JavaScript is disabled in your browser. Please enable JavaScript to view this website.
AB307685

Anti-Semaphorin 4D/CD100 antibody [30/CD100]

Be the first to review this product! Submit a review

|

(1 Publication)

Mouse Recombinant Monoclonal Semaphorin 4D/CD100 antibody. Suitable for WB, IHC-P, ICC/IF, Flow Cyt (Intra) and reacts with Human, Mouse, Rat samples. Cited in 1 publication.

View Alternative Names

CD100, C9orf164, SEMAJ, SEMA4D, Semaphorin-4D, A8, BB18, GR3

10 Images
Immunohistochemistry (Formalin/PFA-fixed paraffin-embedded sections) - Anti-Semaphorin 4D/CD100 antibody [30/CD100] (AB307685)
  • IHC-P

Supplier Data

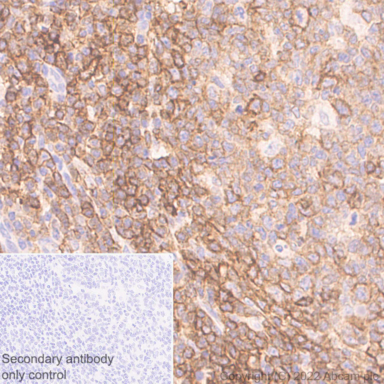
Immunohistochemistry (Formalin/PFA-fixed paraffin-embedded sections) - Anti-Semaphorin 4D/CD100 antibody [30/CD100] (AB307685)

Immunohistochemical analysis of paraffin-embedded human colon tissue labeling Semaphorin 4D/CD100 with ab307685 at 1/5000 dilution (0.1994 ug/ml) followed by a ready to use LeicaDS9800 (Bond® Polymer Refine Detection). Positive staining on human colon. The section was incubated with ab307685 for 30 mins at room temperature, followed by anti-mouse IgG2b antibody (ab190482) for 8 mins during the LeicaDS9800 kit staining procedure. The immunostaining was performed on a Leica Biosystems BOND® RX instrument. Counterstained with Hematoxylin. Secondary antibody only control : Secondary antibody is a ready to use LeicaDS9800 (Bond® Polymer Refine Detection). Heat mediated antigen retrieval was performed with Tris-EDTA buffer (pH 9.0, Epitope Retrieval Solution2) for 20 mins.

Immunocytochemistry/ Immunofluorescence - Anti-Semaphorin 4D/CD100 antibody [30/CD100] (AB307685)
  • ICC/IF

Supplier Data

Immunocytochemistry/ Immunofluorescence - Anti-Semaphorin 4D/CD100 antibody [30/CD100] (AB307685)

Immunofluorescent analysis of 4% Paraformaldehyde-fixed, 0.1%Triton X-100 permeabilized HDLM-2 (human Hodgkin lymphoma cell) cells labelling Semaphorin 4D/CD100 with ab307685 at 1/100 dilution (9.97 ug/ml), followed by ab150117 Goat Anti-Mouse IgG H&L (Alexa Fluor® 488) preadsorbed antibody at 1/1000 dilution (2 ug/ml) (Green). Confocal image showing membranous staining in HDLM-2 cell line, no staining was observed in PC-3 cell line. Negative control : PC-3 (PMID : 23775445). Image was taken with a confocal microscope(Leica-Microsystems, TCS SP8). ab206369 Anti-beta Tubulin rabbit monoclonal antibody (Alexa Fluor® 594) was used to counterstain tubulin at 1/200 dilution (2.5 ug/ml) (Red). The nuclear counterstain was DAPI (Blue). Secondary antibody only control : Secondary antibody is ab150117 Goat Anti-Mouse IgG H&L (Alexa Fluor® 488) preadsorbed at 1/1000 dilution (2 ug/ml).

Flow Cytometry (Intracellular) - Anti-Semaphorin 4D/CD100 antibody [30/CD100] (AB307685)
  • Flow Cyt (Intra)

Supplier Data

Flow Cytometry (Intracellular) - Anti-Semaphorin 4D/CD100 antibody [30/CD100] (AB307685)

Flow cytometric analysis of 4% paraformaldehyde fixed 90% methanol permeabilized PC-3 (human prostate adenocarcinoma epithelial cell) (Left panel) compared to HDLM-2 (human Hodgkin lymphoma cell) (Right panel) cells labelling Semaphorin 4D/CD100 with ab307685 at 1/1000 dilution (0.1ug) (Red) compared with a Mouse monoclonal IgG (Black) isotype control and an unlabelled control (cells without incubation with primary antibody and secondary antibody) (Blue). A Goat anti-Mouse IgG (Alexa Fluor® 488, ab150113) at 1/2000 dilution was used as the secondary antibody. Negative control : PC-3 (PMID : 23775445).

Immunohistochemistry (Formalin/PFA-fixed paraffin-embedded sections) - Anti-Semaphorin 4D/CD100 antibody [30/CD100] (AB307685)
  • IHC-P

Supplier Data

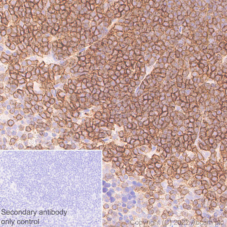
Immunohistochemistry (Formalin/PFA-fixed paraffin-embedded sections) - Anti-Semaphorin 4D/CD100 antibody [30/CD100] (AB307685)

Immunohistochemical analysis of paraffin-embedded human tonsil tissue labeling Semaphorin 4D/CD100 with ab307685 at 1/5000 dilution (0.1994 ug/ml) followed by ready to use LeicaDS9800 (Bond® Polymer Refine Detection). Positive staining on human tonsil. The section was incubated with ab307685 for 30 mins at room temperature, followed by anti-mouse IgG2b antibody (ab190482) for 8 mins during the LeicaDS9800 kit staining procedure. The immunostaining was performed on a Leica Biosystems BOND® RX instrument. Counterstained with Hematoxylin. Secondary antibody only control : Secondary antibody is a ready to use LeicaDS9800 (Bond® Polymer Refine Detection). Heat mediated antigen retrieval was performed with Tris-EDTA buffer (pH 9.0, Epitope Retrieval Solution2) for 20 mins.

Immunohistochemistry (Formalin/PFA-fixed paraffin-embedded sections) - Anti-Semaphorin 4D/CD100 antibody [30/CD100] (AB307685)
  • IHC-P

Supplier Data

Immunohistochemistry (Formalin/PFA-fixed paraffin-embedded sections) - Anti-Semaphorin 4D/CD100 antibody [30/CD100] (AB307685)

Immunohistochemical analysis of paraffin-embedded rat spleen tissue labeling Semaphorin 4D/CD100 with ab307685 at 1/5000 dilution (0.1994 ug/ml) followed by a ready to use LeicaDS9800 (Bond® Polymer Refine Detection). Positive staining on rat spleen. The section was incubated with ab307685 for 30 mins at room temperature, followed by anti-mouse IgG2b antibody (ab190482) for 8 mins during the LeicaDS9800 kit staining procedure. The immunostaining was performed on a Leica Biosystems BOND® RX instrument. Counterstained with Hematoxylin. Secondary antibody only control : Secondary antibody is a ready to use LeicaDS9800 (Bond® Polymer Refine Detection). Heat mediated antigen retrieval was performed with Tris-EDTA buffer (pH 9.0, Epitope Retrieval Solution2) for 20 mins.

Immunohistochemistry (Formalin/PFA-fixed paraffin-embedded sections) - Anti-Semaphorin 4D/CD100 antibody [30/CD100] (AB307685)
  • IHC-P

Supplier Data

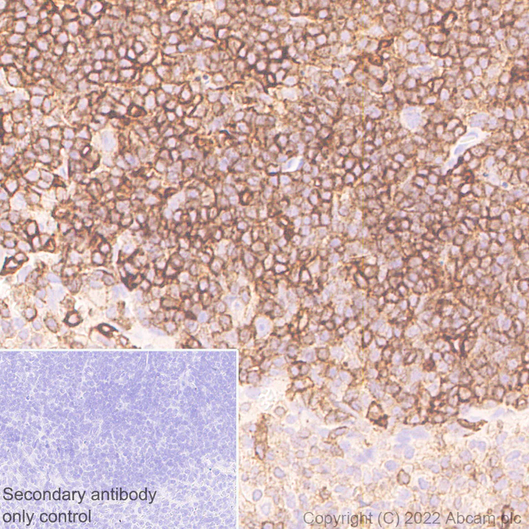
Immunohistochemistry (Formalin/PFA-fixed paraffin-embedded sections) - Anti-Semaphorin 4D/CD100 antibody [30/CD100] (AB307685)

Immunohistochemical analysis of paraffin-embedded mouse spleen tissue labeling Semaphorin 4D/CD100 with ab307685 at 1/5000 dilution (0.1994 ug/ml) followed by a ready to use LeicaDS9800 (Bond® Polymer Refine Detection). Positive staining on mouse spleen. The section was incubated with ab307685 for 30 mins at room temperature, followed by anti-mouse IgG2b antibody (ab190482) for 8 mins during the LeicaDS9800 kit staining procedure. The immunostaining was performed on a Leica Biosystems BOND® RX instrument. Counterstained with Hematoxylin. Secondary antibody only control : Secondary antibody is a ready to use LeicaDS9800 (Bond® Polymer Refine Detection). Heat mediated antigen retrieval was performed with Tris-EDTA buffer (pH 9.0, Epitope Retrieval Solution2) for 20 mins.

Western blot - Anti-Semaphorin 4D/CD100 antibody [30/CD100] (AB307685)
  • WB

Supplier Data

Western blot - Anti-Semaphorin 4D/CD100 antibody [30/CD100] (AB307685)

Blocking buffer : 5% NFDM/TBST. Exposure time : Lane 1, 2 : 15 seconds; Lane 3 : 3 seconds. The expression molecular weight observed is consistent with what has been described in the literature (PMID : 17244710; PMID : 24841081). Band around 25kDa was cleavage fragment(PMID : 17244710). Lysate in Lane 3 was freshly made and used immediately to minimize protein degradation. In Western blot, anti-GAPDH antibody (ab181602) loading control staining at 1/200000 dilution. Observed MW(kDa) 150,120, 25

All lanes:

Western blot - Anti-Semaphorin 4D/CD100 antibody [30/CD100] (ab307685) at 1/1000 dilution

Lane 1:

Untreated HDLM-2 (human Hodgkin lymphoma) whole cell lysate at 20 µg

Lane 2:

HDLM-2 whole cell lysate treated with Protein Deglycosylation MIXII at 20 µg

Lane 3:

HDLM-2 whole cell lysate at 20 µg

Secondary

All lanes:

Peroxidase-Conjugated Goat anti-Mouse IgG (H+L) at 1/10000 dilution

Predicted band size: 96 kDa

false

Western blot - Anti-Semaphorin 4D/CD100 antibody [30/CD100] (AB307685)
  • WB

Supplier Data

Western blot - Anti-Semaphorin 4D/CD100 antibody [30/CD100] (AB307685)

Blocking buffer : 5% NFDM/TBST. Exposure time : 15 seconds. Negative control : PC-3 (PMID : 23775445). The expression molecular weight observed is consistent with what has been described in the literature (PMID : 17244710; PMID : 24841081). Band around 25kDa was cleavage fragment(PMID : 17244710). In Western blot, anti-GAPDH antibody (ab181602) loading control staining at 1/200000 dilution. Observed MW(kDa) 150,120, 25

All lanes:

Western blot - Anti-Semaphorin 4D/CD100 antibody [30/CD100] (ab307685) at 1/1000 dilution

Lane 1:

HDLM-2 (human Hodgkin lymphoma) whole cell lysate at 20 µg

Lane 2:

PC-3 (human prostate adenocarcinoma epithelial cell) whole cell lysate at 20 µg

Secondary

All lanes:

Peroxidase-Conjugated Goat anti-Mouse IgG (H+L) at 1/10000 dilution

Predicted band size: 96 kDa

false

Western blot - Anti-Semaphorin 4D/CD100 antibody [30/CD100] (AB307685)
  • WB

Supplier Data

Western blot - Anti-Semaphorin 4D/CD100 antibody [30/CD100] (AB307685)

Blocking buffer : 5% NFDM/TBST. Exposure time : Lane 1-3 : 15 seconds; Lane 4 : 3 seconds. Band around 25kDa was cleavage fragment(PMID : 17244710). Observed MW(kDa) 150,120, 25

All lanes:

Western blot - Anti-Semaphorin 4D/CD100 antibody [30/CD100] (ab307685) at 1/1000 dilution

Lane 1:

Daudi (human Burkitt’s lymphoma lymphoblast) whole cell lysate at 20 µg

Lane 2:

EL4.IL-2 (mouse lymphoma T lymphocyte) whole cell lysate at 20 µg

Lane 3:

Mouse thymus tissue lysate at 20 µg

Secondary

All lanes:

Peroxidase-Conjugated Goat anti-Mouse IgG (H+L) at 1/10000 dilution

Predicted band size: 96 kDa

false

Western blot - Anti-Semaphorin 4D/CD100 antibody [30/CD100] (AB307685)
  • WB

Lab

Western blot - Anti-Semaphorin 4D/CD100 antibody [30/CD100] (AB307685)

Western blot : Anti-SEMA4D antibody [30/CD100] (ab307685) staining at 1/1000 dilution, shown in green; Rabbit anti-alpha Tubulin antibody [EP1332Y] (ab52866) loading control staining at 1/20000 dilution, shown in magenta. In Western blot, ab307685 was shown to bind specifically to SEMA4D. A band was observed at 90-120 kDa in wild-type HCT 116 cell lysates with no signal observed at this size in SEMA4D knockout cell line. To generate this image, wild-type and SEMA4D knockout HCT 116 cell lysates were analysed. First, samples were run on an SDS-PAGE gel then transferred onto a nitrocellulose membrane. Membranes were blocked in fluorescent western blot (TBS-based) blocking solution before incubation with primary antibodies overnight at 4 °C. Blots were washed four times in TBS-T, incubated with secondary antibodies for 1 h at room temperature, washed again four times then imaged. Secondary antibodies used were Goat anti-Mouse IgG H&L 800CW and Goat anti-Rabbit IgG H&L 680RD at 1/20000 dilution.

All lanes:

Western blot - Anti-Semaphorin 4D/CD100 antibody [30/CD100] (ab307685) at 1/1000 dilution

Lane 1:

Wild-type HCT 116 cell lysate at 20 µg

Lane 2:

Western blot - Human SEMA4D knockout HCT116 cell line (<a href='/en-us/products/cell-lines/human-sema4d-knockout-hct116-cell-line-ab289144'>ab289144</a>)

Lane 2:

SEMA4D knockout HCT 116 cell lysate at 20 µg

Lane 3:

HDLM-2 UNBOILED cell lysate at 20 µg

Lane 4:

PC-3 UNBOILED cell lysate at 20 µg

Secondary

Lanes 1 - 4:

Goat anti-Mouse IgG H&L 800CW at 1/20000 dilution

Lanes 1 - 4:

Goat anti-Rabbit IgG H&L 680RD at 1/20000 dilution

Observed band size: 90-120 kDa

false

  • Carrier free

    Anti-Semaphorin 4D/CD100 antibody [30/CD100] - BSA and Azide free

Key facts

Host species

Mouse

Clonality

Monoclonal

Clone number

30/CD100

Isotype

IgG2b

Carrier free

No

Reacts with

Human, Mouse, Rat

Applications

IHC-P, WB, ICC/IF, Flow Cyt (Intra)

applications

Immunogen

The exact immunogen used to generate this antibody is proprietary information.

Reactivity data

{ "title": "Reactivity Data", "filters": { "stats": ["", "Species", "Dilution Info", "Notes"], "tabs": { "all-applications": {"fullname" : "All Applications", "shortname": "All Applications"}, "WB" : {"fullname" : "Western blot", "shortname":"WB"}, "IHCP" : {"fullname" : "Immunohistochemistry (Formalin/PFA-fixed paraffin-embedded sections)", "shortname":"IHC-P"}, "ICCIF" : {"fullname" : "Immunocytochemistry/ Immunofluorescence", "shortname":"ICC/IF"}, "FlowCytIntra" : {"fullname" : "Flow Cytometry (Intracellular)", "shortname":"Flow Cyt (Intra)"} }, "product-promise": { "all": "all", "testedAndGuaranteed": "tested", "guaranteed": "expected", "predicted": "predicted", "notRecommended": "not-recommended" } }, "values": { "Human": { "WB-species-checked": "testedAndGuaranteed", "WB-species-dilution-info": "1/1000", "WB-species-notes": "<p></p>", "IHCP-species-checked": "testedAndGuaranteed", "IHCP-species-dilution-info": "1/100", "IHCP-species-notes": "<p></p> Perform heat-mediated antigen retrieval with Tris/EDTA buffer pH 9.0 before commencing with IHC staining protocol.", "ICCIF-species-checked": "testedAndGuaranteed", "ICCIF-species-dilution-info": "1/100", "ICCIF-species-notes": "<p></p>", "FlowCytIntra-species-checked": "testedAndGuaranteed", "FlowCytIntra-species-dilution-info": "1/1000", "FlowCytIntra-species-notes": "<p></p>" }, "Mouse": { "WB-species-checked": "testedAndGuaranteed", "WB-species-dilution-info": "1/1000", "WB-species-notes": "<p></p>", "IHCP-species-checked": "testedAndGuaranteed", "IHCP-species-dilution-info": "1/100", "IHCP-species-notes": "<p></p> Perform heat-mediated antigen retrieval with Tris/EDTA buffer pH 9.0 before commencing with IHC staining protocol.", "ICCIF-species-checked": "guaranteed", "ICCIF-species-dilution-info": "", "ICCIF-species-notes": "", "FlowCytIntra-species-checked": "guaranteed", "FlowCytIntra-species-dilution-info": "", "FlowCytIntra-species-notes": "" }, "Rat": { "WB-species-checked": "notRecommended", "WB-species-dilution-info": "1/1000", "WB-species-notes": "<p></p>", "IHCP-species-checked": "testedAndGuaranteed", "IHCP-species-dilution-info": "1/100", "IHCP-species-notes": "<p></p> Perform heat-mediated antigen retrieval with Tris/EDTA buffer pH 9.0 before commencing with IHC staining protocol.", "ICCIF-species-checked": "guaranteed", "ICCIF-species-dilution-info": "", "ICCIF-species-notes": "", "FlowCytIntra-species-checked": "guaranteed", "FlowCytIntra-species-dilution-info": "", "FlowCytIntra-species-notes": "" } } }

Product details

Want a custom formulation?
This antibody clone is manufactured by Abcam. If you require a custom buffer formulation or conjugation for your experiments, please contact orders@abcam.com

What are the advantages of a recombinant monoclonal antibody?
This product is a recombinant monoclonal antibody, which offers several advantages including:

  • - High batch-to-batch consistency and reproducibility
  • - Improved sensitivity and specificity
  • - Long-term security of supply
  • - Animal-free batch production

For more information, read more on recombinant antibodies.

Properties and storage information

Form
Liquid
Purification technique
Affinity purification Protein A
Storage buffer
pH: 7.2 - 7.4 Preservative: 0.01% Sodium azide Constituents: PBS, 40% Glycerol (glycerin, glycerine), 0.05% BSA
Shipped at conditions
Blue Ice
Appropriate short-term storage duration
1-2 weeks
Appropriate short-term storage conditions
+4°C
Appropriate long-term storage conditions
-20°C
Aliquoting information
Upon delivery aliquot
Storage information
Avoid freeze / thaw cycle

Supplementary information

This supplementary information is collated from multiple sources and compiled automatically.

Semaphorin 4D also known as CD100 is a transmembrane protein that plays important roles in cellular signaling. It belongs to the semaphorin protein family known for their role in axonal guidance. CD100 has a molecular mass of approximately 150 kDa. This protein expresses mainly in the immune system including T cells and B cells but can also be found in certain neurons and endothelial cells. It can exist in both a membrane-bound form and a soluble form which arise from proteolytic cleavage.
Biological function summary

CD100 influences various cellular functions by interacting with multiple receptors such as Plexin-B1 and CD72 as part of a larger signaling complex. It contributes to immune response regulation by promoting T-cell activation and B-cell aggregation which are essential for adaptive immunity. In the nervous system it guides neural development including axon growth and synaptic plasticity. CD100's interaction with Plexin-B1 plays a significant role in these developmental processes often affecting cell morphology and movement.

Pathways

Semaphorin 4D is involved in both immune and neural signaling pathways. In the immune system it influences the PI3K-Akt signaling pathway which impacts cell survival and immune cell activation. It associates with pathways involving Plexin-B1 and RhoA to regulate cytoskeletal dynamics affecting cell motility and growth. Additionally CD100's role in neural pathways intersects with proteins like neuropilin-1 influencing semaphorin-mediated signaling essential for neural connectivity.

Semaphorin 4D has links to cancer and autoimmune diseases. High expression levels of CD100 are observed in several tumor types where it might promote tumor growth and metastasis through its signaling pathways. In autoimmune conditions like multiple sclerosis CD100 affects immune cell interactions and can exacerbate inflammatory responses. Its involvement with proteins such as CD72 and Plexin-B1 in these conditions highlights its contribution to pathogenesis and potential as a therapeutic target.

Product protocols

For this product, it's our understanding that no specific protocols are required. You can visit:

Target data

Cell surface receptor for PLXNB1 and PLXNB2 that plays an important role in cell-cell signaling (PubMed : 20877282). Regulates GABAergic synapse development (By similarity). Promotes the development of inhibitory synapses in a PLXNB1-dependent manner (By similarity). Modulates the complexity and arborization of developing neurites in hippocampal neurons by activating PLXNB1 and interaction with PLXNB1 mediates activation of RHOA (PubMed : 19788569). Promotes the migration of cerebellar granule cells (PubMed : 16055703). Plays a role in the immune system; induces B-cells to aggregate and improves their viability (in vitro) (PubMed : 8876214). Induces endothelial cell migration through the activation of PTK2B/PYK2, SRC, and the phosphatidylinositol 3-kinase-AKT pathway (PubMed : 16055703).
See full target information SEMA4D

Publications (1)

Recent publications for all applications. Explore the full list and refine your search

Journal of cellular and molecular medicine 28:e70142 PubMed39443302

2024

PLXNB1/SEMA4D signals mediate interactions between malignant epithelial and immune cells to promote colorectal cancer liver metastasis.

Applications

Unspecified application

Species

Unspecified reactive species

Zixue Xuan,Yuan Zhang,Dan Li,Kai Wang,Ping Huang,Jiana Shi
View all publications

Product promise

We are committed to supporting your work with high-quality reagents, and we're here for you every step of the way. In the unlikely event that one of our products does not perform as expected, you're protected by our Product Promise.
For full details, please see our Terms & Conditions

Please note: All products are 'FOR RESEARCH USE ONLY. NOT FOR USE IN DIAGNOSTIC OR THERAPEUTIC PROCEDURES'.

For licensing inquiries, please contact partnerships@abcam.com