JavaScript is disabled in your browser. Please enable JavaScript to view this website.
AB198745

Anti-SEMA6D antibody - N-terminal

Be the first to review this product! Submit a review

|

(2 Publications)

Rabbit Polyclonal SEMA6D antibody. N-terminal. Suitable for IHC-P and reacts with Human samples. Cited in 2 publications. Immunogen corresponding to Synthetic Peptide within Human SEMA6D.

View Alternative Names

KIAA1479, SEMA6D, Semaphorin-6D

1 Images
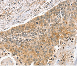
Immunohistochemistry (Formalin/PFA-fixed paraffin-embedded sections) - Anti-SEMA6D antibody - N-terminal (AB198745)
  • IHC-P

Supplier Data

Immunohistochemistry (Formalin/PFA-fixed paraffin-embedded sections) - Anti-SEMA6D antibody - N-terminal (AB198745)

Immunohistochemical analysis of paraffin-embedded Human liver cancer tissue labeling SEMA6D using ab198745 at 1/25 dilution.

Key facts

Host species

Rabbit

Clonality

Polyclonal

Isotype

IgG

Carrier free

No

Reacts with

Human

Applications

IHC-P

applications

Immunogen

Synthetic Peptide within Human SEMA6D. The exact immunogen used to generate this antibody is proprietary information.

Q8NFY4

Reactivity data

{ "title": "Reactivity Data", "filters": { "stats": ["", "Species", "Dilution Info", "Notes"], "tabs": { "all-applications": {"fullname" : "All Applications", "shortname": "All Applications"}, "IHCP" : {"fullname" : "Immunohistochemistry (Formalin/PFA-fixed paraffin-embedded sections)", "shortname":"IHC-P"} }, "product-promise": { "all": "all", "testedAndGuaranteed": "tested", "guaranteed": "expected", "predicted": "predicted", "notRecommended": "not-recommended" } }, "values": { "Human": { "IHCP-species-checked": "testedAndGuaranteed", "IHCP-species-dilution-info": "1/25 - 1/100", "IHCP-species-notes": "<p></p>" } } }

Properties and storage information

Form
Liquid
Purification technique
Affinity purification Immunogen
Storage buffer
pH: 7.4 Preservative: 0.05% Sodium azide Constituents: 50% Glycerol (glycerin, glycerine), 49% PBS
Shipped at conditions
Blue Ice
Appropriate short-term storage duration
1-2 weeks
Appropriate short-term storage conditions
+4°C
Appropriate long-term storage conditions
-20°C
Aliquoting information
Upon delivery aliquot
Storage information
Avoid freeze / thaw cycle

Supplementary information

This supplementary information is collated from multiple sources and compiled automatically.

The protein SEMA6D also known as Semaphorin-6D is a member of the semaphorin family characterized by its role in cell signaling. SEMA6D has a molecular mass of approximately 119 kDa. It is expressed in various tissues including the heart nervous system and certain immune cells. Mechanically SEMA6D functions through its interactions with plexin receptors particularly Plexin-A1 facilitating signal transduction that regulates cellular movement and organization.
Biological function summary

Semaphorin-6D contributes to multiple processes like axon guidance cardiac morphogenesis and immune function. It does not exist as part of a larger complex but acts through receptor interactions that lead to activation of downstream signaling pathways. Semaphorin-6D plays an influential role in guiding neuronal pathfinding during development ensuring proper formation of neural networks and also affects the organization and function of cardiac tissues.

Pathways

Semaphorin-6D modulates the activity in signaling systems like the RhoA/ROCK pathway and the MAPK pathway. These pathways are important for cytoskeletal dynamics and cell migration. It interacts with Plexin-A1 which assists in signal transmission leading to alterations in cell shape and motility. The involvement of SEMA6D in these pathways indicates its significance in cellular rearrangements and tissue architecture.

Semaphorin-6D has associations with cardiac malformations and certain neurological disorders. Abnormal SEMA6D signaling can contribute to congenital heart defects where improper cardiac development is linked to its interaction with Plexin-A1 and downstream effectors. Additionally its dysregulation has been observed in neurodegenerative diseases emphasizing its involvement in maintaining neural structure and function. These connections highlight Semaphorin-6D's importance in both developmental and pathological contexts.

Product protocols

For this product, it's our understanding that no specific protocols are required. You can visit:

Target data

Shows growth cone collapsing activity on dorsal root ganglion (DRG) neurons in vitro. May be a stop signal for the DRG neurons in their target areas, and possibly also for other neurons. May also be involved in the maintenance and remodeling of neuronal connections. Ligand of TREM2 with PLXNA1 as coreceptor in dendritic cells, plays a role in the generation of immune responses and skeletal homeostasis (By similarity).
See full target information SEMA6D

Publications (2)

Recent publications for all applications. Explore the full list and refine your search

Cancers 13: PubMed34885090

2021

MiR-195 and Its Target SEMA6D Regulate Chemoresponse in Breast Cancer.

Applications

Unspecified application

Species

Unspecified reactive species

Diana E Baxter,Lisa M Allinson,Waleed S Al Amri,James A Poulter,Arindam Pramanik,James L Thorne,Eldo T Verghese,Thomas A Hughes

PloS one 12:e0183414 PubMed28817700

2017

The loss and recovery of vertebrate vision examined in microplates.

Applications

Unspecified application

Species

Unspecified reactive species

Robert J Thorn,Danielle E Clift,Oladele Ojo,Ruth M Colwill,Robbert Creton
View all publications

Product promise

We are committed to supporting your work with high-quality reagents, and we're here for you every step of the way. In the unlikely event that one of our products does not perform as expected, you're protected by our Product Promise.
For full details, please see our Terms & Conditions

Please note: All products are 'FOR RESEARCH USE ONLY. NOT FOR USE IN DIAGNOSTIC OR THERAPEUTIC PROCEDURES'.

For licensing inquiries, please contact partnerships@abcam.com