JavaScript is disabled in your browser. Please enable JavaScript to view this website.
AB248877

Anti-Semenogelin I antibody [EPR3675(2)] - BSA and Azide free

Be the first to review this product! Submit a review

|

(1 Publication)

Rabbit Recombinant Monoclonal Semenogelin I antibody. Carrier free. Suitable for IHC-P, WB and reacts with Human samples. Cited in 1 publication.

View Alternative Names

SEMG, SEMG1, Semenogelin-1, Cancer/testis antigen 103, Semenogelin I, SGI

2 Images
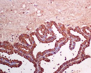
Immunohistochemistry (Formalin/PFA-fixed paraffin-embedded sections) - Anti-Semenogelin I antibody [EPR3675(2)] - BSA and Azide free (AB248877)
  • IHC-P

Unknown

Immunohistochemistry (Formalin/PFA-fixed paraffin-embedded sections) - Anti-Semenogelin I antibody [EPR3675(2)] - BSA and Azide free (AB248877)

This data was developed using ab139405, the same antibody clone in a different buffer formulation.

Immunohistochemical analysis of paraffin-embedded Human seminal vesicle tissue labelling Semenogelin I with ab139405 antibody at 1/50 dilution.

Perform heat mediated antigen retrieval with citrate buffer pH 6 before commencing with IHC staining protocol.

Western blot - Anti-Semenogelin I antibody [EPR3675(2)] - BSA and Azide free (AB248877)
  • WB

Unknown

Western blot - Anti-Semenogelin I antibody [EPR3675(2)] - BSA and Azide free (AB248877)

This data was developed using ab139405, the same antibody clone in a different buffer formulation.

All lanes:

Western blot - Anti-Semenogelin I antibody [EPR3675(2)] (<a href='/en-us/products/primary-antibodies/semenogelin-i-antibody-epr36752-ab139405'>ab139405</a>) at 1/1000 dilution

Lane 1:

Y-79 cell lysate at 10 µg

Lane 2:

Human fetal lung lysate at 10 µg

Secondary

All lanes:

HRP labelled goat anti-rabbit at 1/2000 dilution

Predicted band size: 52 kDa

false

Key facts

Host species

Rabbit

Clonality

Monoclonal

Clone number

EPR3675(2)

Isotype

IgG

Carrier free

Yes

Reacts with

Human

Applications

WB, IHC-P

applications

Immunogen

The exact immunogen used to generate this antibody is proprietary information.

Reactivity data

{ "title": "Reactivity Data", "filters": { "stats": ["", "Species", "Dilution Info", "Notes"], "tabs": { "all-applications": {"fullname" : "All Applications", "shortname": "All Applications"}, "IHCP" : {"fullname" : "Immunohistochemistry (Formalin/PFA-fixed paraffin-embedded sections)", "shortname":"IHC-P"}, "IP" : {"fullname" : "Immunoprecipitation", "shortname":"IP"}, "FlowCyt" : {"fullname" : "Flow Cytometry", "shortname":"Flow Cyt"}, "WB" : {"fullname" : "Western blot", "shortname":"WB"} }, "product-promise": { "all": "all", "testedAndGuaranteed": "tested", "guaranteed": "expected", "predicted": "predicted", "notRecommended": "not-recommended" } }, "values": { "Human": { "IHCP-species-checked": "testedAndGuaranteed", "IHCP-species-dilution-info": "", "IHCP-species-notes": "<p></p>", "IP-species-checked": "notRecommended", "IP-species-dilution-info": "", "IP-species-notes": "<p></p>", "FlowCyt-species-checked": "notRecommended", "FlowCyt-species-dilution-info": "", "FlowCyt-species-notes": "<p></p>", "WB-species-checked": "testedAndGuaranteed", "WB-species-dilution-info": "", "WB-species-notes": "<p></p>" }, "Mouse": { "IHCP-species-checked": "predicted", "IHCP-species-dilution-info": "", "IHCP-species-notes": "", "IP-species-checked": "notRecommended", "IP-species-dilution-info": "", "IP-species-notes": "", "FlowCyt-species-checked": "notRecommended", "FlowCyt-species-dilution-info": "", "FlowCyt-species-notes": "", "WB-species-checked": "predicted", "WB-species-dilution-info": "", "WB-species-notes": "" }, "Rat": { "IHCP-species-checked": "predicted", "IHCP-species-dilution-info": "", "IHCP-species-notes": "", "IP-species-checked": "notRecommended", "IP-species-dilution-info": "", "IP-species-notes": "", "FlowCyt-species-checked": "notRecommended", "FlowCyt-species-dilution-info": "", "FlowCyt-species-notes": "", "WB-species-checked": "predicted", "WB-species-dilution-info": "", "WB-species-notes": "" } } }

Product details

ab248877 is the carrier-free version of ab139405.

Patented technology
Our RabMAb® technology is a patented hybridoma-based technology for making rabbit monoclonal antibodies. For details on our patents, please refer to RabMAb® patents.

What are the advantages of a recombinant monoclonal antibody?
This product is a recombinant monoclonal antibody, which offers several advantages including:

  • - High batch-to-batch consistency and reproducibility
  • - Improved sensitivity and specificity
  • - Long-term security of supply
  • - Animal-free batch production

For more information, read more on recombinant antibodies.

Conjugation ready
Our carrier-free antibodies are typically supplied in a PBS-only formulation, purified and free of BSA, sodium azide and glycerol. This conjugation-ready format is designed for use with fluorochromes, metal isotopes, oligonucleotides, and enzymes, which makes them ideal for antibody labelling, functional and cell-based assays, flow-based assays (e.g. mass cytometry) and Multiplex Imaging applications.

Use our conjugation kits for antibody conjugates that are ready-to-use in as little as 20 minutes with 1 minute hands-on-time and 100% antibody recovery: available for fluorescent dyes, HRP, biotin and gold.

Compatibility
This product is compatible with the Maxpar® Antibody Labeling Kit from Fluidigm, without the need for antibody preparation. Maxpar® is a trademark of Fluidigm Canada Inc.

Properties and storage information

Form
Liquid
Purification technique
Affinity purification Protein A
Storage buffer
pH: 7.2 - 7.4 Constituents: PBS
Shipped at conditions
Blue Ice
Appropriate short-term storage conditions
+4°C
Appropriate long-term storage conditions
+4°C
Storage information
Do Not Freeze

Supplementary information

This supplementary information is collated from multiple sources and compiled automatically.

Semenogelin I sometimes abbreviated as SgI acts mechanically as an important component in the formation of the semen coagulum. This protein has a molecular mass of approximately 52 kDa and is expressed chiefly in the seminal vesicles. After ejaculation Semenogelin I contributes significantly to the formation of a gel-like matrix which plays an important role in the initial viscosity of seminal fluid. Upon the cleavage of Semenogelin I by prostate-specific antigen (PSA) this gel liquefies allowing sperm to achieve motility.
Biological function summary

The primary role of Semenogelin I lies in its involvement in semen coagulation and liquefaction processes. It forms a complex with other seminal plasma proteins to stabilize the gel structure. This structural role ensures that Semenogelin I helps regulate the controlled release and proper function of spermatozoa. Additionally it is implicated in modulating immune system responses against male seminal antigens to prevent adverse reactions in the female reproductive tract.

Pathways

The actions of Semenogelin I integrate it into reproductive and coagulation pathways. In the context of semen coagulation and liquefaction it works closely with PSA which breaks down Semenogelin I and facilitates liquefaction and sperm motility. This process ties Semenogelin I into the prostaglandin signaling pathway which affects reproductive physiology and fertility. Furthermore proteins such as fibronectin and lactoferrin relate to Semenogelin I within these pathways assisting in post-ejaculation changes that enhance sperm function and fertility.

Semenogelin I is linked to fertility issues and prostate cancer. Abnormal levels or altered cleavage patterns can contribute to male infertility potentially through improper semen liquefaction that affects sperm motility. In prostate cancer elevated degradation of Semenogelin I by enzymes like PSA could serve as an indicator of tumor activity and progression. Consequently monitoring Semenogelin I alongside PSA levels can offer insights into both male reproductive health and prostate cancer management.

Product protocols

For this product, it's our understanding that no specific protocols are required. You can visit:

Target data

Predominant protein in semen. It participates in the formation of a gel matrix entrapping the accessory gland secretions and ejaculated spermatozoa. Fragments of semenogelin and/or fragments of the related proteins may contribute to the activation of progressive sperm movements as the gel-forming proteins are fragmented by KLK3/PSA.. Alpha-inhibin-92 and alpha-inhibin-31, derived from the proteolytic degradation of semenogelin, inhibit the secretion of pituitary follicle-stimulating hormone.
See full target information SEMG1

Publications (1)

Recent publications for all applications. Explore the full list and refine your search

Journal of personalized medicine 12: PubMed35207643

2022

Detyrosinated α-Tubulin, Vimentin and PD-L1 in Circulating Tumor Cells (CTCs) Isolated from Non-Small Cell Lung Cancer (NSCLC) Patients.

Applications

Unspecified application

Species

Unspecified reactive species

Spyridoula D Katsarou,Ippokratis Messaritakis,Anastasia Voumvouraki,Stavros Kakavogiannis,Athanasios Κotsakis,Saad Alkahtani,Christos Stournaras,Stuart S Martin,Vassilis Georgoulias,Galatea Kallergi
View all publications

Product promise

We are committed to supporting your work with high-quality reagents, and we're here for you every step of the way. In the unlikely event that one of our products does not perform as expected, you're protected by our Product Promise.
For full details, please see our Terms & Conditions

Please note: All products are 'FOR RESEARCH USE ONLY. NOT FOR USE IN DIAGNOSTIC OR THERAPEUTIC PROCEDURES'.

For licensing inquiries, please contact partnerships@abcam.com