JavaScript is disabled in your browser. Please enable JavaScript to view this website.
AB314221

Anti-Seladin 1 antibody [EPR26466-37]

  • BOND RX™ Validated
  • 20ul selling size
  • RabMAb
  • KO Validated
  • Recombinant
  • What is this?

Be the first to review this product! Submit a review

|

(0 Publication)

Knockout Tested Rabbit Recombinant Monoclonal Seladin 1 antibody. Suitable for IHC-P, WB and reacts with Mouse, Human, Rat samples.

View Alternative Names

Kiaa0018, Dhcr24, Delta(24)-sterol reductase, 24-dehydrocholesterol reductase, 3-beta-hydroxysterol Delta-24-reductase

5 Images
Immunohistochemistry (Formalin/PFA-fixed paraffin-embedded sections) - Anti-Seladin 1 antibody [EPR26466-37] (AB314221)
  • IHC-P

Supplier Data

Immunohistochemistry (Formalin/PFA-fixed paraffin-embedded sections) - Anti-Seladin 1 antibody [EPR26466-37] (AB314221)

Immunohistochemical analysis of paraffin-embedded mouse cardiac muscle tissue labeling Seladin 1 with ab314221 at 1/100 (5.23 ug/ml) followed by a ready to use LeicaDS9800 (Bond™ Polymer Refine Detection). Negative control : No staining on mouse cardiac muscle. The section was incubated with ab314221 for 30 mins at room temperature. The immunostaining was performed on a Leica Biosystems BOND® RX instrument. Counterstained with Hematoxylin. Secondary antibody only control : Secondary antibody is a ready to use LeicaDS9800 (Bond™ Polymer Refine Detection). Heat mediated antigen retrieval was performed with Tris-EDTA buffer (pH 9.0, Epitope Retrieval Solution2) for 20 mins.

Immunohistochemistry (Formalin/PFA-fixed paraffin-embedded sections) - Anti-Seladin 1 antibody [EPR26466-37] (AB314221)
  • IHC-P

Supplier Data

Immunohistochemistry (Formalin/PFA-fixed paraffin-embedded sections) - Anti-Seladin 1 antibody [EPR26466-37] (AB314221)

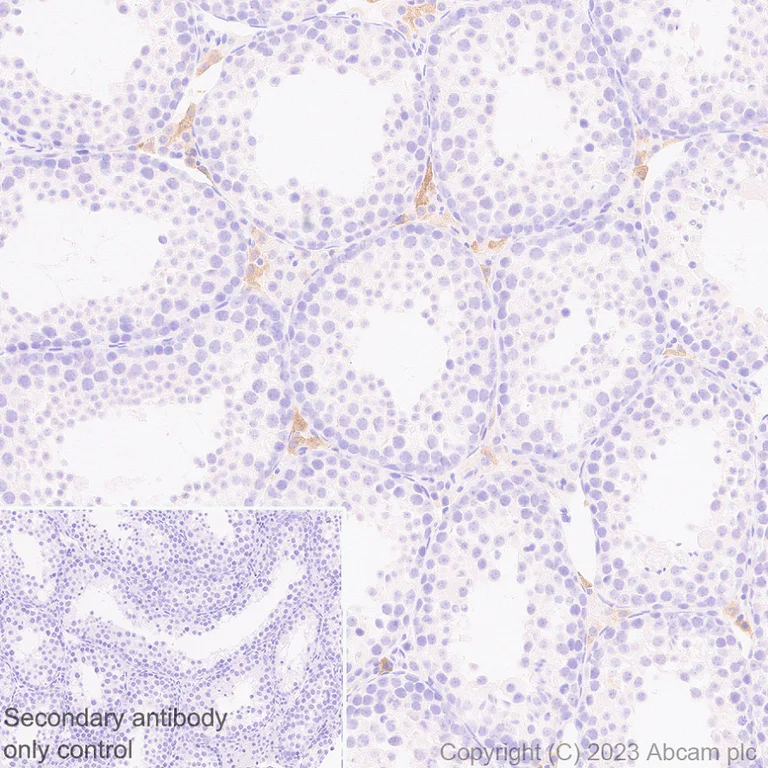
Immunohistochemical analysis of paraffin-embedded mouse testis tissue labeling Seladin 1 with ab314221 at 1/100 (5.23 ug/ml) followed by a ready to use LeicaDS9800 (Bond™ Polymer Refine Detection). Positive staining on Leydig cells of mouse testis. The section was incubated with ab314221 for 30 mins at room temperature. The immunostaining was performed on a Leica Biosystems BOND® RX instrument. Counterstained with Hematoxylin. Secondary antibody only control : Secondary antibody is a ready to use LeicaDS9800 (Bond™ Polymer Refine Detection). Heat mediated antigen retrieval was performed with Tris-EDTA buffer (pH 9.0, Epitope Retrieval Solution2) for 20 mins.

Immunohistochemistry (Formalin/PFA-fixed paraffin-embedded sections) - Anti-Seladin 1 antibody [EPR26466-37] (AB314221)
  • IHC-P

Supplier Data

Immunohistochemistry (Formalin/PFA-fixed paraffin-embedded sections) - Anti-Seladin 1 antibody [EPR26466-37] (AB314221)

Immunohistochemical analysis of paraffin-embedded mouse cerebrum tissue labeling Seladin 1 with ab314221 at 1/100 (5.23 ug/ml) followed by a ready to use LeicaDS9800 (Bond™ Polymer Refine Detection). Positive staining on mouse cerebrum. The section was incubated with ab314221 for 30 mins at room temperature. The immunostaining was performed on a Leica Biosystems BOND® RX instrument. Counterstained with Hematoxylin. Secondary antibody only control : Secondary antibody is a ready to use LeicaDS9800 (Bond™ Polymer Refine Detection). Heat mediated antigen retrieval was performed with Tris-EDTA buffer (pH 9.0, Epitope Retrieval Solution2) for 20 mins.

Immunohistochemistry (Formalin/PFA-fixed paraffin-embedded sections) - Anti-Seladin 1 antibody [EPR26466-37] (AB314221)
  • IHC-P

Supplier Data

Immunohistochemistry (Formalin/PFA-fixed paraffin-embedded sections) - Anti-Seladin 1 antibody [EPR26466-37] (AB314221)

Immunohistochemical analysis of paraffin-embedded mouse liver tissue labeling Seladin 1 with ab314221 at 1/100 (5.23 ug/ml) followed by a ready to use LeicaDS9800 (Bond™ Polymer Refine Detection). Positive staining on mouse liver. The section was incubated with ab314221 for 30 mins at room temperature. The immunostaining was performed on a Leica Biosystems BOND® RX instrument. Counterstained with Hematoxylin. Secondary antibody only control : Secondary antibody is a ready to use LeicaDS9800 (Bond™ Polymer Refine Detection). Heat mediated antigen retrieval was performed with Tris-EDTA buffer (pH 9.0, Epitope Retrieval Solution2) for 20 mins.

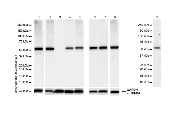
Western blot - Anti-Seladin 1 antibody [EPR26466-37] (AB314221)
  • WB

Supplier Data

Western blot - Anti-Seladin 1 antibody [EPR26466-37] (AB314221)

Blocking and diluting buffer and concentration : 5% NFDM/TBST Performed under reducing conditions. In Western blot, ab314221 was shown to bind specifically to Seladin 1. Target of interest was observed at 54 kDa in wild-type A431 cell lysates (lane 2) with no signal observed at this size in DHCR24 knockout cell line (lane 3) (lane 3, knockout cell line ab262480 / knockout cell lysate ab263920). In Western blot, Anti-GAPDH antibody [EPR16891] - Loading Control (ab181602) staining at 1/200000 dilution. Exposure time : Lane 1-5 : 10 seconds, Lane 6-8 : 125 seconds, Lane 9 : 180 seconds.

All lanes:

Western blot - Anti-Seladin 1 antibody [EPR26466-37] (ab314221) at 1/1000 dilution

Lane 1:

Human testis tissue lysate at 20 µg

Lane 2:

Wild-type A431 (human epidermoid carcinoma epithelial cell) whole cell lysate at 20 µg

Lane 3:

DHCR24 KO A431 whole cell lysate at 20 µg

Lane 4:

NIH/3T3 (mouse embryonic fibroblast) whole cell lysate at 20 µg

Lane 5:

Mouse liver tissue lysate at 20 µg

Lane 6:

Mouse testis tissue lysate at 20 µg

Lane 7:

Mouse lung tissue lysate at 20 µg

Lane 8:

Rat testis tissue lysate at 20 µg

Lane 9:

Human lung tissue lysate at 20 µg

Secondary

All lanes:

Goat Anti-Rabbit IgG (HRP) with minimal cross-reactivity with human IgG at 1/2000 dilution

Observed band size: 54 kDa

false

  • Carrier free

    Anti-Seladin 1 antibody [EPR26466-37] - BSA and Azide free

Key facts

Host species

Rabbit

Clonality

Monoclonal

Clone number

EPR26466-37

Isotype

IgG

Carrier free

No

Reacts with

Mouse, Human, Rat

Applications

IHC-P, WB

applications

Immunogen

The exact immunogen used to generate this antibody is proprietary information.

Specificity

Unsuitable for human and rat IHC-P.

Reactivity data

{ "title": "Reactivity Data", "filters": { "stats": ["", "Species", "Dilution Info", "Notes"], "tabs": { "all-applications": {"fullname" : "All Applications", "shortname": "All Applications"}, "IHCP" : {"fullname" : "Immunohistochemistry (Formalin/PFA-fixed paraffin-embedded sections)", "shortname":"IHC-P"}, "WB" : {"fullname" : "Western blot", "shortname":"WB"}, "FlowCytIntra" : {"fullname" : "Flow Cytometry (Intracellular)", "shortname":"Flow Cyt (Intra)"}, "ICCIF" : {"fullname" : "Immunocytochemistry/ Immunofluorescence", "shortname":"ICC/IF"}, "IP" : {"fullname" : "Immunoprecipitation", "shortname":"IP"} }, "product-promise": { "all": "all", "testedAndGuaranteed": "tested", "guaranteed": "expected", "predicted": "predicted", "notRecommended": "not-recommended" } }, "values": { "Human": { "IHCP-species-checked": "notRecommended", "IHCP-species-dilution-info": "", "IHCP-species-notes": "<p></p>", "WB-species-checked": "testedAndGuaranteed", "WB-species-dilution-info": "1/1000", "WB-species-notes": "<p></p>", "FlowCytIntra-species-checked": "notRecommended", "FlowCytIntra-species-dilution-info": "", "FlowCytIntra-species-notes": "", "ICCIF-species-checked": "notRecommended", "ICCIF-species-dilution-info": "", "ICCIF-species-notes": "", "IP-species-checked": "notRecommended", "IP-species-dilution-info": "", "IP-species-notes": "" }, "Mouse": { "IHCP-species-checked": "testedAndGuaranteed", "IHCP-species-dilution-info": "1/100", "IHCP-species-notes": "<p></p>", "WB-species-checked": "testedAndGuaranteed", "WB-species-dilution-info": "1/1000", "WB-species-notes": "<p></p>", "FlowCytIntra-species-checked": "notRecommended", "FlowCytIntra-species-dilution-info": "", "FlowCytIntra-species-notes": "<p></p>", "ICCIF-species-checked": "notRecommended", "ICCIF-species-dilution-info": "", "ICCIF-species-notes": "<p></p>", "IP-species-checked": "notRecommended", "IP-species-dilution-info": "", "IP-species-notes": "<p></p>" }, "Rat": { "IHCP-species-checked": "notRecommended", "IHCP-species-dilution-info": "", "IHCP-species-notes": "<p></p>", "WB-species-checked": "testedAndGuaranteed", "WB-species-dilution-info": "1/1000", "WB-species-notes": "<p></p>", "FlowCytIntra-species-checked": "notRecommended", "FlowCytIntra-species-dilution-info": "", "FlowCytIntra-species-notes": "", "ICCIF-species-checked": "notRecommended", "ICCIF-species-dilution-info": "", "ICCIF-species-notes": "", "IP-species-checked": "notRecommended", "IP-species-dilution-info": "", "IP-species-notes": "" } } }

Product details

Patented technology
Our RabMAb® technology is a patented hybridoma-based technology for making rabbit monoclonal antibodies. For details on our patents, please refer to RabMAb® patents.

What are the advantages of a recombinant monoclonal antibody?
This product is a recombinant monoclonal antibody, which offers several advantages including:

  • - High batch-to-batch consistency and reproducibility
  • - Improved sensitivity and specificity
  • - Long-term security of supply
  • - Animal-free batch production

For more information, read more on recombinant antibodies.

Properties and storage information

Form
Liquid
Purification technique
Affinity purification Protein A
Storage buffer
pH: 7.2 - 7.4 Preservative: 0.01% Sodium azide Constituents: PBS, 40% Glycerol (glycerin, glycerine), 0.05% BSA
Shipped at conditions
Blue Ice
Appropriate short-term storage duration
1-2 weeks
Appropriate short-term storage conditions
+4°C
Appropriate long-term storage conditions
-20°C
Aliquoting information
Upon delivery aliquot
Storage information
Avoid freeze / thaw cycle

Supplementary information

This supplementary information is collated from multiple sources and compiled automatically.

Seladin 1 also known as DHCR24 (3β-Hydroxysteroid-Δ24 reductase) is an enzyme with a molecular mass of approximately 54 kDa. It plays a role in cholesterol biosynthesis by catalyzing the reduction of a double bond at the C-24 position in sterol precursors. Seladin 1 is expressed in various tissues with high expression in the brain liver and adrenal gland. The enzyme contributes to the maintenance of cellular cholesterol homeostasis and provides neuroprotective functions.
Biological function summary

Seladin 1 plays an important role in cellular processes particularly in response to oxidative stress. The protein is not part of a larger complex but functions independently to reduce highly reactive oxygen species levels in cells. It helps in maintaining cellular integrity and contributes to the survival of neuronal cells under stress conditions. Additionally it provides resistance to oxidative stress-induced apoptosis by modulating intracellular antioxidative defense mechanisms.

Pathways

Seladin 1 plays an integral role in the cholesterol biosynthesis pathway and is closely associated with the mevalonate pathway. Its activity directly influences the availability of cholesterol and other sterols impacting membrane fluidity and cellular functions dependent on sterol concentrations. The enzyme interacts with related proteins such as HMG-CoA reductase an important regulatory enzyme within the cholesterol synthesis pathway. These interactions ensure that cellular cholesterol levels are well-regulated to meet physiological demands.

Seladin 1 has been implicated in Alzheimer's disease and certain cancers. In Alzheimer's disease a reduction in Seladin 1 expression correlates with increased susceptibility to amyloid-beta toxicity while its overexpression shows a protective effect. This relationship ties Seladin 1 to amyloid precursor protein processing. In some cancers altered Seladin 1 expression affects tumor growth and progression where it may interact with proteins involved in cell survival pathways. This dual role in both neurodegenerative and cancerous conditions highlights the importance of Seladin 1 in human health.

Product protocols

For this product, it's our understanding that no specific protocols are required. You can visit:

Target data

Catalyzes the reduction of the delta-24 double bond of sterol intermediates during cholesterol biosynthesis (PubMed : 26114596). In addition to its cholesterol-synthesizing activity, can protect cells from oxidative stress by reducing caspase 3 activity during apoptosis induced by oxidative stress. Also protects against amyloid-beta peptide-induced apoptosis (By similarity).
See full target information Dhcr24

Product promise

We are committed to supporting your work with high-quality reagents, and we're here for you every step of the way. In the unlikely event that one of our products does not perform as expected, you're protected by our Product Promise.
For full details, please see our Terms & Conditions

Please note: All products are 'FOR RESEARCH USE ONLY. NOT FOR USE IN DIAGNOSTIC OR THERAPEUTIC PROCEDURES'.

For licensing inquiries, please contact partnerships@abcam.com