JavaScript is disabled in your browser. Please enable JavaScript to view this website.
AB239892

Anti-Securin antibody [EPR3240] - BSA and Azide free

Be the first to review this product! Submit a review

|

(1 Publication)

Rabbit Recombinant Monoclonal Securin antibody. Carrier free. Suitable for IHC-P, WB, ICC/IF, Flow Cyt (Intra) and reacts with Human samples. Cited in 1 publication.

View Alternative Names

EAP1, PTTG, TUTR1, PTTG1, Securin, Esp1-associated protein, Pituitary tumor-transforming gene 1 protein, Tumor-transforming protein 1, hPTTG

6 Images
Flow Cytometry (Intracellular) - Anti-Securin antibody [EPR3240] - BSA and Azide free (AB239892)
  • Flow Cyt (Intra)

Unknown

Flow Cytometry (Intracellular) - Anti-Securin antibody [EPR3240] - BSA and Azide free (AB239892)

Intracellular flow cytometric analysis of permeabilized Jurkat cells using ab79546 (red) or a rabbit IgG (negative) (green).

This data was developed using the same antibody clone in a different buffer formulation containing PBS, BSA, glycerol, and sodium azide (ab79546).

Immunocytochemistry/ Immunofluorescence - Anti-Securin antibody [EPR3240] - BSA and Azide free (AB239892)
  • ICC/IF

Unknown

Immunocytochemistry/ Immunofluorescence - Anti-Securin antibody [EPR3240] - BSA and Azide free (AB239892)

Immunofluorescent analysis of 4% paraformaldehyde-fixed HeLa cells labeling securin with ab79546 at 1/250 dilution. The cells were permeabilised with 0.1% Triton X-100. Anti-rabbit Alexa Fluor® 488 (ab150077) at 1/500 dilution was used as the secondary antibody (green). The nuclear counter stain is DAPI (blue).

This data was developed using the same antibody clone in a different buffer formulation containing PBS, BSA, glycerol, and sodium azide (ab79546).

Immunohistochemistry (Formalin/PFA-fixed paraffin-embedded sections) - Anti-Securin antibody [EPR3240] - BSA and Azide free (AB239892)
  • IHC-P

Supplier Data

Immunohistochemistry (Formalin/PFA-fixed paraffin-embedded sections) - Anti-Securin antibody [EPR3240] - BSA and Azide free (AB239892)

ab79546 at 1/100 dilution staining Securin in paraffin-embedded human testis tissue by Immunohistochemistry.

This data was developed using the same antibody clone in a different buffer formulation containing Tris glycine, BSA, glycerol, and sodium azide (ab79546).

Perform heat mediated antigen retrieval before commencing with IHC staining protocol.

Immunocytochemistry/ Immunofluorescence - Anti-Securin antibody [EPR3240] - BSA and Azide free (AB239892)
  • ICC/IF

Unknown

Immunocytochemistry/ Immunofluorescence - Anti-Securin antibody [EPR3240] - BSA and Azide free (AB239892)

Immunocytochemistry/ Immunofluorescence analysis of HeLa (Human cervix adenocarcinoma epithelial cell) cells labeling Securin with purified ab79546 at 1/50 dilution (4.74 µg/ml). Cells were fixed in 4% Paraformaldehyde and permeabilized with 0.1% tritonX-100. Cells were counterstained with ab195889 Anti-alpha Tubulin antibody [DM1A] - Microtubule Marker (Alexa Fluor® 594) 1/200 (2.5 µg/ml). Goat anti rabbit IgG (Alexa Fluor® 488, ab150077) was used as the secondary antibody at 1/1000 (2 µg/ml) dilution. DAPI (blue) was used as nuclear counterstain. PBS instead of the primary antibody was used as the secondary antibody only control.
This data was developed using the same antibody clone in a different buffer formulation containing PBS, BSA, glycerol, and sodium azide (ab79546)

Flow Cytometry (Intracellular) - Anti-Securin antibody [EPR3240] - BSA and Azide free (AB239892)
  • Flow Cyt (Intra)

Unknown

Flow Cytometry (Intracellular) - Anti-Securin antibody [EPR3240] - BSA and Azide free (AB239892)

Intracellular Flow Cytometry analysis of HeLa (Human cervix adenocarcinoma epithelial cell) cells labeling Securin with purified ab79546 at 1/30 dilution (10 μg/ml) (Red). Cells were fixed with 4% Paraformaldehyde and permeabilised with 90% Methanol. A Goat anti rabbit IgG (Alexa Fluor® 488, ab150077) secondary antibody was used at 1/2000. Isotype control - Rabbit monoclonal IgG (Black). Unlabeled control - Cell without incubation with primary antibody and secondary antibody (Blue). This data was developed using the same antibody clone in a different buffer formulation containing PBS, BSA, glycerol, and sodium azide (ab79546)

Immunohistochemistry (Formalin/PFA-fixed paraffin-embedded sections) - Anti-Securin antibody [EPR3240] - BSA and Azide free (AB239892)
  • IHC-P

Unknown

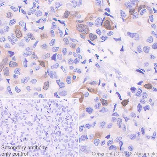
Immunohistochemistry (Formalin/PFA-fixed paraffin-embedded sections) - Anti-Securin antibody [EPR3240] - BSA and Azide free (AB239892)

Immunohistochemistry (Formalin/PFA-fixed paraffin-embedded sections) analysis of human breast carcinoma tissue sections labeling Securin with purified ab79546 at 1/200 dilution (1.19 µg/ml). Perform heat mediated antigen retrieval using ab93684 (Tris/EDTA buffer, pH 9.0). ImmunoHistoProbe one step HRP Polymer (ready to use) was used as the secondary antibody. Negative control : PBS instead of the primary antibody. Hematoxylin was used as a counterstain.
This data was developed using the same antibody clone in a different buffer formulation containing PBS, BSA, glycerol, and sodium azide (ab79546)

Key facts

Host species

Rabbit

Clonality

Monoclonal

Clone number

EPR3240

Isotype

IgG

Carrier free

Yes

Reacts with

Human

Applications

IHC-P, ICC/IF, Flow Cyt (Intra), WB

applications

Immunogen

The exact immunogen used to generate this antibody is proprietary information.

Reactivity data

{ "title": "Reactivity Data", "filters": { "stats": ["", "Species", "Dilution Info", "Notes"], "tabs": { "all-applications": {"fullname" : "All Applications", "shortname": "All Applications"}, "IHCP" : {"fullname" : "Immunohistochemistry (Formalin/PFA-fixed paraffin-embedded sections)", "shortname":"IHC-P"}, "WB" : {"fullname" : "Western blot", "shortname":"WB"}, "ICCIF" : {"fullname" : "Immunocytochemistry/ Immunofluorescence", "shortname":"ICC/IF"}, "FlowCytIntra" : {"fullname" : "Flow Cytometry (Intracellular)", "shortname":"Flow Cyt (Intra)"} }, "product-promise": { "all": "all", "testedAndGuaranteed": "tested", "guaranteed": "expected", "predicted": "predicted", "notRecommended": "not-recommended" } }, "values": { "Human": { "IHCP-species-checked": "testedAndGuaranteed", "IHCP-species-dilution-info": "", "IHCP-species-notes": "<p></p> Perform heat-mediated antigen retrieval before commencing with IHC staining protocol.", "WB-species-checked": "testedAndGuaranteed", "WB-species-dilution-info": "", "WB-species-notes": "<p></p>", "ICCIF-species-checked": "testedAndGuaranteed", "ICCIF-species-dilution-info": "", "ICCIF-species-notes": "<p></p>", "FlowCytIntra-species-checked": "testedAndGuaranteed", "FlowCytIntra-species-dilution-info": "", "FlowCytIntra-species-notes": "<p><a href='/en-us/products/primary-antibodies/rabbit-igg-monoclonal-epr25a-isotype-control-low-endotoxin-azide-free-ab199376'>ab199376</a> - Rabbit monoclonal IgG, is suitable for use as an isotype control with this antibody.</p>" } } }

Product details

ab239892 is the carrier-free version of ab79546.

Species reactivity
Mouse, Rat: We have preliminary internal testing data to indicate this antibody may not react with these species.
Please contact us for more information.

Patented technology
Our RabMAb® technology is a patented hybridoma-based technology for making rabbit monoclonal antibodies. For details on our patents, please refer to RabMAb® patents.

What are the advantages of a recombinant monoclonal antibody?
This product is a recombinant monoclonal antibody, which offers several advantages including:

  • - High batch-to-batch consistency and reproducibility
  • - Improved sensitivity and specificity
  • - Long-term security of supply
  • - Animal-free batch production

For more information, read more on recombinant antibodies.

Conjugation ready
Our carrier-free antibodies are typically supplied in a PBS-only formulation, purified and free of BSA, sodium azide and glycerol. This conjugation-ready format is designed for use with fluorochromes, metal isotopes, oligonucleotides, and enzymes, which makes them ideal for antibody labelling, functional and cell-based assays, flow-based assays (e.g. mass cytometry) and Multiplex Imaging applications.

Use our conjugation kits for antibody conjugates that are ready-to-use in as little as 20 minutes with 1 minute hands-on-time and 100% antibody recovery: available for fluorescent dyes, HRP, biotin and gold.

Compatibility
This product is compatible with the Maxpar® Antibody Labeling Kit from Fluidigm, without the need for antibody preparation. Maxpar® is a trademark of Fluidigm Canada Inc.

Properties and storage information

Form
Liquid
Purification technique
Affinity purification Protein A
Storage buffer
pH: 7.2 - 7.4 Constituents: PBS
Shipped at conditions
Blue Ice
Appropriate short-term storage conditions
+4°C
Appropriate long-term storage conditions
+4°C
Storage information
Do Not Freeze

Supplementary information

This supplementary information is collated from multiple sources and compiled automatically.

Securin also known as PTTG1 (pituitary tumor-transforming gene 1) is a protein involved in the regulation of sister chromatid separation during cell division. It inhibits Separase an enzyme important for this separation. Securin has a molecular mass of approximately 22 kDa. Its expression is notable in various tissues including the pituitary gland and cancerous tissues which suggests a role in tumorigenesis.
Biological function summary

Securing proper chromosome segregation Securin forms a complex with Separase. By inhibiting Separase Securin ensures that separation of chromatids occurs only at the correct stage of mitosis. This regulatory function is critical for maintaining genomic stability and avoiding aneuploidy which can lead to tumorigenesis. The presence of Securin in dividing cells highlights its role in the cell cycle.

Pathways

Securin functions are integrated within the cell cycle and apoptosis pathways. In the cell cycle pathway Securin controls the metaphase-anaphase transition. This involves interaction with cyclin-dependent kinases (CDKs) and the anaphase-promoting complex (APC/C). In terms of apoptosis Securin may interact with proteins like Bcl-2 impacting cell survival and death decisions under stress conditions.

Securin has been associated with cancer particularly pituitary adenomas and colorectal cancer. Its overexpression can lead to chromosomal instability a hallmark of many cancers. Furthermore interactions with other proteins like p53 known for its tumor-suppressing activities suggest a complex interplay in oncogenic processes where disruptions can contribute to tumor development and progression.

Product protocols

For this product, it's our understanding that no specific protocols are required. You can visit:

Target data

Regulatory protein, which plays a central role in chromosome stability, in the p53/TP53 pathway, and DNA repair. Probably acts by blocking the action of key proteins. During the mitosis, it blocks Separase/ESPL1 function, preventing the proteolysis of the cohesin complex and the subsequent segregation of the chromosomes. At the onset of anaphase, it is ubiquitinated, conducting to its destruction and to the liberation of ESPL1. Its function is however not limited to a blocking activity, since it is required to activate ESPL1. Negatively regulates the transcriptional activity and related apoptosis activity of TP53. The negative regulation of TP53 may explain the strong transforming capability of the protein when it is overexpressed. May also play a role in DNA repair via its interaction with Ku, possibly by connecting DNA damage-response pathways with sister chromatid separation.
See full target information PTTG1

Publications (1)

Recent publications for all applications. Explore the full list and refine your search

Frontiers in immunology 13:869365 PubMed35967407

2022

ILC2s expanded by exogenous IL-33 regulate CD45+CD11b+F4/80high macrophage polarization to alleviate hepatic ischemia-reperfusion injury.

Applications

Unspecified application

Species

Unspecified reactive species

Hai-Ming Zhang,Xiao-Jie Chen,Shi-Peng Li,Jin-Ming Zhang,Jie Sun,Liu-Xin Zhou,Guang-Peng Zhou,Bin Cui,Li-Ying Sun,Zhi-Jun Zhu
View all publications

Product promise

We are committed to supporting your work with high-quality reagents, and we're here for you every step of the way. In the unlikely event that one of our products does not perform as expected, you're protected by our Product Promise.
For full details, please see our Terms & Conditions

Please note: All products are 'FOR RESEARCH USE ONLY. NOT FOR USE IN DIAGNOSTIC OR THERAPEUTIC PROCEDURES'.

For licensing inquiries, please contact partnerships@abcam.com