JavaScript is disabled in your browser. Please enable JavaScript to view this website.
AB255960

Anti-SERCA2 ATPase antibody [IID8] - BSA and Azide free

Be the first to review this product! Submit a review

|

(0 Publication)

Mouse Recombinant Monoclonal SERCA2 ATPase antibody. Carrier free. Suitable for WB, IHC-P and reacts with Human samples.

View Alternative Names

Sarcoplasmic/endoplasmic reticulum calcium ATPase 2, SERCA2, SR Ca(2+)-ATPase 2, Calcium pump 2, Endoplasmic reticulum class 1/2 Ca(2+) ATPase, ATP2A2

3 Images
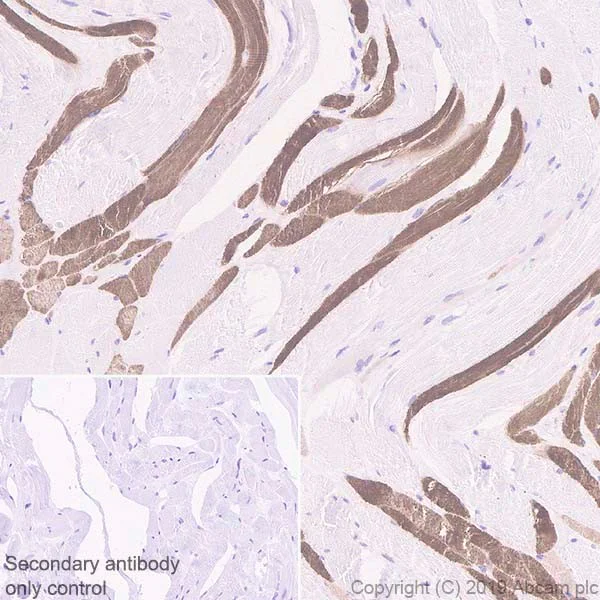
Immunohistochemistry (Formalin/PFA-fixed paraffin-embedded sections) - Anti-SERCA2 ATPase antibody [IID8] - BSA and Azide free (AB255960)
  • IHC-P

Supplier Data

Immunohistochemistry (Formalin/PFA-fixed paraffin-embedded sections) - Anti-SERCA2 ATPase antibody [IID8] - BSA and Azide free (AB255960)

Immunohistochemical analysis of paraffin-embedded human cardiac muscle tissue labeling SERCA2 ATPase with ab2817 at 1/4000 dilution, followed by ready to use Goat Anti-Mouse IgG H&L (HRP polymer) (ab214879). Cytoplasmic staining on human cardiac muscle tissue is observed. Counterstained with hematoxylin.
Secondary antibody only control : Used PBS instead of primary antibody, followed by ready to use Goat Anti-Mouse IgG H&L (HRP polymer) (ab214879).
Heat mediated antigen retrieval using ab93684 (Tris/EDTA buffer, pH 9.0).

This data was developed using the same antibody clone in a different buffer formulation containing PBS and sodium azide (ab2817).

Immunohistochemistry (Formalin/PFA-fixed paraffin-embedded sections) - Anti-SERCA2 ATPase antibody [IID8] - BSA and Azide free (AB255960)
  • IHC-P

Supplier Data

Immunohistochemistry (Formalin/PFA-fixed paraffin-embedded sections) - Anti-SERCA2 ATPase antibody [IID8] - BSA and Azide free (AB255960)

Immunohistochemical analysis of paraffin-embedded human skeletal muscle tissue labeling SERCA2 ATPase with ab2817 at 1/4000 dilution, followed by ready to use Goat Anti-Mouse IgG H&L (HRP polymer) (ab214879). Cytoplasmic staining on human skeletal muscle tissue is observed. Counterstained with hematoxylin.
Secondary antibody only control : Used PBS instead of primary antibody, followed by ready to use Goat Anti-Mouse IgG H&L (HRP polymer) (ab214879).
Heat mediated antigen retrieval using ab93684 (Tris/EDTA buffer, pH 9.0).

This data was developed using the same antibody clone in a different buffer formulation containing PBS and sodium azide (ab2817).

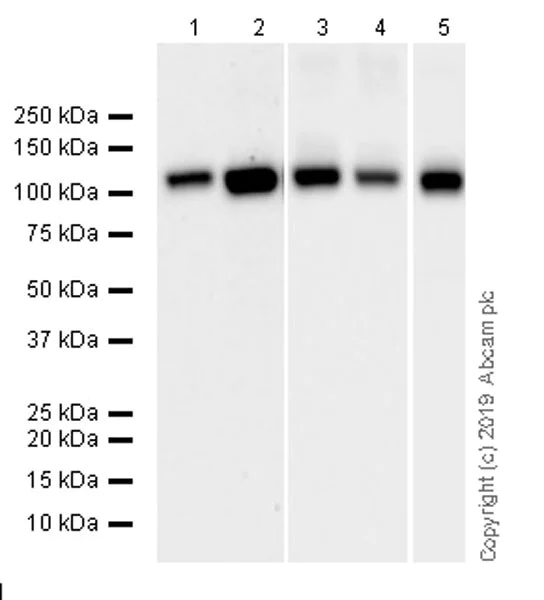
Western blot - Anti-SERCA2 ATPase antibody [IID8] - BSA and Azide free (AB255960)
  • WB

Supplier Data

Western blot - Anti-SERCA2 ATPase antibody [IID8] - BSA and Azide free (AB255960)

Blocking/Dilution buffer : 5% NFDM/TBST.

Exposure times : Lanes 1-2 : 92 seconds; Lanes 3-4 : 10 seconds; Lane 5 : 3 seconds.

Samples are non-boiled as boiling may cause protein aggregates.

This data was developed using the same antibody clone in a different buffer formulation containing PBS and sodium azide (ab2817).

All lanes:

Western blot - Anti-SERCA2 ATPase antibody [IID8] - BSA and Azide free (ab255960) at 1/1000 dilution

Lane 1:

HeLa (human cervix adenocarcinoma epithelial cell), whole cell lysate at 20 µg

Lane 2:

HepG2 (human hepatocellular carcinoma epithelial cell), whole cell lysate at 20 µg

Lane 3:

A549 (human lung carcinoma epithelial cell), whole cell lysate at 20 µg

Lane 4:

A673 (human muscle Ewing's Sarcoma), whole cell lysate at 20 µg

Lane 5:

Human skeletal muscle at 20 µg

Secondary

All lanes:

Peroxidase-Conjugated Goat anti-Mouse IgG (H+L) at 1/100000 dilution

Predicted band size: 115 kDa

Observed band size: 110 kDa

false

Key facts

Host species

Mouse

Clonality

Monoclonal

Clone number

IID8

Isotype

IgG1

Carrier free

Yes

Reacts with

Human

Applications

IHC-P, WB

applications

Immunogen

The exact immunogen used to generate this antibody is proprietary information.

Specificity

Detects Sarcoplasmic or Endoplasmic Reticulum Calcium 2 (SERCA2) ATPase. This antibody does not discriminate between the two isoforms.By Western blot, this antibody detects an ~110 kDa protein representing SERCA2 ATPase from canine skeletal muscle triad preparations. Immunofluorescence staining of SECRA2 ATPase in rabbit skeletal muscle results in strong labeling of the entire type I (slow) myofiber consistent with sarcoplasmic reticulum localization.This antibody is not recommended for Western blot detection of rat SERCA2.

Reactivity data

{ "title": "Reactivity Data", "filters": { "stats": ["", "Species", "Dilution Info", "Notes"], "tabs": { "all-applications": {"fullname" : "All Applications", "shortname": "All Applications"}, "WB" : {"fullname" : "Western blot", "shortname":"WB"}, "IHCP" : {"fullname" : "Immunohistochemistry (Formalin/PFA-fixed paraffin-embedded sections)", "shortname":"IHC-P"} }, "product-promise": { "all": "all", "testedAndGuaranteed": "tested", "guaranteed": "expected", "predicted": "predicted", "notRecommended": "not-recommended" } }, "values": { "Human": { "WB-species-checked": "testedAndGuaranteed", "WB-species-dilution-info": "1/2500", "WB-species-notes": "<p></p>", "IHCP-species-checked": "testedAndGuaranteed", "IHCP-species-dilution-info": "1 µg/mL", "IHCP-species-notes": "<p></p>" } } }

Product details

ab255960 is the carrier-free version of ab2817.

Want a custom formulation?
This antibody clone is manufactured by Abcam. If you require a custom buffer formulation or conjugation for your experiments, please contact orders@abcam.com

Conjugation ready
Our carrier-free antibodies are typically supplied in a PBS-only formulation, purified and free of BSA, sodium azide and glycerol. This conjugation-ready format is designed for use with fluorochromes, metal isotopes, oligonucleotides, and enzymes, which makes them ideal for antibody labelling, functional and cell-based assays, flow-based assays (e.g. mass cytometry) and Multiplex Imaging applications.

Use our conjugation kits for antibody conjugates that are ready-to-use in as little as 20 minutes with 1 minute hands-on-time and 100% antibody recovery: available for fluorescent dyes, HRP, biotin and gold.

Compatibility
This product is compatible with the Maxpar® Antibody Labeling Kit from Fluidigm, without the need for antibody preparation. Maxpar® is a trademark of Fluidigm Canada Inc.

Properties and storage information

Form
Liquid
Purification technique
Affinity purification Protein A
Storage buffer
pH: 7.2 - 7.4 Constituents: PBS
Shipped at conditions
Blue Ice
Appropriate short-term storage conditions
+4°C
Appropriate long-term storage conditions
+4°C
Storage information
Do Not Freeze

Supplementary information

This supplementary information is collated from multiple sources and compiled automatically.

SERCA2 ATPase also known as sarco/endoplasmic reticulum Ca²⁺-ATPase 2 or ATP2A2 is an important pump responsible for the active transport of calcium ions from the cytosol into the sarcoplasmic or endoplasmic reticulum. This protein has a molecular weight of 110 kDa. It plays an important role in maintaining calcium homeostasis in muscle cells and is expressed in various tissues but particularly in cardiac and skeletal muscle. This pump uses energy from ATP hydrolysis to move calcium ions against their concentration gradient.
Biological function summary

The proper regulation of calcium ion levels by SERCA2 ATPase is essential for muscle contraction and relaxation cycles. SERCA2 exists as a part of the complex machinery in muscle cells closely interacting with phospholamban in the cardiac muscle to regulate its activity. Efficient functioning of SERCA2 directly influences calcium ion storage in the sarcoplasmic reticulum affecting muscle physiology and performance.

Pathways

The involvement of SERCA2 ATPase in the calcium signaling pathway and excitation-contraction coupling is significant. The protein's function is intimately linked with RYR2 (ryanodine receptor 2) as they both participate in the regulation of calcium ion flow in muscle cells. This interaction is necessary for the proper release and uptake of calcium ions during muscle contraction and relaxation cycles.

SERCA2 ATPase mutations or dysregulation can lead to cardiac diseases such as heart failure and muscle disorders like Brody myopathy. Heart failure often results from impaired calcium handling due to disruptions in the interaction between SERCA2 and associated proteins like phospholamban. Abnormalities in SERCA2 expression or function can lead to either excessive storage or insufficient release of calcium contributing to the pathological state of these conditions.

Product protocols

For this product, it's our understanding that no specific protocols are required. You can visit:

Target data

This magnesium-dependent enzyme catalyzes the hydrolysis of ATP coupled with the translocation of calcium from the cytosol to the sarcoplasmic reticulum lumen. Involved in autophagy in response to starvation. Upon interaction with VMP1 and activation, controls ER-isolation membrane contacts for autophagosome formation. Also modulates ER contacts with lipid droplets, mitochondria and endosomes (By similarity). In coordination with FLVCR2 mediates heme-stimulated switching from mitochondrial ATP synthesis to thermogenesis (By similarity).. Isoform 1. Involved in the regulation of the contraction/relaxation cycle. Acts as a regulator of TNFSF11-mediated Ca(2+) signaling pathways via its interaction with TMEM64 which is critical for the TNFSF11-induced CREB1 activation and mitochondrial ROS generation necessary for proper osteoclast generation. Association between TMEM64 and SERCA2 in the ER leads to cytosolic Ca(2+) spiking for activation of NFATC1 and production of mitochondrial ROS, thereby triggering Ca(2+) signaling cascades that promote osteoclast differentiation and activation.
See full target information ATP2A2

Product promise

We are committed to supporting your work with high-quality reagents, and we're here for you every step of the way. In the unlikely event that one of our products does not perform as expected, you're protected by our Product Promise.
For full details, please see our Terms & Conditions

Please note: All products are 'FOR RESEARCH USE ONLY. NOT FOR USE IN DIAGNOSTIC OR THERAPEUTIC PROCEDURES'.

For licensing inquiries, please contact partnerships@abcam.com