JavaScript is disabled in your browser. Please enable JavaScript to view this website.
AB58420

Anti-SENP5 antibody

3

(3 Reviews)

|

(5 Publications)

Rabbit Polyclonal SENP5 antibody. Suitable for WB, IHC-P and reacts with African green monkey, Human samples. Cited in 5 publications. Immunogen corresponding to Synthetic Peptide within Human SENP5 aa 650-700.

View Alternative Names

FKSG45, SENP5, Sentrin-specific protease 5, Sentrin/SUMO-specific protease SENP5

2 Images
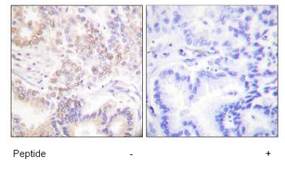
Immunohistochemistry (Formalin/PFA-fixed paraffin-embedded sections) - Anti-SENP5 antibody (AB58420)
  • IHC-P

Unknown

Immunohistochemistry (Formalin/PFA-fixed paraffin-embedded sections) - Anti-SENP5 antibody (AB58420)

Immunohistochemical analysis of paraffin embedded human lung carcinoma using ab58420 at 1/50 dilution, in the absence or presence of the immunizing peptide.

Western blot - Anti-SENP5 antibody (AB58420)
  • WB

Unknown

Western blot - Anti-SENP5 antibody (AB58420)

All lanes:

Western blot - Anti-SENP5 antibody (ab58420) at 1/500 dilution

Lane 1:

Cos 7 cell extract

Lane 2:

Cos 7 cell extract with immunizing peptide

Predicted band size: 87 kDa

Observed band size: 87 kDa

false

Key facts

Host species

Rabbit

Clonality

Polyclonal

Isotype

IgG

Carrier free

No

Reacts with

Human, African green monkey

Applications

IHC-P, WB

applications

Immunogen

Synthetic Peptide within Human SENP5 aa 650-700. The exact immunogen used to generate this antibody is proprietary information.

Q96HI0

Reactivity data

{ "title": "Reactivity Data", "filters": { "stats": ["", "Species", "Dilution Info", "Notes"], "tabs": { "all-applications": {"fullname" : "All Applications", "shortname": "All Applications"}, "WB" : {"fullname" : "Western blot", "shortname":"WB"}, "IHCP" : {"fullname" : "Immunohistochemistry (Formalin/PFA-fixed paraffin-embedded sections)", "shortname":"IHC-P"} }, "product-promise": { "all": "all", "testedAndGuaranteed": "tested", "guaranteed": "expected", "predicted": "predicted", "notRecommended": "not-recommended" } }, "values": { "Human": { "WB-species-checked": "guaranteed", "WB-species-dilution-info": "", "WB-species-notes": "", "IHCP-species-checked": "testedAndGuaranteed", "IHCP-species-dilution-info": "", "IHCP-species-notes": "<p></p>" }, "African green monkey": { "WB-species-checked": "testedAndGuaranteed", "WB-species-dilution-info": "", "WB-species-notes": "<p></p>", "IHCP-species-checked": "guaranteed", "IHCP-species-dilution-info": "", "IHCP-species-notes": "" } } }

Properties and storage information

Form
Liquid
Purification technique
Affinity purification Immunogen
Storage buffer
pH: 7.4 Preservative: 0.02% Sodium azide Constituents: PBS, 50% Glycerol (glycerin, glycerine), 0.87% Sodium chloride
Shipped at conditions
Blue Ice
Appropriate short-term storage conditions
+4°C
Appropriate long-term storage conditions
-20°C
Storage information
Stable for 12 months at -20°C

Supplementary information

This supplementary information is collated from multiple sources and compiled automatically.

SENP5 also known as SUMO-specific protease 5 is an enzyme involved in the processing and deconjugation of SUMO proteins. It has an approximate mass of 82 kDa. SENP5 is expressed mainly in the heart skeletal muscle and to a lesser extent in the testis. This enzyme functions by cleaving SUMO from target proteins enabling the regulation of protein function and localization. It plays a significant role in maintaining cellular homeostasis by reversing the small ubiquitin-like modifier (SUMO) modification cycle.
Biological function summary

SENP5 removes SUMO modifications from proteins involved in cellular processes such as mitotic progression and mitochondrial dynamics. It is not part of a complex but interacts with various cellular proteins to facilitate its role in SUMOylation regulation. By controlling the SUMOylation status SENP5 influences cell cycle progression and cellular stress responses. SENP5 also contributes to mitochondrial morphology by modifying proteins related to mitochondrial fission and fusion processes.

Pathways

SENP5 interacts within the SUMOylation pathway and the mitochondrial pathway. In the SUMOylation pathway SENP5 works alongside other SENP family proteins such as SENP1 and SENP2 which share similar functional roles in SUMO processing. In the mitochondrial pathway SENP5 is linked to the regulation of proteins like DRP1 which is essential for mitochondrial fission. The interactions in these pathways demonstrate SENP5's significant role in cellular homeostasis and energy metabolism.

SENP5's dysregulation has been associated with cardiomyopathy and certain types of cancer. In cardiomyopathy altered SENP5 activity can lead to disrupted mitochondrial dynamics and impaired cardiac function. Its interaction with mitochondrial proteins such as DRP1 illustrates its importance in cardiac cell health. In cancer SENP5's role in cell cycle regulation is important as alterations can lead to uncontrolled cell proliferation. SENP5's interaction with proteins involved in the cell cycle highlights its potential impact on tumor growth and development.

Product protocols

For this product, it's our understanding that no specific protocols are required. You can visit:

Target data

Protease that catalyzes two essential functions in the SUMO pathway : processing of full-length SUMO3 to its mature form and deconjugation of SUMO2 and SUMO3 from targeted proteins. Has weak proteolytic activity against full-length SUMO1 or SUMO1 conjugates. Required for cell division.
See full target information SENP5

Publications (5)

Recent publications for all applications. Explore the full list and refine your search

Bone research 13:72 PubMed40796734

2025

The mitochondrial E3 ligase MAPL SUMOylates Drp1 to facilitate mitochondrial fission in intervertebral disc degeneration.

Applications

Unspecified application

Species

Unspecified reactive species

Zhidi Lin,Xiao Lu,Guangyu Xu,Jian Song,Hongli Wang,Xinlei Xia,Feizhou Lu,Jianyuan Jiang,Wei Zhu,Zuochong Yu,Xiaosheng Ma,Fei Zou

European journal of medical research 30:411 PubMed40410883

2025

SENP5 promotes endometrial cancer cell growth by regulating β-catenin deSUMOylation to enhance GPX4-resistance to ferroptosis.

Applications

Unspecified application

Species

Unspecified reactive species

Ziyuan Wang,Yongmei Zhang,Yongfang Zhang,Qiuhong Deng,Yandong Xi,Wanxia He,Xiaolong Ma

Journal of cell science 134: PubMed34313310

2021

SUMO proteases SENP3 and SENP5 spatiotemporally regulate the kinase activity of Aurora A.

Applications

Unspecified application

Species

Unspecified reactive species

Bin Yu,Qiaoyu Lin,Chao Huang,Boyan Zhang,Ying Wang,Qing Jiang,Chuanmao Zhang,Jing Yi

PloS one 15:e0242606 PubMed33211757

2020

Zinc deficiency induces abnormal development of the myocardium by promoting SENP5 overexpression.

Applications

Unspecified application

Species

Unspecified reactive species

Xiaoyu Zhang,Cuancuan Wang,Dan Zhao,Xuhong Chen,Chunyan Zhang,Jun Zheng,Xiaozhi Liu

Molecular and cellular biology 30:4901-21 PubMed20696840

2010

Mechanism of hypoxia-induced NF-kappaB.

Applications

WB

Species

Human

Carolyn Culver,Anders Sundqvist,Sharon Mudie,Andrew Melvin,Dimitris Xirodimas,Sonia Rocha
View all publications

Product promise

We are committed to supporting your work with high-quality reagents, and we're here for you every step of the way. In the unlikely event that one of our products does not perform as expected, you're protected by our Product Promise.
For full details, please see our Terms & Conditions

Please note: All products are 'FOR RESEARCH USE ONLY. NOT FOR USE IN DIAGNOSTIC OR THERAPEUTIC PROCEDURES'.

For licensing inquiries, please contact partnerships@abcam.com