JavaScript is disabled in your browser. Please enable JavaScript to view this website.
AB247132

Anti-SEPN1/SELN antibody

Be the first to review this product! Submit a review

|

(0 Publication)

Rabbit Polyclonal SEPN1/SELN antibody. Suitable for IHC-P, ICC/IF and reacts with Human samples. Immunogen corresponding to Recombinant Fragment Protein within Human SELENON aa 450 to C-terminus.

View Alternative Names

SELN, SEPN1, SELENON, Selenoprotein N, SelN

2 Images
Immunocytochemistry/ Immunofluorescence - Anti-SEPN1/SELN antibody (AB247132)
  • ICC/IF

Unknown

Immunocytochemistry/ Immunofluorescence - Anti-SEPN1/SELN antibody (AB247132)

PFA fixed, Triton X-100 permeabilized A431 (Human epidermoid carcinoma cell line) cells labeling SEPN1/SELN using ab247132 at 4 μg/ml (green) in ICC/IF.

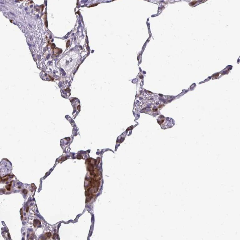
Immunohistochemistry (Formalin/PFA-fixed paraffin-embedded sections) - Anti-SEPN1/SELN antibody (AB247132)
  • IHC-P

Unknown

Immunohistochemistry (Formalin/PFA-fixed paraffin-embedded sections) - Anti-SEPN1/SELN antibody (AB247132)

Paraffin-embedded human lung tissue stained for SEPN1/SELN using ab247132 at 1/500 dilution in immunohistochemical analysis.

Key facts

Host species

Rabbit

Clonality

Polyclonal

Isotype

IgG

Carrier free

No

Reacts with

Human

Applications

ICC/IF, IHC-P

applications

Immunogen

Recombinant Fragment Protein within Human SELENON aa 450 to C-terminus. The exact immunogen used to generate this antibody is proprietary information.

Q9NZV5

Reactivity data

{ "title": "Reactivity Data", "filters": { "stats": ["", "Species", "Dilution Info", "Notes"], "tabs": { "all-applications": {"fullname" : "All Applications", "shortname": "All Applications"}, "IHCP" : {"fullname" : "Immunohistochemistry (Formalin/PFA-fixed paraffin-embedded sections)", "shortname":"IHC-P"}, "ICCIF" : {"fullname" : "Immunocytochemistry/ Immunofluorescence", "shortname":"ICC/IF"} }, "product-promise": { "all": "all", "testedAndGuaranteed": "tested", "guaranteed": "expected", "predicted": "predicted", "notRecommended": "not-recommended" } }, "values": { "Human": { "IHCP-species-checked": "testedAndGuaranteed", "IHCP-species-dilution-info": "1/500 - 1/1000", "IHCP-species-notes": "<p></p> Perform heat-mediated antigen retrieval with citrate buffer pH 6 before commencing with IHC staining protocol.", "ICCIF-species-checked": "testedAndGuaranteed", "ICCIF-species-dilution-info": "0.25-2 µg/mL", "ICCIF-species-notes": "<p>Fixation/Permeabilization: PFA/Triton X-100.</p>" } } }

Properties and storage information

Form
Liquid
Purification technique
Affinity purification Immunogen
Storage buffer
pH: 7.2 Preservative: 0.02% Sodium azide Constituents: PBS, 40% Glycerol (glycerin, glycerine)
Shipped at conditions
Blue Ice
Appropriate short-term storage duration
1-2 weeks
Appropriate short-term storage conditions
+4°C
Appropriate long-term storage conditions
-20°C
Aliquoting information
Upon delivery aliquot
Storage information
Avoid freeze / thaw cycle

Supplementary information

This supplementary information is collated from multiple sources and compiled automatically.

SEPN1 also known as SELN or selenoprotein N is a selenoprotein that plays important roles in protecting cells from oxidative stress. It is about 65 kDa in mass and is a member of the selenoprotein family characterized by containing the rare amino acid selenocysteine. Its expression occurs mainly in skeletal muscle though it can be found in various other tissues. SEPN1 primarily localizes in the endoplasmic reticulum where it interacts with other cellular components involved in maintaining redox balance.
Biological function summary

SEPN1 is involved in protecting cells by reducing oxidative stress and maintaining proper calcium homeostasis within the muscular system. It integrates into the molecular chaperone complex influencing the function and stabilization of muscle cells. By modulating calcium dynamics and redox status SEPN1 helps ensure proper muscle contraction and cellular integrity which is essential for normal muscle physiology.

Pathways

The functions of SEPN1 intersect with those involved in redox regulation and calcium signaling. SEPN1 plays a role in the endoplasmic reticulum’s function particularly influencing the oxidative folding of proteins. In this context it works alongside proteins like calreticulin and calnexin important for protein folding and quality control. In calcium signaling SEPN1 affects the pathway by influencing the release and uptake of calcium ions necessary for muscle function and signaling pathways.

SEPN1 links to conditions like SEPN1-related myopathy and muscular dystrophy. SEPN1-related myopathy involves weakness and wasting of muscle tissue often evident from early childhood which affects respiratory and skeletal muscles. The dysfunction of this protein can result in improper calcium regulation and compromised muscle cell protection leading to clinical symptoms. Such disorders sometimes involve mutant forms of the selenoprotein family including selenoprotein T indicating overlapping pathways that contribute to muscle tissue pathology.

Product protocols

For this product, it's our understanding that no specific protocols are required. You can visit:

Target data

Isoform 2. Plays an important role in cell protection against oxidative stress and in the regulation of redox-related calcium homeostasis. Regulates the calcium level of the ER by protecting the calcium pump ATP2A2 against the oxidoreductase ERO1A-mediated oxidative damage. Within the ER, ERO1A activity increases the concentration of H(2)O(2), which attacks the luminal thiols in ATP2A2 and thus leads to cysteinyl sulfenic acid formation (-SOH) and SEPN1 reduces the SOH back to free thiol (-SH), thus restoring ATP2A2 activity (PubMed : 25452428). Acts as a modulator of ryanodine receptor (RyR) activity : protects RyR from oxidation due to increased oxidative stress, or directly controls the RyR redox state, regulating the RyR-mediated calcium mobilization required for normal muscle development and differentiation (PubMed : 18713863, PubMed : 19557870).. Essential for muscle regeneration and satellite cell maintenance in skeletal muscle (PubMed : 21131290).
See full target information SELENON

Product promise

We are committed to supporting your work with high-quality reagents, and we're here for you every step of the way. In the unlikely event that one of our products does not perform as expected, you're protected by our Product Promise.
For full details, please see our Terms & Conditions

Please note: All products are 'FOR RESEARCH USE ONLY. NOT FOR USE IN DIAGNOSTIC OR THERAPEUTIC PROCEDURES'.

For licensing inquiries, please contact partnerships@abcam.com