JavaScript is disabled in your browser. Please enable JavaScript to view this website.
AB155192

Anti-SEMA4A antibody

Be the first to review this product! Submit a review

|

(2 Publications)

Rabbit Polyclonal SEMA4A antibody. Suitable for IHC-P, WB and reacts with Human samples. Cited in 2 publications. Immunogen corresponding to Recombinant Fragment Protein within Human SEMA4A aa 400-750.

View Alternative Names

SEMAB, SEMB, UNQ783/PRO1317, SEMA4A, Semaphorin-4A, Semaphorin-B, Sema B

2 Images
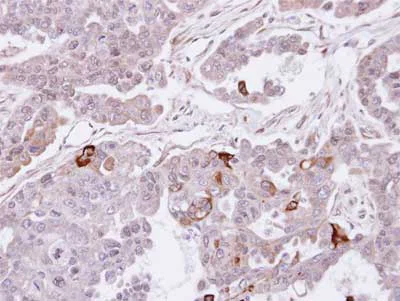
Immunohistochemistry (Formalin/PFA-fixed paraffin-embedded sections) - Anti-SEMA4A antibody (AB155192)
  • IHC-P

Unknown

Immunohistochemistry (Formalin/PFA-fixed paraffin-embedded sections) - Anti-SEMA4A antibody (AB155192)

Immunohistochemical analysis of paraffin-embedded OVCAR3 xenograft labeling SEMA4A with ab155192 at 1/500 dilution.

Western blot - Anti-SEMA4A antibody (AB155192)
  • WB

Unknown

Western blot - Anti-SEMA4A antibody (AB155192)

7.5% SDS PAGE

All lanes:

Western blot - Anti-SEMA4A antibody (ab155192) at 1/2000 dilution

All lanes:

HeLa whole cell lysate at 30 µg

Predicted band size: 84 kDa

false

Key facts

Host species

Rabbit

Clonality

Polyclonal

Isotype

IgG

Carrier free

No

Reacts with

Human

Applications

WB, IHC-P

applications

Immunogen

Recombinant Fragment Protein within Human SEMA4A aa 400-750. The exact immunogen used to generate this antibody is proprietary information.

Q9H3S1

Reactivity data

{ "title": "Reactivity Data", "filters": { "stats": ["", "Species", "Dilution Info", "Notes"], "tabs": { "all-applications": {"fullname" : "All Applications", "shortname": "All Applications"}, "IHCP" : {"fullname" : "Immunohistochemistry (Formalin/PFA-fixed paraffin-embedded sections)", "shortname":"IHC-P"}, "WB" : {"fullname" : "Western blot", "shortname":"WB"} }, "product-promise": { "all": "all", "testedAndGuaranteed": "tested", "guaranteed": "expected", "predicted": "predicted", "notRecommended": "not-recommended" } }, "values": { "Human": { "IHCP-species-checked": "testedAndGuaranteed", "IHCP-species-dilution-info": "1/100 - 1/1000", "IHCP-species-notes": "<p>use 10mM Citrate buffer or alternatively Tris-EDTA buffer (pH 8.0) may be used</p> Perform heat-mediated antigen retrieval with citrate buffer pH 6 before commencing with IHC staining protocol.", "WB-species-checked": "testedAndGuaranteed", "WB-species-dilution-info": "1/500 - 1/3000", "WB-species-notes": "<p></p>" } } }

Properties and storage information

Form
Liquid
Purification technique
Affinity purification Immunogen
Storage buffer
pH: 7 Preservative: 0.01% Thimerosal (merthiolate) Constituents: 10% Glycerol (glycerin, glycerine), 1.21% Tris, 0.75% Glycine
Shipped at conditions
Blue Ice
Appropriate short-term storage conditions
+4°C
Appropriate long-term storage conditions
-20°C
Aliquoting information
Upon delivery aliquot
Storage information
Avoid freeze / thaw cycle

Supplementary information

This supplementary information is collated from multiple sources and compiled automatically.

SEMA4A also known as Semaphorin-4A is a protein that functions as a guidance cue in the immune and nervous systems. It has a molecular mass of approximately 85 kDa. SEMA4A is expressed in various tissues including the retina lung and thymus as well as in several immune cells such as T cells B cells and dendritic cells. This protein plays a significant role in cell signaling affecting cellular processes like axonal guidance and immune responses.
Biological function summary

The interaction of SEMA4A with its receptors such as Plexin B1 and TIM-2 mediates important cellular activities. It is part of the broader semaphorin family which has a role in directing axonal growth during development. This protein contributes to the regulation of immune cell activity including the activation and differentiation of T cells. The presence of SEMA4A influences immune responses highlighting its importance in maintaining immune system balance.

Pathways

SEMA4A engages in the immune system and axon guidance pathways. In the immune system it interacts with proteins like Plexin B1 and CD72 influencing T cell proliferation and function. Through the axon guidance pathway SEMA4A helps direct the growth of nerve fibers impacting neuronal circuit formation. These interactions exemplify SEMA4A's role in linking cell signaling with physiological outcomes.

SEMA4A has connections with retinal degenerative diseases and immune system disorders. Mutations in the SEMA4A gene have been associated with retinitis pigmentosa a retinal disorder leading to vision loss. SEMA4A also plays a role in autoimmune diseases where its interaction with receptors like Plexin B1 affects immune cell function. Understanding the involvement of SEMA4A in these conditions helps in developing potential therapeutic approaches targeting its signaling pathways.

Product protocols

For this product, it's our understanding that no specific protocols are required. You can visit:

Target data

Cell surface receptor for PLXNB1, PLXNB2, PLXNB3 and PLXND1 that plays an important role in cell-cell signaling (By similarity). Regulates glutamatergic and GABAergic synapse development (By similarity). Promotes the development of inhibitory synapses in a PLXNB1-dependent manner and promotes the development of excitatory synapses in a PLXNB2-dependent manner (By similarity). Plays a role in priming antigen-specific T-cells, promotes differentiation of Th1 T-helper cells, and thereby contributes to adaptive immunity (By similarity). Promotes phosphorylation of TIMD2 (By similarity). Inhibits angiogenesis (By similarity). Promotes axon growth cone collapse (By similarity). Inhibits axonal extension by providing local signals to specify territories inaccessible for growing axons (By similarity).
See full target information SEMA4A

Publications (2)

Recent publications for all applications. Explore the full list and refine your search

Scientific reports 15:24326 PubMed40624065

2025

Resistance training and ursolic acid consumption affect hepatokines in aged diabetic rat liver.

Applications

Unspecified application

Species

Unspecified reactive species

Zahra Hemati Farsani,Mohammad Faramarzi,Zeinab Gorgin Karaji,Hamid Akbarzadeh,Masoumeh Hossein Zadeh

Cell 166:1295-1307.e21 PubMed27565350

2016

Proteomic Analysis of Unbounded Cellular Compartments: Synaptic Clefts.

Applications

Unspecified application

Species

Unspecified reactive species

Ken H Loh,Philipp S Stawski,Austin S Draycott,Namrata D Udeshi,Emily K Lehrman,Daniel K Wilton,Tanya Svinkina,Thomas J Deerinck,Mark H Ellisman,Beth Stevens,Steven A Carr,Alice Y Ting
View all publications

Product promise

We are committed to supporting your work with high-quality reagents, and we're here for you every step of the way. In the unlikely event that one of our products does not perform as expected, you're protected by our Product Promise.
For full details, please see our Terms & Conditions

Please note: All products are 'FOR RESEARCH USE ONLY. NOT FOR USE IN DIAGNOSTIC OR THERAPEUTIC PROCEDURES'.

For licensing inquiries, please contact partnerships@abcam.com