JavaScript is disabled in your browser. Please enable JavaScript to view this website.
AB224410

Anti-Septin 2 antibody

Be the first to review this product! Submit a review

|

(1 Publication)

Rabbit Polyclonal Septin 2 antibody. Suitable for IHC-P, WB, ICC/IF and reacts with Human, Mouse, Rat samples. Cited in 1 publication. Immunogen corresponding to Recombinant Fragment Protein within Human SEPTIN2 aa 250 to C-terminus.

View Alternative Names

DIFF6, KIAA0158, NEDD5, SEPT2, SEPTIN2, Septin-2, Neural precursor cell expressed developmentally down-regulated protein 5, NEDD-5

6 Images
Immunohistochemistry (Formalin/PFA-fixed paraffin-embedded sections) - Anti-Septin 2 antibody (AB224410)
  • IHC-P

Unknown

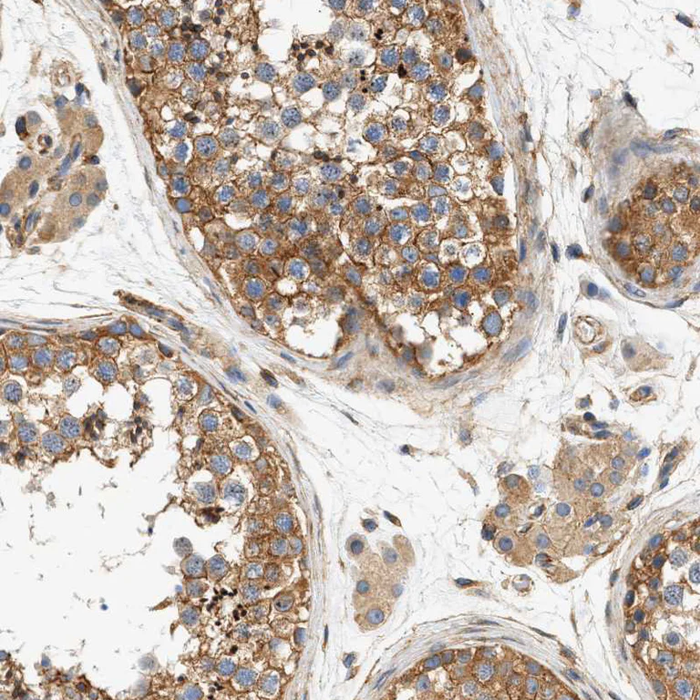
Immunohistochemistry (Formalin/PFA-fixed paraffin-embedded sections) - Anti-Septin 2 antibody (AB224410)

Paraffin-embedded human testis stained for Septin2 using ab224410 at 1/200 dilution in immunohistochemical analysis. Shows strong cytoplasmic and membranous positivity in cells in seminiferous ducts.

Immunohistochemistry (Formalin/PFA-fixed paraffin-embedded sections) - Anti-Septin 2 antibody (AB224410)
  • IHC-P

Unknown

Immunohistochemistry (Formalin/PFA-fixed paraffin-embedded sections) - Anti-Septin 2 antibody (AB224410)

Paraffin-embedded human small intestine stained for Septin2 using ab224410 at 1/200 dilution in immunohistochemical analysis. Shows weak cytoplasmic positivity in glandular cells.

Immunocytochemistry/ Immunofluorescence - Anti-Septin 2 antibody (AB224410)
  • ICC/IF

Supplier Data

Immunocytochemistry/ Immunofluorescence - Anti-Septin 2 antibody (AB224410)

PFA-fixed, Triton X-100 permeabilized U-2 OS (human bone osteosarcoma epithelial cell line) cells stained for Septin 2 (green) using ab224410 at 4 μg/ml in ICC/IF.

Immunohistochemistry (Formalin/PFA-fixed paraffin-embedded sections) - Anti-Septin 2 antibody (AB224410)
  • IHC-P

Unknown

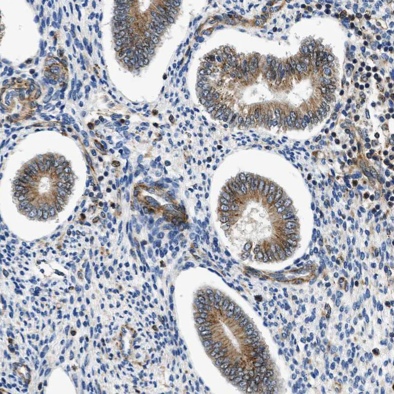
Immunohistochemistry (Formalin/PFA-fixed paraffin-embedded sections) - Anti-Septin 2 antibody (AB224410)

Paraffin-embedded human endometrium stained for Septin2 using ab224410 at 1/200 dilution in immunohistochemical analysis. Shows moderate cytoplasmic positivity in glandular cells.

Immunohistochemistry (Formalin/PFA-fixed paraffin-embedded sections) - Anti-Septin 2 antibody (AB224410)
  • IHC-P

Unknown

Immunohistochemistry (Formalin/PFA-fixed paraffin-embedded sections) - Anti-Septin 2 antibody (AB224410)

Paraffin-embedded human cerebral cortex stained for Septin2 using ab224410 at 1/200 dilution in immunohistochemical analysis. Shows strong cytoplasmic positivity in glial cells.

Western blot - Anti-Septin 2 antibody (AB224410)
  • WB

Supplier Data

Western blot - Anti-Septin 2 antibody (AB224410)

All lanes:

Western blot - Anti-Septin 2 antibody (ab224410) at 1/100 dilution

Lane 1:

NIH/3T3 (mouse embyro fibroblast cell line) cell lysate

Lane 2:

NBT-II cell lysate

Predicted band size: 41 kDa

false

Key facts

Host species

Rabbit

Clonality

Polyclonal

Isotype

IgG

Carrier free

No

Reacts with

Mouse, Rat, Human

Applications

ICC/IF, IHC-P, WB

applications

Immunogen

Recombinant Fragment Protein within Human SEPTIN2 aa 250 to C-terminus. The exact immunogen used to generate this antibody is proprietary information.

Q15019

Reactivity data

{ "title": "Reactivity Data", "filters": { "stats": ["", "Species", "Dilution Info", "Notes"], "tabs": { "all-applications": {"fullname" : "All Applications", "shortname": "All Applications"}, "IHCP" : {"fullname" : "Immunohistochemistry (Formalin/PFA-fixed paraffin-embedded sections)", "shortname":"IHC-P"}, "WB" : {"fullname" : "Western blot", "shortname":"WB"}, "ICCIF" : {"fullname" : "Immunocytochemistry/ Immunofluorescence", "shortname":"ICC/IF"} }, "product-promise": { "all": "all", "testedAndGuaranteed": "tested", "guaranteed": "expected", "predicted": "predicted", "notRecommended": "not-recommended" } }, "values": { "Human": { "IHCP-species-checked": "testedAndGuaranteed", "IHCP-species-dilution-info": "1/200 - 1/500", "IHCP-species-notes": "<p></p> Perform heat-mediated antigen retrieval with citrate buffer pH 6 before commencing with IHC staining protocol.", "WB-species-checked": "guaranteed", "WB-species-dilution-info": "", "WB-species-notes": "", "ICCIF-species-checked": "testedAndGuaranteed", "ICCIF-species-dilution-info": "0.25-2 µg/mL", "ICCIF-species-notes": "<p>Fixation/Permeabilization: PFA/Triton X-100.</p>" }, "Mouse": { "IHCP-species-checked": "guaranteed", "IHCP-species-dilution-info": "", "IHCP-species-notes": "", "WB-species-checked": "testedAndGuaranteed", "WB-species-dilution-info": "0.04-0.4 µg/mL", "WB-species-notes": "<p></p>", "ICCIF-species-checked": "guaranteed", "ICCIF-species-dilution-info": "", "ICCIF-species-notes": "" }, "Rat": { "IHCP-species-checked": "guaranteed", "IHCP-species-dilution-info": "", "IHCP-species-notes": "", "WB-species-checked": "testedAndGuaranteed", "WB-species-dilution-info": "0.04-0.4 µg/mL", "WB-species-notes": "<p></p>", "ICCIF-species-checked": "guaranteed", "ICCIF-species-dilution-info": "", "ICCIF-species-notes": "" }, "Cow": { "IHCP-species-checked": "predicted", "IHCP-species-dilution-info": "", "IHCP-species-notes": "", "WB-species-checked": "predicted", "WB-species-dilution-info": "", "WB-species-notes": "", "ICCIF-species-checked": "predicted", "ICCIF-species-dilution-info": "", "ICCIF-species-notes": "" }, "Orangutan": { "IHCP-species-checked": "predicted", "IHCP-species-dilution-info": "", "IHCP-species-notes": "", "WB-species-checked": "predicted", "WB-species-dilution-info": "", "WB-species-notes": "", "ICCIF-species-checked": "predicted", "ICCIF-species-dilution-info": "", "ICCIF-species-notes": "" } } }

Properties and storage information

Form
Liquid
Purification technique
Affinity purification Immunogen
Storage buffer
pH: 7.2 Preservative: 0.02% Sodium azide Constituents: PBS, 40% Glycerol (glycerin, glycerine)
Shipped at conditions
Blue Ice
Appropriate short-term storage duration
1-2 weeks
Appropriate short-term storage conditions
+4°C
Appropriate long-term storage conditions
-20°C
Aliquoting information
Upon delivery aliquot
Storage information
Avoid freeze / thaw cycle

Supplementary information

This supplementary information is collated from multiple sources and compiled automatically.

Septin 2 also known as septin-2 or SEPT2 is a GTP-binding protein with a molecular mass of approximately 41 kDa. It functions mechanically as a major component of the cytoskeletal structure playing an essential role in cellular organization and division. Septin 2 is expressed across various human tissues and cell types indicative of its fundamental role in maintaining cellular integrity. It participates in organizing the actin cytoskeleton and is necessary for cytokinesis.
Biological function summary

Septin 2 integrates into a filamentous network interacting closely with other septins to form hetero-oligomeric complexes essential for cellular dynamics. The protein contributes to the formation of diffusion barriers within membranes facilitating compartmentalization in the cells. As a structural element it supports cellular morphogenesis polarity and vesicle trafficking. The collaborative action within septin complexes ensures effective cell cycle progression and signal transduction.

Pathways

Septin 2 plays a part in key cellular pathways including the cell cycle and apoptosis pathways. The interaction of Septin 2 with proteins like Cdc42 and Rac1 impacts signaling cascades pivotal for actin cytoskeleton organization. The septin complex is important for modulating these pathways as it influences cellular responses to environmental cues. Through these pathways Septin 2 contributes to critical processes such as mitotic spindle positioning and stability.

Altered expression or function of Septin 2 is linked to cancer including gliomas where septin dysregulation affects tumor growth and metastasis. Additionally the protein has connections to neurodegenerative disorders such as Alzheimer's disease. Within these contexts proteins like Cdc42 and Rac1 further influence Septin 2's role modulating disease progression through pathways involved in cell migration and proliferation. Understanding Septin 2 in these disorders provides insight into potential therapeutic targets for intervention.

Product protocols

For this product, it's our understanding that no specific protocols are required. You can visit:

Target data

Filament-forming cytoskeletal GTPase. Forms a filamentous structure with SEPTIN12, SEPTIN6, SEPTIN2 and probably SEPTIN4 at the sperm annulus which is required for the structural integrity and motility of the sperm tail during postmeiotic differentiation (PubMed : 25588830). Required for normal organization of the actin cytoskeleton. Plays a role in the biogenesis of polarized columnar-shaped epithelium by maintaining polyglutamylated microtubules, thus facilitating efficient vesicle transport, and by impeding MAP4 binding to tubulin. Required for the progression through mitosis. Forms a scaffold at the midplane of the mitotic splindle required to maintain CENPE localization at kinetochores and consequently chromosome congression. During anaphase, may be required for chromosome segregation and spindle elongation. Plays a role in ciliogenesis and collective cell movements. In cilia, required for the integrity of the diffusion barrier at the base of the primary cilium that prevents diffusion of transmembrane proteins between the cilia and plasma membranes : probably acts by regulating the assembly of the tectonic-like complex (also named B9 complex) by localizing TMEM231 protein. May play a role in the internalization of 2 intracellular microbial pathogens, Listeria monocytogenes and Shigella flexneri.
See full target information SEPTIN2

Publications (1)

Recent publications for all applications. Explore the full list and refine your search

Journal of oncology 2022:9124142 PubMed36590309

2022

circPOLR1C Promotes the Development of Esophageal Cancer by Adsorbing miR-361-3p and Regulating Cancer Cell Apoptosis and Metastasis.

Applications

Unspecified application

Species

Unspecified reactive species

Yong Fang,Jun Yin,Yaxing Shen,Hao Wang,Han Tang,Xiaosang Chen
View all publications

Product promise

We are committed to supporting your work with high-quality reagents, and we're here for you every step of the way. In the unlikely event that one of our products does not perform as expected, you're protected by our Product Promise.
For full details, please see our Terms & Conditions

Please note: All products are 'FOR RESEARCH USE ONLY. NOT FOR USE IN DIAGNOSTIC OR THERAPEUTIC PROCEDURES'.

For licensing inquiries, please contact partnerships@abcam.com