JavaScript is disabled in your browser. Please enable JavaScript to view this website.
AB2819

Anti-SERCA1 ATPase antibody [VE121G9]

4

(6 Reviews)

|

(32 Publications)

Mouse Recombinant Monoclonal SERCA1 ATPase antibody. Suitable for WB, IHC-P, IHC-Fr and reacts with Mouse, Human samples. Cited in 32 publications.

View Alternative Names

Sarcoplasmic/endoplasmic reticulum calcium ATPase 1, SERCA1, SR Ca(2+)-ATPase 1, Calcium pump 1, Endoplasmic reticulum class 1/2 Ca(2+) ATPase, ATP2A1

11 Images
Immunohistochemistry (Frozen sections) - Anti-SERCA1 ATPase antibody [VE121G9] (AB2819)
  • IHC-Fr

Lab

Immunohistochemistry (Frozen sections) - Anti-SERCA1 ATPase antibody [VE121G9] (AB2819)

IHC image of SERCA1 ATPase staining in a section of frozen normal human skeletal muscle* performed on a Leica BOND ™ system using the standard protocol. The section was fixed in 10% paraformaldehyde (10 min) prior to staining. The section was incubated with ab2819, 1ug/ml for 15 mins at room temperature and detected using an HRP conjugated compact polymer system. DAB was used as the chromogen. The section was then counterstained with haematoxylin and mounted with DPX. The inset secondary-only control image is taken from an identical assay without primary antibody.
For other IHC staining systems (automated and non-automated) customers should optimize variable parameters such as antigen retrieval conditions, primary antibody concentration and antibody incubation times.
*Tissue obtained from the Human Research Tissue Bank, supported by the NIHR Cambridge Biomedical Research Centre

Immunohistochemistry (Formalin/PFA-fixed paraffin-embedded sections) - Anti-SERCA1 ATPase antibody [VE121G9] (AB2819)
  • IHC-P

Lab

Immunohistochemistry (Formalin/PFA-fixed paraffin-embedded sections) - Anti-SERCA1 ATPase antibody [VE121G9] (AB2819)

IHC image of SERCA1 ATPase staining in a section of formalin-fixed paraffin-embedded normal human skeletal muscle* performed on a Leica BONDTM system using the standard protocol F. The section was pre-treated using heat mediated antigen retrieval with sodium citrate buffer (pH6, epitope retrieval solution 1) for 20mins. The section was then incubated with ab2819, 1ug/ml, for 15 mins at room temperature and detected using an HRP conjugated compact polymer system. DAB was used as the chromogen. The section was then counterstained with haematoxylin and mounted with DPX. The inset secondary-only control image is taken from an identical assay without primary antibody.
For other IHC staining systems (automated and non-automated) customers should optimize variable parameters such as antigen retrieval conditions, primary antibody concentration and antibody incubation times.
*Tissue obtained from the Human Research Tissue Bank, supported by the NIHR Cambridge Biomedical Research Centre

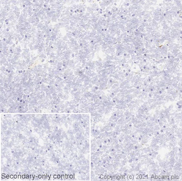
Immunohistochemistry (Frozen sections) - Anti-SERCA1 ATPase antibody [VE121G9] (AB2819)
  • IHC-Fr

Lab

Immunohistochemistry (Frozen sections) - Anti-SERCA1 ATPase antibody [VE121G9] (AB2819)

Negative control image : IHC image of SERCA1 ATPase staining in a section of frozen normal human cerebral cortex* performed on a Leica BOND™ system using the standard protocol. The section was fixed in 10% paraformaldehyde (10 min) prior to staining. The section was incubated with ab2819, 1ug/ml for 15 mins at room temperature and detected using an HRP conjugated compact polymer system. DAB was used as the chromogen. The section was then counterstained with haematoxylin and mounted with DPX. The inset secondary-only control image is taken from an identical assay without primary antibody.
For other IHC staining systems (automated and non-automated) customers should optimize variable parameters such as antigen retrieval conditions, primary antibody concentration and antibody incubation times.
*Tissue obtained from the Human Research Tissue Bank, supported by the NIHR Cambridge Biomedical Research Centre

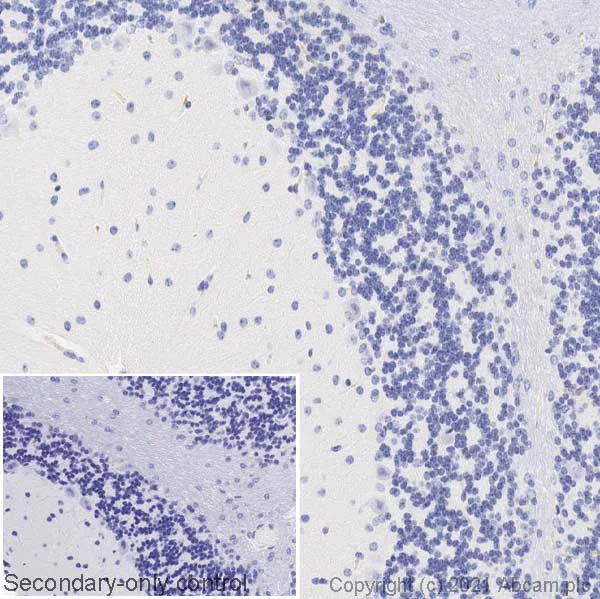
Immunohistochemistry (Formalin/PFA-fixed paraffin-embedded sections) - Anti-SERCA1 ATPase antibody [VE121G9] (AB2819)
  • IHC-P

Lab

Immunohistochemistry (Formalin/PFA-fixed paraffin-embedded sections) - Anti-SERCA1 ATPase antibody [VE121G9] (AB2819)

Negative control image : IHC image of SERCA1 ATPase staining in a section of formalin-fixed paraffin-embedded normal human cerebellum* performed on a Leica BOND ™ system using the standard protocol F. The section was pre-treated using heat mediated antigen retrieval with sodium citrate buffer (pH6, epitope retrieval solution 1) for 20mins. The section was then incubated with ab2819, 1ug/ml, for 15 mins at room temperature and detected using an HRP conjugated compact polymer system. DAB was used as the chromogen. The section was then counterstained with haematoxylin and mounted with DPX. The inset secondary-only control image is taken from an identical assay without primary antibody.
For other IHC staining systems (automated and non-automated) customers should optimize variable parameters such as antigen retrieval conditions, primary antibody concentration and antibody incubation times.
*Tissue obtained from the Human Research Tissue Bank, supported by the NIHR Cambridge Biomedical Research Centre

Immunohistochemistry (Frozen sections) - Anti-SERCA1 ATPase antibody [VE121G9] (AB2819)
  • IHC-Fr

Lab

Immunohistochemistry (Frozen sections) - Anti-SERCA1 ATPase antibody [VE121G9] (AB2819)

IHC image of SERCA1 ATPase staining in a section of frozen normal mouse skeletal muscle performed on a Leica BOND ™ system using the standard protocol. The section was fixed in 10% paraformaldehyde (10 min) prior to staining. The section was incubated with ab2819, 1ug/ml for 15 mins at room temperature and then ab125913, Goat anti-Mouse IgG1 at 1.5ugml was added for 15 mins at room temperature. This was detected using an HRP conjugated compact polymer system. DAB was used as the chromogen. The section was then counterstained with haematoxylin and mounted with DPX. The inset secondary-only control image is taken from an identical assay without primary antibody.
For other IHC staining systems (automated and non-automated) customers should optimize variable parameters such as antigen retrieval conditions, primary antibody concentration and antibody incubation times.

Immunohistochemistry (Formalin/PFA-fixed paraffin-embedded sections) - Anti-SERCA1 ATPase antibody [VE121G9] (AB2819)
  • IHC-P

Lab

Immunohistochemistry (Formalin/PFA-fixed paraffin-embedded sections) - Anti-SERCA1 ATPase antibody [VE121G9] (AB2819)

Negative control image : IHC image of SERCA1 ATPase staining in a section of formalin-fixed paraffin-embedded normal mouse cerebellum performed on a Leica BOND ™ system using the standard protocol F. The section was pre-treated using heat mediated antigen retrieval with sodium citrate buffer (pH6, epitope retrieval solution 1) for 20mins. The section was then incubated with ab2819, 1ug/ml, for 15 mins at room temperature and then ab125913, Goat anti-Mouse IgG1 at 1.5ugml was added for 15 mins at room temperature. This was detected using an HRP conjugated compact polymer system DAB was used as the chromogen. The section was then counterstained with haematoxylin and mounted with DPX. The inset secondary-only control image is taken from an identical assay without primary antibody.
For other IHC staining systems (automated and non-automated) customers should optimize variable parameters such as antigen retrieval conditions, primary antibody concentration and antibody incubation times.

Immunohistochemistry (Formalin/PFA-fixed paraffin-embedded sections) - Anti-SERCA1 ATPase antibody [VE121G9] (AB2819)
  • IHC-P

Lab

Immunohistochemistry (Formalin/PFA-fixed paraffin-embedded sections) - Anti-SERCA1 ATPase antibody [VE121G9] (AB2819)

IHC image of SERCA1 ATPase staining in a section of formalin-fixed paraffin-embedded normal mouse skeletal muscle performed on a Leica BOND ™ system using the standard protocol. The section was pre-treated using heat mediated antigen retrieval with sodium citrate buffer (pH6, epitope retrieval solution 1) for 20mins. The section was then incubated with ab2819, 1ug/ml, for 15 mins at room temperature and then ab125913, Goat anti-Mouse IgG1 at 1.5ugml was added for 15 mins at room temperature. This was detected using an HRP conjugated compact polymer system. DAB was used as the chromogen. The section was then counterstained with haematoxylin and mounted with DPX. The inset secondary-only control image is taken from an identical assay without primary antibody.
For other IHC staining systems (automated and non-automated) customers should optimize variable parameters such as antigen retrieval conditions, primary antibody concentration and antibody incubation times.

Immunohistochemistry (Frozen sections) - Anti-SERCA1 ATPase antibody [VE121G9] (AB2819)
  • IHC-Fr

Lab

Immunohistochemistry (Frozen sections) - Anti-SERCA1 ATPase antibody [VE121G9] (AB2819)

Negative control image : IHC image of SERCA1 ATPase staining in a section of frozen normal mouse cerebral cortex performed on a Leica BOND™ system using the standard protocol. The section was fixed in 10% paraformaldehyde (10 min) prior to staining. The section was incubated with ab2819, 1ug/ml for 15 mins at room temperature and then ab125913, Goat anti-Mouse IgG1 at 1.5ugml was added for 15 mins at room temperature. This was detected using an HRP conjugated compact polymer system. DAB was used as the chromogen. The section was then counterstained with haematoxylin and mounted with DPX. The inset secondary-only control image is taken from an identical assay without primary antibody.
For other IHC staining systems (automated and non-automated) customers should optimize variable parameters such as antigen retrieval conditions, primary antibody concentration and antibody incubation times.

Western blot - Anti-SERCA1 ATPase antibody [VE121G9] (AB2819)
  • WB

AbReview23184****

Western blot - Anti-SERCA1 ATPase antibody [VE121G9] (AB2819)

Blocking Step : 5% milk for 16 hours at 22°C

This image was generated from the Hybridoma version.

All lanes:

Western blot - Anti-SERCA1 ATPase antibody [VE121G9] (ab2819) at 1/1000 dilution

All lanes:

Whole tissue lysate of human neck muscle. at 20 µg

Secondary

All lanes:

An HRP-conjugated sheep anti-mouse polyclonal at 1/4000 dilution

Predicted band size: 110 kDa

Observed band size: 110 kDa

true

Exposure time: 5min

This image is courtesy of an anonymous Abreview

Western blot - Anti-SERCA1 ATPase antibody [VE121G9] (AB2819)
  • WB

Lab

Western blot - Anti-SERCA1 ATPase antibody [VE121G9] (AB2819)

This blot was produced using 3-8% Tris-Acetate gel under the TA buffer system. The gel was run at 150V for 60 minutes before being transferred onto a Nitrocellulose membrane at 30V for 70 minutes. The membrane was blocked for an hour using 3% milk before ab2819 was incubated overnight at 4°C at a 1μg/ml concentration. Antibody binding was detected using Goat anti-Mouse IgG H&L (IRDye® 800CW) preadsorbed (ab216772) secondary antibody at 1/20000 dilution for 1 hour at room temperature before imaging.

All lanes:

Western blot - Anti-SERCA1 ATPase antibody [VE121G9] (ab2819) at 1 µg/mL

Lane 1:

Human Skeletal Muscle tissue lysate at 20 µg

Lane 2:

Mouse Skeletal Muscle tissue lysate at 20 µg

Lane 3:

Human Brain tissue lysate at 20 µg

Lane 4:

Mouse Brain tissue lysate at 20 µg

Secondary

All lanes:

Western blot - Goat anti-Mouse IgG H&L (IRDye® 800CW) preadsorbed (<a href='/en-us/products/secondary-antibodies/goat-mouse-igg-h-l-irdye-800cw-preadsorbed-ab216772'>ab216772</a>) at 1/20000 dilution

Predicted band size: 110 kDa

Observed band size: 110 kDa

false

Western blot - Anti-SERCA1 ATPase antibody [VE121G9] (AB2819)
  • WB

CiteAb

Western blot - Anti-SERCA1 ATPase antibody [VE121G9] (AB2819)

SERCA1 ATPase western blot using anti-SERCA1 ATPase antibody [VE121G9] ab2819. Publication image and figure legend from Olsson, K., Cheng, A. J., et al., 2015, Skelet Muscle, PubMed 26301072.

ab2819 was used in this publication in western blot. This may not be the same as the application(s) guaranteed by Abcam. For a full list of applications guaranteed by Abcam for ab2819 please see the product overview.

The abundance of Ca2+-handling proteins differs markedly between human muscle fibers, myotubes and myoblasts. mRNA quantities of a RyR1 and DHPR and b SERCA1 and SERCA2 in human muscle fibers myotubes and myoblasts. Representative Western blot bands for c RyR and DHPR and d SERCA1 and SERCA2. Densitometry for the protein quantity of e RyR and DHPR and f SERCA1 and SERCA2 in human muscle fibers myotubes and myoblasts. Data are presented as the mean ± SEM. Asterisk denotes P < 0.05 relative to myoblasts, and number sign denotes P < 0.05 relative to myotubes. (N/A) not applicable due to protein quantity to low for reliable measurements

false

  • Carrier free

    Anti-SERCA1 ATPase antibody [VE121G9] - BSA and Azide free

Key facts

Host species

Mouse

Clonality

Monoclonal

Clone number

VE121G9

Isotype

IgG1

Carrier free

No

Reacts with

Mouse, Human

Applications

WB, IHC-Fr, IHC-P

applications

Immunogen

The exact immunogen used to generate this antibody is proprietary information.

Epitope

This antibody recognizes an epitope between amino acid residues 506 and the C-terminus of rabbit skeletal muscle ATPase, a region that is exposed in native sarcoplasmic reticulum.

Specificity

Detects Sarcoplasmic or Endoplasmic Reticulum Calcium 1 (SERCA 1) ATPase.

Reactivity data

{ "title": "Reactivity Data", "filters": { "stats": ["", "Species", "Dilution Info", "Notes"], "tabs": { "all-applications": {"fullname" : "All Applications", "shortname": "All Applications"}, "WB" : {"fullname" : "Western blot", "shortname":"WB"}, "IHCP" : {"fullname" : "Immunohistochemistry (Formalin/PFA-fixed paraffin-embedded sections)", "shortname":"IHC-P"}, "IHCFr" : {"fullname" : "Immunohistochemistry (Frozen sections)", "shortname":"IHC-Fr"} }, "product-promise": { "all": "all", "testedAndGuaranteed": "tested", "guaranteed": "expected", "predicted": "predicted", "notRecommended": "not-recommended" } }, "values": { "Human": { "WB-species-checked": "testedAndGuaranteed", "WB-species-dilution-info": "1 µg/mL", "WB-species-notes": "<p></p>", "IHCP-species-checked": "testedAndGuaranteed", "IHCP-species-dilution-info": "1 µg/mL", "IHCP-species-notes": "<p></p>", "IHCFr-species-checked": "testedAndGuaranteed", "IHCFr-species-dilution-info": "1 µg/mL", "IHCFr-species-notes": "<p></p>" }, "Mouse": { "WB-species-checked": "testedAndGuaranteed", "WB-species-dilution-info": "1 µg/mL", "WB-species-notes": "<p></p>", "IHCP-species-checked": "testedAndGuaranteed", "IHCP-species-dilution-info": "1 µg/mL", "IHCP-species-notes": "<p></p>", "IHCFr-species-checked": "testedAndGuaranteed", "IHCFr-species-dilution-info": "1 µg/mL", "IHCFr-species-notes": "<p></p>" } } }

Product details

This product was switched from a hybridoma to a recombinant production format on 25th October 2021.

What are the advantages of a recombinant monoclonal antibody?
This product is a recombinant monoclonal antibody, which offers several advantages including:

  • - High batch-to-batch consistency and reproducibility
  • - Improved sensitivity and specificity
  • - Long-term security of supply
  • - Animal-free batch production

For more information, read more on recombinant antibodies.

Properties and storage information

Form
Liquid
Purification technique
Affinity purification Protein A
Storage buffer
pH: 7.2 - 7.4 Preservative: 0.01% Sodium azide Constituents: PBS, 40% Glycerol (glycerin, glycerine), 0.05% BSA
Shipped at conditions
Blue Ice
Appropriate short-term storage duration
1-2 weeks
Appropriate short-term storage conditions
+4°C
Appropriate long-term storage conditions
-20°C
Aliquoting information
Upon delivery aliquot
Storage information
Avoid freeze / thaw cycle

Supplementary information

This supplementary information is collated from multiple sources and compiled automatically.

SERCA1 ATPase also known as sarco/endoplasmic reticulum Ca2+ ATPase 1 is an important enzyme responsible for the active transport of Ca2+ ions from the cytosol into the sarcoplasmic reticulum which is important for muscle relaxation. This protein has a molecular weight of about 110 kDa. SERCA1 ATPase predominantly expresses in fast-twitch skeletal muscle allowing these muscles to relax rapidly after contraction. The enzyme utilizes ATP to pump calcium ions which highlights its role as an ATPase protein and its functionality in maintaining calcium homeostasis.
Biological function summary

SERCA1 ATPase ensures proper calcium regulation and muscle function by facilitating the reuptake of Ca2+ ions into the sarcoplasmic reticulum following muscle contraction. It does not operate as part of a complex but plays a significant role in calcium ion translocation thereby regulating muscle contraction-relaxation cycles. This ATPase protein is directly involved in muscle physiology and its efficient function is critical for fast muscle fibers.

Pathways

SERCA1 ATPase is a significant component of the calcium signaling and muscle contraction pathways. In the context of muscle contraction the release and reuptake of Ca2+ ions regulated by SERCA1 ATPase are central events. The protein works closely with the ryanodine receptor (RyR) and calsequestrin which also participate in the modulation of intracellular calcium levels. Their interactions ensure precise coordination during muscle contraction and relaxation processes.

Mutations or dysregulation of SERCA1 ATPase can lead to conditions such as Brody disease and certain forms of myopathy. Brody disease is characterized by impaired muscle relaxation which directly relates to the malfunctioning of this Ca2+ ATPase. Additionally the disrupted function of SERCA1 ATPase may also involve interactions with other proteins like the ryanodine receptor which can exacerbate muscle-related symptoms and contribute to the pathophysiology of these disorders.

Product protocols

For this product, it's our understanding that no specific protocols are required. You can visit:

Target data

Key regulator of striated muscle performance by acting as the major Ca(2+) ATPase responsible for the reuptake of cytosolic Ca(2+) into the sarcoplasmic reticulum. Catalyzes the hydrolysis of ATP coupled with the translocation of calcium from the cytosol to the sarcoplasmic reticulum lumen (PubMed : 10914677, PubMed : 11438520, PubMed : 15189864, PubMed : 18075584, PubMed : 23996003, PubMed : 24270570, PubMed : 29081402). Contributes to calcium sequestration involved in muscular excitation/contraction.
See full target information ATP2A1

Publications (32)

Recent publications for all applications. Explore the full list and refine your search

Communications biology 8:1351 PubMed40993245

2025

Site-1 protease is a negative regulator of sarcolipin promoter activity.

Applications

Unspecified application

Species

Unspecified reactive species

Isha Sharma,Meredith O Kelly,Katelyn Hanners,Ella S Shin,Muhammad G Mousa,Shelby Ek,Gretchen A Meyer,Rita T Brookheart

Acta neuropathologica communications 13:11 PubMed39819455

2025

Unraveling calcium dysregulation and autoimmunity in immune mediated rippling muscle disease.

Applications

Unspecified application

Species

Unspecified reactive species

Samir R Nath,Aneesha Dasgupta,Divyanshu Dubey,Eileen Kokesh,Grayson Beecher,Numrah Fadra,Teerin Liewluck,Sean Pittock,Jason D Doles,William Litchy,Margherita Milone

Discover oncology 15:631 PubMed39514138

2024

Construction of a novel mitochondrial oxidative stress-related genes prognostic system and molecular subtype characterization for breast cancer.

Applications

Unspecified application

Species

Unspecified reactive species

Ying Liu,Yang Li,Yanzheng Zhu,Min Wang,Zheyao Luan

iScience 27:110510 PubMed39175772

2024

BCL2L13 at endoplasmic reticulum-mitochondria contact sites regulates calcium homeostasis to maintain skeletal muscle function.

Applications

Unspecified application

Species

Unspecified reactive species

Dogan Grepper,Cassandra Tabasso,Nadège Zanou,Axel K F Aguettaz,Mauricio Castro-Sepulveda,Dorian V Ziegler,Sylviane Lagarrigue,Yoan Arribat,Adrien Martinotti,Ammar Ebrahimi,Jean Daraspe,Lluis Fajas,Francesca Amati

EMBO reports 25:2974-3007 PubMed38816514

2024

Targeting ATP2B1 impairs PI3K/Akt/FOXO signaling and reduces SARS-COV-2 infection and replication.

Applications

Unspecified application

Species

Unspecified reactive species

Pasqualino de Antonellis,Veronica Ferrucci,Marco Miceli,Francesca Bibbo,Fatemeh Asadzadeh,Francesca Gorini,Alessia Mattivi,Angelo Boccia,Roberta Russo,Immacolata Andolfo,Vito Alessandro Lasorsa,Sueva Cantalupo,Giovanna Fusco,Maurizio Viscardi,Sergio Brandi,Pellegrino Cerino,Vittoria Monaco,Dong-Rac Choi,Jae-Ho Cheong,Achille Iolascon,Stefano Amente,Maria Monti,Luca L Fava,Mario Capasso,Hong-Yeoul Kim,Massimo Zollo

Human molecular genetics 33:254-269 PubMed37930228

2023

Two zebrafish cacna1s loss-of-function variants provide models of mild and severe CACNA1S-related myopathy.

Applications

Unspecified application

Species

Unspecified reactive species

Yukari Endo,Linda Groom,Sabrina M Wang,Emanuela Pannia,Nigel W Griffiths,Jenica L M Van Gennip,Brian Ciruna,Jocelyn Laporte,Robert T Dirksen,James J Dowling

JCI insight 7: PubMed35763354

2022

Dynamin-2 reduction rescues the skeletal myopathy of a SPEG-deficient mouse model.

Applications

Unspecified application

Species

Unspecified reactive species

Qifei Li,Jasmine Lin,Jeffrey J Widrick,Shiyu Luo,Gu Li,Yuanfan Zhang,Jocelyn Laporte,Mark A Perrella,Xiaoli Liu,Pankaj B Agrawal

Disease models & mechanisms 15: PubMed35293586

2022

Characterization of a novel zebrafish model of SPEG-related centronuclear myopathy.

Applications

Unspecified application

Species

Unspecified reactive species

Karla G Espinosa,Salma Geissah,Linda Groom,Jonathan Volpatti,Ian C Scott,Robert T Dirksen,Mo Zhao,James J Dowling

Human molecular genetics 29:3882-3891 PubMed33355670

2020

SPEG binds with desmin and its deficiency causes defects in triad and focal adhesion proteins.

Applications

Unspecified application

Species

Unspecified reactive species

Shiyu Luo,Qifei Li,Jasmine Lin,Quinn Murphy,Isabelle Marty,Yuanfan Zhang,Shideh Kazerounian,Pankaj B Agrawal

Genome biology 21:155 PubMed32600395

2020

Computational inference of cancer-specific vulnerabilities in clinical samples.

Applications

Unspecified application

Species

Unspecified reactive species

Kiwon Jang,Min Ji Park,Jae Soon Park,Haeun Hwangbo,Min Kyung Sung,Sinae Kim,Jaeyun Jung,Jong Won Lee,Sei-Hyun Ahn,Suhwan Chang,Jung Kyoon Choi
View all publications

Product promise

We are committed to supporting your work with high-quality reagents, and we're here for you every step of the way. In the unlikely event that one of our products does not perform as expected, you're protected by our Product Promise.
For full details, please see our Terms & Conditions

Please note: All products are 'FOR RESEARCH USE ONLY. NOT FOR USE IN DIAGNOSTIC OR THERAPEUTIC PROCEDURES'.

For licensing inquiries, please contact partnerships@abcam.com