JavaScript is disabled in your browser. Please enable JavaScript to view this website.
AB231961

Anti-Semaphorin 4D/CD100 antibody

Be the first to review this product! Submit a review

|

(3 Publications)

Rabbit Polyclonal Semaphorin 4D/CD100 antibody. Suitable for WB, IHC-P and reacts with Mouse samples. Cited in 3 publications. Immunogen corresponding to Recombinant Fragment Protein within Mouse Sema4d aa 500-650.

View Alternative Names

CD100, Semacl2, Semaj, Sema4d, Semaphorin-4D, M-Sema G, Semaphorin-C-like 2, Semaphorin-J, Sema J

3 Images
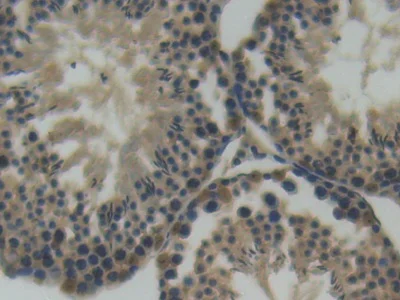
Immunohistochemistry (Formalin/PFA-fixed paraffin-embedded sections) - Anti-Semaphorin 4D/CD100 antibody (AB231961)
  • IHC-P

Supplier Data

Immunohistochemistry (Formalin/PFA-fixed paraffin-embedded sections) - Anti-Semaphorin 4D/CD100 antibody (AB231961)

Formalin-fixed, paraffin-embedded mouse testis tissue stained for Semaphorin 4D/CD100 using ab231961 at 20 μg/ml in immunohistochemical analysis. DAB staining.

Western blot - Anti-Semaphorin 4D/CD100 antibody (AB231961)
  • WB

Supplier Data

Western blot - Anti-Semaphorin 4D/CD100 antibody (AB231961)

All lanes:

Western blot - Anti-Semaphorin 4D/CD100 antibody (ab231961) at 1 µg/mL

All lanes:

Mouse serum

Predicted band size: 96 kDa

false

Western blot - Anti-Semaphorin 4D/CD100 antibody (AB231961)
  • WB

Supplier Data

Western blot - Anti-Semaphorin 4D/CD100 antibody (AB231961)

All lanes:

Western blot - Anti-Semaphorin 4D/CD100 antibody (ab231961) at 1 µg/mL

All lanes:

Recombinant mouse Semaphorin 4D/CD100 protein

Predicted band size: 96 kDa

false

Key facts

Host species

Rabbit

Clonality

Polyclonal

Isotype

IgG

Carrier free

No

Reacts with

Mouse

Applications

WB, IHC-P

applications

Immunogen

Recombinant Fragment Protein within Mouse Sema4d aa 500-650. The exact immunogen used to generate this antibody is proprietary information.

O09126

Reactivity data

{ "title": "Reactivity Data", "filters": { "stats": ["", "Species", "Dilution Info", "Notes"], "tabs": { "all-applications": {"fullname" : "All Applications", "shortname": "All Applications"}, "WB" : {"fullname" : "Western blot", "shortname":"WB"}, "IHCP" : {"fullname" : "Immunohistochemistry (Formalin/PFA-fixed paraffin-embedded sections)", "shortname":"IHC-P"} }, "product-promise": { "all": "all", "testedAndGuaranteed": "tested", "guaranteed": "expected", "predicted": "predicted", "notRecommended": "not-recommended" } }, "values": { "Mouse": { "WB-species-checked": "testedAndGuaranteed", "WB-species-dilution-info": "0.2-2 µg/mL", "WB-species-notes": "<p></p>", "IHCP-species-checked": "testedAndGuaranteed", "IHCP-species-dilution-info": "5-20 µg/mL", "IHCP-species-notes": "<p></p>" } } }

Properties and storage information

Form
Liquid
Purification technique
Affinity purification Immunogen
Purification notes
Antigen-specific affinity chromatography followed by Protein A affinity chromatography.
Storage buffer
pH: 7.4 Preservative: 0.02% Sodium azide Constituents: PBS, 55.77% Glycerol (glycerin, glycerine)
Shipped at conditions
Blue Ice
Appropriate short-term storage duration
1-2 weeks
Appropriate short-term storage conditions
+4°C
Appropriate long-term storage conditions
-20°C
Aliquoting information
Upon delivery aliquot
Storage information
Avoid freeze / thaw cycle

Supplementary information

This supplementary information is collated from multiple sources and compiled automatically.

Semaphorin 4D also known as CD100 is a transmembrane protein that plays important roles in cellular signaling. It belongs to the semaphorin protein family known for their role in axonal guidance. CD100 has a molecular mass of approximately 150 kDa. This protein expresses mainly in the immune system including T cells and B cells but can also be found in certain neurons and endothelial cells. It can exist in both a membrane-bound form and a soluble form which arise from proteolytic cleavage.
Biological function summary

CD100 influences various cellular functions by interacting with multiple receptors such as Plexin-B1 and CD72 as part of a larger signaling complex. It contributes to immune response regulation by promoting T-cell activation and B-cell aggregation which are essential for adaptive immunity. In the nervous system it guides neural development including axon growth and synaptic plasticity. CD100's interaction with Plexin-B1 plays a significant role in these developmental processes often affecting cell morphology and movement.

Pathways

Semaphorin 4D is involved in both immune and neural signaling pathways. In the immune system it influences the PI3K-Akt signaling pathway which impacts cell survival and immune cell activation. It associates with pathways involving Plexin-B1 and RhoA to regulate cytoskeletal dynamics affecting cell motility and growth. Additionally CD100's role in neural pathways intersects with proteins like neuropilin-1 influencing semaphorin-mediated signaling essential for neural connectivity.

Semaphorin 4D has links to cancer and autoimmune diseases. High expression levels of CD100 are observed in several tumor types where it might promote tumor growth and metastasis through its signaling pathways. In autoimmune conditions like multiple sclerosis CD100 affects immune cell interactions and can exacerbate inflammatory responses. Its involvement with proteins such as CD72 and Plexin-B1 in these conditions highlights its contribution to pathogenesis and potential as a therapeutic target.

Product protocols

For this product, it's our understanding that no specific protocols are required. You can visit:

Target data

Cell surface receptor for PLXNB1 and PLXNB2 that plays an important role in cell-cell signaling (By similarity). Regulates GABAergic synapse development (PubMed : 23699507, PubMed : 29981480). Promotes the development of inhibitory synapses in a PLXNB1-dependent manner (PubMed : 23699507, PubMed : 29981480). Modulates the complexity and arborization of developing neurites in hippocampal neurons by activating PLXNB1 and interaction with PLXNB1 mediates activation of RHOA (By similarity). Promotes the migration of cerebellar granule cells (PubMed : 17554007). Plays a role in the immune system; induces B-cells to aggregate and improves their viability (in vitro) (By similarity). Induces endothelial cell migration through the activation of PTK2B/PYK2, SRC, and the phosphatidylinositol 3-kinase-AKT pathway (By similarity).
See full target information Sema4d

Publications (3)

Recent publications for all applications. Explore the full list and refine your search

Nature communications 16:2821 PubMed40121188

2025

Smoking aggravates neovascular age-related macular degeneration via Sema4D-PlexinB1 axis-mediated activation of pericytes.

Applications

Unspecified application

Species

Unspecified reactive species

Kai He,Xue Dong,Tianjing Yang,Ziqi Li,Yuming Liu,Jing He,Meng Wu,Selena Wei-Zhang,Parhat Kaysar,Bohao Cui,Xueming Yao,Li Zhang,Wei Zhou,Heping Xu,Jun Wei,Qiang Liu,Junhao Hu,Xiaohong Wang,Hua Yan

Communications biology 4:344 PubMed33727658

2021

Adiponectin-expressing Treg facilitate T lymphocyte development in thymic nurse cell complexes.

Applications

Unspecified application

Species

Unspecified reactive species

Yiwei Zhang,Handi Cao,Jie Chen,Yuanxin Li,Aimin Xu,Yu Wang

International immunopharmacology 67:220-230 PubMed30562683

2018

Semaphoring 4D is required for the induction of antioxidant stress and anti-inflammatory effects of dihydromyricetin in colon cancer.

Applications

Unspecified application

Species

Unspecified reactive species

Jun Liang,Jing Wu,Fei Wang,Pengfei Zhang,Xuemei Zhang
View all publications

Product promise

We are committed to supporting your work with high-quality reagents, and we're here for you every step of the way. In the unlikely event that one of our products does not perform as expected, you're protected by our Product Promise.
For full details, please see our Terms & Conditions

Please note: All products are 'FOR RESEARCH USE ONLY. NOT FOR USE IN DIAGNOSTIC OR THERAPEUTIC PROCEDURES'.

For licensing inquiries, please contact partnerships@abcam.com