JavaScript is disabled in your browser. Please enable JavaScript to view this website.
AB150435

Anti-SERCA2 ATPase antibody [EPR9392]

4

(1 Review)

|

(34 Publications)

Anti-SERCA2 ATPase antibody [EPR9392] (ab150435) is a rabbit monoclonal antibody detecting SERCA2 ATPase in Western Blot, Flow Cytometry (Intra), Flow Cytometry, IHC-P, ICC/IF. Suitable for Human, Mouse, Rat.

- Biophysical QC for unrivalled batch-batch consistency
- Over 10 publications

View Alternative Names

ATP2B, ATP2A2, Sarcoplasmic/endoplasmic reticulum calcium ATPase 2, SERCA2, SR Ca(2+)-ATPase 2, Calcium pump 2, Endoplasmic reticulum class 1/2 Ca(2+) ATPase

9 Images
Immunohistochemistry (Formalin/PFA-fixed paraffin-embedded sections) - Anti-SERCA2 ATPase antibody [EPR9392] (AB150435)
  • IHC-P

Unknown

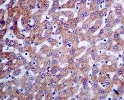
Immunohistochemistry (Formalin/PFA-fixed paraffin-embedded sections) - Anti-SERCA2 ATPase antibody [EPR9392] (AB150435)

Immunohistochemical analysis of paraffin embedded Human liver tissue labelling SERCA2 ATPase with unpurified ab150435 at 1/50.

Perform heat mediated antigen retrieval before commencing with IHC staining protocol.

Immunocytochemistry/ Immunofluorescence - Anti-SERCA2 ATPase antibody [EPR9392] (AB150435)
  • ICC/IF

Unknown

Immunocytochemistry/ Immunofluorescence - Anti-SERCA2 ATPase antibody [EPR9392] (AB150435)

Immunocytochemistry/ Immunofluorescence analysis of HepG2 (Human hepatocellular carcinoma epithelial cell) cells labeling SERCA2 ATPase with Purified ab150435 at 1/100 dilution (10 μg/mL). Cells were fixed in 100% Methanol. Goat anti rabbit IgG (Alexa Fluor® 488, ab150077) was used as the secondary antibody at 1/1000 (2 μg/mL) dilution. DAPI (blue) was used as nuclear counterstain. PBS instead of the primary antibody was used as the secondary antibody only control.

Immunocytochemistry/ Immunofluorescence - Anti-SERCA2 ATPase antibody [EPR9392] (AB150435)
  • ICC/IF

Unknown

Immunocytochemistry/ Immunofluorescence - Anti-SERCA2 ATPase antibody [EPR9392] (AB150435)

Immunofluorescence analysis of HeLa cells labelling SERCA2 ATPase with unpurified ab150435 at 1/100.

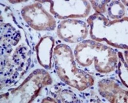
Immunohistochemistry (Formalin/PFA-fixed paraffin-embedded sections) - Anti-SERCA2 ATPase antibody [EPR9392] (AB150435)
  • IHC-P

Unknown

Immunohistochemistry (Formalin/PFA-fixed paraffin-embedded sections) - Anti-SERCA2 ATPase antibody [EPR9392] (AB150435)

Immunohistochemical analysis of paraffin embedded Human kidney tissue labelling SERCA2 ATPase with unpurified ab150435 at 1/50.

Perform heat mediated antigen retrieval before commencing with IHC staining protocol.

Flow Cytometry (Intracellular) - Anti-SERCA2 ATPase antibody [EPR9392] (AB150435)
  • Flow Cyt (Intra)

Unknown

Flow Cytometry (Intracellular) - Anti-SERCA2 ATPase antibody [EPR9392] (AB150435)

Overlay histogram showing HepG2 cells stained with unpurified ab150435 (red line). The cells were fixed with 80% methanol (5 min) and then permeabilized with 0.1% PBS-Tween for 20 min. The cells were then incubated in 1x PBS / 10% normal goat serum / 0.3M glycine to block non-specific protein-protein interactions followed by the antibody (ab150435, 1/1000 dilution) for 30 min at 22°C. The secondary antibody used was Alexa Fluor® 488 goat anti-rabbit IgG (H&L) (ab150077) at 1/2000 dilution for 30 min at 22°C. Isotype control antibody (black line) was rabbit IgG (monoclonal) (0.1μg/1x106 cells) used under the same conditions. Unlabelled sample (blue line) was also used as a control. Acquisition of >5,000 events were collected using a 20mW Argon ion laser (488nm) and 525/30 bandpass filter. This antibody gave a positive signal in HepG2 cells fixed with 4% paraformaldehyde (10 min)/permeabilized with 0.1% PBS-Tween for 20 min used under the same conditions.

Flow Cytometry (Intracellular) - Anti-SERCA2 ATPase antibody [EPR9392] (AB150435)
  • Flow Cyt (Intra)

Unknown

Flow Cytometry (Intracellular) - Anti-SERCA2 ATPase antibody [EPR9392] (AB150435)

Intracellular Flow Cytometry analysis of HepG2 (Human hepatocellular carcinoma epithelial cell) cells labeling SERCA2 ATPase with Purified ab150435 at 1/1000 dilution (1 μg/mL) (Red). Cells were fixed with 80% Methanol and permeabilised with 0.1% Tween-20. A Goat anti rabbit IgG (Alexa Fluor® 488, ab150077) secondary antibody was used at 1/2000. Isotype control - Rabbit monoclonal IgG (Black). Unlabeled control - Cell without incubation with primary antibody and secondary antibody (Blue).

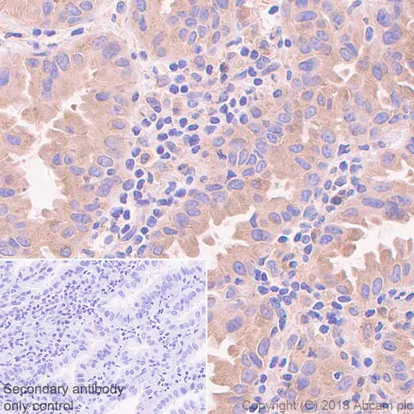
Immunohistochemistry (Formalin/PFA-fixed paraffin-embedded sections) - Anti-SERCA2 ATPase antibody [EPR9392] (AB150435)
  • IHC-P

Unknown

Immunohistochemistry (Formalin/PFA-fixed paraffin-embedded sections) - Anti-SERCA2 ATPase antibody [EPR9392] (AB150435)

Immunohistochemistry (Formalin/PFA-fixed paraffin-embedded sections) analysis of Human lung carcinoma tissue sections labeling SERCA2 ATPase with purified ab150435 at 1/50 dilution (20 µg/mL). Perform heat mediated antigen retrieval using ab93684 (Tris/EDTA buffer, pH 9.0). ImmunoHistoProbe one step HRP Polymer (ready to use) was used as the secondary antibody. Negative control : PBS instead of the primary antibody. Hematoxylin was used as a counterstain.

Immunohistochemistry (Formalin/PFA-fixed paraffin-embedded sections) - Anti-SERCA2 ATPase antibody [EPR9392] (AB150435)
  • IHC-P

Unknown

Immunohistochemistry (Formalin/PFA-fixed paraffin-embedded sections) - Anti-SERCA2 ATPase antibody [EPR9392] (AB150435)

Immunohistochemistry (Formalin/PFA-fixed paraffin-embedded sections) analysis of Human brain tissue sections labeling SERCA2 ATPase with purified ab150435 at 1/50 dilution (20 µg/mL). Perform heat mediated antigen retrieval using ab93684 (Tris/EDTA buffer, pH 9.0). ImmunoHistoProbe one step HRP Polymer (ready to use) was used as the secondary antibody. Negative control : PBS instead of the primary antibody. Hematoxylin was used as a counterstain.

Western blot - Anti-SERCA2 ATPase antibody [EPR9392] (AB150435)
  • WB

Unknown

Western blot - Anti-SERCA2 ATPase antibody [EPR9392] (AB150435)

Blocking/Diluting buffer : 5% NFDM/TBST

Suggest to use non-boiled samples, as boiling process could cause membrane protein aggregates (PMID : 16023741 and PMID : 8670158).

All lanes:

Western blot - Anti-SERCA2 ATPase antibody [EPR9392] (ab150435) at 1/5000 dilution

Lane 1:

HeLa (Human cervix adenocarcinoma epithelial cell) whole cell lysates boiled at 20 µg

Lane 2:

HeLa (Human cervix adenocarcinoma epithelial cell) whole cell lysates unboiled at 20 µg

Lane 3:

HepG2 (Human hepatocellular carcinoma epithelial cell) whole cell lysates boiled at 20 µg

Lane 4:

HepG2 (Human hepatocellular carcinoma epithelial cell) whole cell lysates unboiled at 20 µg

Lane 5:

Mouse brain lysates boiled at 20 µg

Lane 6:

Mouse brain lysates unboiled at 20 µg

Lane 7:

Rat brain lysates boiled at 20 µg

Lane 8:

Rat brain lysates unboiled at 20 µg

Secondary

All lanes:

Western blot - Goat Anti-Rabbit IgG H&L (HRP) (<a href='/en-us/products/secondary-antibodies/goat-rabbit-igg-h-l-hrp-ab97051'>ab97051</a>) at 1/20000 dilution

Predicted band size: 115 kDa

Observed band size: 115 kDa,140 kDa

false

  • Carrier free

    Anti-SERCA2 ATPase antibody [EPR9392] - BSA and Azide free

  • 578 PE

    PE Anti-SERCA2 ATPase antibody [EPR9392]

Key facts

Host species

Rabbit

Clonality

Monoclonal

Clone number

EPR9392

Isotype

IgG

Carrier free

No

Reacts with

Mouse, Rat, Human

Applications

WB, IHC-P, Flow Cyt (Intra), ICC/IF

applications

Immunogen

The exact immunogen used to generate this antibody is proprietary information.

Specificity

The mouse and rat recommendation is based on the WB results. We do not guarantee IHC-P for mouse and rat.

Reactivity data

{ "title": "Reactivity Data", "filters": { "stats": ["", "Species", "Dilution Info", "Notes"], "tabs": { "all-applications": {"fullname" : "All Applications", "shortname": "All Applications"}, "IHCP" : {"fullname" : "Immunohistochemistry (Formalin/PFA-fixed paraffin-embedded sections)", "shortname":"IHC-P"}, "WB" : {"fullname" : "Western blot", "shortname":"WB"}, "ICCIF" : {"fullname" : "Immunocytochemistry/ Immunofluorescence", "shortname":"ICC/IF"}, "FlowCytIntra" : {"fullname" : "Flow Cytometry (Intracellular)", "shortname":"Flow Cyt (Intra)"} }, "product-promise": { "all": "all", "testedAndGuaranteed": "tested", "guaranteed": "expected", "predicted": "predicted", "notRecommended": "not-recommended" } }, "values": { "Human": { "IHCP-species-checked": "testedAndGuaranteed", "IHCP-species-dilution-info": "1/50 - 1/100", "IHCP-species-notes": "<p>The mouse and rat recommendation is based on the WB results. We do not guarantee IHC-P for mouse and rat.</p> Perform heat-mediated antigen retrieval before commencing with IHC staining protocol.", "WB-species-checked": "testedAndGuaranteed", "WB-species-dilution-info": "1/5000 - 1/10000", "WB-species-notes": "<p><strong>For unpurified use at 1/20000 - 1/100000.</strong></p>", "ICCIF-species-checked": "testedAndGuaranteed", "ICCIF-species-dilution-info": "1/100 - 1/250", "ICCIF-species-notes": "<p></p>", "FlowCytIntra-species-checked": "testedAndGuaranteed", "FlowCytIntra-species-dilution-info": "1/100 - 1/1000", "FlowCytIntra-species-notes": "<p><a href='/en-us/products/primary-antibodies/rabbit-igg-monoclonal-epr25a-isotype-control-ab172730'>ab172730</a> - Rabbit monoclonal IgG, is suitable for use as an isotype control with this antibody.</p>" }, "Mouse": { "IHCP-species-checked": "notRecommended", "IHCP-species-dilution-info": "", "IHCP-species-notes": "<p></p>", "WB-species-checked": "testedAndGuaranteed", "WB-species-dilution-info": "1/5000 - 1/10000", "WB-species-notes": "<p><strong>For unpurified use at 1/20000 - 1/100000.</strong></p>", "ICCIF-species-checked": "guaranteed", "ICCIF-species-dilution-info": "", "ICCIF-species-notes": "", "FlowCytIntra-species-checked": "guaranteed", "FlowCytIntra-species-dilution-info": "", "FlowCytIntra-species-notes": "" }, "Rat": { "IHCP-species-checked": "notRecommended", "IHCP-species-dilution-info": "", "IHCP-species-notes": "<p></p>", "WB-species-checked": "testedAndGuaranteed", "WB-species-dilution-info": "1/5000 - 1/10000", "WB-species-notes": "<p><strong>For unpurified use at 1/20000 - 1/100000.</strong></p>", "ICCIF-species-checked": "guaranteed", "ICCIF-species-dilution-info": "", "ICCIF-species-notes": "", "FlowCytIntra-species-checked": "guaranteed", "FlowCytIntra-species-dilution-info": "", "FlowCytIntra-species-notes": "" } } }

Product details

What is this antibody validated in?
Anti-SERCA2 ATPase antibody [EPR9392] (ab150435) is a rabbit recombinant monoclonal antibody and is validated for use in Western Blot (WB), Flow Cytometry (Intra), Flow Cytometry (Flow Cyt), Immunohistochemistry (IHC-P), Immunocytochemistry/immunofluorescence (ICC/IF) in Human, Mouse, Rat samples.

What is the molecular weight of SERCA2 ATPase?
Anti-SERCA2 ATPase [EPR9392] (ab150435) specifically detects a band for SERCA2 ATPase (UniProt: P16615) at a molecular weight of 115kDa.

Trusted by the scientific community
Anti-SERCA2 ATPase [EPR9392] (ab150435) was first used in a scientific publication in 2012 and has been cited over 10 times in peer-reviewed journals.

Trial sizes available!
Test your antibody or perform pre-screening before committing to a larger quantity. Sold in 10µl. Discover our selection of trial-size antibodies.

Other related products
We have a range of other formats of antibody clone [EPR9392] also available for your convenience: ab150435, PE - ab237223, Carrier free - ab238426

Patented technology
Our RabMAb® technology is a patented hybridoma-based technology for making rabbit monoclonal antibodies. For details on our patents, please refer to RabMAb® patents.

What are the advantages of a recombinant monoclonal antibody?
This product is a recombinant monoclonal antibody, which offers several advantages including:

  • - High batch-to-batch consistency and reproducibility
  • - Improved sensitivity and specificity
  • - Long-term security of supply
  • - Animal-free batch production

For more information, read more on recombinant antibodies.

Properties and storage information

Form
Liquid
Purification technique
Affinity purification Protein A
Storage buffer
Preservative: 0.01% Sodium azide Constituents: PBS, 40% Glycerol (glycerin, glycerine), 0.05% BSA
Shipped at conditions
Blue Ice
Appropriate short-term storage duration
1-2 weeks
Appropriate short-term storage conditions
+4°C
Appropriate long-term storage conditions
-20°C
Aliquoting information
Upon delivery aliquot
Storage information
Avoid freeze / thaw cycle

Supplementary information

This supplementary information is collated from multiple sources and compiled automatically.

SERCA2 ATPase also known as sarco/endoplasmic reticulum Cal2+-ATPase 2 or ATP2A2 is an important pump responsible for the active transport of calcium ions from the cytosol into the sarcoplasmic or endoplasmic reticulum. This protein has a molecular weight of 110 kDa. It plays an important role in maintaining calcium homeostasis in muscle cells and is expressed in various tissues but particularly in cardiac and skeletal muscle. This pump uses energy from ATP hydrolysis to move calcium ions against their concentration gradient.
Biological function summary

The proper regulation of calcium ion levels by SERCA2 ATPase is essential for muscle contraction and relaxation cycles. SERCA2 exists as a part of the complex machinery in muscle cells closely interacting with phospholamban in the cardiac muscle to regulate its activity. Efficient functioning of SERCA2 directly influences calcium ion storage in the sarcoplasmic reticulum affecting muscle physiology and performance.

Pathways

The involvement of SERCA2 ATPase in the calcium signaling pathway and excitation-contraction coupling is significant. The protein's function is intimately linked with RYR2 (ryanodine receptor 2) as they both participate in the regulation of calcium ion flow in muscle cells. This interaction is necessary for the proper release and uptake of calcium ions during muscle contraction and relaxation cycles.

SERCA2 ATPase mutations or dysregulation can lead to cardiac diseases such as heart failure and muscle disorders like Brody myopathy. Heart failure often results from impaired calcium handling due to disruptions in the interaction between SERCA2 and associated proteins like phospholamban. Abnormalities in SERCA2 expression or function can lead to either excessive storage or insufficient release of calcium contributing to the pathological state of these conditions.

Product protocols

For this product, it's our understanding that no specific protocols are required. You can visit:

Target data

This magnesium-dependent enzyme catalyzes the hydrolysis of ATP coupled with the translocation of calcium from the cytosol to the sarcoplasmic reticulum lumen (PubMed : 12542527, PubMed : 16402920). Involved in autophagy in response to starvation. Upon interaction with VMP1 and activation, controls ER-isolation membrane contacts for autophagosome formation (PubMed : 28890335). Also modulates ER contacts with lipid droplets, mitochondria and endosomes (PubMed : 28890335). In coordination with FLVCR2 mediates heme-stimulated switching from mitochondrial ATP synthesis to thermogenesis (By similarity).. Isoform 2. Involved in the regulation of the contraction/relaxation cycle. Acts as a regulator of TNFSF11-mediated Ca(2+) signaling pathways via its interaction with TMEM64 which is critical for the TNFSF11-induced CREB1 activation and mitochondrial ROS generation necessary for proper osteoclast generation. Association between TMEM64 and SERCA2 in the ER leads to cytosolic Ca(2+) spiking for activation of NFATC1 and production of mitochondrial ROS, thereby triggering Ca(2+) signaling cascades that promote osteoclast differentiation and activation.
See full target information ATP2A2

Publications (34)

Recent publications for all applications. Explore the full list and refine your search

Scientific reports 15:18912 PubMed40442166

2025

Uncovering the molecular mechanisms of tonifying kidney and activating blood Decoction against myocardial fibrosis using network Pharmacology and experimental validation.

Applications

Unspecified application

Species

Unspecified reactive species

Rui Xu,Yanping Bi,Yetao Ju,Wenhao Yin,Shujun Zhao,Yan Zhang,Xin Zhao

Frontiers in pharmacology 16:1558573 PubMed40206076

2025

Cre recombinase affects calcium dynamics already in young mice.

Applications

Unspecified application

Species

Unspecified reactive species

János Levin Liffers,Jan Peter Reinhardt,Matthias Dodo Seidl,Uwe Kirchhefer,Frank Ulrich Müller,Jan Sebastian Schulte

Frontiers in pharmacology 16:1557685 PubMed40206075

2025

Allicin ameliorates acute myocardial infarction in rats by modulating calcium homeostasis in cardiomyocytes through the induction of hydrogen sulfide production.

Applications

Unspecified application

Species

Unspecified reactive species

Weiyu Liu,Shaojun Xu,Juan Wang,Xinxia Li,Ruiting Liu,Le Zhao,Yikui Li,Rongmei Shi,Jinyan Zhang

European journal of histochemistry : EJH 68: PubMed39494460

2024

Alarin regulates RyR2 and SERCA2 to improve cardiac function in heart failure with preserved ejection fraction.

Applications

Unspecified application

Species

Unspecified reactive species

Jinshuang Li,Dawei Xu,Ce Shi,Chunqi Cheng,Ziheng Xu,Xingjuan Gao,Yong Cheng

Cells 13: PubMed39195229

2024

Enhancing Maturation and Translatability of Human Pluripotent Stem Cell-Derived Cardiomyocytes through a Novel Medium Containing Acetyl-CoA Carboxylase 2 Inhibitor.

Applications

Unspecified application

Species

Unspecified reactive species

Cláudia Correia,Jonas Christoffersson,Sandra Tejedor,Saïd El-Haou,Meztli Matadamas-Guzman,Syam Nair,Pierre Dönnes,Gentian Musa,Mattias Rohman,Monika Sundqvist,Rebecca B Riddle,Bramasta Nugraha,Ioritz Sorzabal Bellido,Markus Johansson,Qing-Dong Wang,Alejandro Hidalgo,Karin Jennbacken,Jane Synnergren,Daniela Später

Materials today. Bio 28:101162 PubMed39175654

2024

Type I collagen-targeted liposome delivery of Serca2a modulates myocardium calcium homeostasis and reduces cardiac fibrosis induced by myocardial infarction.

Applications

Unspecified application

Species

Unspecified reactive species

Wanshi Chen,Lingjuan Liu,Ming Tang,Jiajin Li,Wenjing Yuan,Dan Yin,Yang Cao,Jie Tian

iScience 27:110510 PubMed39175772

2024

BCL2L13 at endoplasmic reticulum-mitochondria contact sites regulates calcium homeostasis to maintain skeletal muscle function.

Applications

Unspecified application

Species

Unspecified reactive species

Dogan Grepper,Cassandra Tabasso,Nadège Zanou,Axel K F Aguettaz,Mauricio Castro-Sepulveda,Dorian V Ziegler,Sylviane Lagarrigue,Yoan Arribat,Adrien Martinotti,Ammar Ebrahimi,Jean Daraspe,Lluis Fajas,Francesca Amati

Frontiers in cardiovascular medicine 11:1357315 PubMed39041002

2024

RYR2 deficient human model identifies calcium handling and metabolic dysfunction impacting pharmacological responses.

Applications

Unspecified application

Species

Unspecified reactive species

Linda Starnes,Andrew Hall,Damla Etal,Anna-Lina Cavallo,Piotr Grabowski,John Gallon,Michelle Kha,Ryan Hicks,Amy Pointon

Cell death discovery 10:280 PubMed38862478

2024

Heat stress induces calcium dyshomeostasis to subsequent cognitive impairment through ERS-mediated apoptosis via SERCA/PERK/eIF2α pathway.

Applications

Unspecified application

Species

Unspecified reactive species

Hongxia Li,Wenlan Pan,Chenqi Li,Mengyu Cai,Wenjing Shi,Zifu Ren,Hongtao Lu,Qicheng Zhou,Hui Shen

Scientific reports 14:6376 PubMed38493225

2024

A novel role for phospholamban in the thalamic reticular nucleus.

Applications

Unspecified application

Species

Unspecified reactive species

Benjamin Klocke,Aikaterini Britzolaki,Joseph Saurine,Hayden Ott,Kylie Krone,Kiara Bahamonde,Connor Thelen,Christos Tzimas,Despina Sanoudou,Evangelia G Kranias,Pothitos M Pitychoutis
View all publications

Product promise

We are committed to supporting your work with high-quality reagents, and we're here for you every step of the way. In the unlikely event that one of our products does not perform as expected, you're protected by our Product Promise.
For full details, please see our Terms & Conditions

Please note: All products are 'FOR RESEARCH USE ONLY. NOT FOR USE IN DIAGNOSTIC OR THERAPEUTIC PROCEDURES'.

For licensing inquiries, please contact partnerships@abcam.com