JavaScript is disabled in your browser. Please enable JavaScript to view this website.
AB180782

Anti-Selenium Binding Protein 1/SBP antibody

Be the first to review this product! Submit a review

|

(1 Publication)

Rabbit Polyclonal Selenium Binding Protein 1/SBP antibody. Suitable for WB, IHC-P, ICC/IF and reacts with Human, Rat samples. Cited in 1 publication. Immunogen corresponding to Recombinant Fragment Protein within Human SELENBP1.

View Alternative Names

SBP, SELENBP1, Methanethiol oxidase, MTO, 56 kDa selenium-binding protein, Selenium-binding protein 1, SBP56, SP56

4 Images
Immunocytochemistry/ Immunofluorescence - Anti-Selenium Binding Protein 1/SBP antibody (AB180782)
  • ICC/IF

Unknown

Immunocytochemistry/ Immunofluorescence - Anti-Selenium Binding Protein 1/SBP antibody (AB180782)

Immunocytochemistry/Immunofluorescence analysis of HeLa cells using ab180782. Blue DAPI for nuclear staining.

Immunohistochemistry (Formalin/PFA-fixed paraffin-embedded sections) - Anti-Selenium Binding Protein 1/SBP antibody (AB180782)
  • IHC-P

Unknown

Immunohistochemistry (Formalin/PFA-fixed paraffin-embedded sections) - Anti-Selenium Binding Protein 1/SBP antibody (AB180782)

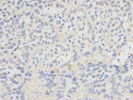
Immunohistochemistry (Formalin/PFA-fixed paraffin-embedded sections) analysis of human thyroid cancer tissue labelling Selenium Binding Protein 1/SBP with ab180782 at 1/200. Magnification : 400x.

Immunohistochemistry (Formalin/PFA-fixed paraffin-embedded sections) - Anti-Selenium Binding Protein 1/SBP antibody (AB180782)
  • IHC-P

Unknown

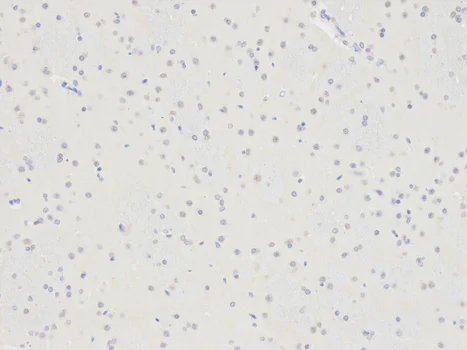
Immunohistochemistry (Formalin/PFA-fixed paraffin-embedded sections) - Anti-Selenium Binding Protein 1/SBP antibody (AB180782)

Immunohistochemistry (Formalin/PFA-fixed paraffin-embedded sections) analysis of rat brain tissue labelling Selenium Binding Protein 1/SBP with ab180782 at 1/200. Magnification : 200x.

Western blot - Anti-Selenium Binding Protein 1/SBP antibody (AB180782)
  • WB

Supplier Data

Western blot - Anti-Selenium Binding Protein 1/SBP antibody (AB180782)

All lanes:

Western blot - Anti-Selenium Binding Protein 1/SBP antibody (ab180782) at 1/500 dilution

All lanes:

721_B cell lysate

Predicted band size: 52 kDa

false

Key facts

Host species

Rabbit

Clonality

Polyclonal

Isotype

IgG

Carrier free

No

Reacts with

Rat, Human

Applications

ICC/IF, WB, IHC-P

applications

Immunogen

Recombinant Fragment Protein within Human SELENBP1. The exact immunogen used to generate this antibody is proprietary information.

Q13228

Reactivity data

{ "title": "Reactivity Data", "filters": { "stats": ["", "Species", "Dilution Info", "Notes"], "tabs": { "all-applications": {"fullname" : "All Applications", "shortname": "All Applications"}, "WB" : {"fullname" : "Western blot", "shortname":"WB"}, "IHCP" : {"fullname" : "Immunohistochemistry (Formalin/PFA-fixed paraffin-embedded sections)", "shortname":"IHC-P"}, "ICCIF" : {"fullname" : "Immunocytochemistry/ Immunofluorescence", "shortname":"ICC/IF"} }, "product-promise": { "all": "all", "testedAndGuaranteed": "tested", "guaranteed": "expected", "predicted": "predicted", "notRecommended": "not-recommended" } }, "values": { "Human": { "WB-species-checked": "testedAndGuaranteed", "WB-species-dilution-info": "", "WB-species-notes": "<p></p>", "IHCP-species-checked": "testedAndGuaranteed", "IHCP-species-dilution-info": "1/50 - 1/200", "IHCP-species-notes": "<p><a href='/en-us/products/primary-antibodies/rabbit-igg-polyclonal-isotype-control-chip-grade-ab171870'>ab171870</a> - Rabbit polyclonal IgG, is suitable for use as an isotype control with this antibody.</p>", "ICCIF-species-checked": "testedAndGuaranteed", "ICCIF-species-dilution-info": "", "ICCIF-species-notes": "<p></p>" }, "Rat": { "WB-species-checked": "guaranteed", "WB-species-dilution-info": "", "WB-species-notes": "", "IHCP-species-checked": "testedAndGuaranteed", "IHCP-species-dilution-info": "1/50 - 1/200", "IHCP-species-notes": "<p><a href='/en-us/products/primary-antibodies/rabbit-igg-polyclonal-isotype-control-chip-grade-ab171870'>ab171870</a> - Rabbit polyclonal IgG, is suitable for use as an isotype control with this antibody.</p>", "ICCIF-species-checked": "guaranteed", "ICCIF-species-dilution-info": "", "ICCIF-species-notes": "" }, "Cow": { "WB-species-checked": "predicted", "WB-species-dilution-info": "", "WB-species-notes": "", "IHCP-species-checked": "predicted", "IHCP-species-dilution-info": "", "IHCP-species-notes": "", "ICCIF-species-checked": "predicted", "ICCIF-species-dilution-info": "", "ICCIF-species-notes": "" }, "Orangutan": { "WB-species-checked": "predicted", "WB-species-dilution-info": "", "WB-species-notes": "", "IHCP-species-checked": "predicted", "IHCP-species-dilution-info": "", "IHCP-species-notes": "", "ICCIF-species-checked": "predicted", "ICCIF-species-dilution-info": "", "ICCIF-species-notes": "" } } }

Properties and storage information

Form
Liquid
Purification technique
Affinity purification Immunogen
Storage buffer
pH: 7.3 Preservative: 0.02% Sodium azide Constituents: PBS, 50% Glycerol (glycerin, glycerine)
Shipped at conditions
Blue Ice
Appropriate short-term storage duration
1-2 weeks
Appropriate short-term storage conditions
+4°C
Appropriate long-term storage conditions
-20°C
Aliquoting information
Upon delivery aliquot
Storage information
Avoid freeze / thaw cycle

Supplementary information

This supplementary information is collated from multiple sources and compiled automatically.

Selenium Binding Protein 1 (SBP1) also known as SELENBP1 is a protein of molecular weight approximately 56 kDa. It is involved in various cellular mechanisms. SBP1 binds selenium thereby playing a role in selenium metabolism and regulation within the cell. It is expressed in numerous tissues including liver kidney and colon indicating a broad physiological significance. Its expression is subject to tight regulation pointing to its importance in cellular functions.
Biological function summary

Selenium Binding Protein 1 interacts with selenium implicating it in various metabolic processes. It does not act as part of a larger complex but functions independently to influence cellular responses to selenium levels. Research shows that SBP1 plays a role in antioxidant defense and cellular detoxification suggesting a protective function against oxidative stress. This regulation supports various metabolic pathways by modulating selenium-dependent enzyme activity.

Pathways

Selenium Binding Protein 1 has been connected to the antioxidant defense pathway and the detoxification process. It interacts with proteins involved in these pathways such as glutathione peroxidases essential for eliminating oxidative damage in cells. By influencing these pathways SBP1 helps maintain cellular homeostasis highlighting its role in the broader metabolic network.

Aberrations in Selenium Binding Protein 1 levels are linked to certain cancers and neurological disorders. Studies show a decrease in SBP1 expression in cancers such as colorectal cancer possibly related to reduced cellular detoxification capacity. Additionally some neurological disorders have shown altered SBP1 expression which could connect the protein with enhanced oxidative stress and cell damage. By affecting conditions like cancer SBP1 could interact with proteins involved in cell proliferation and survival supporting research on therapeutic targets.

Product protocols

For this product, it's our understanding that no specific protocols are required. You can visit:

Target data

Catalyzes the oxidation of methanethiol, an organosulfur compound known to be produced in substantial amounts by gut bacteria (PubMed : 29255262). Selenium-binding protein which may be involved in the sensing of reactive xenobiotics in the cytoplasm. May be involved in intra-Golgi protein transport (By similarity).
See full target information SELENBP1

Publications (1)

Recent publications for all applications. Explore the full list and refine your search

Oncotarget 14:688-699 PubMed37395796

2023

Transformation of immunosuppressive mtKRAS tumors into immunostimulatory tumors by Nerofe and Doxorubicin.

Applications

Unspecified application

Species

Unspecified reactive species

Joel Ohana,Uziel Sandler,Orly Devary,Yoram Devary
View all publications

Product promise

We are committed to supporting your work with high-quality reagents, and we're here for you every step of the way. In the unlikely event that one of our products does not perform as expected, you're protected by our Product Promise.
For full details, please see our Terms & Conditions

Please note: All products are 'FOR RESEARCH USE ONLY. NOT FOR USE IN DIAGNOSTIC OR THERAPEUTIC PROCEDURES'.

For licensing inquiries, please contact partnerships@abcam.com