JavaScript is disabled in your browser. Please enable JavaScript to view this website.
AB256812

Anti-Semaphorin 7a antibody [EPR22644-79] - BSA and Azide free

Be the first to review this product! Submit a review

|

(0 Publication)

Rabbit Recombinant Monoclonal Semaphorin 7a antibody. Carrier free. Suitable for IP, Flow Cyt, WB, IHC-P, IHC-Fr and reacts with Human samples.

View Alternative Names

CD108, SEMAL, SEMA7A, Semaphorin-7A, CDw108, JMH blood group antigen, John-Milton-Hargen human blood group Ag, Semaphorin-K1, Semaphorin-L, Sema K1, Sema L

7 Images
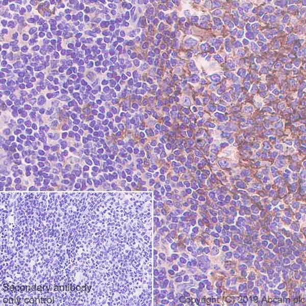
Immunohistochemistry (Frozen sections) - Anti-Semaphorin 7a antibody [EPR22644-79] - BSA and Azide free (AB256812)
  • IHC-Fr

Lab

Immunohistochemistry (Frozen sections) - Anti-Semaphorin 7a antibody [EPR22644-79] - BSA and Azide free (AB256812)

IHC image of Semaphorin 7a staining in a section of human normal frozen spleen* performed on a Leica Biosystems BOND® RX instrument using the standard protocol. The section was fixed in 10% paraformaldehyde (10 min) prior to staining. The section was incubated with ab255602, 1ugml, for 15 mins at room temperature and detected using an HRP conjugated compact polymer system. DAB was used as the chromogen. The section was then counterstained with haematoxylin and mounted with DPX. The inset secondary-only control image is taken from an identical assay without primary antibody. *Tissue obtained from the Human Research Tissue Bank, supported by the NIHR Cambridge Biomedical Research Centre For other IHC staining systems (automated and non-automated) customers should optimize variable parameters such as antigen retrieval conditions, primary antibody concentration and antibody incubation times. This data was developed using the same antibody clone in a different buffer formulation containing PBS, BSA, glycerol, and sodium azide (ab255602).

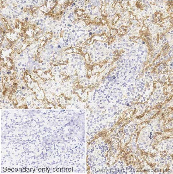
Immunohistochemistry (Frozen sections) - Anti-Semaphorin 7a antibody [EPR22644-79] - BSA and Azide free (AB256812)
  • IHC-Fr

Lab

Immunohistochemistry (Frozen sections) - Anti-Semaphorin 7a antibody [EPR22644-79] - BSA and Azide free (AB256812)

IHC image of Semaphorin 7a staining in a section of human normal frozen placenta* performed on a Leica Biosystems BOND® RX instrument using the standard protocol. The section was fixed in 10% paraformaldehyde (10 min) prior to staining. The section was incubated with ab255602, 1ugml, for 15 mins at room temperature and detected using an HRP conjugated compact polymer system. DAB was used as the chromogen. The section was then counterstained with haematoxylin and mounted with DPX. The inset secondary-only control image is taken from an identical assay without primary antibody. *Tissue obtained from the Human Research Tissue Bank, supported by the NIHR Cambridge Biomedical Research Centre For other IHC staining systems (automated and non-automated) customers should optimize variable parameters such as antigen retrieval conditions, primary antibody concentration and antibody incubation times. This data was developed using the same antibody clone in a different buffer formulation containing PBS, BSA, glycerol, and sodium azide (ab255602).

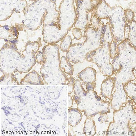
Immunohistochemistry (Frozen sections) - Anti-Semaphorin 7a antibody [EPR22644-79] - BSA and Azide free (AB256812)
  • IHC-Fr

Lab

Immunohistochemistry (Frozen sections) - Anti-Semaphorin 7a antibody [EPR22644-79] - BSA and Azide free (AB256812)

Negative control image : IHC image of Semaphorin 7a staining in a section of human normal frozen liver* performed on a Leica Biosystems BOND® RX instrument using the standard protocol. The section was fixed in 10% paraformaldehyde (10 min) prior to staining. The section was incubated with ab225602, 1ugml, for 15 mins at room temperature and detected using an HRP conjugated compact polymer system. DAB was used as the chromogen. The section was then counterstained with haematoxylin and mounted with DPX. The inset secondary-only control image is taken from an identical assay without primary antibody. *Tissue obtained from the Human Research Tissue Bank, supported by the NIHR Cambridge Biomedical Research Centre For other IHC staining systems (automated and non-automated) customers should optimize variable parameters such as antigen retrieval conditions, primary antibody concentration and antibody incubation times. This data was developed using the same antibody clone in a different buffer formulation containing PBS, BSA, glycerol, and sodium azide (ab255602).

Immunohistochemistry (Formalin/PFA-fixed paraffin-embedded sections) - Anti-Semaphorin 7a antibody [EPR22644-79] - BSA and Azide free (AB256812)
  • IHC-P

Unknown

Immunohistochemistry (Formalin/PFA-fixed paraffin-embedded sections) - Anti-Semaphorin 7a antibody [EPR22644-79] - BSA and Azide free (AB256812)

Immunohistochemical analysis of paraffin-embedded human tonsil tissue labeling Semaphorin 7a with ab255602 at 1/100 dilution (6.46 μg/ml) followed by a ready to use Rabbit specific IHC polymer detection kit HRP/DAB (ab209101). Positive staining on human tonsil. The section was incubated with ab255602 for 15 mins at room temperature. The immunostaining was performed on a Leica Biosystems BOND® RX instrument. Counterstained with hematoxylin. Heat mediated antigen retrieval with Tris-EDTA buffer (pH 9.0, epitope retrieval solution 2) for 20 mins. Secondary antibody only control : Used PBS instead of primary antibody, secondary antibody is a ready to use Rabbit specific IHC polymer detection kit HRP/DAB (ab209101).

This data was developed using the same antibody clone in a different buffer formulation containing PBS, BSA, glycerol, and sodium azide (ab255602).

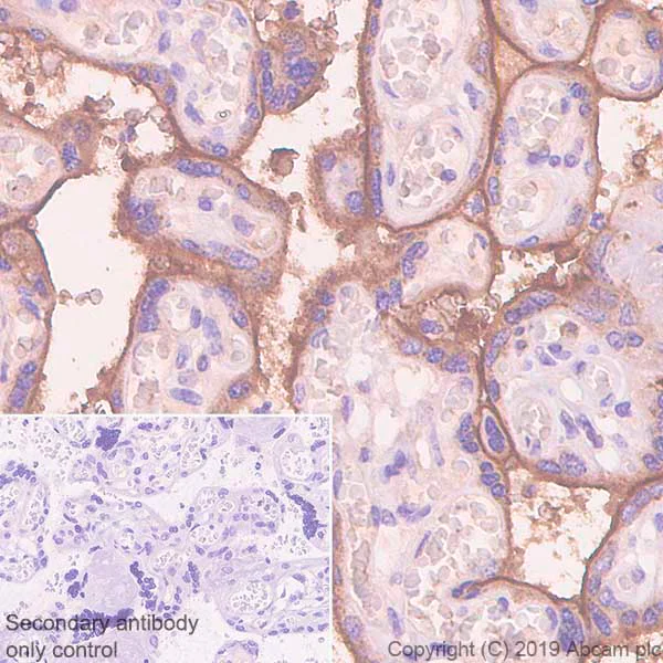
Immunohistochemistry (Formalin/PFA-fixed paraffin-embedded sections) - Anti-Semaphorin 7a antibody [EPR22644-79] - BSA and Azide free (AB256812)
  • IHC-P

Unknown

Immunohistochemistry (Formalin/PFA-fixed paraffin-embedded sections) - Anti-Semaphorin 7a antibody [EPR22644-79] - BSA and Azide free (AB256812)

Immunohistochemical analysis of paraffin-embedded human placenta tissue labeling Semaphorin 7a with ab255602 at 1/100 dilution (6.46μg/ml) followed by a ready to use Rabbit specific IHC polymer detection kit HRP/DAB (ab209101). Positive staining on human placenta. The section was incubated with ab255602 for 15 mins at room temperature. The immunostaining was performed on a Leica Biosystems BOND® RX instrument. Counterstained with hematoxylin. Heat mediated antigen retrieval with Tris-EDTA buffer (pH 9.0, epitope retrieval solution 2) for 20 mins. Secondary antibody only control : Used PBS instead of primary antibody, secondary antibody is a ready to use Rabbit specific IHC polymer detection kit HRP/DAB (ab209101).

This data was developed using the same antibody clone in a different buffer formulation containing PBS, BSA, glycerol, and sodium azide (ab255602).

Flow Cytometry - Anti-Semaphorin 7a antibody [EPR22644-79] - BSA and Azide free (AB256812)
  • Flow Cyt

Unknown

Flow Cytometry - Anti-Semaphorin 7a antibody [EPR22644-79] - BSA and Azide free (AB256812)

Flow cytometric analysis of human peripheral blood mononuclear cells (PBMC) treated with 10μg/ml Phytohemagglutinin (PHA) for 2 days (Right pane;) / Untreated control (Left panel) labeling Semaphorin 7a with ab255602 at a 1/600 dilution. Goat anti rabbit IgG (Alexa Fluor® 488, ab150097) secondary antibody was used at a 1/5000 dilution. Gated on viable cells.

This data was developed using the same antibody clone in a different buffer formulation containing PBS, BSA, glycerol, and sodium azide (ab255602).

Immunoprecipitation - Anti-Semaphorin 7a antibody [EPR22644-79] - BSA and Azide free (AB256812)
  • IP

Unknown

Immunoprecipitation - Anti-Semaphorin 7a antibody [EPR22644-79] - BSA and Azide free (AB256812)

Semaphorin 7a was immunoprecipitated from 0.35 mg human testis lysate 10μg with ab255602 at 1/30 dilution (2μg in 0.35mg lysates). Western blot was performed on the immunoprecipitate using ab255602. VeriBlot for IP Detection Reagent (HRP) (ab131366) was used at a 1/1000 dilution.

Lane 1 : Human testis lysate 10μg
Lane 2 : ab255602 IP in Human testis lysate
Lane 3 : Rabbit monoclonal IgG (ab172730) instead of ab255602 in human testis lysate.

Blocking/Dilution buffer : 5% NFDM/TBST.
Exposure time : 3 seconds.

This data was developed using the same antibody clone in a different buffer formulation containing PBS, BSA, glycerol, and sodium azide (ab255602).

All lanes:

Immunoprecipitation - Anti-Semaphorin 7a antibody [EPR22644-79] (<a href='/en-us/products/primary-antibodies/semaphorin-7a-antibody-epr22644-79-ab255602'>ab255602</a>)

Predicted band size: 50 kDa,75 kDa

Observed band size: 75 kDa

false

Key facts

Host species

Rabbit

Clonality

Monoclonal

Clone number

EPR22644-79

Isotype

IgG

Carrier free

Yes

Reacts with

Human

Applications

WB, Flow Cyt, IHC-P, IHC-Fr, IP

applications

Immunogen

The exact immunogen used to generate this antibody is proprietary information.

Reactivity data

{ "title": "Reactivity Data", "filters": { "stats": ["", "Species", "Dilution Info", "Notes"], "tabs": { "all-applications": {"fullname" : "All Applications", "shortname": "All Applications"}, "IP" : {"fullname" : "Immunoprecipitation", "shortname":"IP"}, "FlowCyt" : {"fullname" : "Flow Cytometry", "shortname":"Flow Cyt"}, "WB" : {"fullname" : "Western blot", "shortname":"WB"}, "ICCIF" : {"fullname" : "Immunocytochemistry/ Immunofluorescence", "shortname":"ICC/IF"}, "IHCP" : {"fullname" : "Immunohistochemistry (Formalin/PFA-fixed paraffin-embedded sections)", "shortname":"IHC-P"}, "IHCFr" : {"fullname" : "Immunohistochemistry (Frozen sections)", "shortname":"IHC-Fr"} }, "product-promise": { "all": "all", "testedAndGuaranteed": "tested", "guaranteed": "expected", "predicted": "predicted", "notRecommended": "not-recommended" } }, "values": { "Human": { "IP-species-checked": "testedAndGuaranteed", "IP-species-dilution-info": "", "IP-species-notes": "<p></p>", "FlowCyt-species-checked": "testedAndGuaranteed", "FlowCyt-species-dilution-info": "", "FlowCyt-species-notes": "<p></p>", "WB-species-checked": "testedAndGuaranteed", "WB-species-dilution-info": "", "WB-species-notes": "<p></p>", "ICCIF-species-checked": "notRecommended", "ICCIF-species-dilution-info": "", "ICCIF-species-notes": "<p></p>", "IHCP-species-checked": "testedAndGuaranteed", "IHCP-species-dilution-info": "", "IHCP-species-notes": "<p></p>", "IHCFr-species-checked": "testedAndGuaranteed", "IHCFr-species-dilution-info": "", "IHCFr-species-notes": "<p></p>" } } }

You may be interested in:

AB272193

Human Semaphorin 7A ELISA Kit

0

0 Reviews

View product

We recommend this product because it’s often used in the same experiment or related research.

We advise that you always check the datasheet to ensure it fits your experiments, or contact ourtechnical teamfor help.

Product details

ab256812 is the carrier-free version of ab255602.

Patented technology
Our RabMAb® technology is a patented hybridoma-based technology for making rabbit monoclonal antibodies. For details on our patents, please refer to RabMAb® patents.

What are the advantages of a recombinant monoclonal antibody?
This product is a recombinant monoclonal antibody, which offers several advantages including:

  • - High batch-to-batch consistency and reproducibility
  • - Improved sensitivity and specificity
  • - Long-term security of supply
  • - Animal-free batch production

For more information, read more on recombinant antibodies.

Conjugation ready
Our carrier-free antibodies are typically supplied in a PBS-only formulation, purified and free of BSA, sodium azide and glycerol. This conjugation-ready format is designed for use with fluorochromes, metal isotopes, oligonucleotides, and enzymes, which makes them ideal for antibody labelling, functional and cell-based assays, flow-based assays (e.g. mass cytometry) and Multiplex Imaging applications.

Use our conjugation kits for antibody conjugates that are ready-to-use in as little as 20 minutes with 1 minute hands-on-time and 100% antibody recovery: available for fluorescent dyes, HRP, biotin and gold.

Compatibility
This product is compatible with the Maxpar® Antibody Labeling Kit from Fluidigm, without the need for antibody preparation. Maxpar® is a trademark of Fluidigm Canada Inc.

Properties and storage information

Form
Liquid
Purification technique
Affinity purification Protein A
Storage buffer
pH: 7.2 - 7.4 Constituents: PBS
Shipped at conditions
Blue Ice
Appropriate short-term storage conditions
+4°C
Appropriate long-term storage conditions
+4°C
Storage information
Do Not Freeze

Supplementary information

This supplementary information is collated from multiple sources and compiled automatically.

Semaphorin 7a also known as SEMA7A or CD108 is a glycoprotein that has a molecular mass of approximately 80 kDa. This target plays a role in axonal guidance and immune response regulation. It is a member of the semaphorin family which generally acts as signaling molecules. Semaphorin 7a is expressed in various tissues including the immune system nervous system and some epithelial cells. Its expression is especially significant in T-cells and is involved in modulating cell adhesion and migration.
Biological function summary

Semaphorin 7a is implicated in diverse processes such as immune system modulation and nervous system development. It functions as part of a complex involving integrins which mediate cell-to-cell communication and interaction with the extracellular matrix. This protein can bridge the immune and neural signaling pathways indicating its multifunctional nature within organisms. Its interaction with β1 integrins enhances T-cell activation and cytokine production which is important for immune response.

Pathways

Semaphorin 7a integrates into the MAPK and PI3K signaling pathways. These pathways are essential for cell survival migration and apoptosis. In the MAPK pathway Semaphorin 7a impacts downstream signaling through its interaction with ERK proteins. Its role in the PI3K pathway connects it to AKT proteins influencing cell growth and metabolic processes. These connections show its versatility and critical role in signal transduction linked to cellular behaviors.

Semaphorin 7a has been associated with multiple sclerosis and melanoma. In multiple sclerosis altered expression of this protein can affect immune response and neural repair processes. Its connection to melanoma is linked with its role in regulating cell motility and adhesion impacting cancer progression and metastasis. Semaphorin 7a's interactions with proteins like Melanocortin 1 Receptor (MC1R) in melanoma provide insights into therapeutic targets for disease interventions.

Product protocols

For this product, it's our understanding that no specific protocols are required. You can visit:

Target data

Plays an important role in integrin-mediated signaling and functions both in regulating cell migration and immune responses. Promotes formation of focal adhesion complexes, activation of the protein kinase PTK2/FAK1 and subsequent phosphorylation of MAPK1 and MAPK3. Promotes production of pro-inflammatory cytokines by monocytes and macrophages. Plays an important role in modulating inflammation and T-cell-mediated immune responses. Promotes axon growth in the embryonic olfactory bulb. Promotes attachment, spreading and dendrite outgrowth in melanocytes.
See full target information SEMA7A

Product promise

We are committed to supporting your work with high-quality reagents, and we're here for you every step of the way. In the unlikely event that one of our products does not perform as expected, you're protected by our Product Promise.
For full details, please see our Terms & Conditions

Associated Products

Select an associated product type
Alternative Product
Primary Antibodies

AB26012

FITC Anti-Semaphorin 7a antibody [MEM-150]

primary-antibodies

fitc-semaphorin-7a-antibody-mem-150-ab26012

0

(0 reviews)

Alternative Product
Primary Antibodies

AB90242

Anti-Semaphorin 7a antibody [MM0537-99D22]

primary-antibodies

semaphorin-7a-antibody-mm0537-99d22-ab90242

0

(0 reviews)

Alternative Product
Primary Antibodies

AB23578

Anti-Semaphorin 7a antibody

primary-antibodies

semaphorin-7a-antibody-ab23578

5

(2 reviews)

Alternative Product
Primary Antibodies

AB267399

Anti-Semaphorin 7a antibody [EPR22644-316] - BSA and Azide free

primary-antibodies

semaphorin-7a-antibody-epr22644-316-bsa-and-azide-free-ab267399

0

(0 reviews)

Alternative Product
Primary Antibodies

AB263900

Anti-Semaphorin 7a antibody [EPR22644-316]

primary-antibodies

semaphorin-7a-antibody-epr22644-316-ab263900

0

(0 reviews)

Please note: All products are 'FOR RESEARCH USE ONLY. NOT FOR USE IN DIAGNOSTIC OR THERAPEUTIC PROCEDURES'.

For licensing inquiries, please contact partnerships@abcam.com