JavaScript is disabled in your browser. Please enable JavaScript to view this website.
AB226793

Anti-Semaphorin 3A antibody - N-terminal

0

(1 Review)

|

(1 Publication)

Rabbit Polyclonal Semaphorin 3A antibody. N-terminal. Suitable for WB, IHC-P and reacts with Human, Mouse, Rat samples. Cited in 1 publication. Immunogen corresponding to Recombinant Fragment Protein within Human SEMA3A.

View Alternative Names

SEMAD, SEMA3A, Semaphorin-3A, Semaphorin III, Sema III

3 Images
Immunohistochemistry (Formalin/PFA-fixed paraffin-embedded sections) - Anti-Semaphorin 3A antibody - N-terminal (AB226793)
  • IHC-P

Supplier Data

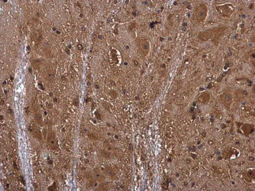
Immunohistochemistry (Formalin/PFA-fixed paraffin-embedded sections) - Anti-Semaphorin 3A antibody - N-terminal (AB226793)

Paraffin-embedded mouse brain tissue stained for Semaphorin 3A with ab226793 at 1/500 dilution in immunohistochemical analysis.

Immunohistochemistry (Formalin/PFA-fixed paraffin-embedded sections) - Anti-Semaphorin 3A antibody - N-terminal (AB226793)
  • IHC-P

Supplier Data

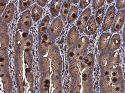
Immunohistochemistry (Formalin/PFA-fixed paraffin-embedded sections) - Anti-Semaphorin 3A antibody - N-terminal (AB226793)

Paraffin-embedded rat duodenum tissue stained for Semaphorin 3A with ab226793 at 1/500 dilution in immunohistochemical analysis.

Western blot - Anti-Semaphorin 3A antibody - N-terminal (AB226793)
  • WB

Supplier Data

Western blot - Anti-Semaphorin 3A antibody - N-terminal (AB226793)

All lanes:

Western blot - Anti-Semaphorin 3A antibody - N-terminal (ab226793) at 1/500 dilution

Lane 1:

U-87 MG (human glioblastoma-astrocytoma epithelial cell line) whole cell lysate at 30 µg

Lane 2:

SK-N-SH (human neuroblastoma cell line) whole cell lysate at 30 µg

Lane 3:

IMR32 (human neuroblastoma cell line) whole cell lysate at 30 µg

Lane 4:

SK-N-AS (human neuroblastoma cell line) whole cell lysate at 30 µg

Predicted band size: 89 kDa

false

Key facts

Host species

Rabbit

Clonality

Polyclonal

Isotype

IgG

Carrier free

No

Reacts with

Mouse, Rat, Human

Applications

IHC-P, WB

applications

Immunogen

Recombinant Fragment Protein within Human SEMA3A. The exact immunogen used to generate this antibody is proprietary information.

Q14563

Reactivity data

{ "title": "Reactivity Data", "filters": { "stats": ["", "Species", "Dilution Info", "Notes"], "tabs": { "all-applications": {"fullname" : "All Applications", "shortname": "All Applications"}, "WB" : {"fullname" : "Western blot", "shortname":"WB"}, "IHCP" : {"fullname" : "Immunohistochemistry (Formalin/PFA-fixed paraffin-embedded sections)", "shortname":"IHC-P"} }, "product-promise": { "all": "all", "testedAndGuaranteed": "tested", "guaranteed": "expected", "predicted": "predicted", "notRecommended": "not-recommended" } }, "values": { "Human": { "WB-species-checked": "testedAndGuaranteed", "WB-species-dilution-info": "1/500 - 1/3000", "WB-species-notes": "<p></p>", "IHCP-species-checked": "guaranteed", "IHCP-species-dilution-info": "", "IHCP-species-notes": "" }, "Mouse": { "WB-species-checked": "guaranteed", "WB-species-dilution-info": "", "WB-species-notes": "", "IHCP-species-checked": "testedAndGuaranteed", "IHCP-species-dilution-info": "1/100 - 1/1000", "IHCP-species-notes": "<p></p>" }, "Rat": { "WB-species-checked": "guaranteed", "WB-species-dilution-info": "", "WB-species-notes": "", "IHCP-species-checked": "testedAndGuaranteed", "IHCP-species-dilution-info": "1/100 - 1/1000", "IHCP-species-notes": "<p></p>" }, "Chicken": { "WB-species-checked": "predicted", "WB-species-dilution-info": "", "WB-species-notes": "", "IHCP-species-checked": "predicted", "IHCP-species-dilution-info": "", "IHCP-species-notes": "" }, "Cow": { "WB-species-checked": "predicted", "WB-species-dilution-info": "", "WB-species-notes": "", "IHCP-species-checked": "predicted", "IHCP-species-dilution-info": "", "IHCP-species-notes": "" } } }

Properties and storage information

Form
Liquid
Purification technique
Affinity purification Immunogen
Storage buffer
pH: 7 Preservative: 0.025% Proclin 300 Constituents: PBS, 20% Glycerol (glycerin, glycerine)
Shipped at conditions
Blue Ice
Appropriate short-term storage duration
1-2 weeks
Appropriate short-term storage conditions
+4°C
Appropriate long-term storage conditions
-20°C
Aliquoting information
Upon delivery aliquot
Storage information
Avoid freeze / thaw cycle

Supplementary information

This supplementary information is collated from multiple sources and compiled automatically.

Semaphorin 3A also known as SEMA3A is a secreted protein that plays a role as a guidance cue in the nervous system by binding to receptors like neuropilin-1 and plexin-A. It weighs approximately 95 kDa. Expressed mainly in neurons SEMA3A influences neuronal wiring during development. In addition to neural tissues its expression occurs in endothelial cells and immune cells suggesting a role in vascular and immune system functioning.
Biological function summary

Semaphorin 3A influences cell migration axonal guidance and organogenesis. It functions as a repulsive guidance molecule that unfavorably influences the direction of growing axons and migrating neurons. SEMA3A does not act alone but is part of a complex involving neuropilin and plexin for effective signal transduction. These signaling complexes ensure that axonal pathways form correctly and aid in correct neural network formation.

Pathways

Semaphorin 3An importantly integrates into the axon guidance and immune response pathways. In the axon guidance pathway it repulses axons and influences the cytoskeletal dynamics by interacting with proteins such as collapsin response mediator protein (CRMP) and Rac1. SEMA3A participates in immune response through its influence on immune cell migration and positioning ensuring an appropriate immune response.

Anomalies in Semaphorin 3A activity relate to cancer and neuropathic pain. Aberrant SEMA3A expression and signaling can contribute to tumor progression and metastasis often working with neuropilin-1 and vascular endothelial growth factor (VEGF) in cancerous processes. Furthermore changes in SEMA3A signaling pathways have links to neuropathic pain where it collaborates with CRMP-2 to alter pain perception and neuropathic pain pathways.

Product protocols

For this product, it's our understanding that no specific protocols are required. You can visit:

Target data

Involved in the development of the olfactory system and in neuronal control of puberty. Induces the collapse and paralysis of neuronal growth cones. Could serve as a ligand that guides specific growth cones by a motility-inhibiting mechanism. Binds to the complex neuropilin-1/plexin-1.
See full target information SEMA3A

Publications (1)

Recent publications for all applications. Explore the full list and refine your search

Free radical biology & medicine 181:118-129 PubMed35131446

2022

RedoxiFluor: A microplate technique to quantify target-specific protein thiol redox state in relative percentage and molar terms.

Applications

Unspecified application

Species

Unspecified reactive species

Ahmet Tuncay,Anna Noble,Matthew Guille,James N Cobley
View all publications

Product promise

We are committed to supporting your work with high-quality reagents, and we're here for you every step of the way. In the unlikely event that one of our products does not perform as expected, you're protected by our Product Promise.
For full details, please see our Terms & Conditions

Please note: All products are 'FOR RESEARCH USE ONLY. NOT FOR USE IN DIAGNOSTIC OR THERAPEUTIC PROCEDURES'.

For licensing inquiries, please contact partnerships@abcam.com