JavaScript is disabled in your browser. Please enable JavaScript to view this website.
AB248692

Anti-Semaphorin 4D/CD100 antibody [EP3569] - BSA and Azide free

Be the first to review this product! Submit a review

|

(1 Publication)

Knockout Tested Rabbit Recombinant Monoclonal Semaphorin 4D/CD100 antibody. Carrier free. Suitable for ICC/IF, WB, IHC-P and reacts with Human samples. Cited in 1 publication.

View Alternative Names

CD100, C9orf164, SEMAJ, SEMA4D, Semaphorin-4D, A8, BB18, GR3

8 Images
Immunohistochemistry (Formalin/PFA-fixed paraffin-embedded sections) - Anti-Semaphorin 4D/CD100 antibody [EP3569] - BSA and Azide free (AB248692)
  • IHC-P

Lab

Immunohistochemistry (Formalin/PFA-fixed paraffin-embedded sections) - Anti-Semaphorin 4D/CD100 antibody [EP3569] - BSA and Azide free (AB248692)

This data was developed using ab134128, the same antibody clone in a different buffer formulation.

Immunohistochemistry (Formalin/PFA-fixed paraffin-embedded sections) analysis of Human tonsil tissue sections labeling Semaphorin 4D/CD100 with Purified ab134128 at 1 : 120 dilution (10 μg/ml). Heat mediated antigen retrieval was performed using EDTA Buffer, PH9. Tissue was counterstained with Hematoxylin. ImmunoHistoProbe one step HRP Polymer (ready to use) secondary antibody was used at 1 : 0 dilution. PBS instead of the primary antibody was used as the negative control.

Immunohistochemistry (Formalin/PFA-fixed paraffin-embedded sections) - Anti-Semaphorin 4D/CD100 antibody [EP3569] - BSA and Azide free (AB248692)
  • IHC-P

Unknown

Immunohistochemistry (Formalin/PFA-fixed paraffin-embedded sections) - Anti-Semaphorin 4D/CD100 antibody [EP3569] - BSA and Azide free (AB248692)

This data was developed using ab134128, the same antibody clone in a different buffer formulation.

Immunohistochemical analysis of paraffin embedded Human colon tissue labelling Semaphorin 4D/CD100 using ab134128 at 1/100 dilution. Positive staining of lymphocytes inclusion.

Immunocytochemistry/ Immunofluorescence - Anti-Semaphorin 4D/CD100 antibody [EP3569] - BSA and Azide free (AB248692)
  • ICC/IF

Lab

Immunocytochemistry/ Immunofluorescence - Anti-Semaphorin 4D/CD100 antibody [EP3569] - BSA and Azide free (AB248692)

This data was developed using ab134128, the same antibody clone in a different buffer formulation.

Immunocytochemistry/ Immunofluorescence analysis of Jurkat (Human T cell leukemia cell line from peripheral blood) cells labeling Semaphorin 4D/CD100 with Purified ab134128 at 1 : 250 dilution (4.8μg/ml). Cells were fixed in 4% Paraformaldehyde and permeabilized with 0.1% tritonX-100. Cells were counterstained with ab195889 Anti-alpha Tubulin antibody [DM1A] - Microtubule Marker (Alexa Fluor® 594) 1 : 200 (2.5 μg/ml). ab150077 Goat anti rabbit IgG(Alexa Fluor® 488) was used as the secondary antibody at 1 : 1000 dilution. DAPI nuclear counterstain. PBS instead of the primary antibody was used as the secondary antibody only control.

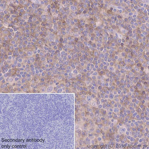
Immunohistochemistry (Formalin/PFA-fixed paraffin-embedded sections) - Anti-Semaphorin 4D/CD100 antibody [EP3569] - BSA and Azide free (AB248692)
  • IHC-P

Unknown

Immunohistochemistry (Formalin/PFA-fixed paraffin-embedded sections) - Anti-Semaphorin 4D/CD100 antibody [EP3569] - BSA and Azide free (AB248692)

This data was developed using ab134128, the same antibody clone in a different buffer formulation.

Immunohistochemical analysis of paraffin embedded Human tonsil tissue labelling Semaphorin 4D/CD100 with ab134128 at 1/100 dilution

Western blot - Anti-Semaphorin 4D/CD100 antibody [EP3569] - BSA and Azide free (AB248692)
  • WB

Lab

Western blot - Anti-Semaphorin 4D/CD100 antibody [EP3569] - BSA and Azide free (AB248692)

This data was developed using ab134128, the same antibody clone in a different buffer formulation.

Western blot : Anti-SEMA4D antibody [EP3569] (ab134128) staining at 1/2000 dilution, shown in green; Mouse anti-Alpha Tubulin [DM1A] (ab7291) loading control staining at 1/20000 dilution, shown in magenta. In Western blot, ab134128 was shown to bind specifically to SEMA4D. A band was observed at 90-120 kDa in wild-type HCT 116 cell lysates with no signal observed at this size in SEMA4D knockout cell line. To generate this image, wild-type and SEMA4D knockout HCT 116 cell lysates were analysed. First, samples were run on an SDS-PAGE gel then transferred onto a nitrocellulose membrane. Membranes were blocked in 3 % milk in TBS-0.1 % Tween® 20 (TBS-T) before incubation with primary antibodies overnight at 4 °C. Blots were washed four times in TBS-T, incubated with secondary antibodies for 1 h at room temperature, washed again four times then imaged. Secondary antibodies used were Goat anti-Rabbit IgG H&L 800CW and Goat anti-Mouse IgG H&L 680RD at 1/20000 dilution.

All lanes:

Western blot - Anti-Semaphorin 4D/CD100 antibody [EP3569] (<a href='/en-us/products/primary-antibodies/semaphorin-4d-cd100-antibody-ep3569-ab134128'>ab134128</a>) at 1/2000 dilution

Lane 1:

Wild-type HCT 116 cell lysate at 20 µg

Lane 2:

Western blot - Human SEMA4D knockout HCT116 cell line (<a href='/en-us/products/cell-lines/human-sema4d-knockout-hct116-cell-line-ab289144'>ab289144</a>)

Lane 2:

SEMA4D knockout HCT 116 cell lysate at 20 µg

Lane 3:

HDLM-2 UNBOILED cell lysate at 20 µg

Lane 4:

PC-3 UNBOILED cell lysate at 20 µg

Secondary

Lanes 1 - 4:

Goat anti-Rabbit IgG H&L 800CW at 1/20000 dilution

Lanes 1 - 4:

Goat anti-Mouse IgG H&L 680RD at 1/20000 dilution

Observed band size: 90-120 kDa

false

Western blot - Anti-Semaphorin 4D/CD100 antibody [EP3569] - BSA and Azide free (AB248692)
  • WB

Lab

Western blot - Anti-Semaphorin 4D/CD100 antibody [EP3569] - BSA and Azide free (AB248692)

Western blot : Anti-SEMA4D antibody [EP3569] (ab134128) staining at 1/2000 dilution, shown in green; Mouse anti-Alpha Tubulin [DM1A] (ab7291) loading control staining at 1/20000 dilution, shown in magenta. In Western blot, ab134128 was shown to bind specifically to SEMA4D. A band was observed at 95-100 kDa in wild-type A549 cell lysates with no signal observed at this size in SEMA4D knockout cell line. To generate this image, wild-type and SEMA4D knockout A549 cell lysates were analysed. First, samples were run on an SDS-PAGE gel then transferred onto a nitrocellulose membrane. Membranes were blocked in 3 % milk in TBS-0.1 % Tween® 20 (TBS-T) before incubation with primary antibodies overnight at 4 °C. Blots were washed four times in TBS-T, incubated with secondary antibodies for 1 h at room temperature, washed again four times then imaged. Secondary antibodies used were Goat anti-Rabbit IgG H&L 800CW and Goat anti-Mouse IgG H&L 680RD at 1/20000 dilution.

All lanes:

Western blot - Anti-Semaphorin 4D/CD100 antibody [EP3569] (<a href='/en-us/products/primary-antibodies/semaphorin-4d-cd100-antibody-ep3569-ab134128'>ab134128</a>) at 1/2000 dilution

Lane 1:

Wild-type A549 cell lysate at 40 µg

Lane 2:

SEMA4D knockout A549 cell lysate at 40 µg

Lane 3:

HDLM-2 cell lysate at 20 µg

Lane 4:

PC-3 cell lysate at 20 µg

Secondary

All lanes:

Goat anti-Rabbit IgG H&L 800CW and Goat anti-Mouse IgG H&L 680RD at 1/20000 dilution

false

Western blot - Anti-Semaphorin 4D/CD100 antibody [EP3569] - BSA and Azide free (AB248692)
  • WB

Unknown

Western blot - Anti-Semaphorin 4D/CD100 antibody [EP3569] - BSA and Azide free (AB248692)

This data was developed using ab134128, the same antibody clone in a different buffer formulation.

HRP labelled goat anti rabbit secondary antibody used at 1/2000 dilution.

All lanes:

Western blot - Anti-Semaphorin 4D/CD100 antibody [EP3569] (<a href='/en-us/products/primary-antibodies/semaphorin-4d-cd100-antibody-ep3569-ab134128'>ab134128</a>) at 1/1000 dilution

Lane 1:

Camptothecin treated Jurkat cell lysate at 10 µg

Lane 2:

Jurkat cell lysate at 10 µg

Lane 3:

Human spleen lysate at 10 µg

Lane 4:

Human fetal kidney lysate at 10 µg

Predicted band size: 96 kDa

false

Western blot - Anti-Semaphorin 4D/CD100 antibody [EP3569] - BSA and Azide free (AB248692)
  • WB

Unknown

Western blot - Anti-Semaphorin 4D/CD100 antibody [EP3569] - BSA and Azide free (AB248692)

This data was developed using ab134128, the same antibody clone in a different buffer formulation.

Blocking and dilution buffer : 5% NFDM/TBST.

All lanes:

Western blot - Anti-Semaphorin 4D/CD100 antibody [EP3569] (<a href='/en-us/products/primary-antibodies/semaphorin-4d-cd100-antibody-ep3569-ab134128'>ab134128</a>) at 0.2 µg/mL

All lanes:

SH-SY5Y (Human neuroblastoma epithelial cell) whole cell lysate at 20 µg

Secondary

All lanes:

Western blot - Goat Anti-Rabbit IgG H&L (HRP) (<a href='/en-us/products/secondary-antibodies/goat-rabbit-igg-h-l-hrp-ab97051'>ab97051</a>) at 1/100000 dilution

Predicted band size: 96 kDa

Observed band size: 120 kDa,150 kDa

false

Key facts

Host species

Rabbit

Clonality

Monoclonal

Clone number

EP3569

Isotype

IgG

Carrier free

Yes

Reacts with

Human

Applications

IHC-P, WB, ICC/IF

applications

Immunogen

The exact immunogen used to generate this antibody is proprietary information.

Reactivity data

{ "title": "Reactivity Data", "filters": { "stats": ["", "Species", "Dilution Info", "Notes"], "tabs": { "all-applications": {"fullname" : "All Applications", "shortname": "All Applications"}, "ICCIF" : {"fullname" : "Immunocytochemistry/ Immunofluorescence", "shortname":"ICC/IF"}, "FlowCyt" : {"fullname" : "Flow Cytometry", "shortname":"Flow Cyt"}, "WB" : {"fullname" : "Western blot", "shortname":"WB"}, "IHCP" : {"fullname" : "Immunohistochemistry (Formalin/PFA-fixed paraffin-embedded sections)", "shortname":"IHC-P"} }, "product-promise": { "all": "all", "testedAndGuaranteed": "tested", "guaranteed": "expected", "predicted": "predicted", "notRecommended": "not-recommended" } }, "values": { "Human": { "ICCIF-species-checked": "testedAndGuaranteed", "ICCIF-species-dilution-info": "", "ICCIF-species-notes": "<p></p>", "FlowCyt-species-checked": "notRecommended", "FlowCyt-species-dilution-info": "", "FlowCyt-species-notes": "<p></p>", "WB-species-checked": "testedAndGuaranteed", "WB-species-dilution-info": "", "WB-species-notes": "<p></p>", "IHCP-species-checked": "testedAndGuaranteed", "IHCP-species-dilution-info": "", "IHCP-species-notes": "<p></p>" } } }

Product details

ab248692 is the carrier-free version of ab134128.

Species reactivity
Mouse, Rat: We have preliminary internal testing data to indicate this antibody may not react with these species.
Please contact us for more information.

Patented technology
Our RabMAb® technology is a patented hybridoma-based technology for making rabbit monoclonal antibodies. For details on our patents, please refer to RabMAb® patents.

What are the advantages of a recombinant monoclonal antibody?
This product is a recombinant monoclonal antibody, which offers several advantages including:

  • - High batch-to-batch consistency and reproducibility
  • - Improved sensitivity and specificity
  • - Long-term security of supply
  • - Animal-free batch production

For more information, read more on recombinant antibodies.

Conjugation ready
Our carrier-free antibodies are typically supplied in a PBS-only formulation, purified and free of BSA, sodium azide and glycerol. This conjugation-ready format is designed for use with fluorochromes, metal isotopes, oligonucleotides, and enzymes, which makes them ideal for antibody labelling, functional and cell-based assays, flow-based assays (e.g. mass cytometry) and Multiplex Imaging applications.

Use our conjugation kits for antibody conjugates that are ready-to-use in as little as 20 minutes with 1 minute hands-on-time and 100% antibody recovery: available for fluorescent dyes, HRP, biotin and gold.

Compatibility
This product is compatible with the Maxpar® Antibody Labeling Kit from Fluidigm, without the need for antibody preparation. Maxpar® is a trademark of Fluidigm Canada Inc.

Properties and storage information

Form
Liquid
Purification technique
Affinity purification Protein A
Storage buffer
pH: 7.2 - 7.4 Constituents: PBS
Shipped at conditions
Blue Ice
Appropriate short-term storage conditions
+4°C
Appropriate long-term storage conditions
+4°C
Storage information
Do Not Freeze

Supplementary information

This supplementary information is collated from multiple sources and compiled automatically.

Semaphorin 4D also known as CD100 is a transmembrane protein that plays important roles in cellular signaling. It belongs to the semaphorin protein family known for their role in axonal guidance. CD100 has a molecular mass of approximately 150 kDa. This protein expresses mainly in the immune system including T cells and B cells but can also be found in certain neurons and endothelial cells. It can exist in both a membrane-bound form and a soluble form which arise from proteolytic cleavage.
Biological function summary

CD100 influences various cellular functions by interacting with multiple receptors such as Plexin-B1 and CD72 as part of a larger signaling complex. It contributes to immune response regulation by promoting T-cell activation and B-cell aggregation which are essential for adaptive immunity. In the nervous system it guides neural development including axon growth and synaptic plasticity. CD100's interaction with Plexin-B1 plays a significant role in these developmental processes often affecting cell morphology and movement.

Pathways

Semaphorin 4D is involved in both immune and neural signaling pathways. In the immune system it influences the PI3K-Akt signaling pathway which impacts cell survival and immune cell activation. It associates with pathways involving Plexin-B1 and RhoA to regulate cytoskeletal dynamics affecting cell motility and growth. Additionally CD100's role in neural pathways intersects with proteins like neuropilin-1 influencing semaphorin-mediated signaling essential for neural connectivity.

Semaphorin 4D has links to cancer and autoimmune diseases. High expression levels of CD100 are observed in several tumor types where it might promote tumor growth and metastasis through its signaling pathways. In autoimmune conditions like multiple sclerosis CD100 affects immune cell interactions and can exacerbate inflammatory responses. Its involvement with proteins such as CD72 and Plexin-B1 in these conditions highlights its contribution to pathogenesis and potential as a therapeutic target.

Product protocols

For this product, it's our understanding that no specific protocols are required. You can visit:

Target data

Cell surface receptor for PLXNB1 and PLXNB2 that plays an important role in cell-cell signaling (PubMed : 20877282). Regulates GABAergic synapse development (By similarity). Promotes the development of inhibitory synapses in a PLXNB1-dependent manner (By similarity). Modulates the complexity and arborization of developing neurites in hippocampal neurons by activating PLXNB1 and interaction with PLXNB1 mediates activation of RHOA (PubMed : 19788569). Promotes the migration of cerebellar granule cells (PubMed : 16055703). Plays a role in the immune system; induces B-cells to aggregate and improves their viability (in vitro) (PubMed : 8876214). Induces endothelial cell migration through the activation of PTK2B/PYK2, SRC, and the phosphatidylinositol 3-kinase-AKT pathway (PubMed : 16055703).
See full target information SEMA4D

Publications (1)

Recent publications for all applications. Explore the full list and refine your search

Nature communications 14:4467 PubMed37491377

2023

Circular RNA encoded MET variant promotes glioblastoma tumorigenesis.

Applications

Unspecified application

Species

Unspecified reactive species

Jian Zhong,Xujia Wu,Yixin Gao,Junju Chen,Maolei Zhang,Huangkai Zhou,Jia Yang,Feizhe Xiao,Xuesong Yang,Nunu Huang,Haoyue Qi,Xiuxing Wang,Fan Bai,Yu Shi,Nu Zhang
View all publications

Product promise

We are committed to supporting your work with high-quality reagents, and we're here for you every step of the way. In the unlikely event that one of our products does not perform as expected, you're protected by our Product Promise.
For full details, please see our Terms & Conditions

Please note: All products are 'FOR RESEARCH USE ONLY. NOT FOR USE IN DIAGNOSTIC OR THERAPEUTIC PROCEDURES'.

For licensing inquiries, please contact partnerships@abcam.com