JavaScript is disabled in your browser. Please enable JavaScript to view this website.
AB240095

Anti-SERCA2 ATPase antibody [EPR9393] - BSA and Azide free

Be the first to review this product! Submit a review

|

(1 Publication)

Rabbit Recombinant Monoclonal SERCA2 ATPase antibody. Carrier free. Suitable for IHC-P, WB, ICC/IF, Flow Cyt (Intra) and reacts with Mouse, Rat, Human samples. Cited in 1 publication.

View Alternative Names

ATP2B, ATP2A2, Sarcoplasmic/endoplasmic reticulum calcium ATPase 2, SERCA2, SR Ca(2+)-ATPase 2, Calcium pump 2, Endoplasmic reticulum class 1/2 Ca(2+) ATPase

6 Images
Immunocytochemistry/ Immunofluorescence - Anti-SERCA2 ATPase antibody [EPR9393] - BSA and Azide free (AB240095)
  • ICC/IF

Lab

Immunocytochemistry/ Immunofluorescence - Anti-SERCA2 ATPase antibody [EPR9393] - BSA and Azide free (AB240095)

This data was developed using the same antibody clone in a different buffer formulation containing PBS, BSA, glycerol, and sodium azide (ab137020).

Immunofluorescent analysis of 4% Paraformaldehyde-fixed, 0.1% TritonX-100 permeabilized HepG2 (human hepatocellular carcinoma epithelial cell) cells labelling SERCA2 ATPase with ab137020 at 1/50 dilution followed by a secondary antibody ab150081 Goat Anti-Rabbit IgG H&L (Alexa Fluor® 488) preadsorbed used at 1/1000 (2 ug/ml) dilution (Green).

Confocal image showing cytoplasmic staining in HepG2 cells (shown in green). The counterstain was observed in magenta. Nuclear DNA was labeled with DAPI (shown in blue). Image was taken with a confocal microscope (Leica-Microsystems, TCS SP8).

ab195889 Anti-alpha Tubulin mouse monoclonal antibody - Microtubule Marker (Alexa Fluor® 594) was used to counterstain tubulin at 1/200 (2.5ug/ml) dilution (Magenta). The Nuclear counterstain was DAPI (Blue).

Flow Cytometry (Intracellular) - Anti-SERCA2 ATPase antibody [EPR9393] - BSA and Azide free (AB240095)
  • Flow Cyt (Intra)

Lab

Flow Cytometry (Intracellular) - Anti-SERCA2 ATPase antibody [EPR9393] - BSA and Azide free (AB240095)

This data was developed using the same antibody clone in a different buffer formulation containing PBS, BSA, glycerol, and sodium azide (ab137020).

Flow cytometric analysis of 4% paraformaldehyde fixed 90% methanol permeabilized HeLa (Human cervix adenocarcinoma epithelial cell) cells labelling SERCA2 ATPase with ab137020 at 1/200 dilution (0.25μg) following Goat anti rabbit IgG (Alexa Fluor® 488, ab150077) used at 1/2000 dilution (Red) compared with a Rabbit monoclonal IgG (ab172730) (Black) isotype control and an unlabelled control (cells without incubation with primary antibody and secondary antibody) (Blue).

Immunohistochemistry (Formalin/PFA-fixed paraffin-embedded sections) - Anti-SERCA2 ATPase antibody [EPR9393] - BSA and Azide free (AB240095)
  • IHC-P

Lab

Immunohistochemistry (Formalin/PFA-fixed paraffin-embedded sections) - Anti-SERCA2 ATPase antibody [EPR9393] - BSA and Azide free (AB240095)

This data was developed using the same antibody clone in a different buffer formulation containing PBS, BSA, glycerol, and sodium azide (ab137020).

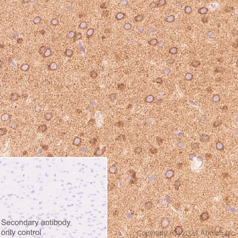
Immunohistochemical analysis of paraffin-embedded Mouse cerebrum tissue labeling SERCA2 ATPase with ab137020 at 1/5000 (0.018 ug/ml) dilution followed by a ready to use LeciaDS9800 (BondTM Polymer Refine Detection). Counterstained with Hematoxylin.

Positive staining on mouse cerebrum.

The section was incubated with ab137020 for 10 mins at room temperature.

The immunostaining was performed on a Leica Biosystems BOND® RX instrument.

Heat mediated antigen retrieval was performed with Tris-EDTA buffer (pH 9.0 Epitope Retrieval Solution2) for 20 mins.

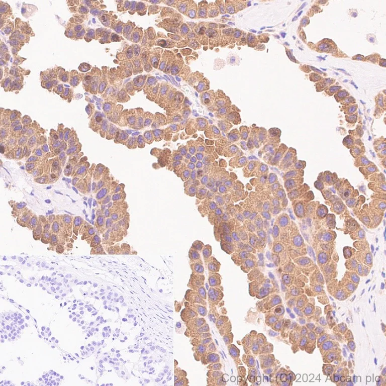
Immunohistochemistry (Formalin/PFA-fixed paraffin-embedded sections) - Anti-SERCA2 ATPase antibody [EPR9393] - BSA and Azide free (AB240095)
  • IHC-P

Lab

Immunohistochemistry (Formalin/PFA-fixed paraffin-embedded sections) - Anti-SERCA2 ATPase antibody [EPR9393] - BSA and Azide free (AB240095)

This data was developed using the same antibody clone in a different buffer formulation containing PBS, BSA, glycerol, and sodium azide (ab137020).

Immunohistochemical analysis of paraffin-embedded Mouse lung cancer tissue labeling SERCA2 ATPase with ab137020 at 1/5000 (0.018 ug/ml) dilution followed by a ready to use LeciaDS9800 (BondTM Polymer Refine Detection). Counterstained with Hematoxylin.

Positive staining on mouse lung cancer.

The section was incubated with ab137020 for 10 mins at room temperature.

The immunostaining was performed on a Leica Biosystems BOND® RX instrument.

Heat mediated antigen retrieval was performed with Tris-EDTA buffer (pH 9.0 Epitope Retrieval Solution2) for 20 mins.

Immunohistochemistry (Formalin/PFA-fixed paraffin-embedded sections) - Anti-SERCA2 ATPase antibody [EPR9393] - BSA and Azide free (AB240095)
  • IHC-P

Lab

Immunohistochemistry (Formalin/PFA-fixed paraffin-embedded sections) - Anti-SERCA2 ATPase antibody [EPR9393] - BSA and Azide free (AB240095)

This data was developed using the same antibody clone in a different buffer formulation containing PBS, BSA, glycerol, and sodium azide (ab137020).

Immunohistochemical analysis of paraffin-embedded Rat cerebrum tissue labeling SERCA2 ATPase with ab137020 at 1/5000 (0.018 ug/ml) dilution followed by a ready to use LeciaDS9800 (BondTM Polymer Refine Detection). Counterstained with Hematoxylin.

Positive staining on rat cerebrum.

The section was incubated with ab137020 for 10 mins at room temperature.

The immunostaining was performed on a Leica Biosystems BOND® RX instrument.

Heat mediated antigen retrieval was performed with Tris-EDTA buffer (pH 9.0 Epitope Retrieval Solution2) for 20 mins.

Western blot - Anti-SERCA2 ATPase antibody [EPR9393] - BSA and Azide free (AB240095)
  • WB

Lab

Western blot - Anti-SERCA2 ATPase antibody [EPR9393] - BSA and Azide free (AB240095)

This data was developed using the same antibody clone in a different buffer formulation containing PBS, BSA, glycerol, and sodium azide (ab137020). We recommend not Boiling the samples after lysis as boiling may cause membrane protein aggregates. ab181602 was used as a GAPDH loading control.

All lanes:

Western blot - Anti-SERCA2 ATPase antibody [EPR9393] (<a href='/en-us/products/primary-antibodies/serca2-atpase-antibody-epr9393-ab137020'>ab137020</a>)

Lane 1:

Jurkat (Human T cell leukemia T lymphocyte) whole cell lysate, boiled at 20 µg

Lane 2:

Jurkat (Human T cell leukemia T lymphocyte) whole cell lysate, unboiled at 20 µg

Lane 3:

C6 (Rat glial tumor glial cell) whole cell lysate, boiled at 20 µg

Lane 4:

C6 (Rat glial tumor glial cell) whole cell lysate, unboiled at 20 µg

Lane 5:

NIH/3T3 (Mouse embryonic fibroblast) whole cell lysate, boiled at 20 µg

Lane 6:

NIH/3T3 (Mouse embryonic fibroblast) whole cell lysate, unboiled at 20 µg

Secondary

All lanes:

Western blot - Goat Anti-Rabbit IgG H&L (HRP) (<a href='/en-us/products/secondary-antibodies/goat-rabbit-igg-h-l-hrp-ab97051'>ab97051</a>) at 1/20000 dilution

Observed band size: 115 kDa

false

Exposure time: 20s

  • Unconjugated

    Anti-SERCA2 ATPase antibody [EPR9393]

  • 775 Alexa Fluor® 750

    Alexa Fluor® 750 Anti-SERCA2 ATPase antibody [EPR9393]

  • 578 PE

    PE Anti-SERCA2 ATPase antibody [EPR9393]

  • 660 APC

    APC Anti-SERCA2 ATPase antibody [EPR9393]

  • HRP

    HRP Anti-SERCA2 ATPase antibody [EPR9393]

  • 519 Alexa Fluor® 488

    Alexa Fluor® 488 Anti-SERCA2 ATPase antibody [EPR9393]

  • 665 Alexa Fluor® 647

    Alexa Fluor® 647 Anti-SERCA2 ATPase antibody [EPR9393]

  • 617 Alexa Fluor® 594

    Alexa Fluor® 594 Anti-SERCA2 ATPase antibody [EPR9393]

  • 565 Alexa Fluor® 555

    Alexa Fluor® 555 Anti-SERCA2 ATPase antibody [EPR9393]

Key facts

Host species

Rabbit

Clonality

Monoclonal

Clone number

EPR9393

Isotype

IgG

Carrier free

Yes

Reacts with

Mouse, Rat, Human

Applications

IHC-P, WB, Flow Cyt (Intra), ICC/IF

applications

Immunogen

The exact immunogen used to generate this antibody is proprietary information.

Reactivity data

{ "title": "Reactivity Data", "filters": { "stats": ["", "Species", "Dilution Info", "Notes"], "tabs": { "all-applications": {"fullname" : "All Applications", "shortname": "All Applications"}, "IHCP" : {"fullname" : "Immunohistochemistry (Formalin/PFA-fixed paraffin-embedded sections)", "shortname":"IHC-P"}, "WB" : {"fullname" : "Western blot", "shortname":"WB"}, "IP" : {"fullname" : "Immunoprecipitation", "shortname":"IP"}, "ICCIF" : {"fullname" : "Immunocytochemistry/ Immunofluorescence", "shortname":"ICC/IF"}, "FlowCytIntra" : {"fullname" : "Flow Cytometry (Intracellular)", "shortname":"Flow Cyt (Intra)"} }, "product-promise": { "all": "all", "testedAndGuaranteed": "tested", "guaranteed": "expected", "predicted": "predicted", "notRecommended": "not-recommended" } }, "values": { "Human": { "IHCP-species-checked": "guaranteed", "IHCP-species-dilution-info": "", "IHCP-species-notes": "", "WB-species-checked": "testedAndGuaranteed", "WB-species-dilution-info": "", "WB-species-notes": "<p></p>", "IP-species-checked": "notRecommended", "IP-species-dilution-info": "", "IP-species-notes": "<p></p>", "ICCIF-species-checked": "testedAndGuaranteed", "ICCIF-species-dilution-info": "", "ICCIF-species-notes": "<p></p>", "FlowCytIntra-species-checked": "testedAndGuaranteed", "FlowCytIntra-species-dilution-info": "", "FlowCytIntra-species-notes": "<p><a href='/en-us/products/primary-antibodies/rabbit-igg-monoclonal-epr25a-isotype-control-low-endotoxin-azide-free-ab199376'>ab199376</a> - Rabbit monoclonal IgG, is suitable for use as an isotype control with this antibody.</p>" }, "Mouse": { "IHCP-species-checked": "testedAndGuaranteed", "IHCP-species-dilution-info": "", "IHCP-species-notes": "<p></p>", "WB-species-checked": "testedAndGuaranteed", "WB-species-dilution-info": "", "WB-species-notes": "<p></p>", "IP-species-checked": "notRecommended", "IP-species-dilution-info": "", "IP-species-notes": "<p></p>", "ICCIF-species-checked": "guaranteed", "ICCIF-species-dilution-info": "", "ICCIF-species-notes": "", "FlowCytIntra-species-checked": "guaranteed", "FlowCytIntra-species-dilution-info": "", "FlowCytIntra-species-notes": "" }, "Rat": { "IHCP-species-checked": "testedAndGuaranteed", "IHCP-species-dilution-info": "", "IHCP-species-notes": "<p></p>", "WB-species-checked": "testedAndGuaranteed", "WB-species-dilution-info": "", "WB-species-notes": "<p></p>", "IP-species-checked": "notRecommended", "IP-species-dilution-info": "", "IP-species-notes": "<p></p>", "ICCIF-species-checked": "guaranteed", "ICCIF-species-dilution-info": "", "ICCIF-species-notes": "", "FlowCytIntra-species-checked": "guaranteed", "FlowCytIntra-species-dilution-info": "", "FlowCytIntra-species-notes": "" } } }

Product details

ab240095 is the carrier-free version of ab137020.

Patented technology
Our RabMAb® technology is a patented hybridoma-based technology for making rabbit monoclonal antibodies. For details on our patents, please refer to RabMAb® patents.

What are the advantages of a recombinant monoclonal antibody?
This product is a recombinant monoclonal antibody, which offers several advantages including:

  • - High batch-to-batch consistency and reproducibility
  • - Improved sensitivity and specificity
  • - Long-term security of supply
  • - Animal-free batch production

For more information, read more on recombinant antibodies.

Conjugation ready
Our carrier-free antibodies are typically supplied in a PBS-only formulation, purified and free of BSA, sodium azide and glycerol. This conjugation-ready format is designed for use with fluorochromes, metal isotopes, oligonucleotides, and enzymes, which makes them ideal for antibody labelling, functional and cell-based assays, flow-based assays (e.g. mass cytometry) and Multiplex Imaging applications.

Use our conjugation kits for antibody conjugates that are ready-to-use in as little as 20 minutes with 1 minute hands-on-time and 100% antibody recovery: available for fluorescent dyes, HRP, biotin and gold.

Compatibility
This product is compatible with the Maxpar® Antibody Labeling Kit from Fluidigm, without the need for antibody preparation. Maxpar® is a trademark of Fluidigm Canada Inc.

Properties and storage information

Form
Liquid
Purification technique
Affinity purification Protein A
Storage buffer
pH: 7.2 - 7.4 Constituents: PBS
Shipped at conditions
Blue Ice
Appropriate short-term storage conditions
+4°C
Appropriate long-term storage conditions
+4°C
Storage information
Do Not Freeze

Supplementary information

This supplementary information is collated from multiple sources and compiled automatically.

SERCA2 ATPase also known as sarco/endoplasmic reticulum Ca²⁺-ATPase 2 or ATP2A2 is an important pump responsible for the active transport of calcium ions from the cytosol into the sarcoplasmic or endoplasmic reticulum. This protein has a molecular weight of 110 kDa. It plays an important role in maintaining calcium homeostasis in muscle cells and is expressed in various tissues but particularly in cardiac and skeletal muscle. This pump uses energy from ATP hydrolysis to move calcium ions against their concentration gradient.
Biological function summary

The proper regulation of calcium ion levels by SERCA2 ATPase is essential for muscle contraction and relaxation cycles. SERCA2 exists as a part of the complex machinery in muscle cells closely interacting with phospholamban in the cardiac muscle to regulate its activity. Efficient functioning of SERCA2 directly influences calcium ion storage in the sarcoplasmic reticulum affecting muscle physiology and performance.

Pathways

The involvement of SERCA2 ATPase in the calcium signaling pathway and excitation-contraction coupling is significant. The protein's function is intimately linked with RYR2 (ryanodine receptor 2) as they both participate in the regulation of calcium ion flow in muscle cells. This interaction is necessary for the proper release and uptake of calcium ions during muscle contraction and relaxation cycles.

SERCA2 ATPase mutations or dysregulation can lead to cardiac diseases such as heart failure and muscle disorders like Brody myopathy. Heart failure often results from impaired calcium handling due to disruptions in the interaction between SERCA2 and associated proteins like phospholamban. Abnormalities in SERCA2 expression or function can lead to either excessive storage or insufficient release of calcium contributing to the pathological state of these conditions.

Product protocols

For this product, it's our understanding that no specific protocols are required. You can visit:

Target data

This magnesium-dependent enzyme catalyzes the hydrolysis of ATP coupled with the translocation of calcium from the cytosol to the sarcoplasmic reticulum lumen (PubMed : 12542527, PubMed : 16402920). Involved in autophagy in response to starvation. Upon interaction with VMP1 and activation, controls ER-isolation membrane contacts for autophagosome formation (PubMed : 28890335). Also modulates ER contacts with lipid droplets, mitochondria and endosomes (PubMed : 28890335). In coordination with FLVCR2 mediates heme-stimulated switching from mitochondrial ATP synthesis to thermogenesis (By similarity).. Isoform 2. Involved in the regulation of the contraction/relaxation cycle. Acts as a regulator of TNFSF11-mediated Ca(2+) signaling pathways via its interaction with TMEM64 which is critical for the TNFSF11-induced CREB1 activation and mitochondrial ROS generation necessary for proper osteoclast generation. Association between TMEM64 and SERCA2 in the ER leads to cytosolic Ca(2+) spiking for activation of NFATC1 and production of mitochondrial ROS, thereby triggering Ca(2+) signaling cascades that promote osteoclast differentiation and activation.
See full target information ATP2A2

Publications (1)

Recent publications for all applications. Explore the full list and refine your search

Oncology reports 46: PubMed34528699

2021

Quantitative global proteome and phosphorylome analyses reveal potential biomarkers in kidney cancer.

Applications

Unspecified application

Species

Unspecified reactive species

Liwei Xu,Zeyi Lu,Shicheng Yu,Gonghui Li,Yuanlei Chen
View all publications

Product promise

We are committed to supporting your work with high-quality reagents, and we're here for you every step of the way. In the unlikely event that one of our products does not perform as expected, you're protected by our Product Promise.
For full details, please see our Terms & Conditions

Please note: All products are 'FOR RESEARCH USE ONLY. NOT FOR USE IN DIAGNOSTIC OR THERAPEUTIC PROCEDURES'.

For licensing inquiries, please contact partnerships@abcam.com