JavaScript is disabled in your browser. Please enable JavaScript to view this website.
AB2817

Anti-SERCA2 ATPase antibody [IID8]

Be the first to review this product! Submit a review

|

(41 Publications)

Mouse Recombinant Monoclonal SERCA2 ATPase antibody. Suitable for WB, IHC-P and reacts with Human samples. Cited in 41 publications.

View Alternative Names

ATP2B, ATP2A2, Sarcoplasmic/endoplasmic reticulum calcium ATPase 2, SERCA2, SR Ca(2+)-ATPase 2, Calcium pump 2, Endoplasmic reticulum class 1/2 Ca(2+) ATPase

3 Images
Immunohistochemistry (Formalin/PFA-fixed paraffin-embedded sections) - Anti-SERCA2 ATPase antibody [IID8] (AB2817)
  • IHC-P

Unknown

Immunohistochemistry (Formalin/PFA-fixed paraffin-embedded sections) - Anti-SERCA2 ATPase antibody [IID8] (AB2817)

Immunohistochemical analysis of paraffin-embedded human skeletal muscle tissue labeling SERCA2 ATPase with ab2817 at 1/4000 dilution, followed by ready to use Goat Anti-Mouse IgG H&L (HRP polymer) (ab214879). Cytoplasmic staining on human skeletal muscle tissue is observed. Counterstained with hematoxylin.
Secondary antibody only control : Used PBS instead of primary antibody, followed by ready to use Goat Anti-Mouse IgG H&L (HRP polymer) (ab214879).
Heat mediated antigen retrieval using ab93684 (Tris/EDTA buffer, pH 9.0).

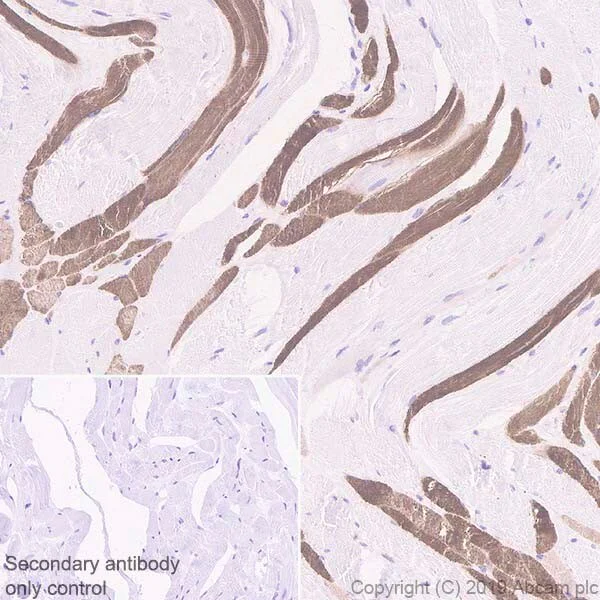
Immunohistochemistry (Formalin/PFA-fixed paraffin-embedded sections) - Anti-SERCA2 ATPase antibody [IID8] (AB2817)
  • IHC-P

Unknown

Immunohistochemistry (Formalin/PFA-fixed paraffin-embedded sections) - Anti-SERCA2 ATPase antibody [IID8] (AB2817)

Immunohistochemical analysis of paraffin-embedded human cardiac muscle tissue labeling SERCA2 ATPase with ab2817 at 1/4000 dilution, followed by ready to use Goat Anti-Mouse IgG H&L (HRP polymer) (ab214879). Cytoplasmic staining on human cardiac muscle tissue is observed. Counterstained with hematoxylin.
Secondary antibody only control : Used PBS instead of primary antibody, followed by ready to use Goat Anti-Mouse IgG H&L (HRP polymer) (ab214879).
Heat mediated antigen retrieval using ab93684 (Tris/EDTA buffer, pH 9.0).

Western blot - Anti-SERCA2 ATPase antibody [IID8] (AB2817)
  • WB

Unknown

Western blot - Anti-SERCA2 ATPase antibody [IID8] (AB2817)

Blocking/Dilution buffer : 5% NFDM/TBST.

Exposure times : Lanes 1-2 : 92 seconds; Lanes 3-4 : 10 seconds; Lane 5 : 3 seconds.

Samples are non-boiled as boiling may cause protein aggregates.

All lanes:

Western blot - Anti-SERCA2 ATPase antibody [IID8] (ab2817) at 1/1000 dilution

Lane 1:

HeLa (human cervix adenocarcinoma epithelial cell), whole cell lysate at 20 µg

Lane 2:

HepG2 (human hepatocellular carcinoma epithelial cell), whole cell lysate at 20 µg

Lane 3:

A549 (human lung carcinoma epithelial cell), whole cell lysate at 20 µg

Lane 4:

A673 (human muscle Ewing's Sarcoma), whole cell lysate at 20 µg

Lane 5:

Human skeletal muscle at 20 µg

Secondary

All lanes:

Peroxidase-Conjugated Goat anti-Mouse IgG (H+L) at 1/100000 dilution

Predicted band size: 115 kDa

Observed band size: 110 kDa

false

  • Carrier free

    Anti-SERCA2 ATPase antibody [IID8] - BSA and Azide free

Key facts

Host species

Mouse

Clonality

Monoclonal

Clone number

IID8

Isotype

IgG1

Carrier free

No

Reacts with

Human

Applications

WB, IHC-P

applications

Immunogen

The exact immunogen used to generate this antibody is proprietary information.

Specificity

Detects Sarcoplasmic or Endoplasmic Reticulum Calcium 2 (SERCA2) ATPase. This antibody does not discriminate between the two isoforms.

By Western blot, this antibody detects an ~110 kDa protein representing SERCA2 ATPase from canine skeletal muscle triad preparations.
Immunofluorescence staining of SECRA2 ATPase in rabbit skeletal muscle results in strong labeling of the entire type I (slow) myofiber consistent with sarcoplasmic reticulum localization.

This antibody is not recommended for Western blot detection of rat SERCA2.

Reactivity data

{ "title": "Reactivity Data", "filters": { "stats": ["", "Species", "Dilution Info", "Notes"], "tabs": { "all-applications": {"fullname" : "All Applications", "shortname": "All Applications"}, "WB" : {"fullname" : "Western blot", "shortname":"WB"}, "IHCP" : {"fullname" : "Immunohistochemistry (Formalin/PFA-fixed paraffin-embedded sections)", "shortname":"IHC-P"} }, "product-promise": { "all": "all", "testedAndGuaranteed": "tested", "guaranteed": "expected", "predicted": "predicted", "notRecommended": "not-recommended" } }, "values": { "Human": { "WB-species-checked": "testedAndGuaranteed", "WB-species-dilution-info": "1/1000", "WB-species-notes": "<p></p>", "IHCP-species-checked": "testedAndGuaranteed", "IHCP-species-dilution-info": "1/4000", "IHCP-species-notes": "<p></p>" } } }

Product details

This product has switched from a hybridoma to recombinant production method on 25th November 2020.

What are the advantages of a recombinant monoclonal antibody?
This product is a recombinant monoclonal antibody, which offers several advantages including:

  • - High batch-to-batch consistency and reproducibility
  • - Improved sensitivity and specificity
  • - Long-term security of supply
  • - Animal-free batch production

For more information, read more on recombinant antibodies.

Properties and storage information

Form
Liquid
Purification technique
Affinity purification Protein A
Storage buffer
Preservative: 0.01% Sodium azide Constituents: PBS, 40% Glycerol (glycerin, glycerine), 0.05% BSA
Shipped at conditions
Blue Ice
Appropriate short-term storage duration
1-2 weeks
Appropriate short-term storage conditions
+4°C
Appropriate long-term storage conditions
-20°C
Aliquoting information
Upon delivery aliquot
Storage information
Avoid freeze / thaw cycle

Supplementary information

This supplementary information is collated from multiple sources and compiled automatically.

SERCA2 ATPase also known as sarco/endoplasmic reticulum Ca²⁺-ATPase 2 or ATP2A2 is an important pump responsible for the active transport of calcium ions from the cytosol into the sarcoplasmic or endoplasmic reticulum. This protein has a molecular weight of 110 kDa. It plays an important role in maintaining calcium homeostasis in muscle cells and is expressed in various tissues but particularly in cardiac and skeletal muscle. This pump uses energy from ATP hydrolysis to move calcium ions against their concentration gradient.
Biological function summary

The proper regulation of calcium ion levels by SERCA2 ATPase is essential for muscle contraction and relaxation cycles. SERCA2 exists as a part of the complex machinery in muscle cells closely interacting with phospholamban in the cardiac muscle to regulate its activity. Efficient functioning of SERCA2 directly influences calcium ion storage in the sarcoplasmic reticulum affecting muscle physiology and performance.

Pathways

The involvement of SERCA2 ATPase in the calcium signaling pathway and excitation-contraction coupling is significant. The protein's function is intimately linked with RYR2 (ryanodine receptor 2) as they both participate in the regulation of calcium ion flow in muscle cells. This interaction is necessary for the proper release and uptake of calcium ions during muscle contraction and relaxation cycles.

SERCA2 ATPase mutations or dysregulation can lead to cardiac diseases such as heart failure and muscle disorders like Brody myopathy. Heart failure often results from impaired calcium handling due to disruptions in the interaction between SERCA2 and associated proteins like phospholamban. Abnormalities in SERCA2 expression or function can lead to either excessive storage or insufficient release of calcium contributing to the pathological state of these conditions.

Product protocols

For this product, it's our understanding that no specific protocols are required. You can visit:

Target data

This magnesium-dependent enzyme catalyzes the hydrolysis of ATP coupled with the translocation of calcium from the cytosol to the sarcoplasmic reticulum lumen (PubMed : 12542527, PubMed : 16402920). Involved in autophagy in response to starvation. Upon interaction with VMP1 and activation, controls ER-isolation membrane contacts for autophagosome formation (PubMed : 28890335). Also modulates ER contacts with lipid droplets, mitochondria and endosomes (PubMed : 28890335). In coordination with FLVCR2 mediates heme-stimulated switching from mitochondrial ATP synthesis to thermogenesis (By similarity).. Isoform 2. Involved in the regulation of the contraction/relaxation cycle. Acts as a regulator of TNFSF11-mediated Ca(2+) signaling pathways via its interaction with TMEM64 which is critical for the TNFSF11-induced CREB1 activation and mitochondrial ROS generation necessary for proper osteoclast generation. Association between TMEM64 and SERCA2 in the ER leads to cytosolic Ca(2+) spiking for activation of NFATC1 and production of mitochondrial ROS, thereby triggering Ca(2+) signaling cascades that promote osteoclast differentiation and activation.
See full target information ATP2A2

Publications (41)

Recent publications for all applications. Explore the full list and refine your search

Cell reports 43:114791 PubMed39352809

2024

RNA polymerase II transcription initiation in holo-TFIID-depleted mouse embryonic stem cells.

Applications

Unspecified application

Species

Unspecified reactive species

Vincent Hisler,Paul Bardot,Dylane Detilleux,Andrea Bernardini,Matthieu Stierle,Emmanuel Garcia Sanchez,Claire Richard,Lynda Hadj Arab,Cynthia Ehrhard,Bastien Morlet,Yavor Hadzhiev,Matthieu Jung,Stéphanie Le Gras,Luc Négroni,Ferenc Müller,László Tora,Stéphane D Vincent

Research (Washington, D.C.) 6:0254 PubMed38023417

2023

Interindividual Age-Independent Differences in Human CX43 Impact Ventricular Arrhythmic Risk.

Applications

Unspecified application

Species

Unspecified reactive species

Laura García-Mendívil,María Pérez-Zabalza,Antoni Oliver-Gelabert,José María Vallejo-Gil,Javier Fañanás-Mastral,Manuel Vázquez-Sancho,Javier André Bellido-Morales,Alexánder Sebastián Vaca-Núñez,Carlos Ballester-Cuenca,Emiliano Diez,Laura Ordovás,Esther Pueyo

International journal of molecular sciences 24: PubMed37686067

2023

Therapeutic Aspects of Extract in a Rabbit Model of Atherosclerosis-Associated Diastolic Dysfunction.

Applications

Unspecified application

Species

Unspecified reactive species

Reka Szekeres,Daniel Priksz,Rita Kiss,Dana Diana Romanescu,Mariann Bombicz,Balazs Varga,Rudolf Gesztelyi,Anna Szilagyi,Barbara Takacs,Vera Tarjanyi,Beata Pelles-Tasko,Ildiko Forgacs,Judit Remenyik,Zoltan Szilvassy,Bela Juhasz

Frontiers in immunology 13:1052290 PubMed36685580

2023

IgE-dependent human basophil responses are inversely associated with the sarcoplasmic reticulum Ca-ATPase (SERCA).

Applications

Unspecified application

Species

Unspecified reactive species

Anette T Hansen Selnø,Vadim V Sumbayev,Bernhard F Gibbs

The Journal of biological chemistry 298:102060 PubMed35605666

2022

Inhibitory and stimulatory micropeptides preferentially bind to different conformations of the cardiac calcium pump.

Applications

Unspecified application

Species

Unspecified reactive species

Sean R Cleary,Xuan Fang,Ellen E Cho,Marsha P Pribadi,Jaroslava Seflova,Jordan R Beach,Peter M Kekenes-Huskey,Seth L Robia

Biology open : PubMed33495211

2021

Quantified growth of the human embryonic heart.

Applications

Unspecified application

Species

Unspecified reactive species

Jaeike W Faber,Jaco Hagoort,Antoon F M Moorman,Vincent M Christoffels,Bjarke Jensen

Oxidative medicine and cellular longevity 2020:8895078 PubMed33456678

2020

Atrial Dyssynchrony Measured by Strain Echocardiography as a Marker of Proarrhythmic Remodeling and Oxidative Stress in Cardiac Surgery Patients.

Applications

Unspecified application

Species

Unspecified reactive species

Francisco J Sánchez,Valeria A Gonzalez,Martin Farrando,Ariel O Baigorria Jayat,Margarita Segovia-Roldan,Laura García-Mendívil,Laura Ordovás,Natalia J Prado,Esther Pueyo,Emiliano R Diez

Biomolecules 10: PubMed32957719

2020

Automatic Quantification of Cardiomyocyte Dimensions and Connexin 43 Lateralization in Fluorescence Images.

Applications

Unspecified application

Species

Unspecified reactive species

Antoni Oliver-Gelabert,Laura García-Mendívil,José María Vallejo-Gil,Pedro Carlos Fresneda-Roldán,Katarína Andelová,Javier Fañanás-Mastral,Manuel Vázquez-Sancho,Marta Matamala-Adell,Fernando Sorribas-Berjón,Carlos Ballester-Cuenca,Narcisa Tribulova,Laura Ordovás,Emiliano Raúl Diez,Esther Pueyo

International journal of molecular sciences 21: PubMed32155697

2020

Reperfusion Arrhythmias Increase after Superior Cervical Ganglionectomy Due to Conduction Disorders and Changes in Repolarization.

Applications

Unspecified application

Species

Unspecified reactive species

Natalia Jorgelina Prado,Estela Maris Muñoz,Luz Estefanía Farias Altamirano,Francisco Aguiar,Amira Zulma Ponce Zumino,Francisco Javier Sánchez,Roberto Miguel Miatello,Esther Pueyo,Emiliano Raúl Diez

Journal of interferon & cytokine research : the of 40:188-194 PubMed32150691

2020

The Involvement of Type 2 Innate Lymphoid Cells in Airway Inflammation of Asthma.

Applications

Unspecified application

Species

Unspecified reactive species

Ruiming Shi,Xuhua Bian,Shuang Feng,Xiaoxia Yang,Tao Zhao,Min Guo
View all publications

Product promise

We are committed to supporting your work with high-quality reagents, and we're here for you every step of the way. In the unlikely event that one of our products does not perform as expected, you're protected by our Product Promise.
For full details, please see our Terms & Conditions

Please note: All products are 'FOR RESEARCH USE ONLY. NOT FOR USE IN DIAGNOSTIC OR THERAPEUTIC PROCEDURES'.

For licensing inquiries, please contact partnerships@abcam.com