JavaScript is disabled in your browser. Please enable JavaScript to view this website.
AB239937

Anti-SENP1 antibody [EPR3844] - BSA and Azide free

Be the first to review this product! Submit a review

|

(1 Publication)

Rabbit Recombinant Monoclonal SENP1 antibody. Carrier free. Suitable for IHC-P, WB, ICC/IF, Flow Cyt (Intra) and reacts with Human samples. Cited in 1 publication.

View Alternative Names

Sentrin-specific protease 1, Sentrin/SUMO-specific protease SENP1, SENP1

4 Images
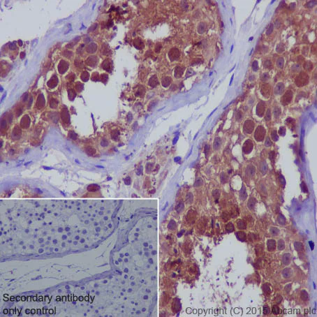
Immunohistochemistry (Formalin/PFA-fixed paraffin-embedded sections) - Anti-SENP1 antibody [EPR3844] - BSA and Azide free (AB239937)
  • IHC-P

Unknown

Immunohistochemistry (Formalin/PFA-fixed paraffin-embedded sections) - Anti-SENP1 antibody [EPR3844] - BSA and Azide free (AB239937)

Immunohistochemical staining of paraffin embedded human testis with purified ab108981 at a working dilution of 1/300. The secondary antibody used is HRP goat anti-rabbit IgG H&L (ab97051) at 1/500. The sample is counter-stained with hematoxylin. Antigen retrieval was perfomed using Tris-EDTA buffer, pH 9.0. PBS was used instead of the primary antibody as the negative control, and is shown in the inset.This data was developed using the same antibody clone in a different buffer formulation containing PBS, BSA, glycerol, and sodium azide (ab108981).

Flow Cytometry (Intracellular) - Anti-SENP1 antibody [EPR3844] - BSA and Azide free (AB239937)
  • Flow Cyt (Intra)

Unknown

Flow Cytometry (Intracellular) - Anti-SENP1 antibody [EPR3844] - BSA and Azide free (AB239937)

Intracellular Flow Cytometry analysis of HeLa cells labelling SENP1 with purified ab108981 at a dilution of 1/20 (red). Cells were fixed with 4% paraformaldehyde and permeabilized with 90% methanol. An Alexa Flour® 488-conjugated goat anti-rabbit IgG (1/2000) was used as the secondary antibody. Black - Isotype control, rabbit monoclonal IgG. Blue - Unlabelled control, cells without incubation with primary and secondary antibodies.

This data was developed using the same antibody clone in a different buffer formulation containing PBS, BSA, glycerol, and sodium azide (ab108981).

Immunocytochemistry/ Immunofluorescence - Anti-SENP1 antibody [EPR3844] - BSA and Azide free (AB239937)
  • ICC/IF

AbReview29250****

Immunocytochemistry/ Immunofluorescence - Anti-SENP1 antibody [EPR3844] - BSA and Azide free (AB239937)

Unpurified ab108981 (1/500) staining SENP1 in HeLa cells (green). Cells were fixed in paraformaldehyde, permeabilised with 0.5% Triton X-100/PBS and counterstained with DAPI in order to highlight the nucleus (red). For further experimental details please refer to Abreview.

This data was developed using the same antibody clone in a different buffer formulation containing PBS, BSA, glycerol, and sodium azide (ab108981).

Image courtesy of an Abreview submitted by Dr. Kirk McManus, Univ. of Manitoba/Cancer Care MICB, Canada

Immunocytochemistry/ Immunofluorescence - Anti-SENP1 antibody [EPR3844] - BSA and Azide free (AB239937)
  • ICC/IF

Unknown

Immunocytochemistry/ Immunofluorescence - Anti-SENP1 antibody [EPR3844] - BSA and Azide free (AB239937)

Immunofluorescence staining of Jurkat cells with purified ab108981 at a working dilution of 1/100, counter-stained with DAPI. The secondary antibody was Alexa Fluor® 488 goat anti-rabbit (ab150077), used at a dilution of 1/1000. ab7291, a mouse anti-tubulin antibody (1/1000), was used to stain tubulin along with ab150120 (Alexa Fluor® 594 goat anti-mouse, 1/1000), shown in the top right hand panel. The cells were fixed in 4% PFA and permeabilized using 0.1% Triton X 100. The negative controls are shown in bottom middle and right hand panels - for negative control 1, purified ab108981 was used at a dilution of 1/500 followed by an Alexa Fluor® 594 goat anti-mouse antibody (ab150120) at a dilution of 1/500. For negative control 2, ab7291 (mouse anti-tubulin) was used at a dilution of 1/500 followed by an Alexa Fluor® 488 goat anti-rabbit antibody (ab150077) at a dilution of 1/400.

This data was developed using the same antibody clone in a different buffer formulation containing PBS, BSA, glycerol, and sodium azide (ab108981).

  • Unconjugated

    Anti-SENP1 antibody [EPR3844]

  • HRP

    HRP Anti-SENP1 antibody [EPR3844]

Key facts

Host species

Rabbit

Clonality

Monoclonal

Clone number

EPR3844

Isotype

IgG

Carrier free

Yes

Reacts with

Human

Applications

WB, IHC-P, Flow Cyt (Intra), ICC/IF

applications

Immunogen

The exact immunogen used to generate this antibody is proprietary information.

Reactivity data

{ "title": "Reactivity Data", "filters": { "stats": ["", "Species", "Dilution Info", "Notes"], "tabs": { "all-applications": {"fullname" : "All Applications", "shortname": "All Applications"}, "IHCP" : {"fullname" : "Immunohistochemistry (Formalin/PFA-fixed paraffin-embedded sections)", "shortname":"IHC-P"}, "WB" : {"fullname" : "Western blot", "shortname":"WB"}, "ICCIF" : {"fullname" : "Immunocytochemistry/ Immunofluorescence", "shortname":"ICC/IF"}, "FlowCytIntra" : {"fullname" : "Flow Cytometry (Intracellular)", "shortname":"Flow Cyt (Intra)"} }, "product-promise": { "all": "all", "testedAndGuaranteed": "tested", "guaranteed": "expected", "predicted": "predicted", "notRecommended": "not-recommended" } }, "values": { "Human": { "IHCP-species-checked": "testedAndGuaranteed", "IHCP-species-dilution-info": "", "IHCP-species-notes": "<p></p> Perform heat-mediated antigen retrieval before commencing with IHC staining protocol.", "WB-species-checked": "guaranteed", "WB-species-dilution-info": "", "WB-species-notes": "<p></p>", "ICCIF-species-checked": "testedAndGuaranteed", "ICCIF-species-dilution-info": "", "ICCIF-species-notes": "<p></p>", "FlowCytIntra-species-checked": "testedAndGuaranteed", "FlowCytIntra-species-dilution-info": "", "FlowCytIntra-species-notes": "<p></p>" } } }

Product details

ab239937 is the carrier-free version of ab108981.

Species reactivity
Mouse, Rat: We have preliminary internal testing data to indicate this antibody may not react with these species.
Please contact us for more information.

Patented technology
Our RabMAb® technology is a patented hybridoma-based technology for making rabbit monoclonal antibodies. For details on our patents, please refer to RabMAb® patents.

What are the advantages of a recombinant monoclonal antibody?
This product is a recombinant monoclonal antibody, which offers several advantages including:

  • - High batch-to-batch consistency and reproducibility
  • - Improved sensitivity and specificity
  • - Long-term security of supply
  • - Animal-free batch production

For more information, read more on recombinant antibodies.

Conjugation ready
Our carrier-free antibodies are typically supplied in a PBS-only formulation, purified and free of BSA, sodium azide and glycerol. This conjugation-ready format is designed for use with fluorochromes, metal isotopes, oligonucleotides, and enzymes, which makes them ideal for antibody labelling, functional and cell-based assays, flow-based assays (e.g. mass cytometry) and Multiplex Imaging applications.

Use our conjugation kits for antibody conjugates that are ready-to-use in as little as 20 minutes with 1 minute hands-on-time and 100% antibody recovery: available for fluorescent dyes, HRP, biotin and gold.

Compatibility
This product is compatible with the Maxpar® Antibody Labeling Kit from Fluidigm, without the need for antibody preparation. Maxpar® is a trademark of Fluidigm Canada Inc.

Properties and storage information

Form
Liquid
Purification technique
Affinity purification Protein A
Storage buffer
pH: 7.2 - 7.4 Constituents: PBS
Shipped at conditions
Blue Ice
Appropriate short-term storage conditions
+4°C
Appropriate long-term storage conditions
+4°C
Storage information
Do Not Freeze

Supplementary information

This supplementary information is collated from multiple sources and compiled automatically.

SENP1 also known as SUMO-specific protease 1 is an enzyme involved in the process of sumoylation a post-translational modification mechanism affecting various proteins. This enzyme has an approximate molecular mass of 73 kDa. SENP1 specifically cleaves SUMO (Small Ubiquitin-like Modifier) from target proteins regulating their function and localization. It shows strong expression in tissues with high cellular turnover like the thymus spleen and testis indicating its significant role in cell growth and development processes.
Biological function summary

SENP1 contributes to cellular homeostasis by modifying and controlling protein interactions and functions. This enzyme facilitates the recycling of SUMO proteins and affects transcription factors such as HIF1α which are vital for cellular response to hypoxia. SENP1 interacts closely with SUMO E3 ligases in complexes coordinating the addition or removal of SUMO groups from target proteins. Its activity is essential for maintaining the balance between protein sumoylation and desumoylation which impacts numerous cellular processes including cell cycle progression and stress response.

Pathways

SENP1 modulates key regulatory pathways related to its sumoylation mechanism. Major pathways where SENP1 plays a role include the HIF-1 signaling pathway where it affects the stability and activity of HIF1α under low oxygen conditions and the p53 signaling pathway influencing cell cycle and apoptosis. SENP1's interactivity with proteins like Ubc9 a SUMO-conjugating enzyme and PIAS3 a SUMO E3 ligase indicates its broad involvement and regulation within these pathways emphasizing its impact on maintaining cellular function and adaptation.

SENP1 associates with certain cancers and neurodegenerative disorders due to its regulatory influence on protein stability and gene expression. Overexpression of SENP1 is often observed in prostate cancer where it desumoylates HIF1α enhancing its transcriptional activity and promoting tumorigenesis. Additionally alterations in SENP1 function might connect to neurodegenerative diseases like Alzheimer's where protein turnover and cellular stress responses are disrupted. Through these disorders SENP1 connects with proteins such as AR (androgen receptor) in cancer contexts and Tau in Alzheimer's underlying its role in disease pathology.

Product protocols

For this product, it's our understanding that no specific protocols are required. You can visit:

Target data

Protease that catalyzes two essential functions in the SUMO pathway (PubMed : 10652325, PubMed : 15199155, PubMed : 15487983, PubMed : 16253240, PubMed : 16553580, PubMed : 21829689, PubMed : 21965678, PubMed : 23160374, PubMed : 24943844, PubMed : 25406032, PubMed : 29506078, PubMed : 34048572, PubMed : 37257451). The first is the hydrolysis of an alpha-linked peptide bond at the C-terminal end of the small ubiquitin-like modifier (SUMO) propeptides, SUMO1, SUMO2 and SUMO3 leading to the mature form of the proteins (PubMed : 15487983). The second is the deconjugation of SUMO1, SUMO2 and SUMO3 from targeted proteins, by cleaving an epsilon-linked peptide bond between the C-terminal glycine of the mature SUMO and the lysine epsilon-amino group of the target protein (PubMed : 15199155, PubMed : 16253240, PubMed : 21829689, PubMed : 21965678, PubMed : 23160374, PubMed : 24943844, PubMed : 25406032, PubMed : 29506078, PubMed : 34048572, PubMed : 37257451). Deconjugates SUMO1 from HIPK2 (PubMed : 16253240). Deconjugates SUMO1 from HDAC1 and BHLHE40/DEC1, which decreases its transcriptional repression activity (PubMed : 15199155, PubMed : 21829689). Deconjugates SUMO1 from CLOCK, which decreases its transcriptional activation activity (PubMed : 23160374). Deconjugates SUMO2 from MTA1 (PubMed : 21965678). Inhibits N(6)-methyladenosine (m6A) RNA methylation by mediating SUMO1 deconjugation from METTL3 and ALKBH5 : METTL3 inhibits the m6A RNA methyltransferase activity, while ALKBH5 desumoylation promotes m6A demethylation (PubMed : 29506078, PubMed : 34048572, PubMed : 37257451). Desumoylates CCAR2 which decreases its interaction with SIRT1 (PubMed : 25406032). Deconjugates SUMO1 from GPS2 (PubMed : 24943844).
See full target information SENP1

Publications (1)

Recent publications for all applications. Explore the full list and refine your search

International journal of oncology 63: PubMed37449524

2023

circRPS19 affects HK2‑mediated aerobic glycolysis and cell viability via the miR‑125a‑5p/USP7 pathway in gastric cancer.

Applications

Unspecified application

Species

Unspecified reactive species

Xia Zheng,Jie Shao,Jun Qian,Shenlin Liu
View all publications

Product promise

We are committed to supporting your work with high-quality reagents, and we're here for you every step of the way. In the unlikely event that one of our products does not perform as expected, you're protected by our Product Promise.
For full details, please see our Terms & Conditions

Please note: All products are 'FOR RESEARCH USE ONLY. NOT FOR USE IN DIAGNOSTIC OR THERAPEUTIC PROCEDURES'.

For licensing inquiries, please contact partnerships@abcam.com