine (PubMed : 35709277). Insertion of selenocysteine at UGA codons is mediated by SECISBP2 and EEFSEC : SECISBP2 (1) specifically binds the SECIS sequence once the 80S ribosome encounters an in-frame UGA codon and (2) contacts the RPS27A/eS31 of the 40S ribosome before ribosome stalling (PubMed : 35709277). (3) GTP-bound EEFSEC then delivers selenocysteinyl-tRNA(Sec) to the 80S ribosome and adopts a preaccommodated state conformation (PubMed : 35709277). (4) After GTP hydrolysis, EEFSEC dissociates from the assembly, selenocysteinyl-tRNA(Sec) accommodates, and peptide bond synthesis and selenoprotein elongation occur (PubMed : 35709277).
See full target information SECISBP2

Publications (1)

Recent publications for all applications. Explore the full list and refine your search

The Journal of cell biology 224: PubMed39602297

2024

Identification of coilin interactors reveals coordinated control of Cajal body number and structure.

Applications

Unspecified application

Species

Unspecified reactive species

Dahyana Arias Escayola,Chuyue Zhang,Emily Nischwitz,Leonard Schärfen,Kerstin Dörner,Korinna Straube,Ulrike Kutay,Falk Butter,Karla M Neugebauer
View all publications

Product promise

We are committed to supporting your work with high-quality reagents, and we're here for you every step of the way. In the unlikely event that one of our products does not perform as expected, you're protected by our Product Promise.
For full details, please see our Terms & Conditions

Please note: All products are 'FOR RESEARCH USE ONLY. NOT FOR USE IN DIAGNOSTIC OR THERAPEUTIC PROCEDURES'.

For licensing inquiries, please contact partnerships@abcam.com