JavaScript is disabled in your browser. Please enable JavaScript to view this website.
AB271964

Anti-Semaphorin 3A antibody [EPR19367] - BSA and Azide free

Be the first to review this product! Submit a review

|

(0 Publication)

Rabbit Recombinant Monoclonal Semaphorin 3A antibody. Carrier free. Suitable for IP, WB, IHC-P and reacts with Rat, Mouse, Human samples.

View Alternative Names

SEMAD, SEMA3A, Semaphorin-3A, Semaphorin III, Sema III

8 Images
Immunohistochemistry (Formalin/PFA-fixed paraffin-embedded sections) - Anti-Semaphorin 3A antibody [EPR19367] - BSA and Azide free (AB271964)
  • IHC-P

Supplier Data

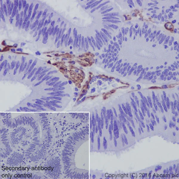
Immunohistochemistry (Formalin/PFA-fixed paraffin-embedded sections) - Anti-Semaphorin 3A antibody [EPR19367] - BSA and Azide free (AB271964)

Immunohistochemical analysis of paraffin-embedded human colon cancer tissue labeling Semaphorin 3A with ab199475 at 1/8000 dilution, followed by Goat Anti-Rabbit IgG H&L (HRP) ready to use. Cytoplasmic staining on vascular smooth muscle of human colon cancer [PMID : 18483621]. Counter stained with Hematoxylin.

Secondary antibody only control : Used PBS instead of primary antibody, secondary antibody is Goat Anti-Rabbit IgG H&L (HRP) ready to use.

Perform heat mediated antigen retrieval with Tris/EDTA buffer pH 9.0 before commencing with IHC staining protocol.

This data was developed using the same antibody clone in a different buffer formulation containing PBS, BSA, glycerol, and sodium azide (ab199475).

Immunohistochemistry (Formalin/PFA-fixed paraffin-embedded sections) - Anti-Semaphorin 3A antibody [EPR19367] - BSA and Azide free (AB271964)
  • IHC-P

Supplier Data

Immunohistochemistry (Formalin/PFA-fixed paraffin-embedded sections) - Anti-Semaphorin 3A antibody [EPR19367] - BSA and Azide free (AB271964)

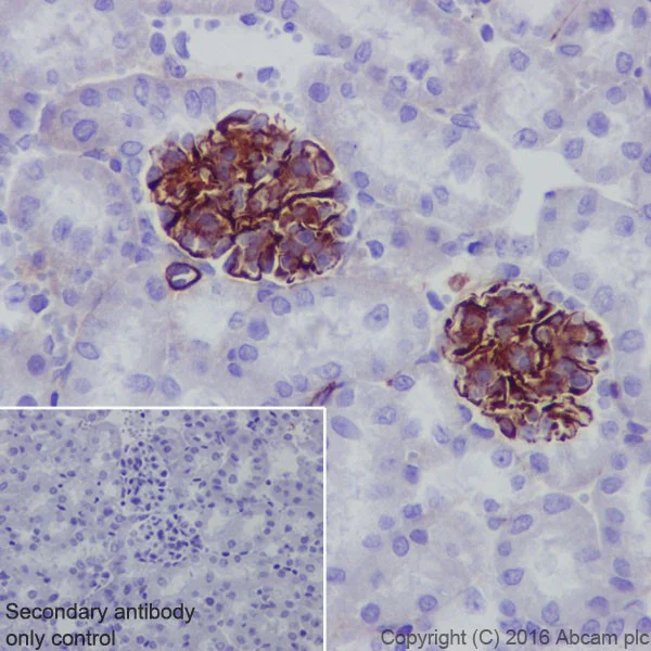
Immunohistochemical analysis of paraffin-embedded human kidney tissue labeling Semaphorin 3A with ab199475 at 1/8000 dilution, followed by Goat Anti-Rabbit IgG H&L (HRP) ready to use. Cytoplasmic staining on vascular smooth muscle and podocytes of human kidney [PMID : 25475434]. Counter stained with Hematoxylin.

Secondary antibody only control : Used PBS instead of primary antibody, secondary antibody is Goat Anti-Rabbit IgG H&L (HRP) ready to use.

Perform heat mediated antigen retrieval with Tris/EDTA buffer pH 9.0 before commencing with IHC staining protocol.

This data was developed using the same antibody clone in a different buffer formulation containing PBS, BSA, glycerol, and sodium azide (ab199475).

Immunohistochemistry (Formalin/PFA-fixed paraffin-embedded sections) - Anti-Semaphorin 3A antibody [EPR19367] - BSA and Azide free (AB271964)
  • IHC-P

Supplier Data

Immunohistochemistry (Formalin/PFA-fixed paraffin-embedded sections) - Anti-Semaphorin 3A antibody [EPR19367] - BSA and Azide free (AB271964)

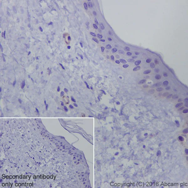
Immunohistochemical analysis of paraffin-embedded human skin tissue labeling Semaphorin 3A with ab199475 at 1/8000 dilution, followed by Goat Anti-Rabbit IgG H&L (HRP) ready to use. Weak cytoplasmic staining on vascular smooth muscle of human skin; epidermis is negative [PMID : 19443185]. Counter stained with Hematoxylin.

Secondary antibody only control : Used PBS instead of primary antibody, secondary antibody is Goat Anti-Rabbit IgG H&L (HRP) ready to use.

Perform heat mediated antigen retrieval with Tris/EDTA buffer pH 9.0 before commencing with IHC staining protocol.

This data was developed using the same antibody clone in a different buffer formulation containing PBS, BSA, glycerol, and sodium azide (ab199475).

Immunohistochemistry (Formalin/PFA-fixed paraffin-embedded sections) - Anti-Semaphorin 3A antibody [EPR19367] - BSA and Azide free (AB271964)
  • IHC-P

Supplier Data

Immunohistochemistry (Formalin/PFA-fixed paraffin-embedded sections) - Anti-Semaphorin 3A antibody [EPR19367] - BSA and Azide free (AB271964)

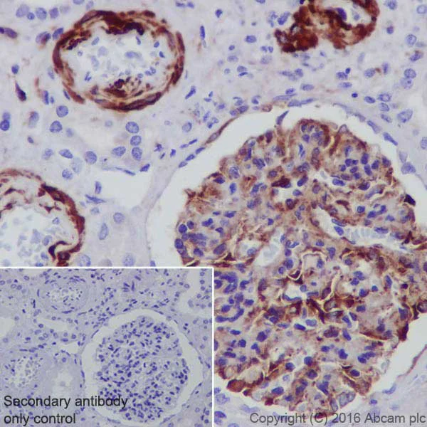
Immunohistochemical analysis of paraffin-embedded mouse kidney tissue labeling Semaphorin 3A with ab199475 at 1/8000 dilution, followed by Goat Anti-Rabbit IgG H&L (HRP) ready to use. Cytoplasmic staining on vascular smooth muscle and podocytes of mouse kidney was observed. Counter stained with Hematoxylin.

Secondary antibody only control : Used PBS instead of primary antibody, secondary antibody is Goat Anti-Rabbit IgG H&L (HRP) ready to use.

Perform heat mediated antigen retrieval with Tris/EDTA buffer pH 9.0 before commencing with IHC staining protocol.

This data was developed using the same antibody clone in a different buffer formulation containing PBS, BSA, glycerol, and sodium azide (ab199475).

Immunohistochemistry (Formalin/PFA-fixed paraffin-embedded sections) - Anti-Semaphorin 3A antibody [EPR19367] - BSA and Azide free (AB271964)
  • IHC-P

Supplier Data

Immunohistochemistry (Formalin/PFA-fixed paraffin-embedded sections) - Anti-Semaphorin 3A antibody [EPR19367] - BSA and Azide free (AB271964)

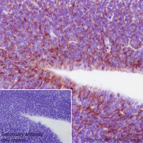
Immunohistochemical analysis of paraffin-embedded cerebral cortex of mouse E14 tissue labeling Semaphorin 3A with ab199475 at 1/8000 dilution, followed by Goat Anti-Rabbit IgG H&L (HRP) ready to use. Cytoplasmic staining on perineural small blood vessels of mouse E14 cerebral cortex [PMID : 12879061]. Counter stained with Hematoxylin.

Secondary antibody only control : Used PBS instead of primary antibody, secondary antibody is Goat Anti-Rabbit IgG H&L (HRP) ready to use.

Perform heat mediated antigen retrieval with Tris/EDTA buffer pH 9.0 before commencing with IHC staining protocol.

This data was developed using the same antibody clone in a different buffer formulation containing PBS, BSA, glycerol, and sodium azide (ab199475).

Immunohistochemistry (Formalin/PFA-fixed paraffin-embedded sections) - Anti-Semaphorin 3A antibody [EPR19367] - BSA and Azide free (AB271964)
  • IHC-P

Supplier Data

Immunohistochemistry (Formalin/PFA-fixed paraffin-embedded sections) - Anti-Semaphorin 3A antibody [EPR19367] - BSA and Azide free (AB271964)

Immunohistochemical analysis of paraffin-embedded mouse skin tissue labeling Semaphorin 3A with ab199475 at 1/8000 dilution, followed by Goat Anti-Rabbit IgG H&L (HRP) ready to use. Weak cytoplasm staining on vascular smooth muscle of mouse skin was observed, staining on the epidermis is negative [PMID : 19443185]. Counter stained with Hematoxylin.

Secondary antibody only control : Used PBS instead of primary antibody, secondary antibody is Goat Anti-Rabbit IgG H&L (HRP) ready to use.

Perform heat mediated antigen retrieval with Tris/EDTA buffer pH 9.0 before commencing with IHC staining protocol.

This data was developed using the same antibody clone in a different buffer formulation containing PBS, BSA, glycerol, and sodium azide (ab199475).

Immunohistochemistry (Formalin/PFA-fixed paraffin-embedded sections) - Anti-Semaphorin 3A antibody [EPR19367] - BSA and Azide free (AB271964)
  • IHC-P

Supplier Data

Immunohistochemistry (Formalin/PFA-fixed paraffin-embedded sections) - Anti-Semaphorin 3A antibody [EPR19367] - BSA and Azide free (AB271964)

Immunohistochemical analysis of paraffin-embedded rat heart tissue labeling Semaphorin 3A with ab199475 at 1/8000 dilution, followed by Goat Anti-Rabbit IgG H&L (HRP) ready to use. Cytoplasmic staining on vascular smooth muscle of rat heart. Counter stained with Hematoxylin.

Secondary antibody only control : Used PBS instead of primary antibody, secondary antibody is Goat Anti-Rabbit IgG H&L (HRP) ready to use.

Perform heat mediated antigen retrieval with Tris/EDTA buffer pH 9.0 before commencing with IHC staining protocol.

This data was developed using the same antibody clone in a different buffer formulation containing PBS, BSA, glycerol, and sodium azide (ab199475).

Immunoprecipitation - Anti-Semaphorin 3A antibody [EPR19367] - BSA and Azide free (AB271964)
  • IP

Supplier Data

Immunoprecipitation - Anti-Semaphorin 3A antibody [EPR19367] - BSA and Azide free (AB271964)

Semaphorin 3A was immunoprecipitated from 0.35 mg of PC-12 (Rat adrenal gland pheochromocytoma cell line) whole cell lysate with ab199475 at 1/40 dilution. Western blot was performed from the immunoprecipitate using ab199475 at 1/1000 dilution. VeriBlot for IP Detection Reagent (HRP) (ab131366), was used for detection at 1/10000 dilution.

Lane 1 : PC-12 whole cell lysate, 10 μg (Input).

Lane 2 : ab199475 IP in PC-12 whole cell lysate.

Lane 3 : Rabbit monoclonal IgG (ab172730) instead of ab199475 in PC-12 whole cell lysate.

Blocking and dilution buffer and concentration : 5% NFDM/TBST.

Exposure time : 3 seconds.

Staining pattern is consistent with what has been described in the literature, PMID : 23469280.

This data was developed using the same antibody clone in a different buffer formulation containing PBS, BSA, glycerol, and sodium azide (ab199475).

All lanes:

Immunoprecipitation - Anti-Semaphorin 3A antibody [EPR19367] (<a href='/en-us/products/primary-antibodies/semaphorin-3a-antibody-epr19367-ab199475'>ab199475</a>)

Predicted band size: 89 kDa

false

  • Unconjugated

    Anti-Semaphorin 3A antibody [EPR19367]

  • Carrier free

    Anti-Semaphorin 3A antibody [EPR19367] - Low endotoxin, Azide free

Key facts

Host species

Rabbit

Clonality

Monoclonal

Clone number

EPR19367

Isotype

IgG

Carrier free

Yes

Reacts with

Mouse, Rat, Human

Applications

IHC-P, IP, WB

applications

Immunogen

The exact immunogen used to generate this antibody is proprietary information.

Reactivity data

{ "title": "Reactivity Data", "filters": { "stats": ["", "Species", "Dilution Info", "Notes"], "tabs": { "all-applications": {"fullname" : "All Applications", "shortname": "All Applications"}, "IP" : {"fullname" : "Immunoprecipitation", "shortname":"IP"}, "WB" : {"fullname" : "Western blot", "shortname":"WB"}, "IHCP" : {"fullname" : "Immunohistochemistry (Formalin/PFA-fixed paraffin-embedded sections)", "shortname":"IHC-P"} }, "product-promise": { "all": "all", "testedAndGuaranteed": "tested", "guaranteed": "expected", "predicted": "predicted", "notRecommended": "not-recommended" } }, "values": { "Human": { "IP-species-checked": "predicted", "IP-species-dilution-info": "", "IP-species-notes": "", "WB-species-checked": "guaranteed", "WB-species-dilution-info": "", "WB-species-notes": "<p></p>", "IHCP-species-checked": "predicted", "IHCP-species-dilution-info": "", "IHCP-species-notes": "" }, "Mouse": { "IP-species-checked": "guaranteed", "IP-species-dilution-info": "", "IP-species-notes": "", "WB-species-checked": "guaranteed", "WB-species-dilution-info": "", "WB-species-notes": "<p></p>", "IHCP-species-checked": "testedAndGuaranteed", "IHCP-species-dilution-info": "", "IHCP-species-notes": "<p></p>" }, "Rat": { "IP-species-checked": "testedAndGuaranteed", "IP-species-dilution-info": "", "IP-species-notes": "<p></p>", "WB-species-checked": "guaranteed", "WB-species-dilution-info": "", "WB-species-notes": "<p></p>", "IHCP-species-checked": "guaranteed", "IHCP-species-dilution-info": "", "IHCP-species-notes": "" } } }

Product details

ab271964 is the carrier-free version of ab199475.

Patented technology
Our RabMAb® technology is a patented hybridoma-based technology for making rabbit monoclonal antibodies. For details on our patents, please refer to RabMAb® patents.

What are the advantages of a recombinant monoclonal antibody?
This product is a recombinant monoclonal antibody, which offers several advantages including:

  • - High batch-to-batch consistency and reproducibility
  • - Improved sensitivity and specificity
  • - Long-term security of supply
  • - Animal-free batch production

For more information, read more on recombinant antibodies.

Conjugation ready
Our carrier-free antibodies are typically supplied in a PBS-only formulation, purified and free of BSA, sodium azide and glycerol. This conjugation-ready format is designed for use with fluorochromes, metal isotopes, oligonucleotides, and enzymes, which makes them ideal for antibody labelling, functional and cell-based assays, flow-based assays (e.g. mass cytometry) and Multiplex Imaging applications.

Use our conjugation kits for antibody conjugates that are ready-to-use in as little as 20 minutes with 1 minute hands-on-time and 100% antibody recovery: available for fluorescent dyes, HRP, biotin and gold.

Compatibility
This product is compatible with the Maxpar® Antibody Labeling Kit from Fluidigm, without the need for antibody preparation. Maxpar® is a trademark of Fluidigm Canada Inc.

Properties and storage information

Form
Liquid
Purification technique
Affinity purification Protein A
Storage buffer
pH: 7.2 - 7.4 Constituents: PBS
Shipped at conditions
Blue Ice
Appropriate short-term storage conditions
+4°C
Appropriate long-term storage conditions
+4°C
Storage information
Do Not Freeze

Supplementary information

This supplementary information is collated from multiple sources and compiled automatically.

Semaphorin 3A also known as SEMA3A is a secreted protein that plays a role as a guidance cue in the nervous system by binding to receptors like neuropilin-1 and plexin-A. It weighs approximately 95 kDa. Expressed mainly in neurons SEMA3A influences neuronal wiring during development. In addition to neural tissues its expression occurs in endothelial cells and immune cells suggesting a role in vascular and immune system functioning.
Biological function summary

Semaphorin 3A influences cell migration axonal guidance and organogenesis. It functions as a repulsive guidance molecule that unfavorably influences the direction of growing axons and migrating neurons. SEMA3A does not act alone but is part of a complex involving neuropilin and plexin for effective signal transduction. These signaling complexes ensure that axonal pathways form correctly and aid in correct neural network formation.

Pathways

Semaphorin 3An importantly integrates into the axon guidance and immune response pathways. In the axon guidance pathway it repulses axons and influences the cytoskeletal dynamics by interacting with proteins such as collapsin response mediator protein (CRMP) and Rac1. SEMA3A participates in immune response through its influence on immune cell migration and positioning ensuring an appropriate immune response.

Anomalies in Semaphorin 3A activity relate to cancer and neuropathic pain. Aberrant SEMA3A expression and signaling can contribute to tumor progression and metastasis often working with neuropilin-1 and vascular endothelial growth factor (VEGF) in cancerous processes. Furthermore changes in SEMA3A signaling pathways have links to neuropathic pain where it collaborates with CRMP-2 to alter pain perception and neuropathic pain pathways.

Product protocols

For this product, it's our understanding that no specific protocols are required. You can visit:

Target data

Involved in the development of the olfactory system and in neuronal control of puberty. Induces the collapse and paralysis of neuronal growth cones. Could serve as a ligand that guides specific growth cones by a motility-inhibiting mechanism. Binds to the complex neuropilin-1/plexin-1.
See full target information SEMA3A

Product promise

We are committed to supporting your work with high-quality reagents, and we're here for you every step of the way. In the unlikely event that one of our products does not perform as expected, you're protected by our Product Promise.
For full details, please see our Terms & Conditions

Please note: All products are 'FOR RESEARCH USE ONLY. NOT FOR USE IN DIAGNOSTIC OR THERAPEUTIC PROCEDURES'.

For licensing inquiries, please contact partnerships@abcam.com