JavaScript is disabled in your browser. Please enable JavaScript to view this website.
AB112886

Anti-Semaphorin 3E antibody

2

(1 Review)

|

(2 Publications)

Goat Polyclonal Semaphorin 3E antibody. Suitable for IHC-P and reacts with Human samples. Cited in 2 publications. Immunogen corresponding to Synthetic Peptide within Human SEMA3E aa 350-400.

View Alternative Names

KIAA0331, SEMAH, SEMA3E, Semaphorin-3E

1 Images
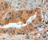
Immunohistochemistry (Formalin/PFA-fixed paraffin-embedded sections) - Anti-Semaphorin 3E antibody (AB112886)
  • IHC-P

Unknown

Immunohistochemistry (Formalin/PFA-fixed paraffin-embedded sections) - Anti-Semaphorin 3E antibody (AB112886)

ab112886 at 4μg/ml showing membranous staining of Semaphorin 3E in the secretory cells of Paraffin-embedded Human Prostate tissue by Immunohistochemistry. Detection utilised HRP staining.

Key facts

Host species

Goat

Clonality

Polyclonal

Isotype

IgG

Carrier free

No

Reacts with

Human

Applications

IHC-P

applications

Immunogen

Synthetic Peptide within Human SEMA3E aa 350-400. The exact immunogen used to generate this antibody is proprietary information.

O15041

Reactivity data

{ "title": "Reactivity Data", "filters": { "stats": ["", "Species", "Dilution Info", "Notes"], "tabs": { "all-applications": {"fullname" : "All Applications", "shortname": "All Applications"}, "IHCP" : {"fullname" : "Immunohistochemistry (Formalin/PFA-fixed paraffin-embedded sections)", "shortname":"IHC-P"} }, "product-promise": { "all": "all", "testedAndGuaranteed": "tested", "guaranteed": "expected", "predicted": "predicted", "notRecommended": "not-recommended" } }, "values": { "Human": { "IHCP-species-checked": "testedAndGuaranteed", "IHCP-species-dilution-info": "4-6 µg/mL", "IHCP-species-notes": "<p></p> Perform heat-mediated antigen retrieval with citrate buffer pH 6 before commencing with IHC staining protocol." }, "Mouse": { "IHCP-species-checked": "predicted", "IHCP-species-dilution-info": "", "IHCP-species-notes": "" }, "Cow": { "IHCP-species-checked": "predicted", "IHCP-species-dilution-info": "", "IHCP-species-notes": "" }, "Dog": { "IHCP-species-checked": "predicted", "IHCP-species-dilution-info": "", "IHCP-species-notes": "" }, "Pig": { "IHCP-species-checked": "predicted", "IHCP-species-dilution-info": "", "IHCP-species-notes": "" } } }

Properties and storage information

Form
Liquid
Purification technique
Affinity purification Immunogen
Purification notes
ab112886 was purified from Goat serum by ammonium sulphate precipitation followed by antigen affinity chromatography using the immunizing peptide.
Storage buffer
pH: 7.3 Preservative: 0.02% Sodium azide Constituents: 99% Tris buffered saline, 0.5% BSA
Shipped at conditions
Blue Ice
Appropriate short-term storage conditions
+4°C
Appropriate long-term storage conditions
-20°C
Aliquoting information
Upon delivery aliquot
Storage information
Avoid freeze / thaw cycle

Supplementary information

This supplementary information is collated from multiple sources and compiled automatically.

Semaphorin 3E also known as SEMA3E is a secreted protein with a molecular mass of about 90 kDa. It belongs to the semaphorin family which is characterized by a conserved sema domain. SEMA3E is highly expressed in a variety of tissues including the nervous system lungs and heart. Semaphorin 3E interacts with receptors such as Plexin-D1 to send signals that influence cellular processes like migration and adhesion.
Biological function summary

Semaphorin 3E contributes significantly to cell guidance and development within the nervous system. It plays a role in axon guidance by acting as a chemorepellent directing the growth of neurons to their appropriate targets. SEMA3E also forms functional complexes with neuropilins and plexins to exert its effects on vascular patterning and immune cell function. Furthermore it is involved in regulating angiogenesis influencing endothelial cell movement and blood vessel formation.

Pathways

The signaling net of Semaphorin 3E includes the axon guidance and angiogenesis pathways. Its relationship with Plexin-D1 is important for transducing repulsive axon guidance cues and modulating endothelial cell function within the vasculature. Additionally interactions with neuropilin-1 and neuropilin-2 enhance the protein's role in vascular development facilitating cross-talk with other signaling cascades like VEGF.

Semaphorin 3E has been linked to cancer progression and cardiovascular diseases. Aberrant expression or function of SEMA3E is often associated with tumor metastasis where it influences cancer cell invasion and dissemination. Its role in cardiovascular diseases is highlighted by its impact on blood vessel formation and remodeling which can contribute to conditions like atherosclerosis. Here its interactions with Plexin-D1 and neuropilins are of great interest as potential therapeutic targets.

Product protocols

For this product, it's our understanding that no specific protocols are required. You can visit:

Target data

Plays an important role in signaling via the cell surface receptor PLXND1. Mediates reorganization of the actin cytoskeleton, leading to the retraction of cell projections. Promotes focal adhesion disassembly and inhibits adhesion of endothelial cells to the extracellular matrix. Regulates angiogenesis, both during embryogenesis and after birth. Can down-regulate sprouting angiogenesis. Required for normal vascular patterning during embryogenesis. Plays an important role in ensuring the specificity of synapse formation (By similarity).
See full target information SEMA3E

Publications (2)

Recent publications for all applications. Explore the full list and refine your search

Cardiovascular research 113:1763-1775 PubMed29016743

2017

Semaphorin-3E attenuates neointimal formation via suppressing VSMCs migration and proliferation.

Applications

Unspecified application

Species

Unspecified reactive species

Jie-Hong Wu,Yanan Li,Yi-Fan Zhou,James Haslam,Opoku Nana Elvis,Ling Mao,Yuan-Peng Xia,Bo Hu

Arthritis research & therapy 17:221 PubMed26292963

2015

Plexin-D1/Semaphorin 3E pathway may contribute to dysregulation of vascular tone control and defective angiogenesis in systemic sclerosis.

Applications

IHC-P

Species

Human

Celestina Mazzotta,Eloisa Romano,Cosimo Bruni,Mirko Manetti,Gemma Lepri,Silvia Bellando-Randone,Jelena Blagojevic,Lidia Ibba-Manneschi,Marco Matucci-Cerinic,Serena Guiducci
View all publications

Product promise

We are committed to supporting your work with high-quality reagents, and we're here for you every step of the way. In the unlikely event that one of our products does not perform as expected, you're protected by our Product Promise.
For full details, please see our Terms & Conditions

Please note: All products are 'FOR RESEARCH USE ONLY. NOT FOR USE IN DIAGNOSTIC OR THERAPEUTIC PROCEDURES'.

For licensing inquiries, please contact partnerships@abcam.com