JavaScript is disabled in your browser. Please enable JavaScript to view this website.
AB255602

Anti-Semaphorin 7a antibody [EPR22644-79]

Be the first to review this product! Submit a review

|

(2 Publications)

Rabbit Recombinant Monoclonal Semaphorin 7a antibody. Suitable for IP, Flow Cyt, WB, IHC-P, IHC-Fr and reacts with Human samples. Cited in 2 publications.

View Alternative Names

CD108, SEMAL, SEMA7A, Semaphorin-7A, CDw108, JMH blood group antigen, John-Milton-Hargen human blood group Ag, Semaphorin-K1, Semaphorin-L, Sema K1, Sema L

9 Images
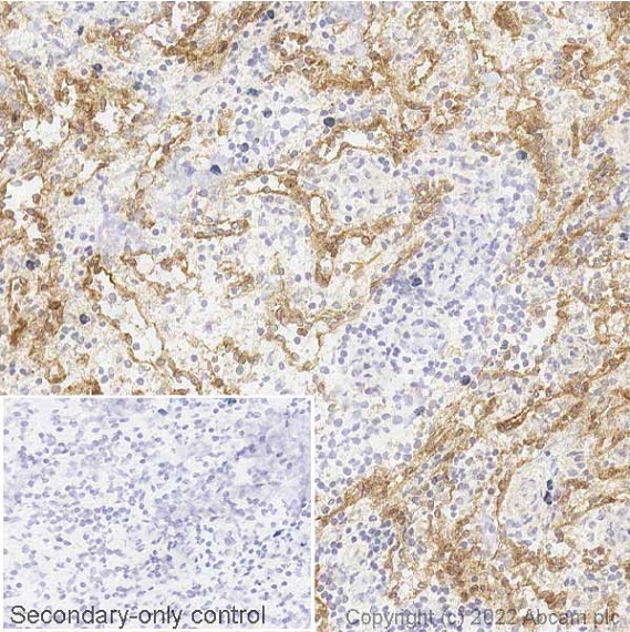
Immunohistochemistry (Frozen sections) - Anti-Semaphorin 7a antibody [EPR22644-79] (AB255602)
  • IHC-Fr

Lab

Immunohistochemistry (Frozen sections) - Anti-Semaphorin 7a antibody [EPR22644-79] (AB255602)

Negative control image : IHC image of Semaphorin 7a staining in a section of human normal frozen liver* performed on a Leica Biosystems BOND® RX instrument using the standard protocol. The section was fixed in 10% paraformaldehyde (10 min) prior to staining. The section was incubated with ab225602, 1ugml, for 15 mins at room temperature and detected using an HRP conjugated compact polymer system. DAB was used as the chromogen. The section was then counterstained with haematoxylin and mounted with DPX. The inset secondary-only control image is taken from an identical assay without primary antibody. *Tissue obtained from the Human Research Tissue Bank, supported by the NIHR Cambridge Biomedical Research Centre For other IHC staining systems (automated and non-automated) customers should optimize variable parameters such as antigen retrieval conditions, primary antibody concentration and antibody incubation times.

Immunohistochemistry (Formalin/PFA-fixed paraffin-embedded sections) - Anti-Semaphorin 7a antibody [EPR22644-79] (AB255602)
  • IHC-P

Unknown

Immunohistochemistry (Formalin/PFA-fixed paraffin-embedded sections) - Anti-Semaphorin 7a antibody [EPR22644-79] (AB255602)

Immunohistochemical analysis of paraffin-embedded human placenta tissue labeling Semaphorin 7a with ab255602 at 1/100 dilution (6.46μg/ml) followed by a ready to use Rabbit specific IHC polymer detection kit HRP/DAB (ab209101). Positive staining on human placenta. The section was incubated with ab255602 for 15 mins at room temperature. The immunostaining was performed on a Leica Biosystems BOND® RX instrument. Counterstained with hematoxylin. Heat mediated antigen retrieval with Tris-EDTA buffer (pH 9.0, epitope retrieval solution 2) for 20 mins. Secondary antibody only control : Used PBS instead of primary antibody, secondary antibody is a ready to use Rabbit specific IHC polymer detection kit HRP/DAB (ab209101).

Flow Cytometry - Anti-Semaphorin 7a antibody [EPR22644-79] (AB255602)
  • Flow Cyt

Unknown

Flow Cytometry - Anti-Semaphorin 7a antibody [EPR22644-79] (AB255602)

Flow cytometric analysis of human peripheral blood mononuclear cells (PBMC) treated with 10μg/ml Phytohemagglutinin (PHA) for 2 days (Right pane;) / Untreated control (Left panel) labeling Semaphorin 7a with ab255602 at a 1/600 dilution. Goat anti rabbit IgG (Alexa Fluor® 488, ab150097) secondary antibody was used at a 1/5000 dilution. Gated on viable cells.

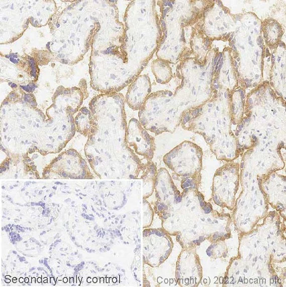
Immunohistochemistry (Formalin/PFA-fixed paraffin-embedded sections) - Anti-Semaphorin 7a antibody [EPR22644-79] (AB255602)
  • IHC-P

Unknown

Immunohistochemistry (Formalin/PFA-fixed paraffin-embedded sections) - Anti-Semaphorin 7a antibody [EPR22644-79] (AB255602)

Immunohistochemical analysis of paraffin-embedded human tonsil tissue labeling Semaphorin 7a with ab255602 at 1/100 dilution (6.46 μg/ml) followed by a ready to use Rabbit specific IHC polymer detection kit HRP/DAB (ab209101). Positive staining on human tonsil. The section was incubated with ab255602 for 15 mins at room temperature. The immunostaining was performed on a Leica Biosystems BOND® RX instrument. Counterstained with hematoxylin. Heat mediated antigen retrieval with Tris-EDTA buffer (pH 9.0, epitope retrieval solution 2) for 20 mins. Secondary antibody only control : Used PBS instead of primary antibody, secondary antibody is a ready to use Rabbit specific IHC polymer detection kit HRP/DAB (ab209101).

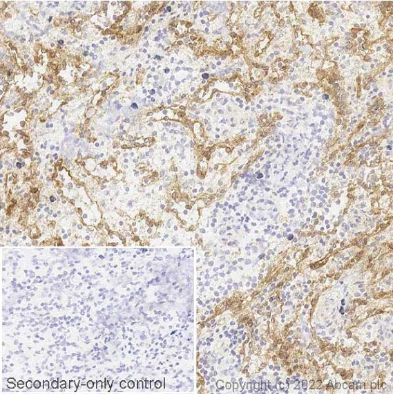
Immunohistochemistry (Frozen sections) - Anti-Semaphorin 7a antibody [EPR22644-79] (AB255602)
  • IHC-Fr

Lab

Immunohistochemistry (Frozen sections) - Anti-Semaphorin 7a antibody [EPR22644-79] (AB255602)

IHC image of Semaphorin 7a staining in a section of human normal frozen placenta* performed on a Leica Biosystems BOND® RX instrument using the standard protocol. The section was fixed in 10% paraformaldehyde (10 min) prior to staining. The section was incubated with ab255602, 1ugml, for 15 mins at room temperature and detected using an HRP conjugated compact polymer system. DAB was used as the chromogen. The section was then counterstained with haematoxylin and mounted with DPX. The inset secondary-only control image is taken from an identical assay without primary antibody. *Tissue obtained from the Human Research Tissue Bank, supported by the NIHR Cambridge Biomedical Research Centre For other IHC staining systems (automated and non-automated) customers should optimize variable parameters such as antigen retrieval conditions, primary antibody concentration and antibody incubation times.

Immunohistochemistry (Frozen sections) - Anti-Semaphorin 7a antibody [EPR22644-79] (AB255602)
  • IHC-Fr

Lab

Immunohistochemistry (Frozen sections) - Anti-Semaphorin 7a antibody [EPR22644-79] (AB255602)

IHC image of Semaphorin 7a staining in a section of human normal frozen spleen* performed on a Leica Biosystems BOND® RX instrument using the standard protocol. The section was fixed in 10% paraformaldehyde (10 min) prior to staining. The section was incubated with ab255602, 1ugml, for 15 mins at room temperature and detected using an HRP conjugated compact polymer system. DAB was used as the chromogen. The section was then counterstained with haematoxylin and mounted with DPX. The inset secondary-only control image is taken from an identical assay without primary antibody. *Tissue obtained from the Human Research Tissue Bank, supported by the NIHR Cambridge Biomedical Research Centre For other IHC staining systems (automated and non-automated) customers should optimize variable parameters such as antigen retrieval conditions, primary antibody concentration and antibody incubation times.

Immunoprecipitation - Anti-Semaphorin 7a antibody [EPR22644-79] (AB255602)
  • IP

Unknown

Immunoprecipitation - Anti-Semaphorin 7a antibody [EPR22644-79] (AB255602)

Semaphorin 7a was immunoprecipitated from 0.35 mg human testis lysate 10μg with ab255602 at 1/30 dilution (2μg in 0.35mg lysates). Western blot was performed on the immunoprecipitate using ab255602. VeriBlot for IP Detection Reagent (HRP) (ab131366) was used at a 1/1000 dilution.

Lane 1 : Human testis lysate 10μg
Lane 2 : ab255602 IP in Human testis lysate
Lane 3 : Rabbit monoclonal IgG (ab172730) instead of ab255602 in human testis lysate.

Blocking/Dilution buffer : 5% NFDM/TBST.
Exposure time : 3 seconds

All lanes:

Immunoprecipitation - Anti-Semaphorin 7a antibody [EPR22644-79] (ab255602)

Predicted band size: 50 kDa,75 kDa

Observed band size: 75 kDa

false

Western blot - Anti-Semaphorin 7a antibody [EPR22644-79] (AB255602)
  • WB

Unknown

Western blot - Anti-Semaphorin 7a antibody [EPR22644-79] (AB255602)

Blocking/Dilution buffer : 5% NFDM/TBST.

The expression profile/ molecular weight observed is consistent with what has been described in the literature (PMID : 26752048, 20962327).

All lanes:

Western blot - Anti-Semaphorin 7a antibody [EPR22644-79] (ab255602) at 1/1000 dilution

Lane 1:

Untreated A549 (human lung carcinoma epithelial cell) whole cell lysate at 10 µg

Lane 2:

A549 treated with 100ng/ml TNF-alpha for 8 hours whole cell lysate at 10 µg

Secondary

All lanes:

Western blot - Goat Anti-Rabbit IgG H&L (HRP) (<a href='/en-us/products/secondary-antibodies/goat-rabbit-igg-h-l-hrp-ab97051'>ab97051</a>) at 1/100000 dilution

Predicted band size: 75 kDa

false

Exposure time: 3min

Western blot - Anti-Semaphorin 7a antibody [EPR22644-79] (AB255602)
  • WB

Unknown

Western blot - Anti-Semaphorin 7a antibody [EPR22644-79] (AB255602)

The expression profile/ molecular weight observed is consistent with what has been described in the literature (PMID : 26752048, 20962327).

Blocking/Dilution buffer : 5% NFDM/TBST.

Exposure times : Lane 1 : 10 secs; Lanes 2-3 : 37 secs.

All lanes:

Western blot - Anti-Semaphorin 7a antibody [EPR22644-79] (ab255602) at 1/1000 dilution

Lane 1:

Human tonsil lysate at 20 µg

Lane 2:

Human testis lysate at 20 µg

Lane 3:

Human placenta lysate at 20 µg

Secondary

All lanes:

Western blot - VeriBlot for IP Detection Reagent (HRP) (<a href='/en-us/products/reagents/veriblot-for-ip-detection-reagent-hrp-ab131366'>ab131366</a>) at 1/1000 dilution

Predicted band size: 75 kDa

false

  • Carrier free

    Anti-Semaphorin 7a antibody [EPR22644-79] - BSA and Azide free

Key facts

Host species

Rabbit

Clonality

Monoclonal

Clone number

EPR22644-79

Isotype

IgG

Carrier free

No

Reacts with

Human

Applications

IHC-Fr, Flow Cyt, WB, IP, IHC-P

applications

Immunogen

The exact immunogen used to generate this antibody is proprietary information.

Reactivity data

{ "title": "Reactivity Data", "filters": { "stats": ["", "Species", "Dilution Info", "Notes"], "tabs": { "all-applications": {"fullname" : "All Applications", "shortname": "All Applications"}, "IP" : {"fullname" : "Immunoprecipitation", "shortname":"IP"}, "FlowCyt" : {"fullname" : "Flow Cytometry", "shortname":"Flow Cyt"}, "WB" : {"fullname" : "Western blot", "shortname":"WB"}, "ICCIF" : {"fullname" : "Immunocytochemistry/ Immunofluorescence", "shortname":"ICC/IF"}, "IHCP" : {"fullname" : "Immunohistochemistry (Formalin/PFA-fixed paraffin-embedded sections)", "shortname":"IHC-P"}, "IHCFr" : {"fullname" : "Immunohistochemistry (Frozen sections)", "shortname":"IHC-Fr"} }, "product-promise": { "all": "all", "testedAndGuaranteed": "tested", "guaranteed": "expected", "predicted": "predicted", "notRecommended": "not-recommended" } }, "values": { "Human": { "IP-species-checked": "testedAndGuaranteed", "IP-species-dilution-info": "1/30", "IP-species-notes": "<p></p>", "FlowCyt-species-checked": "testedAndGuaranteed", "FlowCyt-species-dilution-info": "1/600", "FlowCyt-species-notes": "<p></p>", "WB-species-checked": "testedAndGuaranteed", "WB-species-dilution-info": "1/1000", "WB-species-notes": "<p></p>", "ICCIF-species-checked": "notRecommended", "ICCIF-species-dilution-info": "", "ICCIF-species-notes": "<p></p>", "IHCP-species-checked": "testedAndGuaranteed", "IHCP-species-dilution-info": "1/100", "IHCP-species-notes": "<p></p>", "IHCFr-species-checked": "testedAndGuaranteed", "IHCFr-species-dilution-info": "1 µg/mL", "IHCFr-species-notes": "<p></p>" }, "Mouse": { "IP-species-checked": "notRecommended", "IP-species-dilution-info": "", "IP-species-notes": "", "FlowCyt-species-checked": "notRecommended", "FlowCyt-species-dilution-info": "", "FlowCyt-species-notes": "", "WB-species-checked": "notRecommended", "WB-species-dilution-info": "", "WB-species-notes": "", "ICCIF-species-checked": "notRecommended", "ICCIF-species-dilution-info": "", "ICCIF-species-notes": "", "IHCP-species-checked": "notRecommended", "IHCP-species-dilution-info": "", "IHCP-species-notes": "", "IHCFr-species-checked": "notRecommended", "IHCFr-species-dilution-info": "1/50", "IHCFr-species-notes": "<p></p>" }, "Rat": { "IP-species-checked": "notRecommended", "IP-species-dilution-info": "", "IP-species-notes": "", "FlowCyt-species-checked": "notRecommended", "FlowCyt-species-dilution-info": "", "FlowCyt-species-notes": "", "WB-species-checked": "notRecommended", "WB-species-dilution-info": "", "WB-species-notes": "", "ICCIF-species-checked": "notRecommended", "ICCIF-species-dilution-info": "", "ICCIF-species-notes": "", "IHCP-species-checked": "notRecommended", "IHCP-species-dilution-info": "", "IHCP-species-notes": "", "IHCFr-species-checked": "notRecommended", "IHCFr-species-dilution-info": "1 µg/mL", "IHCFr-species-notes": "<p></p>" } } }

Product details

Patented technology
Our RabMAb® technology is a patented hybridoma-based technology for making rabbit monoclonal antibodies. For details on our patents, please refer to RabMAb® patents.

What are the advantages of a recombinant monoclonal antibody?
This product is a recombinant monoclonal antibody, which offers several advantages including:

  • - High batch-to-batch consistency and reproducibility
  • - Improved sensitivity and specificity
  • - Long-term security of supply
  • - Animal-free batch production

For more information, read more on recombinant antibodies.

Properties and storage information

Form
Liquid
Purification technique
Affinity purification Protein A
Storage buffer
pH: 7.2 - 7.4 Preservative: 0.01% Sodium azide Constituents: PBS, 40% Glycerol (glycerin, glycerine), 0.05% BSA
Shipped at conditions
Blue Ice
Appropriate short-term storage duration
1-2 weeks
Appropriate short-term storage conditions
+4°C
Appropriate long-term storage conditions
-20°C
Aliquoting information
Upon delivery aliquot
Storage information
Avoid freeze / thaw cycle

Supplementary information

This supplementary information is collated from multiple sources and compiled automatically.

Semaphorin 7a also known as SEMA7A or CD108 is a glycoprotein that has a molecular mass of approximately 80 kDa. This target plays a role in axonal guidance and immune response regulation. It is a member of the semaphorin family which generally acts as signaling molecules. Semaphorin 7a is expressed in various tissues including the immune system nervous system and some epithelial cells. Its expression is especially significant in T-cells and is involved in modulating cell adhesion and migration.
Biological function summary

Semaphorin 7a is implicated in diverse processes such as immune system modulation and nervous system development. It functions as part of a complex involving integrins which mediate cell-to-cell communication and interaction with the extracellular matrix. This protein can bridge the immune and neural signaling pathways indicating its multifunctional nature within organisms. Its interaction with β1 integrins enhances T-cell activation and cytokine production which is important for immune response.

Pathways

Semaphorin 7a integrates into the MAPK and PI3K signaling pathways. These pathways are essential for cell survival migration and apoptosis. In the MAPK pathway Semaphorin 7a impacts downstream signaling through its interaction with ERK proteins. Its role in the PI3K pathway connects it to AKT proteins influencing cell growth and metabolic processes. These connections show its versatility and critical role in signal transduction linked to cellular behaviors.

Semaphorin 7a has been associated with multiple sclerosis and melanoma. In multiple sclerosis altered expression of this protein can affect immune response and neural repair processes. Its connection to melanoma is linked with its role in regulating cell motility and adhesion impacting cancer progression and metastasis. Semaphorin 7a's interactions with proteins like Melanocortin 1 Receptor (MC1R) in melanoma provide insights into therapeutic targets for disease interventions.

Product protocols

For this product, it's our understanding that no specific protocols are required. You can visit:

Target data

Plays an important role in integrin-mediated signaling and functions both in regulating cell migration and immune responses. Promotes formation of focal adhesion complexes, activation of the protein kinase PTK2/FAK1 and subsequent phosphorylation of MAPK1 and MAPK3. Promotes production of pro-inflammatory cytokines by monocytes and macrophages. Plays an important role in modulating inflammation and T-cell-mediated immune responses. Promotes axon growth in the embryonic olfactory bulb. Promotes attachment, spreading and dendrite outgrowth in melanocytes.
See full target information SEMA7A

Publications (2)

Recent publications for all applications. Explore the full list and refine your search

Cellular and molecular biology (Noisy-le-Grand, France) 69:226-231 PubMed37715376

2023

Triamcinolone acetonide suppressed scar formation in mice and human hypertrophic scar fibroblasts in a dose-dependent manner.

Applications

Unspecified application

Species

Unspecified reactive species

Zhangqiang Wu,Daoqiang Huang,Jiashui Xie,Minshi Li,Ping Chen,Zhimin Yu

Experimental and therapeutic medicine 22:1441 PubMed34721683

2021

Semaphorin 7A knockdown improves injury and prevents endothelial-to-mesenchymal transition in ox-LDL-induced HUVECs by regulating β1 integrin expression.

Applications

Unspecified application

Species

Unspecified reactive species

Xiaoying Song,Jing Meng,Guoliang Yan,Haihui Wang,Haitao Li,Danfei Lou
View all publications

Product promise

We are committed to supporting your work with high-quality reagents, and we're here for you every step of the way. In the unlikely event that one of our products does not perform as expected, you're protected by our Product Promise.
For full details, please see our Terms & Conditions

Please note: All products are 'FOR RESEARCH USE ONLY. NOT FOR USE IN DIAGNOSTIC OR THERAPEUTIC PROCEDURES'.

For licensing inquiries, please contact partnerships@abcam.com