JavaScript is disabled in your browser. Please enable JavaScript to view this website.
AB203394

Anti-Semaphorin 3F antibody

Be the first to review this product! Submit a review

|

(1 Publication)

Rabbit Polyclonal Semaphorin 3F antibody. Suitable for IHC-P and reacts with Rat samples. Cited in 1 publication. Immunogen corresponding to Synthetic Peptide within Human SEMA3F aa 700 to C-terminus conjugated to Keyhole Limpet Haemocyanin.

View Alternative Names

Semaphorin-3F, Sema III/F, Semaphorin IV, Sema IV, SEMA3F

2 Images
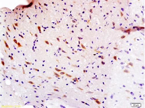
Immunohistochemistry (Formalin/PFA-fixed paraffin-embedded sections) - Anti-Semaphorin 3F antibody (AB203394)
  • IHC-P

Supplier Data

Immunohistochemistry (Formalin/PFA-fixed paraffin-embedded sections) - Anti-Semaphorin 3F antibody (AB203394)

Immunohistochemical analysis of formalin-fixed paraffin-embedded rat brain tissue labeling Semaphorin 3F with ab203394 at 1/200 dilution, followed by secondary antibody and DAB staining.

Immunohistochemistry (Formalin/PFA-fixed paraffin-embedded sections) - Anti-Semaphorin 3F antibody (AB203394)
  • IHC-P

Supplier Data

Immunohistochemistry (Formalin/PFA-fixed paraffin-embedded sections) - Anti-Semaphorin 3F antibody (AB203394)

Immunohistochemical analysis of formalin-fixed paraffin-embedded rat spleen tissue labeling Semaphorin 3F with ab203394 at 1/200 dilution, followed by secondary antibody and DAB staining.

Key facts

Host species

Rabbit

Clonality

Polyclonal

Isotype

IgG

Carrier free

No

Reacts with

Rat

Applications

IHC-P

applications

Immunogen

Synthetic Peptide within Human SEMA3F aa 700 to C-terminus conjugated to Keyhole Limpet Haemocyanin. The exact immunogen used to generate this antibody is proprietary information.

Q13275

Reactivity data

{ "title": "Reactivity Data", "filters": { "stats": ["", "Species", "Dilution Info", "Notes"], "tabs": { "all-applications": {"fullname" : "All Applications", "shortname": "All Applications"}, "IHCP" : {"fullname" : "Immunohistochemistry (Formalin/PFA-fixed paraffin-embedded sections)", "shortname":"IHC-P"} }, "product-promise": { "all": "all", "testedAndGuaranteed": "tested", "guaranteed": "expected", "predicted": "predicted", "notRecommended": "not-recommended" } }, "values": { "Human": { "IHCP-species-checked": "predicted", "IHCP-species-dilution-info": "", "IHCP-species-notes": "" }, "Mouse": { "IHCP-species-checked": "predicted", "IHCP-species-dilution-info": "", "IHCP-species-notes": "" }, "Rat": { "IHCP-species-checked": "testedAndGuaranteed", "IHCP-species-dilution-info": "1/100 - 1/500", "IHCP-species-notes": "<p>Use at 1/50 - 1/200 with fluorescent detection methods.</p> Perform heat-mediated antigen retrieval with citrate buffer pH 6 before commencing with IHC staining protocol." } } }

Properties and storage information

Form
Liquid
Purification technique
Affinity purification Protein A
Storage buffer
pH: 7.4 Preservative: 0.02% Proclin 300 Constituents: 50% Glycerol (glycerin, glycerine), 48.98% TBS, 1X, 1% BSA
Shipped at conditions
Blue Ice
Appropriate short-term storage duration
1-2 weeks
Appropriate short-term storage conditions
+4°C
Appropriate long-term storage conditions
-20°C
Aliquoting information
Upon delivery aliquot
Storage information
Avoid freeze / thaw cycle

Supplementary information

This supplementary information is collated from multiple sources and compiled automatically.

Semaphorin 3F also known as Sema3F is a secreted protein that functions as a guidance cue in various cellular processes. It has a molecular mass of approximately 88 kDa. Sema3F is a part of the class 3 semaphorins and is characterized by its sema domain PSI domain and Ig-like C2-type domain. It is expressed widely across multiple tissues including the nervous system lungs and heart. These expression patterns suggest a diverse role in both embryonic development and adult tissues.
Biological function summary

Semaphorin 3F plays an important role in axon guidance cell migration and angiogenesis. It mediates these effects through its interaction with neuropilin-2 and plexins forming functional receptor complexes on target cells. Particularly in the nervous system it repels axons helping to shape neural circuits. In the context of angiogenesis Sema3F limits new blood vessel formation by inhibiting endothelial cell movement thereby impacting vascular development.

Pathways

Semaphorin 3F engages in the axon guidance and VEGF signaling pathways. Through its participation in the axon guidance pathway it influences the migration and directionality of neuronal axons. Additionally in the VEGF pathway Sema3F interacts with proteins like VEGFR and neuropilins serving as an inhibitory element that counterbalances pro-angiogenic signals. These interactions help maintain the balance between promoting and inhibiting vessel formation.

The dysregulation or altered function of Semaphorin 3F has significant implications in cancer progression and neurological disorders. Reduced expression of Sema3F correlates with increased tumor growth and metastasis in cancers such as glioblastoma and lung cancer. In neurological disorders like epilepsy decreased Sema3F levels contribute to aberrant neural connectivity. Its interaction with related proteins such as neuropilin-2 and plexins highlights its clinical relevance and potential as a therapeutic target.

Product protocols

For this product, it's our understanding that no specific protocols are required. You can visit:

Target data

May play a role in cell motility and cell adhesion.
See full target information SEMA3F

Publications (1)

Recent publications for all applications. Explore the full list and refine your search

eLife 8: PubMed30735130

2019

Venous endothelin modulates responsiveness of cardiac sympathetic axons to arterial semaphorin.

Applications

Unspecified application

Species

Unspecified reactive species

Denise M Poltavski,Pauline Colombier,Jianxin Hu,Alicia Duron,Brian L Black,Takako Makita
View all publications

Product promise

We are committed to supporting your work with high-quality reagents, and we're here for you every step of the way. In the unlikely event that one of our products does not perform as expected, you're protected by our Product Promise.
For full details, please see our Terms & Conditions

Please note: All products are 'FOR RESEARCH USE ONLY. NOT FOR USE IN DIAGNOSTIC OR THERAPEUTIC PROCEDURES'.

For licensing inquiries, please contact partnerships@abcam.com