JavaScript is disabled in your browser. Please enable JavaScript to view this website.
AB197108

Anti-SEMA3G antibody

Be the first to review this product! Submit a review

|

(3 Publications)

Rabbit Polyclonal SEMA3G antibody. Suitable for WB, IHC-P and reacts with Human samples. Cited in 3 publications. Immunogen corresponding to Recombinant Fragment Protein within Human Semaphorin-3G aa 600 to C-terminus.

View Alternative Names

Semaphorin-3G, Semaphorin sem2, SEMA3G

2 Images
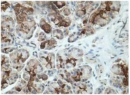
Immunohistochemistry (Formalin/PFA-fixed paraffin-embedded sections) - Anti-SEMA3G antibody (AB197108)
  • IHC-P

Supplier Data

Immunohistochemistry (Formalin/PFA-fixed paraffin-embedded sections) - Anti-SEMA3G antibody (AB197108)

Immunohistochemical analysis of formalin-fixed, paraffin-embedded human fetal pancreas tissue labeling SEMA3G with ab197108 at a 1/100 dilution.

Western blot - Anti-SEMA3G antibody (AB197108)
  • WB

Supplier Data

Western blot - Anti-SEMA3G antibody (AB197108)

All lanes:

Western blot - Anti-SEMA3G antibody (ab197108) at 1/500 dilution

Lane 1:

MDA-MB-281 cell lysate

Lane 2:

LO2 cell lysate

Predicted band size: 87 kDa

false

Key facts

Host species

Rabbit

Clonality

Polyclonal

Isotype

IgG

Carrier free

No

Reacts with

Human

Applications

WB, IHC-P

applications

Immunogen

Recombinant Fragment Protein within Human Semaphorin-3G aa 600 to C-terminus. The exact immunogen used to generate this antibody is proprietary information.

Q9NS98

Reactivity data

{ "title": "Reactivity Data", "filters": { "stats": ["", "Species", "Dilution Info", "Notes"], "tabs": { "all-applications": {"fullname" : "All Applications", "shortname": "All Applications"}, "WB" : {"fullname" : "Western blot", "shortname":"WB"}, "IHCP" : {"fullname" : "Immunohistochemistry (Formalin/PFA-fixed paraffin-embedded sections)", "shortname":"IHC-P"} }, "product-promise": { "all": "all", "testedAndGuaranteed": "tested", "guaranteed": "expected", "predicted": "predicted", "notRecommended": "not-recommended" } }, "values": { "Human": { "WB-species-checked": "testedAndGuaranteed", "WB-species-dilution-info": "1/200 - 1/1000", "WB-species-notes": "<p></p>", "IHCP-species-checked": "testedAndGuaranteed", "IHCP-species-dilution-info": "1/100 - 1/500", "IHCP-species-notes": "<p></p>" } } }

Properties and storage information

Form
Lyophilized
Reconstitution
reconstitute with water at 200µL
Purification technique
Affinity purification Immunogen
Storage buffer
pH: 7.2 Preservative: 0.02% Sodium azide Constituents: PBS, 1% BSA
Shipped at conditions
Blue Ice
Appropriate short-term storage duration
1-2 weeks
Appropriate short-term storage conditions
+4°C
Appropriate long-term storage conditions
-20°C
Aliquoting information
Upon delivery aliquot
Storage information
Avoid freeze / thaw cycle

Supplementary information

This supplementary information is collated from multiple sources and compiled automatically.

SEMA3G also known as Semaphorin-3G is a member of the semaphorin family of proteins with a mass of approximately 80 kDa. This protein plays a significant role in guidance cues in the nervous system and modulates angiogenesis. SEMA3G is expressed in various tissues including the nervous system and lung tissue. Its activity is mediated through binding to plexin receptors which leads to a series of intracellular signaling cascades.
Biological function summary

In addition to neuronal guidance SEMA3G contributes to the regulation of vascular patterning. This protein is not part of a larger complex but acts individually to influence cellular communication. By affecting the cytoskeleton and cell adhesion it ensures proper development and function of neurological and vascular systems which are important for organism development and maintenance.

Pathways

SEMA3G is a part of the semaphorin-plexin signaling pathway that influences processes such as cell motility and morphogenesis. It interacts with various proteins including those from the neuropilin family that also participate in transducing signals essential for cytoskeletal organization. This pathway overlaps with the VEGF signaling pathway suggesting a role in blood vessel development and nerve function.

Aberrant SEMA3G signaling can contribute to the pathogenesis of cancer and neurodegenerative diseases. Disruptions in its function are linked to tumor progression as it influences tumor angiogenesis and metastasis. Additionally SEMA3G has connections with neuropilin proteins which are implicated in the mechanism of certain neurological disorders. Understanding these interactions is essential for developing potential therapeutic strategies targeting these pathways.

Product protocols

For this product, it's our understanding that no specific protocols are required. You can visit:

Target data

Has chemorepulsive activities for sympathetic axons. Ligand of NRP2 (By similarity).
See full target information Semaphorin-3G

Publications (3)

Recent publications for all applications. Explore the full list and refine your search

Journal of immunology research 2023:3397940 PubMed36999136

2023

SERPINB4 Promotes Keratinocyte Inflammation via p38MAPK Signaling Pathway.

Applications

Unspecified application

Species

Unspecified reactive species

Yanan Zhang,Luling Wang,Xiaoying Sun,Fulun Li

Cell division 18:4 PubMed36882799

2023

MiR-146b-5p/SEMA3G regulates epithelial-mesenchymal transition in clear cell renal cell carcinoma.

Applications

Unspecified application

Species

Unspecified reactive species

Mengxi Tang,Tao Xiong

Cancer immunology research 10:468-481 PubMed35201289

2022

Molecular Signature of Tumor-Associated High Endothelial Venules That Can Predict Breast Cancer Survival.

Applications

Unspecified application

Species

Unspecified reactive species

Junko Sawada,Nobuyoshi Hiraoka,Rongsu Qi,Lu Jiang,Ashley E Fournier-Goss,Masayuki Yoshida,Hiroto Kawashima,Masanobu Komatsu
View all publications

Product promise

We are committed to supporting your work with high-quality reagents, and we're here for you every step of the way. In the unlikely event that one of our products does not perform as expected, you're protected by our Product Promise.
For full details, please see our Terms & Conditions

Please note: All products are 'FOR RESEARCH USE ONLY. NOT FOR USE IN DIAGNOSTIC OR THERAPEUTIC PROCEDURES'.

For licensing inquiries, please contact partnerships@abcam.com