JavaScript is disabled in your browser. Please enable JavaScript to view this website.
AB79546

Anti-Securin antibody [EPR3240]

4

(3 Reviews)

|

(35 Publications)

Rabbit Recombinant Monoclonal Securin antibody. Suitable for IHC-P, WB, ICC/IF, Flow Cyt (Intra) and reacts with Human samples. Cited in 35 publications.

View Alternative Names

EAP1, PTTG, TUTR1, PTTG1, Securin, Esp1-associated protein, Pituitary tumor-transforming gene 1 protein, Tumor-transforming protein 1, hPTTG

9 Images
Flow Cytometry (Intracellular) - Anti-Securin antibody [EPR3240] (AB79546)
  • Flow Cyt (Intra)

Unknown

Flow Cytometry (Intracellular) - Anti-Securin antibody [EPR3240] (AB79546)

Intracellular Flow Cytometry analysis of HeLa (Human cervix adenocarcinoma epithelial cell) cells labeling Securin with purified ab79546 at 1/30 dilution (10μg/ml) (Red). Cells were fixed with 4% Paraformaldehyde and permeabilized with 90% Methanol. A Goat anti rabbit IgG (Alexa Fluorr® 488, ab150077) secondary antibody was used at 1/2000. Isotype control - Rabbit monoclonal IgG (Black). Unlabeled control - Cell without incubation with primary antibody and secondary antibody (Blue).

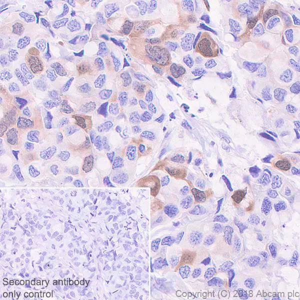
Immunohistochemistry (Formalin/PFA-fixed paraffin-embedded sections) - Anti-Securin antibody [EPR3240] (AB79546)
  • IHC-P

Unknown

Immunohistochemistry (Formalin/PFA-fixed paraffin-embedded sections) - Anti-Securin antibody [EPR3240] (AB79546)

Immunohistochemistry (Formalin/PFA-fixed paraffin-embedded sections) analysis of human breast carcinoma tissue sections labeling Securin with purified ab79546 at 1/200 dilution (1.19 μg/ml). Perform heat mediated antigen retrieval using ab93684 (Tris/EDTA buffer, pH 9.0). ImmunoHistoProbe one step HRP Polymer (ready to use) was used as the secondary antibody.

Negative control : PBS instead of the primary antibody. Hematoxylin was used as a counterstain.

Flow Cytometry (Intracellular) - Anti-Securin antibody [EPR3240] (AB79546)
  • Flow Cyt (Intra)

Unknown

Flow Cytometry (Intracellular) - Anti-Securin antibody [EPR3240] (AB79546)

Intracellular flow cytometric analysis of permeabilized Jurkat (Human T cell leukemia cell line from peripheral blood) cells using unpurified ab79546 (red) or a rabbit IgG (negative) (green).

Immunocytochemistry/ Immunofluorescence - Anti-Securin antibody [EPR3240] (AB79546)
  • ICC/IF

Unknown

Immunocytochemistry/ Immunofluorescence - Anti-Securin antibody [EPR3240] (AB79546)

Immunofluorescent analysis of 4% paraformaldehyde-fixed HeLa (Human epithelial cell line from cervix adenocarcinoma) cells labeling securin with unpurified ab79546 at 1/250 dilution. The cells were permeabilised with 0.1% Triton X-100. Anti-rabbit Alexa Fluor® 488 (ab150077) at 1/500 dilution was used as the secondary antibody (green). The nuclear counter stain is DAPI (blue).

Immunocytochemistry/ Immunofluorescence - Anti-Securin antibody [EPR3240] (AB79546)
  • ICC/IF

Unknown

Immunocytochemistry/ Immunofluorescence - Anti-Securin antibody [EPR3240] (AB79546)

Immunocytochemistry/ Immunofluorescence analysis of HeLa (Human cervix adenocarcinoma epithelial cell) cells labeling Securin with purified ab79546 at 1/50 dilution (4.74 μg/ml). Cells were fixed in 4% Paraformaldehyde and permeabilized with 0.1% tritonX-100. Cells were counterstained with ab195889 Anti-alpha Tubulin antibody [DM1A] - Microtubule Marker (Alexa Fluor® 594) 1/200 (2.5 μg/ml). Goat anti rabbit IgG (Alexa Fluor® 488, ab150077) was used as the secondary antibody at 1/1000 (2 μg/ml) dilution. DAPI (blue) was used as nuclear counterstain.

PBS instead of the primary antibody was used as the secondary antibody only control.

Western blot - Anti-Securin antibody [EPR3240] (AB79546)
  • WB

Unknown

Western blot - Anti-Securin antibody [EPR3240] (AB79546)

Lanes 1-3 : Merged signal (red and green). Green - ab79546 observed at 28 kDa. Red - loading control, ab8245 observed at 37 kDa.

ab79546 Anti-Securin antibody [EPR3240] was shown to specifically react with Securin in wild-type HEK293T cells. Loss of signal was observed when knockout cell line ab266231 (knockout cell lysate ab257289) was used. Wild-type and Securin knockout samples were subjected to SDS-PAGE. ab79546 and Anti-GAPDH antibody [6C5] - Loading Control (ab8245) were incubated overnight at 4°C at 1 in 1000 dilution and 1 in 20000 dilution respectively. Blots were developed with Goat anti-Rabbit IgG H&L (IRDye® 800CW) preadsorbed (ab216773) and Goat anti-Mouse IgG H&L (IRDye® 680RD) preadsorbed (ab216776) secondary antibodies at 1 in 10000 dilution for 1 hour at room temperature before imaging.

All lanes:

Western blot - Anti-Securin antibody [EPR3240] (ab79546) at 1/1000 dilution

Lane 1:

Wild-type HEK293T cell lysate at 20 µg

Lane 2:

PTTG1 knockout HEK293T cell lysate at 20 µg

Lane 3:

Daudi cell lysate at 20 µg

Secondary

All lanes:

Goat anti-Rabbit IgG H&L (IRDye® 800CW) preadsorbed (<a href='/en-us/products/secondary-antibodies/goat-rabbit-igg-h-l-irdye-800cw-preadsorbed-ab216773'>ab216773</a>) and Goat anti-Mouse IgG H&L (IRDye® 680RD) preadsorbed (<a href='/en-us/products/secondary-antibodies/goat-mouse-igg-h-l-irdye-680rd-preadsorbed-ab216776'>ab216776</a>) at 1/10000 dilution

Predicted band size: 22 kDa

Observed band size: 28 kDa

false

Western blot - Anti-Securin antibody [EPR3240] (AB79546)
  • WB

Unknown

Western blot - Anti-Securin antibody [EPR3240] (AB79546)

All lanes:

Western blot - Anti-Securin antibody [EPR3240] (ab79546) at 1/20000 dilution

Lane 1:

Daudi (Human Burkitt's lymphoma cell line) cell lysate at 10 µg

Lane 2:

HeLa (Human epithelial cell line from cervix adenocarcinoma) cell lysate at 10 µg

Secondary

All lanes:

HRP labelled goat anti-rabbit at 1/2000 dilution

Predicted band size: 22 kDa

Observed band size: 25 kDa,28 kDa

false

Western blot - Anti-Securin antibody [EPR3240] (AB79546)
  • WB

Lab

Western blot - Anti-Securin antibody [EPR3240] (AB79546)

All lanes:

Western blot - Anti-Securin antibody [EPR3240] (ab79546) at 1/1000 dilution

Lane 1:

Daudi (Human Burkitt's lymphoma lymphoblast) whole cell lysates at 15 µg

Lane 2:

HCT 116 (Human colorectal carcinoma epithelial cell) whole cell lysates at 15 µg

Secondary

All lanes:

Western blot - Goat Anti-Rabbit IgG H&L (HRP) (<a href='/en-us/products/secondary-antibodies/goat-rabbit-igg-h-l-hrp-ab97051'>ab97051</a>) at 1/20000 dilution

Predicted band size: 22 kDa

Observed band size: 28 kDa

false

Western blot - Anti-Securin antibody [EPR3240] (AB79546)
  • WB

CiteAb

Western blot - Anti-Securin antibody [EPR3240] (AB79546)

Western Blotting using Anti-Securin antibody [EPR3240], ab79546. Publication image from Chen, J. et al., 2016, Nat Commun, 26743940. Legend direct from paper.

Cep57 contributes to activation of the spindle assembly checkpoint.(a,b) HeLa cells with 100 nM nocodazole treatment after co-transfection with H2B-RFP and negative control (NC)-, Cep57-, Mad1- or Mad2-siRNA for 48 h. (a) Time-lapse images of HeLa cells. The numbers indicate the time (minutes) after entry into mitosis. Arrowhead, multiple nuclei. Scale bar, 5 µm. (b) Quantification of mitotic duration of HeLa cells from a. Scatter plots show data from three independent experiments. (c) Quantification of mitotic duration of live HeLa cells with 80 nM taxol treatment after co-transfection with H2B-RFP and negative control (NC)-, Cep57-, Mad1- or Mad2-siRNA for 48 h. Scatter plots show data from three independent experiments. (d) Diagram of experimental design. The siRNA-transfected HeLa cells were synchronized by double-thymidine block, and released into nocodazole. (e–g) HeLa cells were treated as in d. (e) After 12 h nocodazole treatment, mitotic cell lysates were used to perform immunoprecipitation (IP) and western blotting assays with the indicated antibodies. WCL, whole-cell lysate. (f) Western blots of the indicated proteins in HeLa cells after the indicated nocodazole (Noc.) treatment time. (g) Quantification of the protein levels of securin and cyclin B1 from (f). The experiment was repeated three times. For b,c and g, data are mean±s.e.m. ****P<0.0001; ***P<0.001; **P<0.01; *P<0.05; NS, not significant (unpaired two-tailed Student's t-test). DIC, differential interference contrast.

false

  • Carrier free

    Anti-Securin antibody [EPR3240] - BSA and Azide free

  • 519 Alexa Fluor® 488

    Alexa Fluor® 488 Anti-Securin antibody [EPR3240]

  • 665 Alexa Fluor® 647

    Alexa Fluor® 647 Anti-Securin antibody [EPR3240]

  • 565 Alexa Fluor® 555

    Alexa Fluor® 555 Anti-Securin antibody [EPR3240]

  • 617 Alexa Fluor® 594

    Alexa Fluor® 594 Anti-Securin antibody [EPR3240]

  • 578 PE

    PE Anti-Securin antibody [EPR3240]

  • 660 APC

    APC Anti-Securin antibody [EPR3240]

  • 775 Alexa Fluor® 750

    Alexa Fluor® 750 Anti-Securin antibody [EPR3240]

Key facts

Host species

Rabbit

Clonality

Monoclonal

Clone number

EPR3240

Isotype

IgG

Carrier free

No

Reacts with

Human

Applications

WB, Flow Cyt (Intra), ICC/IF, IHC-P

applications

Immunogen

The exact immunogen used to generate this antibody is proprietary information.

Reactivity data

{ "title": "Reactivity Data", "filters": { "stats": ["", "Species", "Dilution Info", "Notes"], "tabs": { "all-applications": {"fullname" : "All Applications", "shortname": "All Applications"}, "IHCP" : {"fullname" : "Immunohistochemistry (Formalin/PFA-fixed paraffin-embedded sections)", "shortname":"IHC-P"}, "WB" : {"fullname" : "Western blot", "shortname":"WB"}, "ICCIF" : {"fullname" : "Immunocytochemistry/ Immunofluorescence", "shortname":"ICC/IF"}, "FlowCytIntra" : {"fullname" : "Flow Cytometry (Intracellular)", "shortname":"Flow Cyt (Intra)"} }, "product-promise": { "all": "all", "testedAndGuaranteed": "tested", "guaranteed": "expected", "predicted": "predicted", "notRecommended": "not-recommended" } }, "values": { "Human": { "IHCP-species-checked": "testedAndGuaranteed", "IHCP-species-dilution-info": "1/100 - 1/250", "IHCP-species-notes": "<p></p>", "WB-species-checked": "testedAndGuaranteed", "WB-species-dilution-info": "1/5000 - 1/20000", "WB-species-notes": "<p></p>", "ICCIF-species-checked": "testedAndGuaranteed", "ICCIF-species-dilution-info": "1/50", "ICCIF-species-notes": "<p><strong>For unpurified use at 1/100 - 1/250.</strong></p>", "FlowCytIntra-species-checked": "testedAndGuaranteed", "FlowCytIntra-species-dilution-info": "1/50", "FlowCytIntra-species-notes": "<p><a href='/en-us/products/primary-antibodies/rabbit-igg-monoclonal-epr25a-isotype-control-ab172730'>ab172730</a> - Rabbit monoclonal IgG, is suitable for use as an isotype control with this antibody.</p>" } } }

Product details

Species reactivity
Mouse, Rat: We have preliminary internal testing data to indicate this antibody may not react with these species.
Please contact us for more information.

Patented technology
Our RabMAb® technology is a patented hybridoma-based technology for making rabbit monoclonal antibodies. For details on our patents, please refer to RabMAb® patents.

What are the advantages of a recombinant monoclonal antibody?
This product is a recombinant monoclonal antibody, which offers several advantages including:

  • - High batch-to-batch consistency and reproducibility
  • - Improved sensitivity and specificity
  • - Long-term security of supply
  • - Animal-free batch production

For more information, read more on recombinant antibodies.

Properties and storage information

Form
Liquid
Purification technique
Affinity purification Protein A
Storage buffer
pH: 7.2 - 7.4 Preservative: 0.01% Sodium azide Constituents: PBS, 40% Glycerol (glycerin, glycerine), 0.05% BSA
Shipped at conditions
Blue Ice
Appropriate short-term storage duration
1-2 weeks
Appropriate short-term storage conditions
+4°C
Appropriate long-term storage conditions
-20°C
Aliquoting information
Upon delivery aliquot
Storage information
Stable for 12 months at -20°C

Supplementary information

This supplementary information is collated from multiple sources and compiled automatically.

Securin also known as PTTG1 (pituitary tumor-transforming gene 1) is a protein involved in the regulation of sister chromatid separation during cell division. It inhibits Separase an enzyme important for this separation. Securin has a molecular mass of approximately 22 kDa. Its expression is notable in various tissues including the pituitary gland and cancerous tissues which suggests a role in tumorigenesis.
Biological function summary

Securing proper chromosome segregation Securin forms a complex with Separase. By inhibiting Separase Securin ensures that separation of chromatids occurs only at the correct stage of mitosis. This regulatory function is critical for maintaining genomic stability and avoiding aneuploidy which can lead to tumorigenesis. The presence of Securin in dividing cells highlights its role in the cell cycle.

Pathways

Securin functions are integrated within the cell cycle and apoptosis pathways. In the cell cycle pathway Securin controls the metaphase-anaphase transition. This involves interaction with cyclin-dependent kinases (CDKs) and the anaphase-promoting complex (APC/C). In terms of apoptosis Securin may interact with proteins like Bcl-2 impacting cell survival and death decisions under stress conditions.

Securin has been associated with cancer particularly pituitary adenomas and colorectal cancer. Its overexpression can lead to chromosomal instability a hallmark of many cancers. Furthermore interactions with other proteins like p53 known for its tumor-suppressing activities suggest a complex interplay in oncogenic processes where disruptions can contribute to tumor development and progression.

Product protocols

For this product, it's our understanding that no specific protocols are required. You can visit:

Target data

Regulatory protein, which plays a central role in chromosome stability, in the p53/TP53 pathway, and DNA repair. Probably acts by blocking the action of key proteins. During the mitosis, it blocks Separase/ESPL1 function, preventing the proteolysis of the cohesin complex and the subsequent segregation of the chromosomes. At the onset of anaphase, it is ubiquitinated, conducting to its destruction and to the liberation of ESPL1. Its function is however not limited to a blocking activity, since it is required to activate ESPL1. Negatively regulates the transcriptional activity and related apoptosis activity of TP53. The negative regulation of TP53 may explain the strong transforming capability of the protein when it is overexpressed. May also play a role in DNA repair via its interaction with Ku, possibly by connecting DNA damage-response pathways with sister chromatid separation.
See full target information PTTG1

Publications (35)

Recent publications for all applications. Explore the full list and refine your search

Advanced science (Weinheim, Baden-Wurttemberg, Germany) 12:e2413097 PubMed39721007

2024

A Microtubule-Associated Protein Functions in Preventing Oocytes from Evading the Spindle Assembly Checkpoint.

Applications

Unspecified application

Species

Unspecified reactive species

Changyin Zhou,Xue Zhang,Genlu Xu,Yuting Ran,Hui Wang,Xuefeng Xie,Ang Li,Fei Li,Xiaozhen Li,Jinlong Ding,Mianqun Zhang,Qing-Yuan Sun,Xiang-Hong Ou

American journal of cancer research 14:2157-2171 PubMed38859832

2024

IFIH1-mediated post-transcriptional regulation of PTTG1 promotes proliferation and affects PHA-848125 sensitivity and prognosis in oropharyngeal carcinoma.

Applications

Unspecified application

Species

Unspecified reactive species

Xiaoli Li,Nan Ding,Wenting Ma,Ming Zhang

Cell biology and toxicology 40:30 PubMed38740637

2024

MKLN1-AS promotes pancreatic cancer progression as a crucial downstream mediator of HIF-1α through miR-185-5p/TEAD1 pathway.

Applications

Unspecified application

Species

Unspecified reactive species

Jiayu Chen,Lei Li,Yongpu Feng,Yating Zhao,Fengyuan Sun,Xianzhu Zhou,Du Yiqi,Zhaoshen Li,Fanyang Kong,Xiangyu Kong

Bone research 11:58 PubMed37914703

2023

Combining single-cell RNA sequencing and population-based studies reveals hand osteoarthritis-associated chondrocyte subpopulations and pathways.

Applications

Unspecified application

Species

Unspecified reactive species

Hui Li,Xiaofeng Jiang,Yongbing Xiao,Yuqing Zhang,Weiya Zhang,Michael Doherty,Jacquelyn Nestor,Changjun Li,Jing Ye,Tingting Sha,Houchen Lyu,Jie Wei,Chao Zeng,Guanghua Lei

Cell reports 41:111723 PubMed36450246

2022

Autocleavage of separase suppresses its premature activation by promoting binding to cyclin B1.

Applications

Unspecified application

Species

Unspecified reactive species

Norihisa Shindo,Kazuki Kumada,Kenji Iemura,Jun Yasuda,Haruna Fujimori,Mai Mochizuki,Keiichi Tamai,Kozo Tanaka,Toru Hirota

Chinese medical journal 134:2721-2729 PubMed34732665

2021

CCT4 suppression inhibits tumor growth in hepatocellular carcinoma by interacting with Cdc20.

Applications

Unspecified application

Species

Unspecified reactive species

Feng Li,Chun-Sheng Liu,Ping Wu,An-Sheng Ling,Qi Pan,Xiao-Ning Li

Development (Cambridge, England) 148: PubMed34463328

2021

Identification of disease-relevant modulators of the SHH pathway in the developing brain.

Applications

Unspecified application

Species

Unspecified reactive species

Nora Mecklenburg,Izabela Kowalczyk,Franziska Witte,Jessica Görne,Alena Laier,Tamrat M Mamo,Hannes Gonschior,Martin Lehmann,Matthias Richter,Anje Sporbert,Bettina Purfürst,Norbert Hübner,Annette Hammes

Scientific reports 11:14253 PubMed34244565

2021

Reciprocal interaction between SIRT6 and APC/C regulates genomic stability.

Applications

Unspecified application

Species

Unspecified reactive species

Helin Wang,Kangze Feng,Qingtao Wang,Haiteng Deng

Frontiers in pharmacology 12:656697 PubMed34025420

2021

Falcarindiol Enhances Cisplatin Chemosensitivity of Hepatocellular Carcinoma Down-Regulating the STAT3-Modulated PTTG1 Pathway.

Applications

Unspecified application

Species

Unspecified reactive species

Han Hong,Zhengkang Jin,Tao Qian,Xiaoyong Xu,Xiang Zhu,Qiang Fei,Jiamei Yang,Chengjun Sui,Minhui Xu

FASEB journal : official publication of the Federation of American Societies for Experimental Biology 35:e21539 PubMed33742719

2021

Microtubule-targeting agents impair kinesin-2-dependent nuclear transport of β-catenin: Evidence of inhibition of Wnt/β-catenin signaling as an important antitumor mechanism of microtubule-targeting agents.

Applications

Unspecified application

Species

Unspecified reactive species

Anuradha Kumari,Omprakash Shriwas,Shailendra Sisodiya,Manas K Santra,Sankar K Guchhait,Rupesh Dash,Dulal Panda
View all publications

Product promise

We are committed to supporting your work with high-quality reagents, and we're here for you every step of the way. In the unlikely event that one of our products does not perform as expected, you're protected by our Product Promise.
For full details, please see our Terms & Conditions

Please note: All products are 'FOR RESEARCH USE ONLY. NOT FOR USE IN DIAGNOSTIC OR THERAPEUTIC PROCEDURES'.

For licensing inquiries, please contact partnerships@abcam.com