JavaScript is disabled in your browser. Please enable JavaScript to view this website.
AB314661

Anti-SERCA1 ATPase antibody [EPR28061-7] - BSA and Azide free

  • BOND RX™ Validated
  • RabMAb
  • Recombinant
  • Advanced Validation
  • What is this?

Be the first to review this product! Submit a review

|

(0 Publication)

Rabbit Recombinant Monoclonal SERCA1 ATPase antibody. Carrier free. Suitable for mIHC, WB, IHC-P, IP and reacts with Mouse, Human, Rat, Transfected cell lysate - Human samples.

View Alternative Names

Sarcoplasmic/endoplasmic reticulum calcium ATPase 1, SERCA1, SR Ca(2+)-ATPase 1, Calcium pump 1, Endoplasmic reticulum class 1/2 Ca(2+) ATPase, ATP2A1

11 Images
Immunohistochemistry (Formalin/PFA-fixed paraffin-embedded sections) - Anti-SERCA1 ATPase antibody [EPR28061-7] - BSA and Azide free (AB314661)
  • IHC-P

Supplier Data

Immunohistochemistry (Formalin/PFA-fixed paraffin-embedded sections) - Anti-SERCA1 ATPase antibody [EPR28061-7] - BSA and Azide free (AB314661)

This data was developed using ab314660, the same antibody clone in a different buffer formulation. Immunohistochemical analysis of paraffin-embedded human skeletal muscle tissue labeling SERCA1 ATPase with ab314660 at 1/2000 (0.258 ug/ml) followed by a ready to use LeicaDS9800 (Bond™ Polymer Refine Detection). Positive staining on human skeletal muscle. The section was incubated with ab314660 for 30 mins at room temperature. The immunostaining was performed on a Leica Biosystems BOND® RX instrument. Counterstained with Hematoxylin. Secondary antibody only control : Secondary antibody is a ready to use LeicaDS9800 (Bond™ Polymer Refine Detection). Heat mediated antigen retrieval was performed with Tris-EDTA buffer (pH 9.0, Epitope Retrieval Solution2) for 20 mins.

Immunohistochemistry (Formalin/PFA-fixed paraffin-embedded sections) - Anti-SERCA1 ATPase antibody [EPR28061-7] - BSA and Azide free (AB314661)
  • IHC-P

Supplier Data

Immunohistochemistry (Formalin/PFA-fixed paraffin-embedded sections) - Anti-SERCA1 ATPase antibody [EPR28061-7] - BSA and Azide free (AB314661)

This data was developed using ab314660, the same antibody clone in a different buffer formulation. Immunohistochemical analysis of paraffin-embedded human cardiac muscle tissue labeling SERCA1 ATPase with ab314660 at 1/2000 (0.258 ug/ml) followed by a ready to use LeicaDS9800 (Bond™ Polymer Refine Detection). Negative control : no staining on human cardiac muscle. The section was incubated with ab314660 for 30 mins at room temperature. The immunostaining was performed on a Leica Biosystems BOND® RX instrument. Counterstained with Hematoxylin. Secondary antibody only control : Secondary antibody is a ready to use LeicaDS9800 (Bond™ Polymer Refine Detection). Heat mediated antigen retrieval was performed with Tris-EDTA buffer (pH 9.0, Epitope Retrieval Solution2) for 20 mins.

Immunoprecipitation - Anti-SERCA1 ATPase antibody [EPR28061-7] - BSA and Azide free (AB314661)
  • IP

Supplier Data

Immunoprecipitation - Anti-SERCA1 ATPase antibody [EPR28061-7] - BSA and Azide free (AB314661)

This data was developed using ab314660, the same antibody clone in a different buffer formulation. SERCA1 ATPase was immunoprecipitated from 0.35 mg human skeletal muscle tissue lysate with ab314660 at 1/30 dilution (2ug in 0.35mg lysates). Western blot was performed on the immunoprecipitate using ab314660 at 1/1000 dilution. VeriBlot for IP secondary antibody(HRP)(ab131366) was used at 1/5000 dilution. Lane 1 : Human skeletal muscle tissue lysate Lane 2 : ab314660 IP in Human skeletal muscle tissue lysate Lane 3 : Rabbit monoclonal IgG (ab172730) instead of ab314660 in human skeletal muscle tissue lysate Blocking and dilution buffer and concentration : 5% NFDM/TBST.

All lanes:

Immunoprecipitation - Anti-SERCA1 ATPase antibody [EPR28061-7] (<a href='/en-us/products/primary-antibodies/serca1-atpase-antibody-epr28061-7-ab314660'>ab314660</a>) at 1/30 dilution

All lanes:

Human skeletal muscle tissue lysate

Secondary

All lanes:

Immunoprecipitation - VeriBlot for IP Detection Reagent (HRP) (<a href='/en-us/products/reagents/veriblot-for-ip-detection-reagent-hrp-ab131366'>ab131366</a>) at 1/5000 dilution

false

Exposure time: 10s

Immunohistochemistry (Formalin/PFA-fixed paraffin-embedded sections) - Anti-SERCA1 ATPase antibody [EPR28061-7] - BSA and Azide free (AB314661)
  • IHC-P

Supplier Data

Immunohistochemistry (Formalin/PFA-fixed paraffin-embedded sections) - Anti-SERCA1 ATPase antibody [EPR28061-7] - BSA and Azide free (AB314661)

This data was developed using ab314660, the same antibody clone in a different buffer formulation. Immunohistochemical analysis of paraffin-embedded rat skeletal muscle tissue labeling SERCA1 ATPase with ab314660 at 1/5000 (0.103 ug/ml) followed by a ready to use LeicaDS9800 (Bond™ Polymer Refine Detection). Positive staining on rat skeletal muscle. The section was incubated with ab314660 for 30 mins at room temperature. The immunostaining was performed on a Leica Biosystems BOND® RX instrument. Counterstained with Hematoxylin. Secondary antibody only control : Secondary antibody is a ready to use LeicaDS9800 (Bond™ Polymer Refine Detection). Heat mediated antigen retrieval was performed with Tris-EDTA buffer (pH 9.0, Epitope Retrieval Solution2) for 20 mins.

Multiplex immunohistochemistry - Anti-SERCA1 ATPase antibody [EPR28061-7] - BSA and Azide free (AB314661)
  • mIHC

Lab

Multiplex immunohistochemistry - Anti-SERCA1 ATPase antibody [EPR28061-7] - BSA and Azide free (AB314661)

This data was developed using ab314660, the same antibody clone in a different buffer formulation.

Multiplex immunohistochemistry analysis of formalin/PFA-fixed paraffin-embedded Mouse skeletal muscle tissue staining SERCA1 ATPase with ab314660 at a 1/5000 (0.103 ug/ml) dilution, A2BP1 with ab254413 at 1/2000 (0.26 ug/ml) dilution and Dystrophin with ab218198 at 1/5000 ( 0.110 ug/ml) dilution.

Panel A : merged staining of anti-SERCA1 ATPase (green; Opal™520), anti-A2BP1 (gray; Opal™570) and anti-Dystrophin (magenta; Opal™690) on mouse skeletal muscle.
Panel B : anti-SERCA1 ATPase staining cytoplasm in mouse skeletal muscle.
Panel C : anti-A2BP1 staining nucleus in mouse skeletal muscle.
Panel D : anti-Dystrophin staining membrane in mouse skeletal muscle.
Nuclear DNA was labeled with DAPI (shown in blue).

The section was incubated in three rounds of staining : in the order of ab314660, ab254413 and ab218198 for 30 mins at room temperature. Each round was followed by a separate fluorescent tyramide signal amplification system.

The immunostaining was performed on a Leica Biosystems BOND® RX instrument with an Opal™ 4-color kit. Image acquisition was performed with Leica SP8 confocal microscope.

Heat mediated antigen retrieval with Tris-EDTA buffer (pH 9.0, epitope retrieval solution2) for 20 mins.

Immunohistochemistry (Formalin/PFA-fixed paraffin-embedded sections) - Anti-SERCA1 ATPase antibody [EPR28061-7] - BSA and Azide free (AB314661)
  • IHC-P

Supplier Data

Immunohistochemistry (Formalin/PFA-fixed paraffin-embedded sections) - Anti-SERCA1 ATPase antibody [EPR28061-7] - BSA and Azide free (AB314661)

This data was developed using ab314660, the same antibody clone in a different buffer formulation. Immunohistochemical analysis of paraffin-embedded mouse cardiac muscle tissue labeling SERCA1 ATPase with ab314660 at 1/5000 (0.103 ug/ml) followed by a ready to use LeicaDS9800 (Bond™ Polymer Refine Detection). Negative control : no staining on mouse cardiac muscle. The section was incubated with ab314660 for 30 mins at room temperature. The immunostaining was performed on a Leica Biosystems BOND® RX instrument. Counterstained with Hematoxylin. Secondary antibody only control : Secondary antibody is a ready to use LeicaDS9800 (Bond™ Polymer Refine Detection). Heat mediated antigen retrieval was performed with Tris-EDTA buffer (pH 9.0, Epitope Retrieval Solution2) for 20 mins.

Immunohistochemistry (Formalin/PFA-fixed paraffin-embedded sections) - Anti-SERCA1 ATPase antibody [EPR28061-7] - BSA and Azide free (AB314661)
  • IHC-P

Supplier Data

Immunohistochemistry (Formalin/PFA-fixed paraffin-embedded sections) - Anti-SERCA1 ATPase antibody [EPR28061-7] - BSA and Azide free (AB314661)

This data was developed using ab314660, the same antibody clone in a different buffer formulation. Immunohistochemical analysis of paraffin-embedded human skeletal muscle tissue labeling SERCA1 ATPase with ab314660 at 1/2000 (0.258 ug/ml) followed by a ready to use LeicaDS9800 (Bond™ Polymer Refine Detection). Positive staining on human skeletal muscle. The section was incubated with ab314660 for 30 mins at room temperature. The immunostaining was performed on a Leica Biosystems BOND® RX instrument. Counterstained with Hematoxylin. Secondary antibody only control : Secondary antibody is a ready to use LeicaDS9800 (Bond™ Polymer Refine Detection). Heat mediated antigen retrieval was performed with Tris-EDTA buffer (pH 9.0, Epitope Retrieval Solution2) for 20 mins.

Immunohistochemistry (Formalin/PFA-fixed paraffin-embedded sections) - Anti-SERCA1 ATPase antibody [EPR28061-7] - BSA and Azide free (AB314661)
  • IHC-P

Supplier Data

Immunohistochemistry (Formalin/PFA-fixed paraffin-embedded sections) - Anti-SERCA1 ATPase antibody [EPR28061-7] - BSA and Azide free (AB314661)

This data was developed using ab314660, the same antibody clone in a different buffer formulation. Immunohistochemical analysis of paraffin-embedded rat cardiac muscle tissue labeling SERCA1 ATPase with ab314660 at 1/5000 (0.103 ug/ml) followed by a ready to use LeicaDS9800 (Bond™ Polymer Refine Detection). Negative control : no staining on rat cardiac muscle. The section was incubated with ab314660 for 30 mins at room temperature. The immunostaining was performed on a Leica Biosystems BOND® RX instrument. Counterstained with Hematoxylin. Secondary antibody only control : Secondary antibody is a ready to use LeicaDS9800 (Bond™ Polymer Refine Detection). Heat mediated antigen retrieval was performed with Tris-EDTA buffer (pH 9.0, Epitope Retrieval Solution2) for 20 mins.

Western blot - Anti-SERCA1 ATPase antibody [EPR28061-7] - BSA and Azide free (AB314661)
  • WB

Supplier Data

Western blot - Anti-SERCA1 ATPase antibody [EPR28061-7] - BSA and Azide free (AB314661)

This data was developed using ab314660, the same antibody clone in a different buffer formulation. Blocking and diluting buffer and concentration : 5% NFDM/TBST The lane 2 was developed using a high sensitivity ECL substrate. Samples are non-boiled as boiling may cause protein aggregation. In Western blot, Anti-GAPDH antibody [EPR16891] - Loading Control (ab181602) staining at 1/200000 dilution.

All lanes:

Western blot - Anti-SERCA1 ATPase antibody [EPR28061-7] (<a href='/en-us/products/primary-antibodies/serca1-atpase-antibody-epr28061-7-ab314660'>ab314660</a>) at 1/1000 dilution

Lane 1:

RD (Human muscle rhabdomyosarcoma) whole cell lysate at 20 µg

Lane 2:

C2C12 (mouse myoblasts) whole cell lysate at 20 µg

Secondary

All lanes:

Western blot - Goat Anti-Rabbit IgG H&L (HRP) (<a href='/en-us/products/secondary-antibodies/goat-rabbit-igg-h-l-hrp-ab97051'>ab97051</a>) at 1/20000 dilution

Observed band size: 100 kDa,36 kDa

false

Exposure time: 180s

Western blot - Anti-SERCA1 ATPase antibody [EPR28061-7] - BSA and Azide free (AB314661)
  • WB

Supplier Data

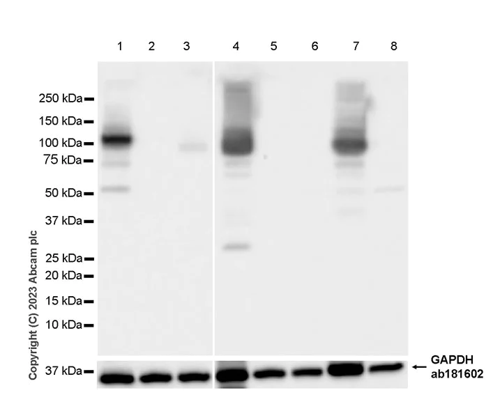
Western blot - Anti-SERCA1 ATPase antibody [EPR28061-7] - BSA and Azide free (AB314661)

This data was developed using ab314660, the same antibody clone in a different buffer formulation. Blocking and diluting buffer and concentration : 5% NFDM/TBST Negative control : heart, cerebellum. The expression profile/molecular weight observed is consistent with what has been described in the literature (PMID : 36714847). Samples are non-boiled as boiling may cause protein aggregation. In Western blot, Anti-GAPDH antibody [EPR16891] - Loading Control (ab181602) staining at 1/200000 dilution. Exposure time : Lanes 1-3 : 10 seconds; lanes 4-8 : 3 seconds

All lanes:

Western blot - Anti-SERCA1 ATPase antibody [EPR28061-7] (<a href='/en-us/products/primary-antibodies/serca1-atpase-antibody-epr28061-7-ab314660'>ab314660</a>) at 1/1000 dilution

Lane 1:

Human skeletal muscle tissue lysate at 20 µg

Lane 2:

Human cerebellum tissue lysate at 20 µg

Lane 3:

Human heart tissue lysate at 20 µg

Lane 4:

Mouse skeletal muscle tissue lysate at 20 µg

Lane 5:

Mouse cerebellum tissue lysate at 20 µg

Lane 6:

Mouse heart tissue lysate at 20 µg

Lane 7:

Rat skeletal muscle tissue lysate at 20 µg

Lane 8:

Rat heart tissue lysate at 20 µg

Secondary

Lanes 1 - 3:

Goat Anti-Rabbit IgG (HRP) with minimal cross-reactivity with human IgG at 1/2000 dilution

Lanes 4 - 8:

Western blot - Goat Anti-Rabbit IgG H&L (HRP) (<a href='/en-us/products/secondary-antibodies/goat-rabbit-igg-h-l-hrp-ab97051'>ab97051</a>) at 1/100000 dilution

Observed band size: 100 kDa,36 kDa

false

Western blot - Anti-SERCA1 ATPase antibody [EPR28061-7] - BSA and Azide free (AB314661)
  • WB

Supplier Data

Western blot - Anti-SERCA1 ATPase antibody [EPR28061-7] - BSA and Azide free (AB314661)

This data was developed using ab314660, the same antibody clone in a different buffer formulation. Blocking and diluting buffer and concentration : 5% NFDM/TBST This antibody does not cross-react with human ATP2A2 and ATP2A3. Samples are non-boiled as boiling may cause protein aggregation. In Western blot, Anti-GAPDH antibody [EPR16891] - Loading Control (ab181602) staining at 1/200000 dilution. In Western blot, Anti-6X His tag® antibody [EPR20547] - ChIP Grade (ab213204) staining at 1/5000 dilution.

All lanes:

Western blot - Anti-SERCA1 ATPase antibody [EPR28061-7] (<a href='/en-us/products/primary-antibodies/serca1-atpase-antibody-epr28061-7-ab314660'>ab314660</a>) at 1/1000 dilution

Lane 1:

293T cells transfected with an empty vector containing a His-tag, whole cell lysate at 20 µg

Lane 2:

293T cells transfected with a human ATP2A1 expression vector containing a His-tag, whole cell lysate at 20 µg

Lane 3:

293T cells transfected with a human ATP2A2 expression vector containing a His-tag, whole cell lysate at 20 µg

Lane 4:

293T cells transfected with a human ATP2A3 expression vector containing a His-tag, whole cell lysate at 20 µg

Secondary

All lanes:

Western blot - Goat Anti-Rabbit IgG H&L (HRP) (<a href='/en-us/products/secondary-antibodies/goat-rabbit-igg-h-l-hrp-ab97051'>ab97051</a>) at 1/20000 dilution

Observed band size: 100 kDa,36 kDa

false

Exposure time: 10s

Key facts

Host species

Rabbit

Clonality

Monoclonal

Clone number

EPR28061-7

Isotype

IgG

Carrier free

Yes

Reacts with

Human, Mouse, Rat

Applications

IP, WB, IHC-P, mIHC

applications

Immunogen

The exact immunogen used to generate this antibody is proprietary information.

Reactivity data

{ "title": "Reactivity Data", "filters": { "stats": ["", "Species", "Dilution Info", "Notes"], "tabs": { "all-applications": {"fullname" : "All Applications", "shortname": "All Applications"}, "mIHC" : {"fullname" : "Multiplex immunohistochemistry", "shortname":"mIHC"}, "WB" : {"fullname" : "Western blot", "shortname":"WB"}, "IHCP" : {"fullname" : "Immunohistochemistry (Formalin/PFA-fixed paraffin-embedded sections)", "shortname":"IHC-P"}, "IP" : {"fullname" : "Immunoprecipitation", "shortname":"IP"}, "ICCIF" : {"fullname" : "Immunocytochemistry/ Immunofluorescence", "shortname":"ICC/IF"}, "FlowCytIntra" : {"fullname" : "Flow Cytometry (Intracellular)", "shortname":"Flow Cyt (Intra)"} }, "product-promise": { "all": "all", "testedAndGuaranteed": "tested", "guaranteed": "expected", "predicted": "predicted", "notRecommended": "not-recommended" } }, "values": { "Human": { "mIHC-species-checked": "guaranteed", "mIHC-species-dilution-info": "", "mIHC-species-notes": "", "WB-species-checked": "testedAndGuaranteed", "WB-species-dilution-info": "", "WB-species-notes": "<p></p>", "IHCP-species-checked": "testedAndGuaranteed", "IHCP-species-dilution-info": "", "IHCP-species-notes": "<p></p>", "IP-species-checked": "testedAndGuaranteed", "IP-species-dilution-info": "", "IP-species-notes": "<p></p>", "ICCIF-species-checked": "notRecommended", "ICCIF-species-dilution-info": "", "ICCIF-species-notes": "<p></p>", "FlowCytIntra-species-checked": "notRecommended", "FlowCytIntra-species-dilution-info": "", "FlowCytIntra-species-notes": "<p></p>" }, "Mouse": { "mIHC-species-checked": "testedAndGuaranteed", "mIHC-species-dilution-info": "", "mIHC-species-notes": "<p></p>", "WB-species-checked": "testedAndGuaranteed", "WB-species-dilution-info": "", "WB-species-notes": "<p></p>", "IHCP-species-checked": "testedAndGuaranteed", "IHCP-species-dilution-info": "", "IHCP-species-notes": "<p></p>", "IP-species-checked": "guaranteed", "IP-species-dilution-info": "", "IP-species-notes": "", "ICCIF-species-checked": "notRecommended", "ICCIF-species-dilution-info": "", "ICCIF-species-notes": "<p></p>", "FlowCytIntra-species-checked": "notRecommended", "FlowCytIntra-species-dilution-info": "", "FlowCytIntra-species-notes": "<p></p>" }, "Rat": { "mIHC-species-checked": "guaranteed", "mIHC-species-dilution-info": "", "mIHC-species-notes": "", "WB-species-checked": "testedAndGuaranteed", "WB-species-dilution-info": "", "WB-species-notes": "<p></p>", "IHCP-species-checked": "testedAndGuaranteed", "IHCP-species-dilution-info": "", "IHCP-species-notes": "<p></p>", "IP-species-checked": "guaranteed", "IP-species-dilution-info": "", "IP-species-notes": "", "ICCIF-species-checked": "notRecommended", "ICCIF-species-dilution-info": "", "ICCIF-species-notes": "<p></p>", "FlowCytIntra-species-checked": "notRecommended", "FlowCytIntra-species-dilution-info": "", "FlowCytIntra-species-notes": "<p></p>" }, "Transfected cell lysate - Human": { "mIHC-species-checked": "notRecommended", "mIHC-species-dilution-info": "", "mIHC-species-notes": "", "WB-species-checked": "testedAndGuaranteed", "WB-species-dilution-info": "", "WB-species-notes": "<p></p>", "IHCP-species-checked": "notRecommended", "IHCP-species-dilution-info": "", "IHCP-species-notes": "", "IP-species-checked": "notRecommended", "IP-species-dilution-info": "", "IP-species-notes": "", "ICCIF-species-checked": "notRecommended", "ICCIF-species-dilution-info": "", "ICCIF-species-notes": "", "FlowCytIntra-species-checked": "notRecommended", "FlowCytIntra-species-dilution-info": "", "FlowCytIntra-species-notes": "" } } }

Product details

ab314661 is the carrier-free version of ab314660.

Patented technology
Our RabMAb® technology is a patented hybridoma-based technology for making rabbit monoclonal antibodies. For details on our patents, please refer to RabMAb® patents.

What are the advantages of a recombinant monoclonal antibody?
This product is a recombinant monoclonal antibody, which offers several advantages including:

  • - High batch-to-batch consistency and reproducibility
  • - Improved sensitivity and specificity
  • - Long-term security of supply
  • - Animal-free batch production

For more information, read more on recombinant antibodies.

Conjugation ready
Our carrier-free antibodies are typically supplied in a PBS-only formulation, purified and free of BSA, sodium azide and glycerol. This conjugation-ready format is designed for use with fluorochromes, metal isotopes, oligonucleotides, and enzymes, which makes them ideal for antibody labelling, functional and cell-based assays, flow-based assays (e.g. mass cytometry) and Multiplex Imaging applications.

Use our conjugation kits for antibody conjugates that are ready-to-use in as little as 20 minutes with 1 minute hands-on-time and 100% antibody recovery: available for fluorescent dyes, HRP, biotin and gold.

Compatibility
This product is compatible with the Maxpar® Antibody Labeling Kit from Fluidigm, without the need for antibody preparation. Maxpar® is a trademark of Fluidigm Canada Inc.

Properties and storage information

Form
Liquid
Purification technique
Affinity purification Protein A
Storage buffer
pH: 7.2 - 7.4 Constituents: PBS
Shipped at conditions
Blue Ice
Appropriate short-term storage conditions
+4°C
Appropriate long-term storage conditions
+4°C

Supplementary information

This supplementary information is collated from multiple sources and compiled automatically.

SERCA1 ATPase also known as sarco/endoplasmic reticulum Ca2+ ATPase 1 is an important enzyme responsible for the active transport of Ca2+ ions from the cytosol into the sarcoplasmic reticulum which is important for muscle relaxation. This protein has a molecular weight of about 110 kDa. SERCA1 ATPase predominantly expresses in fast-twitch skeletal muscle allowing these muscles to relax rapidly after contraction. The enzyme utilizes ATP to pump calcium ions which highlights its role as an ATPase protein and its functionality in maintaining calcium homeostasis.
Biological function summary

SERCA1 ATPase ensures proper calcium regulation and muscle function by facilitating the reuptake of Ca2+ ions into the sarcoplasmic reticulum following muscle contraction. It does not operate as part of a complex but plays a significant role in calcium ion translocation thereby regulating muscle contraction-relaxation cycles. This ATPase protein is directly involved in muscle physiology and its efficient function is critical for fast muscle fibers.

Pathways

SERCA1 ATPase is a significant component of the calcium signaling and muscle contraction pathways. In the context of muscle contraction the release and reuptake of Ca2+ ions regulated by SERCA1 ATPase are central events. The protein works closely with the ryanodine receptor (RyR) and calsequestrin which also participate in the modulation of intracellular calcium levels. Their interactions ensure precise coordination during muscle contraction and relaxation processes.

Mutations or dysregulation of SERCA1 ATPase can lead to conditions such as Brody disease and certain forms of myopathy. Brody disease is characterized by impaired muscle relaxation which directly relates to the malfunctioning of this Ca2+ ATPase. Additionally the disrupted function of SERCA1 ATPase may also involve interactions with other proteins like the ryanodine receptor which can exacerbate muscle-related symptoms and contribute to the pathophysiology of these disorders.

Product protocols

For this product, it's our understanding that no specific protocols are required. You can visit:

Target data

Key regulator of striated muscle performance by acting as the major Ca(2+) ATPase responsible for the reuptake of cytosolic Ca(2+) into the sarcoplasmic reticulum. Catalyzes the hydrolysis of ATP coupled with the translocation of calcium from the cytosol to the sarcoplasmic reticulum lumen (By similarity). Contributes to calcium sequestration involved in muscular excitation/contraction (PubMed : 10914677).
See full target information ATP2A1

Product promise

We are committed to supporting your work with high-quality reagents, and we're here for you every step of the way. In the unlikely event that one of our products does not perform as expected, you're protected by our Product Promise.
For full details, please see our Terms & Conditions

Please note: All products are 'FOR RESEARCH USE ONLY. NOT FOR USE IN DIAGNOSTIC OR THERAPEUTIC PROCEDURES'.

For licensing inquiries, please contact partnerships@abcam.com