JavaScript is disabled in your browser. Please enable JavaScript to view this website.
AB244434

Anti-SEPT7 antibody

Be the first to review this product! Submit a review

|

(1 Publication)

Rabbit Polyclonal SEPT7 antibody. Suitable for IHC-P, WB, ICC/IF and reacts with Human, Mouse, Rat samples. Cited in 1 publication. Immunogen corresponding to Recombinant Fragment Protein within Human SEPTIN7 aa 150-300.

View Alternative Names

CDC10, SEPT7, SEPTIN7, Septin-7, CDC10 protein homolog

8 Images
Immunohistochemistry (Formalin/PFA-fixed paraffin-embedded sections) - Anti-SEPT7 antibody (AB244434)
  • IHC-P

Unknown

Immunohistochemistry (Formalin/PFA-fixed paraffin-embedded sections) - Anti-SEPT7 antibody (AB244434)

Paraffin-embedded human skeletal muscle tissue stained for SEPT7 using ab244434 at 1/500 dilution in immunohistochemical analysis. No positivity in myocytes, as expected.

Immunocytochemistry/ Immunofluorescence - Anti-SEPT7 antibody (AB244434)
  • ICC/IF

Unknown

Immunocytochemistry/ Immunofluorescence - Anti-SEPT7 antibody (AB244434)

PFA-fixed, Triton X-100 permeabilized A431 (human epidermoid carcinoma cell line) cells stained for SEPT7 (green) using ab244434 at 4 μg/ml in ICC/IF.

Immunohistochemistry (Formalin/PFA-fixed paraffin-embedded sections) - Anti-SEPT7 antibody (AB244434)
  • IHC-P

Unknown

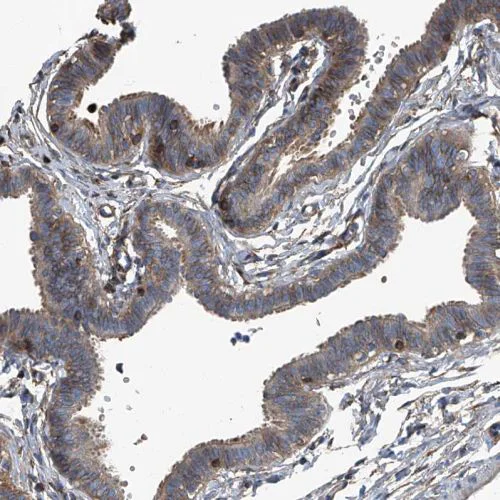
Immunohistochemistry (Formalin/PFA-fixed paraffin-embedded sections) - Anti-SEPT7 antibody (AB244434)

Paraffin-embedded human fallopian tube tissue stained for SEPT7 using ab244434 at 1/500 dilution in immunohistochemical analysis.

Immunohistochemistry (Formalin/PFA-fixed paraffin-embedded sections) - Anti-SEPT7 antibody (AB244434)
  • IHC-P

Unknown

Immunohistochemistry (Formalin/PFA-fixed paraffin-embedded sections) - Anti-SEPT7 antibody (AB244434)

Paraffin-embedded human cerebral cortex tissue stained for SEPT7 using ab244434 at 1/500 dilution in immunohistochemical analysis.

Immunohistochemistry (Formalin/PFA-fixed paraffin-embedded sections) - Anti-SEPT7 antibody (AB244434)
  • IHC-P

Unknown

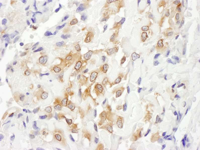
Immunohistochemistry (Formalin/PFA-fixed paraffin-embedded sections) - Anti-SEPT7 antibody (AB244434)

Paraffin-embedded human testis tissue stained for SEPT7 using ab244434 at 1/500 dilution in immunohistochemical analysis.

Immunohistochemistry (Formalin/PFA-fixed paraffin-embedded sections) - Anti-SEPT7 antibody (AB244434)
  • IHC-P

Unknown

Immunohistochemistry (Formalin/PFA-fixed paraffin-embedded sections) - Anti-SEPT7 antibody (AB244434)

Paraffin-embedded human lymph node tissue stained for SEPT7 using ab244434 at 1/500 dilution in immunohistochemical analysis.

Western blot - Anti-SEPT7 antibody (AB244434)
  • WB

Unknown

Western blot - Anti-SEPT7 antibody (AB244434)

All lanes:

Western blot - Anti-SEPT7 antibody (ab244434) at 0.4 µg/mL

All lanes:

U-2 OS (human bone osteosarcoma epithelial cell line) cell lysate

Predicted band size: 51 kDa

false

Western blot - Anti-SEPT7 antibody (AB244434)
  • WB

Unknown

Western blot - Anti-SEPT7 antibody (AB244434)

All lanes:

Western blot - Anti-SEPT7 antibody (ab244434) at 0.4 µg/mL

Lane 1:

NIH/3T3 (mouse embryo fibroblast cell line9 cell lysate

Lane 2:

NBT II (rat cell line) cell lysate

Predicted band size: 51 kDa

false

Key facts

Host species

Rabbit

Clonality

Polyclonal

Isotype

IgG

Carrier free

No

Reacts with

Mouse, Rat, Human

Applications

ICC/IF, WB, IHC-P

applications

Immunogen

Recombinant Fragment Protein within Human SEPTIN7 aa 150-300. The exact immunogen used to generate this antibody is proprietary information.

Q16181

Reactivity data

{ "title": "Reactivity Data", "filters": { "stats": ["", "Species", "Dilution Info", "Notes"], "tabs": { "all-applications": {"fullname" : "All Applications", "shortname": "All Applications"}, "IHCP" : {"fullname" : "Immunohistochemistry (Formalin/PFA-fixed paraffin-embedded sections)", "shortname":"IHC-P"}, "WB" : {"fullname" : "Western blot", "shortname":"WB"}, "ICCIF" : {"fullname" : "Immunocytochemistry/ Immunofluorescence", "shortname":"ICC/IF"} }, "product-promise": { "all": "all", "testedAndGuaranteed": "tested", "guaranteed": "expected", "predicted": "predicted", "notRecommended": "not-recommended" } }, "values": { "Human": { "IHCP-species-checked": "testedAndGuaranteed", "IHCP-species-dilution-info": "1/500 - 1/1000", "IHCP-species-notes": "<p></p> Perform heat-mediated antigen retrieval with citrate buffer pH 6 before commencing with IHC staining protocol.", "WB-species-checked": "testedAndGuaranteed", "WB-species-dilution-info": "0.04-0.4 µg/mL", "WB-species-notes": "<p></p>", "ICCIF-species-checked": "testedAndGuaranteed", "ICCIF-species-dilution-info": "0.25-2 µg/mL", "ICCIF-species-notes": "<p>Fixation/Permeabilization: PFA/Triton X-100.</p>" }, "Mouse": { "IHCP-species-checked": "guaranteed", "IHCP-species-dilution-info": "", "IHCP-species-notes": "", "WB-species-checked": "testedAndGuaranteed", "WB-species-dilution-info": "0.04-0.4 µg/mL", "WB-species-notes": "<p></p>", "ICCIF-species-checked": "guaranteed", "ICCIF-species-dilution-info": "", "ICCIF-species-notes": "" }, "Rat": { "IHCP-species-checked": "guaranteed", "IHCP-species-dilution-info": "", "IHCP-species-notes": "", "WB-species-checked": "testedAndGuaranteed", "WB-species-dilution-info": "0.04-0.4 µg/mL", "WB-species-notes": "<p></p>", "ICCIF-species-checked": "guaranteed", "ICCIF-species-dilution-info": "", "ICCIF-species-notes": "" }, "Orangutan": { "IHCP-species-checked": "predicted", "IHCP-species-dilution-info": "", "IHCP-species-notes": "", "WB-species-checked": "predicted", "WB-species-dilution-info": "", "WB-species-notes": "", "ICCIF-species-checked": "predicted", "ICCIF-species-dilution-info": "", "ICCIF-species-notes": "" } } }

Properties and storage information

Form
Liquid
Purification technique
Affinity purification Immunogen
Storage buffer
pH: 7.2 Preservative: 0.02% Sodium azide Constituents: PBS, 40% Glycerol (glycerin, glycerine)
Shipped at conditions
Blue Ice
Appropriate short-term storage duration
1-2 weeks
Appropriate short-term storage conditions
+4°C
Appropriate long-term storage conditions
-20°C
Aliquoting information
Upon delivery aliquot
Storage information
Avoid freeze / thaw cycle

Supplementary information

This supplementary information is collated from multiple sources and compiled automatically.

SEPT7 also known as Septin-7 or CDC10 is a protein that belongs to the septin family. Septins are GTP-binding proteins known for forming hetero-oligomeric complexes. SEPT7 has an approximate molecular mass of 52 kDa. It is expressed in a variety of tissues including the brain heart liver and kidneys among others. Mechanically SEPT7 plays a role in forming filaments and rings serving as scaffolds for other proteins and contributing to the structural organization of the cytoskeleton.
Biological function summary

In cellular environments SEPT7 is a part of the septin complex which is important for maintaining cell shape and polarity. It participates in processes involving cell division particularly during cytokinesis where it helps in forming the contractile ring necessary for dividing cells. SEPT7 also interacts with actin and microtubules facilitating cell movement and intracellular transport. This protein's dynamics contribute to the stability and segregation of cellular components during cell division.

Pathways

SEPT7 plays a role in the regulation of the actin cytoskeleton and cell cycle pathways. It interacts with proteins like actin an important component in cellular motion and structure. SEPT7's involvement in the cellular cycle pathway connects it to proteins such as CDC42 which regulate cell proliferation and differentiation. These interactions make SEPT7 significant in controlling the proper progression through different cell cycle phases.

SEPT7 has connections to cancer and neurological disorders. Its disrupted expression has been linked to tumorigenesis as abnormalities in cell division and cytoskeletal organization can promote malignant transformation. In neurological contexts SEPT7 interacts with presynaptic proteins and its dysregulation is related to neurodegenerative diseases such as Alzheimer's disease. Deficiencies in SEPT7 may lead to improper synaptic functioning contributing to disease pathology.

Product protocols

For this product, it's our understanding that no specific protocols are required. You can visit:

Target data

Filament-forming cytoskeletal GTPase. Required for normal organization of the actin cytoskeleton. Required for normal progress through mitosis. Involved in cytokinesis. Required for normal association of CENPE with the kinetochore. Plays a role in ciliogenesis and collective cell movements. Forms a filamentous structure with SEPTIN12, SEPTIN6, SEPTIN2 and probably SEPTIN4 at the sperm annulus which is required for the structural integrity and motility of the sperm tail during postmeiotic differentiation (PubMed : 25588830).
See full target information SEPTIN7

Publications (1)

Recent publications for all applications. Explore the full list and refine your search

American journal of physiology. Cell physiology 319:C93-C104 PubMed31747529

2019

Downregulation of AAA-domain-containing protein 2 restrains cancer stem cell properties in esophageal squamous cell carcinoma via blockade of the Hedgehog signaling pathway.

Applications

Unspecified application

Species

Unspecified reactive species

Nuo Li,Yang Yu,Baoming Wang
View all publications

Product promise

We are committed to supporting your work with high-quality reagents, and we're here for you every step of the way. In the unlikely event that one of our products does not perform as expected, you're protected by our Product Promise.
For full details, please see our Terms & Conditions

Please note: All products are 'FOR RESEARCH USE ONLY. NOT FOR USE IN DIAGNOSTIC OR THERAPEUTIC PROCEDURES'.

For licensing inquiries, please contact partnerships@abcam.com