JavaScript is disabled in your browser. Please enable JavaScript to view this website.
AB238426

Anti-SERCA2 ATPase antibody [EPR9392] - BSA and Azide free

Be the first to review this product! Submit a review

|

(2 Publications)

Rabbit Recombinant Monoclonal SERCA2 ATPase antibody. Carrier free. Suitable for IHC-P, WB, ICC/IF, Flow Cyt (Intra) and reacts with Human, Mouse, Rat samples. Cited in 2 publications.

View Alternative Names

ATP2B, ATP2A2, Sarcoplasmic/endoplasmic reticulum calcium ATPase 2, SERCA2, SR Ca(2+)-ATPase 2, Calcium pump 2, Endoplasmic reticulum class 1/2 Ca(2+) ATPase

9 Images
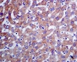
Immunohistochemistry (Formalin/PFA-fixed paraffin-embedded sections) - Anti-SERCA2 ATPase antibody [EPR9392] - BSA and Azide free (AB238426)
  • IHC-P

Unknown

Immunohistochemistry (Formalin/PFA-fixed paraffin-embedded sections) - Anti-SERCA2 ATPase antibody [EPR9392] - BSA and Azide free (AB238426)

Immunohistochemical analysis of paraffin embedded Human liver tissue labelling SERCA2 ATPase with unpurified ab150435 at 1/50.

This data was developed using the same antibody clone in a different buffer formulation containing PBS, BSA, glycerol, and sodium azide (ab150435).

Perform heat mediated antigen retrieval before commencing with IHC staining protocol.

Immunocytochemistry/ Immunofluorescence - Anti-SERCA2 ATPase antibody [EPR9392] - BSA and Azide free (AB238426)
  • ICC/IF

Unknown

Immunocytochemistry/ Immunofluorescence - Anti-SERCA2 ATPase antibody [EPR9392] - BSA and Azide free (AB238426)

Immunocytochemistry/ Immunofluorescence analysis of HepG2 (Human hepatocellular carcinoma epithelial cell) cells labeling SERCA2 ATPase with Purified ab150435 at 1/100 dilution (10 μg/mL). Cells were fixed in 100% Methanol. Goat anti rabbit IgG (Alexa Fluor® 488, ab150077) was used as the secondary antibody at 1/1000 (2 μg/mL) dilution. DAPI (blue) was used as nuclear counterstain. PBS instead of the primary antibody was used as the secondary antibody only control.
This data was developed using the same antibody clone in a different buffer formulation containing PBS, BSA, glycerol, and sodium azide (ab150435).

Immunocytochemistry/ Immunofluorescence - Anti-SERCA2 ATPase antibody [EPR9392] - BSA and Azide free (AB238426)
  • ICC/IF

Unknown

Immunocytochemistry/ Immunofluorescence - Anti-SERCA2 ATPase antibody [EPR9392] - BSA and Azide free (AB238426)

Immunofluorescence analysis of HeLa cells labelling SERCA2 ATPase with unpurified ab150435 at 1/100.

This data was developed using the same antibody clone in a different buffer formulation containing PBS, BSA, glycerol, and sodium azide (ab150435).

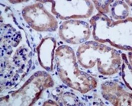
Immunohistochemistry (Formalin/PFA-fixed paraffin-embedded sections) - Anti-SERCA2 ATPase antibody [EPR9392] - BSA and Azide free (AB238426)
  • IHC-P

Unknown

Immunohistochemistry (Formalin/PFA-fixed paraffin-embedded sections) - Anti-SERCA2 ATPase antibody [EPR9392] - BSA and Azide free (AB238426)

Immunohistochemical analysis of paraffin embedded Human kidney tissue labelling SERCA2 ATPase with unpurified ab150435 at 1/50.

This data was developed using the same antibody clone in a different buffer formulation containing PBS, BSA, glycerol, and sodium azide (ab150435).

Perform heat mediated antigen retrieval before commencing with IHC staining protocol.

Flow Cytometry (Intracellular) - Anti-SERCA2 ATPase antibody [EPR9392] - BSA and Azide free (AB238426)
  • Flow Cyt (Intra)

Unknown

Flow Cytometry (Intracellular) - Anti-SERCA2 ATPase antibody [EPR9392] - BSA and Azide free (AB238426)

Overlay histogram showing HepG2 cells stained with unpurified ab150435 (red line). The cells were fixed with 80% methanol (5 min) and then permeabilized with 0.1% PBS-Tween for 20 min. The cells were then incubated in 1x PBS / 10% normal goat serum / 0.3M glycine to block non-specific protein-protein interactions followed by the antibody (ab150435, 1/1000 dilution) for 30 min at 22°C. The secondary antibody used was Alexa Fluor® 488 goat anti-rabbit IgG (H&L) (ab150077) at 1/2000 dilution for 30 min at 22°C. Isotype control antibody (black line) was rabbit IgG (monoclonal) (0.1μg/1x106 cells) used under the same conditions. Unlabelled sample (blue line) was also used as a control. Acquisition of >5,000 events were collected using a 20mW Argon ion laser (488nm) and 525/30 bandpass filter. This antibody gave a positive signal in HepG2 cells fixed with 4% paraformaldehyde (10 min)/permeabilized with 0.1% PBS-Tween for 20 min used under the same conditions.

This data was developed using the same antibody clone in a different buffer formulation containing PBS, BSA, glycerol, and sodium azide (ab150435).

Flow Cytometry (Intracellular) - Anti-SERCA2 ATPase antibody [EPR9392] - BSA and Azide free (AB238426)
  • Flow Cyt (Intra)

Unknown

Flow Cytometry (Intracellular) - Anti-SERCA2 ATPase antibody [EPR9392] - BSA and Azide free (AB238426)

Intracellular Flow Cytometry analysis of HepG2 (Human hepatocellular carcinoma epithelial cell) cells labeling SERCA2 ATPase with Purified ab150435 at 1/1000 dilution (1 μg/mL) (Red). Cells were fixed with 80% Methanol and permeabilised with 0.1% Tween-20. A Goat anti rabbit IgG (Alexa Fluor® 488, ab150077) secondary antibody was used at 1/2000. Isotype control - Rabbit monoclonal IgG (Black). Unlabeled control - Cell without incubation with primary antibody and secondary antibody (Blue). This data was developed using the same antibody clone in a different buffer formulation containing PBS, BSA, glycerol, and sodium azide (ab150435).

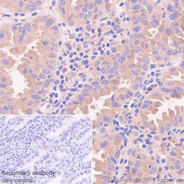
Immunohistochemistry (Formalin/PFA-fixed paraffin-embedded sections) - Anti-SERCA2 ATPase antibody [EPR9392] - BSA and Azide free (AB238426)
  • IHC-P

Unknown

Immunohistochemistry (Formalin/PFA-fixed paraffin-embedded sections) - Anti-SERCA2 ATPase antibody [EPR9392] - BSA and Azide free (AB238426)

Immunohistochemistry (Formalin/PFA-fixed paraffin-embedded sections) analysis of Human lung carcinoma tissue sections labeling SERCA2 ATPase with Purified ab150435 at 1/50 dilution (20 µg/mL). Perform heat mediated antigen retrieval using ab93684 (Tris/EDTA buffer, pH 9.0). ImmunoHistoProbe one step HRP Polymer (ready to use) was used as the secondary antibody. Negative control : PBS instead of the primary antibody. Hematoxylin was used as a counterstain.
This data was developed using the same antibody clone in a different buffer formulation containing PBS, BSA, glycerol, and sodium azide (ab150435).

Immunohistochemistry (Formalin/PFA-fixed paraffin-embedded sections) - Anti-SERCA2 ATPase antibody [EPR9392] - BSA and Azide free (AB238426)
  • IHC-P

Unknown

Immunohistochemistry (Formalin/PFA-fixed paraffin-embedded sections) - Anti-SERCA2 ATPase antibody [EPR9392] - BSA and Azide free (AB238426)

Immunohistochemistry (Formalin/PFA-fixed paraffin-embedded sections) analysis of Human brain tissue sections labeling SERCA2 ATPase with Purified ab150435 at 1/50 dilution (20 µg/mL). Perform heat mediated antigen retrieval using ab93684 (Tris/EDTA buffer, pH 9.0). ImmunoHistoProbe one step HRP Polymer (ready to use) was used as the secondary antibody. Negative control : PBS instead of the primary antibody. Hematoxylin was used as a counterstain.
This data was developed using the same antibody clone in a different buffer formulation containing PBS, BSA, glycerol, and sodium azide (ab150435).

Western blot - Anti-SERCA2 ATPase antibody [EPR9392] - BSA and Azide free (AB238426)
  • WB

Unknown

Western blot - Anti-SERCA2 ATPase antibody [EPR9392] - BSA and Azide free (AB238426)

Suggest to use non-boiled samples, as boiling process could cause membrane protein aggregates (PMID : 16023741 and PMID : 8670158).

This data was developed using the same antibody clone in a different buffer formulation containing PBS, BSA, glycerol, and sodium azide (ab150435).

All lanes:

Western blot - Anti-SERCA2 ATPase antibody [EPR9392] (<a href='/en-us/products/primary-antibodies/serca2-atpase-antibody-epr9392-ab150435'>ab150435</a>) at 1/5000 dilution

Lane 1:

HeLa (Human cervix adenocarcinoma epithelial cell) whole cell lysates boiled at 20 µg

Lane 2:

HeLa (Human cervix adenocarcinoma epithelial cell) whole cell lysates unboiled at 20 µg

Lane 3:

HepG2 (Human hepatocellular carcinoma epithelial cell) whole cell lysates boiled at 20 µg

Lane 4:

HepG2 (Human hepatocellular carcinoma epithelial cell) whole cell lysates unboiled at 20 µg

Lane 5:

Mouse brain lysates boiled at 20 µg

Lane 6:

Mouse brain lysates unboiled at 20 µg

Lane 7:

Rat brain lysates boiled at 20 µg

Lane 8:

Rat brain lysates unboiled at 20 µg

Secondary

All lanes:

Western blot - Goat Anti-Rabbit IgG H&L (HRP) (<a href='/en-us/products/secondary-antibodies/goat-rabbit-igg-h-l-hrp-ab97051'>ab97051</a>) at 1/20000 dilution

Predicted band size: 115 kDa

Observed band size: 115 kDa,140 kDa

false

  • Unconjugated

    Anti-SERCA2 ATPase antibody [EPR9392]

  • 578 PE

    PE Anti-SERCA2 ATPase antibody [EPR9392]

Key facts

Host species

Rabbit

Clonality

Monoclonal

Clone number

EPR9392

Isotype

IgG

Carrier free

Yes

Reacts with

Mouse, Rat, Human

Applications

Flow Cyt (Intra), IHC-P, ICC/IF, WB

applications

Immunogen

The exact immunogen used to generate this antibody is proprietary information.

Specificity

The mouse and rat recommendation is based on the WB results. We do not guarantee IHC-P for mouse and rat.

Reactivity data

{ "title": "Reactivity Data", "filters": { "stats": ["", "Species", "Dilution Info", "Notes"], "tabs": { "all-applications": {"fullname" : "All Applications", "shortname": "All Applications"}, "IHCP" : {"fullname" : "Immunohistochemistry (Formalin/PFA-fixed paraffin-embedded sections)", "shortname":"IHC-P"}, "WB" : {"fullname" : "Western blot", "shortname":"WB"}, "ICCIF" : {"fullname" : "Immunocytochemistry/ Immunofluorescence", "shortname":"ICC/IF"}, "FlowCytIntra" : {"fullname" : "Flow Cytometry (Intracellular)", "shortname":"Flow Cyt (Intra)"} }, "product-promise": { "all": "all", "testedAndGuaranteed": "tested", "guaranteed": "expected", "predicted": "predicted", "notRecommended": "not-recommended" } }, "values": { "Human": { "IHCP-species-checked": "testedAndGuaranteed", "IHCP-species-dilution-info": "", "IHCP-species-notes": "<p>The mouse and rat recommendation is based on the WB results. We do not guarantee IHC-P for mouse and rat.</p>", "WB-species-checked": "testedAndGuaranteed", "WB-species-dilution-info": "", "WB-species-notes": "<p></p>", "ICCIF-species-checked": "testedAndGuaranteed", "ICCIF-species-dilution-info": "", "ICCIF-species-notes": "<p></p>", "FlowCytIntra-species-checked": "testedAndGuaranteed", "FlowCytIntra-species-dilution-info": "", "FlowCytIntra-species-notes": "<p></p>" }, "Mouse": { "IHCP-species-checked": "guaranteed", "IHCP-species-dilution-info": "", "IHCP-species-notes": "<p>The mouse and rat recommendation is based on the WB results. We do not guarantee IHC-P for mouse and rat.</p>", "WB-species-checked": "testedAndGuaranteed", "WB-species-dilution-info": "", "WB-species-notes": "<p></p>", "ICCIF-species-checked": "guaranteed", "ICCIF-species-dilution-info": "", "ICCIF-species-notes": "<p></p>", "FlowCytIntra-species-checked": "guaranteed", "FlowCytIntra-species-dilution-info": "", "FlowCytIntra-species-notes": "<p></p>" }, "Rat": { "IHCP-species-checked": "guaranteed", "IHCP-species-dilution-info": "", "IHCP-species-notes": "<p>The mouse and rat recommendation is based on the WB results. We do not guarantee IHC-P for mouse and rat.</p>", "WB-species-checked": "testedAndGuaranteed", "WB-species-dilution-info": "", "WB-species-notes": "<p></p>", "ICCIF-species-checked": "guaranteed", "ICCIF-species-dilution-info": "", "ICCIF-species-notes": "<p></p>", "FlowCytIntra-species-checked": "guaranteed", "FlowCytIntra-species-dilution-info": "", "FlowCytIntra-species-notes": "<p></p>" } } }

Product details

ab238426 is the carrier-free version of ab150435.

Patented technology
Our RabMAb® technology is a patented hybridoma-based technology for making rabbit monoclonal antibodies. For details on our patents, please refer to RabMAb® patents.

What are the advantages of a recombinant monoclonal antibody?
This product is a recombinant monoclonal antibody, which offers several advantages including:

  • - High batch-to-batch consistency and reproducibility
  • - Improved sensitivity and specificity
  • - Long-term security of supply
  • - Animal-free batch production

For more information, read more on recombinant antibodies.

Conjugation ready
Our carrier-free antibodies are typically supplied in a PBS-only formulation, purified and free of BSA, sodium azide and glycerol. This conjugation-ready format is designed for use with fluorochromes, metal isotopes, oligonucleotides, and enzymes, which makes them ideal for antibody labelling, functional and cell-based assays, flow-based assays (e.g. mass cytometry) and Multiplex Imaging applications.

Use our conjugation kits for antibody conjugates that are ready-to-use in as little as 20 minutes with 1 minute hands-on-time and 100% antibody recovery: available for fluorescent dyes, HRP, biotin and gold.

Compatibility
This product is compatible with the Maxpar® Antibody Labeling Kit from Fluidigm, without the need for antibody preparation. Maxpar® is a trademark of Fluidigm Canada Inc.

Properties and storage information

Form
Liquid
Purification technique
Affinity purification Protein A
Storage buffer
pH: 7.2 - 7.4 Constituents: PBS
Shipped at conditions
Blue Ice
Appropriate short-term storage conditions
+4°C
Appropriate long-term storage conditions
+4°C
Storage information
Do Not Freeze

Supplementary information

This supplementary information is collated from multiple sources and compiled automatically.

SERCA2 ATPase also known as sarco/endoplasmic reticulum Ca²⁺-ATPase 2 or ATP2A2 is an important pump responsible for the active transport of calcium ions from the cytosol into the sarcoplasmic or endoplasmic reticulum. This protein has a molecular weight of 110 kDa. It plays an important role in maintaining calcium homeostasis in muscle cells and is expressed in various tissues but particularly in cardiac and skeletal muscle. This pump uses energy from ATP hydrolysis to move calcium ions against their concentration gradient.
Biological function summary

The proper regulation of calcium ion levels by SERCA2 ATPase is essential for muscle contraction and relaxation cycles. SERCA2 exists as a part of the complex machinery in muscle cells closely interacting with phospholamban in the cardiac muscle to regulate its activity. Efficient functioning of SERCA2 directly influences calcium ion storage in the sarcoplasmic reticulum affecting muscle physiology and performance.

Pathways

The involvement of SERCA2 ATPase in the calcium signaling pathway and excitation-contraction coupling is significant. The protein's function is intimately linked with RYR2 (ryanodine receptor 2) as they both participate in the regulation of calcium ion flow in muscle cells. This interaction is necessary for the proper release and uptake of calcium ions during muscle contraction and relaxation cycles.

SERCA2 ATPase mutations or dysregulation can lead to cardiac diseases such as heart failure and muscle disorders like Brody myopathy. Heart failure often results from impaired calcium handling due to disruptions in the interaction between SERCA2 and associated proteins like phospholamban. Abnormalities in SERCA2 expression or function can lead to either excessive storage or insufficient release of calcium contributing to the pathological state of these conditions.

Product protocols

For this product, it's our understanding that no specific protocols are required. You can visit:

Target data

This magnesium-dependent enzyme catalyzes the hydrolysis of ATP coupled with the translocation of calcium from the cytosol to the sarcoplasmic reticulum lumen (PubMed : 12542527, PubMed : 16402920). Involved in autophagy in response to starvation. Upon interaction with VMP1 and activation, controls ER-isolation membrane contacts for autophagosome formation (PubMed : 28890335). Also modulates ER contacts with lipid droplets, mitochondria and endosomes (PubMed : 28890335). In coordination with FLVCR2 mediates heme-stimulated switching from mitochondrial ATP synthesis to thermogenesis (By similarity).. Isoform 2. Involved in the regulation of the contraction/relaxation cycle. Acts as a regulator of TNFSF11-mediated Ca(2+) signaling pathways via its interaction with TMEM64 which is critical for the TNFSF11-induced CREB1 activation and mitochondrial ROS generation necessary for proper osteoclast generation. Association between TMEM64 and SERCA2 in the ER leads to cytosolic Ca(2+) spiking for activation of NFATC1 and production of mitochondrial ROS, thereby triggering Ca(2+) signaling cascades that promote osteoclast differentiation and activation.
See full target information ATP2A2

Publications (2)

Recent publications for all applications. Explore the full list and refine your search

Nature genetics 57:1142-1154 PubMed40229600

2025

Longitudinal single-cell multiomic atlas of high-risk neuroblastoma reveals chemotherapy-induced tumor microenvironment rewiring.

Applications

Unspecified application

Species

Unspecified reactive species

Wenbao Yu,Rumeysa Biyik-Sit,Yasin Uzun,Chia-Hui Chen,Anusha Thadi,Jonathan H Sussman,Minxing Pang,Chi-Yun Wu,Liron D Grossmann,Peng Gao,David W Wu,Aliza Yousey,Mei Zhang,Christina S Turn,Zhan Zhang,Shovik Bandyopadhyay,Jeffrey Huang,Tasleema Patel,Changya Chen,Daniel Martinez,Lea F Surrey,Michael D Hogarty,Kathrin Bernt,Nancy R Zhang,John M Maris,Kai Tan

Bone & joint research 10:328-339 PubMed34024119

2021

Extracellular vesicles derived from mesenchymal stem cells containing microRNA-381 protect against spinal cord injury in a rat model via the BRD4/WNT5A axis.

Applications

Unspecified application

Species

Unspecified reactive species

Xufeng Jia,Guangping Huang,Shaohua Wang,Miao Long,Xiaojun Tang,Daxiong Feng,Qingzhong Zhou
View all publications

Product promise

We are committed to supporting your work with high-quality reagents, and we're here for you every step of the way. In the unlikely event that one of our products does not perform as expected, you're protected by our Product Promise.
For full details, please see our Terms & Conditions

Please note: All products are 'FOR RESEARCH USE ONLY. NOT FOR USE IN DIAGNOSTIC OR THERAPEUTIC PROCEDURES'.

For licensing inquiries, please contact partnerships@abcam.com