JavaScript is disabled in your browser. Please enable JavaScript to view this website.
AB288411

Anti-SEPT5 antibody [SP18]

Be the first to review this product! Submit a review

|

(0 Publication)

Rabbit Recombinant Monoclonal CD79A antibody. Suitable for WB, IHC-P and reacts with Mouse, Rat, Rabbit samples.

View Alternative Names

CD79a, IGA, MB1, CD79A, B-cell antigen receptor complex-associated protein alpha chain, Ig-alpha, MB-1 membrane glycoprotein, Membrane-bound immunoglobulin-associated protein, Surface IgM-associated protein

2 Images
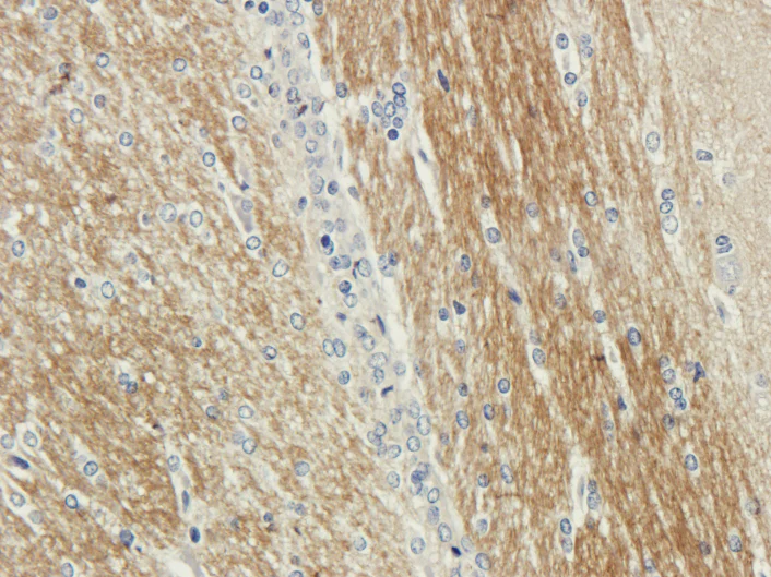
Immunohistochemistry (Formalin/PFA-fixed paraffin-embedded sections) - Anti-SEPT5 antibody [SP18] (AB288411)
  • IHC-P

Supplier Data

Immunohistochemistry (Formalin/PFA-fixed paraffin-embedded sections) - Anti-SEPT5 antibody [SP18] (AB288411)

The image data was generated using a mouse monoclonal version of the same antibody clone

Immunohistochemical staining of rabbit brain using anti-SEPT5 antibody. Formalin fixed rabbit brain slices were were stained with the anti-SEPT5 antibody at 3 μg/ml.

Western blot - Anti-SEPT5 antibody [SP18] (AB288411)
  • WB

Supplier Data

Western blot - Anti-SEPT5 antibody [SP18] (AB288411)

The image data was generated using a mouse monoclonal version of the same antibody clone

All lanes:

Western blot - Anti-SEPT5 antibody [SP18] (ab288411) at 2 µg/mL

Lane 1:

Rat brain tissue

Lane 2:

Mouse spinal cord tissue

Lane 3:

Rat testis tissue

Lane 4:

Human lung cancer tissue

Lane 5:

Human breast cancer tissue

Predicted band size: 43 kDa

Observed band size: 43 kDa

false

Key facts

Host species

Rabbit

Clonality

Monoclonal

Clone number

SP18

Isotype

IgG

Light chain type

kappa

Carrier free

No

Reacts with

Rabbit, Rat, Mouse

Applications

WB, IHC-P

applications

Specificity

This antibody recognises CDCrel-1 and does not cross-react with CDCrel-2.

Reactivity data

{ "title": "Reactivity Data", "filters": { "stats": ["", "Species", "Dilution Info", "Notes"], "tabs": { "all-applications": {"fullname" : "All Applications", "shortname": "All Applications"}, "WB" : {"fullname" : "Western blot", "shortname":"WB"}, "IHCP" : {"fullname" : "Immunohistochemistry (Formalin/PFA-fixed paraffin-embedded sections)", "shortname":"IHC-P"} }, "product-promise": { "all": "all", "testedAndGuaranteed": "tested", "guaranteed": "expected", "predicted": "predicted", "notRecommended": "not-recommended" } }, "values": { "Human": { "WB-species-checked": "predicted", "WB-species-dilution-info": "", "WB-species-notes": "", "IHCP-species-checked": "predicted", "IHCP-species-dilution-info": "", "IHCP-species-notes": "" }, "Mouse": { "WB-species-checked": "testedAndGuaranteed", "WB-species-dilution-info": "", "WB-species-notes": "<p></p>", "IHCP-species-checked": "guaranteed", "IHCP-species-dilution-info": "", "IHCP-species-notes": "" }, "Rat": { "WB-species-checked": "testedAndGuaranteed", "WB-species-dilution-info": "", "WB-species-notes": "<p></p>", "IHCP-species-checked": "guaranteed", "IHCP-species-dilution-info": "", "IHCP-species-notes": "" }, "Rabbit": { "WB-species-checked": "testedAndGuaranteed", "WB-species-dilution-info": "", "WB-species-notes": "<p></p>", "IHCP-species-checked": "testedAndGuaranteed", "IHCP-species-dilution-info": "", "IHCP-species-notes": "<p></p>" } } }

Properties and storage information

Form
Liquid
Purification technique
Affinity purification Protein A
Storage buffer
Preservative: 0.02% Proclin 300 Constituents: PBS
Shipped at conditions
Blue Ice
Appropriate short-term storage duration
1-2 weeks
Appropriate short-term storage conditions
+4°C
Appropriate long-term storage conditions
-20°C
Aliquoting information
Upon delivery aliquot
Storage information
Avoid freeze / thaw cycle

Supplementary information

This supplementary information is collated from multiple sources and compiled automatically.

SEPT5 also known as PNUTL1 or hCNTRL is a protein involved in the mechanics of cellular division and membrane dynamics. It has a molecular mass of about 39 kDa and is predominantly found in neuronal and hematopoietic tissues. SEPT5 functions as part of the septin family which plays a role in cytoskeletal rearrangements. Within cells SEPT5 assembles into filaments essential for maintaining structural integrity during cell division.
Biological function summary

SEPT5 is involved in bundling and organizing actin filaments. It forms part of a larger septin complex which includes other septin proteins like SEPT2 and SEPT7. This complex is responsible for the proper organization and stability of cytoskeletal structures which is important for processes like cytokinesis and exocytosis. SEPT5's ability to bind lipid membranes indicates its role in membrane-trafficking processes. Its interactions with vesicular proteins suggest SEPT5's involvement in neurotransmitter release.

Pathways

SEPT5 plays a role in the cell cycle and synaptic vesicle trafficking pathways. In the cell cycle SEPT5 collaborates with proteins such as Cdc42 and calmodulin to ensure accurate division timing and fidelity. In synaptic vesicle trafficking SEPT5 associates with proteins like syntaxin and SNARE complexes contributing to the regulation of neurotransmitter release. These pathways highlight the importance of SEPT5 in both cell proliferation and nervous system functioning.

SEPT5 has been implicated in conditions like Parkinson's disease and acute myeloid leukemia (AML). In Parkinson's disease SEPT5 may interact with alpha-synuclein which is known to disrupt synaptic function and contribute to the pathogenesis of the disorder. In AML deregulation of SEPT5 expression disturbs normal cell division processes. Its interactions with other septins and cell cycle regulators have implications for understanding its role in these diseases.

Product protocols

For this product, it's our understanding that no specific protocols are required. You can visit:

Target data

Required in cooperation with CD79B for initiation of the signal transduction cascade activated by binding of antigen to the B-cell antigen receptor complex (BCR) which leads to internalization of the complex, trafficking to late endosomes and antigen presentation. Also required for BCR surface expression and for efficient differentiation of pro- and pre-B-cells. Stimulates SYK autophosphorylation and activation. Binds to BLNK, bringing BLNK into proximity with SYK and allowing SYK to phosphorylate BLNK. Also interacts with and increases activity of some Src-family tyrosine kinases. Represses BCR signaling during development of immature B-cells.
See full target information CD79A

Product promise

We are committed to supporting your work with high-quality reagents, and we're here for you every step of the way. In the unlikely event that one of our products does not perform as expected, you're protected by our Product Promise.
For full details, please see our Terms & Conditions

Please note: All products are 'FOR RESEARCH USE ONLY. NOT FOR USE IN DIAGNOSTIC OR THERAPEUTIC PROCEDURES'.

For licensing inquiries, please contact partnerships@abcam.com