JavaScript is disabled in your browser. Please enable JavaScript to view this website.
AB134128

Anti-Semaphorin 4D/CD100 antibody [EP3569]

Be the first to review this product! Submit a review

|

(10 Publications)

Knockout Tested Rabbit Recombinant Monoclonal Semaphorin 4D/CD100 antibody. Suitable for WB, ICC/IF, IHC-P and reacts with Human samples. Cited in 10 publications.

View Alternative Names

CD100, C9orf164, SEMAJ, SEMA4D, Semaphorin-4D, A8, BB18, GR3

8 Images
Immunocytochemistry/ Immunofluorescence - Anti-Semaphorin 4D/CD100 antibody [EP3569] (AB134128)
  • ICC/IF

Lab

Immunocytochemistry/ Immunofluorescence - Anti-Semaphorin 4D/CD100 antibody [EP3569] (AB134128)

Immunocytochemistry/ Immunofluorescence analysis of Jurkat (Human T cell leukemia cell line from peripheral blood) cells labeling Semaphorin 4D/CD100 with Purified ab134128 at 1 : 250 dilution (4.8μg/ml). Cells were fixed in 4% Paraformaldehyde and permeabilized with 0.1% tritonX-100. Cells were counterstained with ab195889 Anti-alpha Tubulin antibody [DM1A] - Microtubule Marker (Alexa Fluor® 594) 1 : 200 (2.5 μg/ml). ab150077 Goat anti rabbit IgG(Alexa Fluor® 488) was used as the secondary antibody at 1 : 1000 dilution. DAPI nuclear counterstain. PBS instead of the primary antibody was used as the secondary antibody only control.

Immunohistochemistry (Formalin/PFA-fixed paraffin-embedded sections) - Anti-Semaphorin 4D/CD100 antibody [EP3569] (AB134128)
  • IHC-P

Unknown

Immunohistochemistry (Formalin/PFA-fixed paraffin-embedded sections) - Anti-Semaphorin 4D/CD100 antibody [EP3569] (AB134128)

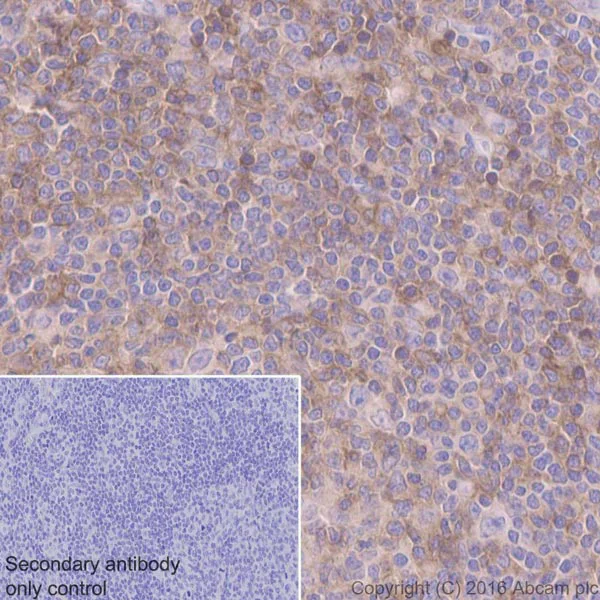
Immunohistochemical analysis of paraffin embedded Human tonsil tissue labelling Semaphorin 4D/CD100 with ab134128 at 1/100 dilution

Immunohistochemistry (Formalin/PFA-fixed paraffin-embedded sections) - Anti-Semaphorin 4D/CD100 antibody [EP3569] (AB134128)
  • IHC-P

Lab

Immunohistochemistry (Formalin/PFA-fixed paraffin-embedded sections) - Anti-Semaphorin 4D/CD100 antibody [EP3569] (AB134128)

Immunohistochemistry (Formalin/PFA-fixed paraffin-embedded sections) analysis of Human tonsil tissue sections labeling Semaphorin 4D/CD100 with Purified ab134128 at 1 : 120 dilution (10 μg/ml). Heat mediated antigen retrieval was performed using EDTA Buffer PH9. Tissue was counterstained with Hematoxylin. ImmunoHistoProbe one step HRP Polymer (ready to use) secondary antibody was used at 1 : 0 dilution. PBS instead of the primary antibody was used as the negative control.

Immunohistochemistry (Formalin/PFA-fixed paraffin-embedded sections) - Anti-Semaphorin 4D/CD100 antibody [EP3569] (AB134128)
  • IHC-P

Unknown

Immunohistochemistry (Formalin/PFA-fixed paraffin-embedded sections) - Anti-Semaphorin 4D/CD100 antibody [EP3569] (AB134128)

Immunohistochemical analysis of paraffin embedded Human colon tissue labelling Semaphorin 4D/CD100 using ab134128 at 1/100 dilution. Positive staining of lymphocytes inclusion.

Western blot - Anti-Semaphorin 4D/CD100 antibody [EP3569] (AB134128)
  • WB

Unknown

Western blot - Anti-Semaphorin 4D/CD100 antibody [EP3569] (AB134128)

HRP labelled goat anti rabbit secondary antibody used at 1/2000 dilution

All lanes:

Western blot - Anti-Semaphorin 4D/CD100 antibody [EP3569] (ab134128) at 1/1000 dilution

Lane 1:

Camptothecin treated Jurkat cell lysate at 10 µg

Lane 2:

Jurkat cell lysate at 10 µg

Lane 3:

Human spleen lysate at 10 µg

Lane 4:

Human fetal kidney lysate at 10 µg

Predicted band size: 96 kDa

false

Western blot - Anti-Semaphorin 4D/CD100 antibody [EP3569] (AB134128)
  • WB

Lab

Western blot - Anti-Semaphorin 4D/CD100 antibody [EP3569] (AB134128)

Western blot : Anti-SEMA4D antibody [EP3569] (ab134128) staining at 1/2000 dilution, shown in green; Mouse anti-Alpha Tubulin [DM1A] (ab7291) loading control staining at 1/20000 dilution, shown in magenta. In Western blot, ab134128 was shown to bind specifically to SEMA4D. A band was observed at 90-120 kDa in wild-type HCT 116 cell lysates with no signal observed at this size in SEMA4D knockout cell line. To generate this image, wild-type and SEMA4D knockout HCT 116 cell lysates were analysed. First, samples were run on an SDS-PAGE gel then transferred onto a nitrocellulose membrane. Membranes were blocked in 3 % milk in TBS-0.1 % Tween® 20 (TBS-T) before incubation with primary antibodies overnight at 4 °C. Blots were washed four times in TBS-T, incubated with secondary antibodies for 1 h at room temperature, washed again four times then imaged. Secondary antibodies used were Goat anti-Rabbit IgG H&L 800CW and Goat anti-Mouse IgG H&L 680RD at 1/20000 dilution.

All lanes:

Western blot - Anti-Semaphorin 4D/CD100 antibody [EP3569] (ab134128) at 1/2000 dilution

Lane 1:

Wild-type HCT 116 cell lysate at 20 µg

Lane 2:

Western blot - Human SEMA4D knockout HCT116 cell line (<a href='/en-us/products/cell-lines/human-sema4d-knockout-hct116-cell-line-ab289144'>ab289144</a>)

Lane 2:

SEMA4D knockout HCT 116 cell lysate at 20 µg

Lane 3:

HDLM-2 UNBOILED cell lysate at 20 µg

Lane 4:

PC-3 UNBOILED cell lysate at 20 µg

Secondary

Lanes 1 - 4:

Goat anti-Rabbit IgG H&L 800CW at 1/20000 dilution

Lanes 1 - 4:

Goat anti-Mouse IgG H&L 680RD at 1/20000 dilution

Observed band size: 90-120 kDa

false

Western blot - Anti-Semaphorin 4D/CD100 antibody [EP3569] (AB134128)
  • WB

Lab

Western blot - Anti-Semaphorin 4D/CD100 antibody [EP3569] (AB134128)

Western blot : Anti-SEMA4D antibody [EP3569] (ab134128) staining at 1/2000 dilution, shown in green; Mouse anti-Alpha Tubulin [DM1A] (ab7291) loading control staining at 1/20000 dilution, shown in magenta. In Western blot, ab134128 was shown to bind specifically to SEMA4D. A band was observed at 95-100 kDa in wild-type A549 cell lysates with no signal observed at this size in SEMA4D knockout cell line. To generate this image, wild-type and SEMA4D knockout A549 cell lysates were analysed. First, samples were run on an SDS-PAGE gel then transferred onto a nitrocellulose membrane. Membranes were blocked in 3 % milk in TBS-0.1 % Tween® 20 (TBS-T) before incubation with primary antibodies overnight at 4 °C. Blots were washed four times in TBS-T, incubated with secondary antibodies for 1 h at room temperature, washed again four times then imaged. Secondary antibodies used were Goat anti-Rabbit IgG H&L 800CW and Goat anti-Mouse IgG H&L 680RD at 1/20000 dilution.

All lanes:

Western blot - Anti-Semaphorin 4D/CD100 antibody [EP3569] (ab134128) at 1/2000 dilution

Lane 1:

Wild-type A549 cell lysate at 40 µg

Lane 2:

SEMA4D knockout A549 cell lysate at 40 µg

Lane 3:

HDLM-2 cell lysate at 20 µg

Lane 4:

PC-3 cell lysate at 20 µg

Secondary

All lanes:

Goat anti-Rabbit IgG H&L 800CW and Goat anti-Mouse IgG H&L 680RD at 1/20000 dilution

false

Western blot - Anti-Semaphorin 4D/CD100 antibody [EP3569] (AB134128)
  • WB

Unknown

Western blot - Anti-Semaphorin 4D/CD100 antibody [EP3569] (AB134128)

Blocking and diluting buffer : 5% NFDM/TBST

All lanes:

Western blot - Anti-Semaphorin 4D/CD100 antibody [EP3569] (ab134128) at 0.2 µg/mL

All lanes:

SH-SY5Y (Human neuroblastoma epithelial cell) whole cell lysate at 20 µg

Secondary

All lanes:

Western blot - Goat Anti-Rabbit IgG H&L (HRP) (<a href='/en-us/products/secondary-antibodies/goat-rabbit-igg-h-l-hrp-ab97051'>ab97051</a>) at 1/100000 dilution

Predicted band size: 96 kDa

Observed band size: 120 kDa,150 kDa

false

Key facts

Host species

Rabbit

Clonality

Monoclonal

Clone number

EP3569

Isotype

IgG

Carrier free

No

Reacts with

Human

Applications

IHC-P, ICC/IF, WB

applications

Immunogen

The exact immunogen used to generate this antibody is proprietary information.

Reactivity data

{ "title": "Reactivity Data", "filters": { "stats": ["", "Species", "Dilution Info", "Notes"], "tabs": { "all-applications": {"fullname" : "All Applications", "shortname": "All Applications"}, "FlowCyt" : {"fullname" : "Flow Cytometry", "shortname":"Flow Cyt"}, "WB" : {"fullname" : "Western blot", "shortname":"WB"}, "ICCIF" : {"fullname" : "Immunocytochemistry/ Immunofluorescence", "shortname":"ICC/IF"}, "IHCP" : {"fullname" : "Immunohistochemistry (Formalin/PFA-fixed paraffin-embedded sections)", "shortname":"IHC-P"} }, "product-promise": { "all": "all", "testedAndGuaranteed": "tested", "guaranteed": "expected", "predicted": "predicted", "notRecommended": "not-recommended" } }, "values": { "Human": { "FlowCyt-species-checked": "notRecommended", "FlowCyt-species-dilution-info": "", "FlowCyt-species-notes": "<p></p>", "WB-species-checked": "testedAndGuaranteed", "WB-species-dilution-info": "1/1000 - 1/10000", "WB-species-notes": "<p></p>", "ICCIF-species-checked": "testedAndGuaranteed", "ICCIF-species-dilution-info": "1/100 - 1/250", "ICCIF-species-notes": "<p></p>", "IHCP-species-checked": "testedAndGuaranteed", "IHCP-species-dilution-info": "1/100 - 1/250", "IHCP-species-notes": "<p></p>" } } }

Product details

Species reactivity
Mouse, Rat: We have preliminary internal testing data to indicate this antibody may not react with these species.
Please contact us for more information.

Patented technology
Our RabMAb® technology is a patented hybridoma-based technology for making rabbit monoclonal antibodies. For details on our patents, please refer to RabMAb® patents.

What are the advantages of a recombinant monoclonal antibody?
This product is a recombinant monoclonal antibody, which offers several advantages including:

  • - High batch-to-batch consistency and reproducibility
  • - Improved sensitivity and specificity
  • - Long-term security of supply
  • - Animal-free batch production

For more information, read more on recombinant antibodies.

Properties and storage information

Form
Liquid
Purification technique
Affinity purification Protein A
Storage buffer
pH: 7.2 - 7.4 Preservative: 0.01% Sodium azide Constituents: PBS, 40% Glycerol (glycerin, glycerine), 0.05% BSA
Shipped at conditions
Blue Ice
Appropriate short-term storage duration
1-2 weeks
Appropriate short-term storage conditions
+4°C
Appropriate long-term storage conditions
-20°C
Aliquoting information
Upon delivery aliquot
Storage information
Avoid freeze / thaw cycle

Supplementary information

This supplementary information is collated from multiple sources and compiled automatically.

Semaphorin 4D also known as CD100 is a transmembrane protein that plays important roles in cellular signaling. It belongs to the semaphorin protein family known for their role in axonal guidance. CD100 has a molecular mass of approximately 150 kDa. This protein expresses mainly in the immune system including T cells and B cells but can also be found in certain neurons and endothelial cells. It can exist in both a membrane-bound form and a soluble form which arise from proteolytic cleavage.
Biological function summary

CD100 influences various cellular functions by interacting with multiple receptors such as Plexin-B1 and CD72 as part of a larger signaling complex. It contributes to immune response regulation by promoting T-cell activation and B-cell aggregation which are essential for adaptive immunity. In the nervous system it guides neural development including axon growth and synaptic plasticity. CD100's interaction with Plexin-B1 plays a significant role in these developmental processes often affecting cell morphology and movement.

Pathways

Semaphorin 4D is involved in both immune and neural signaling pathways. In the immune system it influences the PI3K-Akt signaling pathway which impacts cell survival and immune cell activation. It associates with pathways involving Plexin-B1 and RhoA to regulate cytoskeletal dynamics affecting cell motility and growth. Additionally CD100's role in neural pathways intersects with proteins like neuropilin-1 influencing semaphorin-mediated signaling essential for neural connectivity.

Semaphorin 4D has links to cancer and autoimmune diseases. High expression levels of CD100 are observed in several tumor types where it might promote tumor growth and metastasis through its signaling pathways. In autoimmune conditions like multiple sclerosis CD100 affects immune cell interactions and can exacerbate inflammatory responses. Its involvement with proteins such as CD72 and Plexin-B1 in these conditions highlights its contribution to pathogenesis and potential as a therapeutic target.

Product protocols

For this product, it's our understanding that no specific protocols are required. You can visit:

Target data

Cell surface receptor for PLXNB1 and PLXNB2 that plays an important role in cell-cell signaling (PubMed : 20877282). Regulates GABAergic synapse development (By similarity). Promotes the development of inhibitory synapses in a PLXNB1-dependent manner (By similarity). Modulates the complexity and arborization of developing neurites in hippocampal neurons by activating PLXNB1 and interaction with PLXNB1 mediates activation of RHOA (PubMed : 19788569). Promotes the migration of cerebellar granule cells (PubMed : 16055703). Plays a role in the immune system; induces B-cells to aggregate and improves their viability (in vitro) (PubMed : 8876214). Induces endothelial cell migration through the activation of PTK2B/PYK2, SRC, and the phosphatidylinositol 3-kinase-AKT pathway (PubMed : 16055703).
See full target information SEMA4D

Publications (10)

Recent publications for all applications. Explore the full list and refine your search

Frontiers in oncology 13:1171926 PubMed37287907

2023

Mediating immunosuppressive functions: a new perspective on the complex immunological properties of SEMA4D in the tumor microenvironment.

Applications

Unspecified application

Species

Unspecified reactive species

Shujie Zeng,Zihao Zhang,Chunshui Ye,Jinshen Wang,Changqing Jing,Leping Li

Nature communications 13:6040 PubMed36229455

2022

Guidance landscapes unveiled by quantitative proteomics to control reinnervation in adult visual system.

Applications

Unspecified application

Species

Unspecified reactive species

Noemie Vilallongue,Julia Schaeffer,Anne-Marie Hesse,Céline Delpech,Béatrice Blot,Antoine Paccard,Elise Plissonnier,Blandine Excoffier,Yohann Couté,Stephane Belin,Homaira Nawabi

Journal of neuroinflammation 19:200 PubMed35933420

2022

Semaphorin 4D is upregulated in neurons of diseased brains and triggers astrocyte reactivity.

Applications

Unspecified application

Species

Unspecified reactive species

Elizabeth E Evans,Vikas Mishra,Crystal Mallow,Elaine M Gersz,Leslie Balch,Alan Howell,Christine Reilly,Ernest S Smith,Terrence L Fisher,Maurice Zauderer

Sarcoma 2022:9646909 PubMed35570846

2022

Plexin-B2 and Semaphorins Do Not Drive Rhabdomyosarcoma Proliferation or Migration.

Applications

Unspecified application

Species

Unspecified reactive species

Anju Karki,Reshma Purohit,Sofia Nosack,Narendra Bharathy,Joel E Michalek,Sonja Chen,Charles Keller

Frontiers in immunology 12:711145 PubMed34659201

2021

Development and Validation of a Combined Glycolysis and Immune Prognostic Model for Melanoma.

Applications

Unspecified application

Species

Unspecified reactive species

Yang Yang,Yaling Li,Ruiqun Qi,Lan Zhang

International journal of molecular medicine 46:1321-1334 PubMed32945351

2020

Effects of NRP1 on angiogenesis and vascular maturity in endothelial cells are dependent on the expression of SEMA4D.

Applications

Unspecified application

Species

Unspecified reactive species

Zhi Lyu,Hongwei Jin,Zhijian Yan,Keyan Hu,Hongwei Jiang,Huifang Peng,Huiqin Zhuo

Cancer discovery 10:86-103 PubMed31601552

2019

Circulating Tumor Cells Exhibit Metastatic Tropism and Reveal Brain Metastasis Drivers.

Applications

Unspecified application

Species

Unspecified reactive species

Remi Klotz,Amal Thomas,Teng Teng,Sung Min Han,Oihana Iriondo,Lin Li,Sara Restrepo-Vassalli,Alan Wang,Negeen Izadian,Matthew MacKay,Byoung-San Moon,Kevin J Liu,Sathish Kumar Ganesan,Grace Lee,Diane S Kang,Charlotte S Walmsley,Christopher Pinto,Michael F Press,Wange Lu,Janice Lu,Dejan Juric,Aditya Bardia,James Hicks,Bodour Salhia,Frank Attenello,Andrew D Smith,Min Yu

The Journal of clinical investigation 128:323-340 PubMed29202474

2017

ADHFE1 is a breast cancer oncogene and induces metabolic reprogramming.

Applications

Unspecified application

Species

Unspecified reactive species

Prachi Mishra,Wei Tang,Vasanta Putluri,Tiffany H Dorsey,Feng Jin,Fang Wang,Donewei Zhu,Lauren Amable,Tao Deng,Shaofei Zhang,J Keith Killian,Yonghong Wang,Tsion Z Minas,Harry G Yfantis,Dong H Lee,Arun Sreekumar,Michael Bustin,Wei Liu,Nagireddy Putluri,Stefan Ambs

PloS one 8:e73958 PubMed24040126

2013

Elevated plasma soluble Sema4D/CD100 levels are associated with disease severity in patients of hemorrhagic fever with renal syndrome.

Applications

WB

Species

Human

Bei Liu,Ying Ma,Jing Yi,Zhuwei Xu,Yu Si Zhang,Chunmei Zhang,Ran Zhuang,Haitao Yu,Jiuping Wang,Angang Yang,Yun Zhang,Boquan Jin

Blood 121:4221-30 PubMed23564909

2013

Identification of a calmodulin-binding domain in Sema4D that regulates its exodomain shedding in platelets.

Applications

Unspecified application

Species

Unspecified reactive species

Peipei Mou,Zhao Zeng,Qiang Li,Xiaohui Liu,Xiaoran Xin,Kenneth M Wannemacher,Changgeng Ruan,Renhao Li,Lawrence F Brass,Li Zhu
View all publications

Product promise

We are committed to supporting your work with high-quality reagents, and we're here for you every step of the way. In the unlikely event that one of our products does not perform as expected, you're protected by our Product Promise.
For full details, please see our Terms & Conditions

Please note: All products are 'FOR RESEARCH USE ONLY. NOT FOR USE IN DIAGNOSTIC OR THERAPEUTIC PROCEDURES'.

For licensing inquiries, please contact partnerships@abcam.com